Развитие зубов у детей
Ленинградский государственный университет им. А.С. Пушкина
Курсовая Работа
Предмет: Физиология человека и животных
Тема: Развитие зубов у детей
Выполнила:
Студентка 3 курса ОЗО
Подоровская Екатерина Петровна
Факультет ЕГиТ
Санкт-Петербург 2005г
План
1. Введение
2. Развитие и смена зубов у ребенка
3. Прикус
4. Оценка развития зубов. «Зубной возраст»
5. Классