Патоморфические изменения в легких крыс при развитии реперфузионного синдрома, отягощенного воздействием излучения
ПАТОМОРФОЛОГИЧЕСКИЕ ИЗМЕНЕНИЯ В ЛЕГКИХ КРЫС ПРИ РАЗВИТИИ РЕПЕРФУЗИОННОГО СИНДРОМА, ОТЯГОЩЕННОГО ВОЗДЕЙСТВИЕМ ИОНИЗИРУЮЩЕГО ИЗЛУЧЕНИЯ
Алиев Л.Л., Голубова Т.Ф., Аблаев А.Р.
Крымский государственный медицинский университет им. С.И. Георгиевского, Симферополь.
Потенциальная опасность катастроф на атомных объектах диктует необходимость разработки современных эффективных методов лечения комбинированных радиационных поражений [2]. Пострадавшие в подобного рода катастрофах могут длительное время находиться под завалами, что обусловливает развитие реперфузионного синдрома. Одновременно с этим пораженные могут подвергаться воздействию ионизирующего излучения. Это создает гипотетические предпосылки для появления особой формы комбинированного радиационного поражения – реперфузионного синдрома, отягощенного воздействием ионизирующего излучения [9].
В настоящее время механизм интенсификации свободнорадикальных процессов в результате ионизации и радиолиза воды под действием ионизирующего излучения хорошо изучен [7, 11]. Кроме того, известно, что реокисгенация ранее ишемизированных тканей также сопровождается усилением пероксидации, что объясняется нарушением работы электронно-транспортных цепей митохондрий и респираторным взрывом в фагоцитах, которые активно поступают в гипоксически поврежденную ткань [1,5]. Лучевые и реперфузионные поражения сопровождаются активацией процессов протеолиза. При воздействии ионизирующего излучения это связано со свободнорадикальной деструкцией лизосомальных мембран, а в случае реперфузионных расстройств активации протеолиза способствует и высвобождение лейкоцитарных протеиназ [4, 6, 8, 10, 12].
В связи с этим представляется целесообразным изучение эффективности сочетанного применения антиоксидантов и ингибиторов протеиназ при изучаемой патологии [8].
Несмотря на достаточное количество работ посвященных изучению воздействия реперфузии и ионизирующего излучения на организм человека и животных до сих пор остаются неизвестными особенности патоморфологической картины органов при развитии реперфузионного синдрома, отягощенного воздействием ионизирующего излучения.
Цель исследования: оценить патоморфологические изменения, возникающие в легких при реперфузионном синдроме на фоне воздействия ионизирующего излучения, а также обосновать сочетанное применение антиоксиданта корвитина и ингибитора протеиназ контрикала при изучаемой нами патологии.
Материал и методы. Экспериментальные исследования проведены на белых крысах-самцах линии «Vistar», массой 180-200 грамм.
Влияние на организм ионизирующей радиации осуществляли путем однократного тотального воздействия на животных гамма-облучения в дозе 6 Гр. Реперфузионный синдром моделировали непосредственно после облучения путем наложения резиновых жгутов на обе задние конечности животных на уровне паховой складки сроком на 6 часов. Через 12 часов после снятия жгутов осуществляли забор биологического материала. В качестве ингибитора протеиназ применяли контрикал (“AWD. pharma GmbH & Co. KG. Drezden” - Германия), который вводили в дозе 10 000 АтрЕД/кг массы. В качестве антиоксиданта использовали корвитин, являющийся водорастворимой формой биофлавоноида кверцетина (ЗАО НПЦ “Борщаговский химико-фармацевтический завод”, Украина), который применяли в дозе 10 мг/кг. Препараты, разведенные в изотоническом растворе натрия хлорида, вводили однократно интраперитонеально перед снятием жгутов.
Для патоморфологической оценки изменений в органах вырезали фрагменты ткани легких размерами 1см х 1см х 1см, предназначенные для гистологического исследования, с последующей фиксацией в 10% растворе нейтрального формалина. Препараты готовили по стандартной методике, гистологические срезы окрашивали гематоксилином и эозином. Просмотр и цифровые фотографии микропрепаратов осуществляли с помощью светового микроскопа «Olympus CX-41».
Результаты исследования и их обсуждение
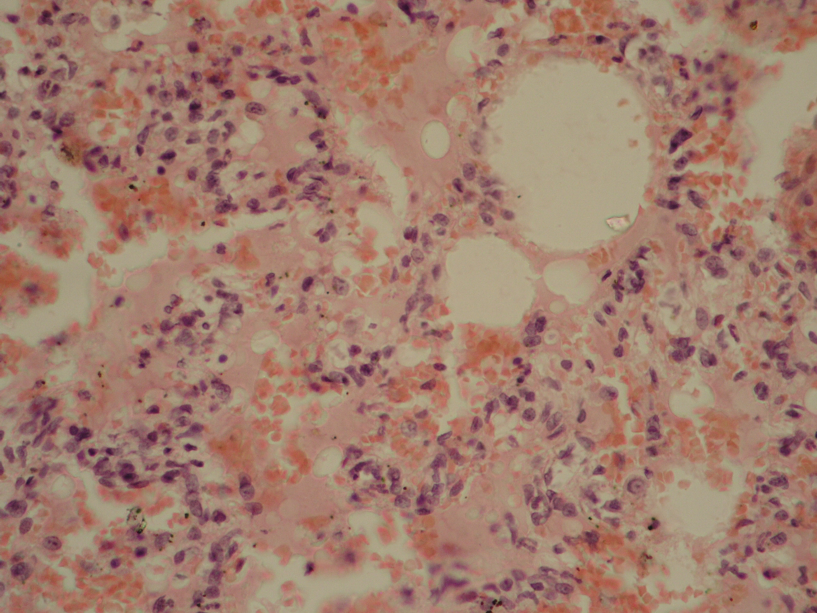
В результате проведенных исследований было установлено, что моделирование комбинированного поражения сопровождается развитием морфологических признаков синдрома острого легочного повреждения (СОЛП). В альвеолах имеют место изменения по типу вентиляционно-циркуляторных расстройств. Они представлены более или менее обширными участками ателектаза и дистелектаза, чередующиеся с участками вздутия легочной ткани. Просветы альвеол резко сужены и представляют собой узкие щели, в некоторых участках просвет альвеол не определяется. Рядом с такими зонами наблюдаются очаги резкого вздутия легочной ткани, проявляющиеся расширением просвета альвеол и истончением межальвеолярных перегородок, вплоть до их разрыва, обеднением клеточными элементами. Просветы терминальных и респираторных бронхиол резко расширены. В просветах альвеол – отечная жидкость, эритроциты, десквамированные альвеолоциты. Нарушения микроциркуляции сопровождаются развитием резкого повышения проницаемости сосудистой стенки с развитием диффузной геморрагической инфильтрации в межальвеолярных перегородках и выраженным интерстициальным отеком. Отмечаются кровоизлияния под висцеральную плевру (рис. 1). В резко расширенных просветах сосудов выявляется краевое стояние и агрегация форменных элементов крови, плазматизация содержимого сосудов. В капиллярах межальвеолярных перегородок и в мелких ветвях легочной артерии отмечаются явления стаза, сладжа и образование фибриновых тромбов.

Рис. 1 - Легкие крысы при моделировании реперфузионного синдрома, отягощенного воздействием ионизирующего излучения, через 12 часов после снятия жгутов. Геморрагическая инфильтрация межальвеолярных перегородок и альвеол, интраальвеолярные геморрагии, интерстициальный и внутриальвеолярный отек. Окраска гематоксилином и эозином. Микрофотография. Ув. 200
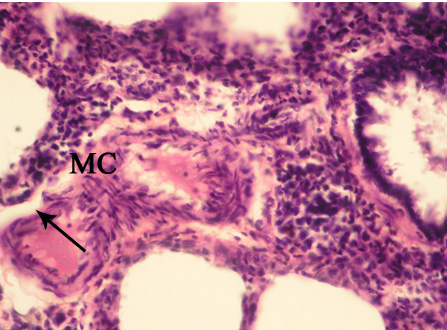
Развитие комбинированного радиационно-реперфузионного поражения на фоне сочетанного применения корвитина и контрикала сопровождалось менее выраженными патоморфологическими изменениями в ткани легких. При этом гистологическая картина характеризовалась умеренными нарушениями микроциркуляции, проявляющимися полнокровием, стазом в сосудах микроциркуляторного русла, петехиальными кровоизлияниями в межальвеолярных перегородках. Очаговые кровоизлияния встречаются реже и на меньшей площади. В интерстиции отек сохраняется, в основном в периваскулярной и перибронхиальной области. Отмечали умеренно выраженный внутриальвеолярный и интерстициальный отек. Эмфизематозные очаги с истончением межальвеолярных перегородок, дистелектазы встречались редко, в основном в перибронхиальных и периваскулярных зонах. Расстройства кровообращения менее выражены, чем в нелеченной группе. Изменения реологических свойств крови выражались в плазматизации содержимого микрососудов. Мелкие бронхи расширены, эпителий частично десквамирован (рис. 2).
реперфузионный синдром легкие излучение

Рис. 2 - Легкие крысы при моделировании реперфузионного синдрома, отягощенного воздействием ионизирующего излучения, через 12 часов после снятия жгутов на фоне сочетанного применения корвитина и контрикала. Плазматизация микрососудов (МС), периваскулярный отек (стрелка). Окраска гематоксилином и эозином. Микрофотография. Ув. 100.
Выводы
Моделирование реперфузионного синдрома, отягощенного воздействием ионизирующего излучения, морфологическая картина миокарда характеризуется резко выраженным нарушением микроциркуляции миокарда с развитием выраженных признаков дегенеративных и деструктивных процессов в кардиомиоцитах.
Сочетанное применение антиоксиданта корвитина и ингибитора протеаз контрикала предотвращает уменьшает выраженность проявлений морфологической альтерации, способствует укреплению гистогематических барьеров, предотвращает развитие деструктивных изменений в миокарде.
Литература
Биленко М.В. Ишемические и реперфузионные повреждения органов (молекулярные механизмы, пути предупреждения и лечения) / М.В. Биленко. – М.: Медицина, 1989. – 368 с.
Булдагов Л.А. Медицинские последствия радиационных аварий для населения / Л.А. Булдагов // Мед. радиология и радиационная безопасность. – 2002, – №2, – С. 7–17.
Ефременко Ю.Р. , Конторщикова К.Н. Состояние системы протеолиза в условиях окислительных воздействий на организм // Нижегородский медицинский журнал 2003; 1: 8-12.
Кобылянский Л.И. Состояние лизосомальных мембран печени и почек белых крыс при шоке от сдавливания мягких тканей // Функционально-морфологические аспекты патологических состояний. – Кишинев: 1982. – С. 142-150.
Сизов И.П. Ингибиторы протеиназ и антиоксиданты в патогенетической коррекции реперфузионных расстройств: Дисс. канд. мед. наук: 14.03.04. – Симферополь. – 1996. – 121 с.
Рыскулова С.Т. Радиационная биология плазматических мембран. – М.: Энергоатомиздат, 1986. – 127 с.
Тишенина Р.С., Валиулина Д.С. Процессы свободнорадикального окисления липидов у лиц, принимавших участие в ликвидации аварии на Чернобыльской АЭС // Медицинская радиология. – 1990. – Т. 35, № 10. – С. 13-14.
Харченко В.З. Экспериментальное обоснование патогенетической фармакотерапии турникетного шока антипротеиназными средствами: Автореф. дисс…д-ра. мед.наук: 14.00.25; 14.00.16 / Киевский научно-исследовательский ин-т фармакол. и токсикоз. – К., 1990. – 40 с.
Цыба А.Ф., Бритун А.И. Патогенез и лечение комбинированных радиационно-термических поражений // М.: Медицина. – 1993. – 285 с.
Irradiation increases proteolysis in erythrocyte ghosts: a spin label study / G. Bartosz, W. Schon, G. Kraft, H. Gartner // Radiation and Environmental Biophysics. – 1992. – V. 31, № 2. – P. 117-121.
Lykholat E.A., Chernaya V.I. Parameters of peroxidation and proteolysis in the organism of the liquidators of Chernobyl accident consequences // Український біохімічний журнал. – 1999. - № 71 (3). – С. 82-85.
Willy C., Kaffenberger W., Gerngross H. Systemic effect of extremity-ischemia reperfusion surgical trauma. Assessment of tourniquet ischemia induced activation of poplymorphonuclear neutrophic granulocytes // Langenbecks Arch. Chir. Suppl. Kongressbd. – 1998. - №115. – P.347-351.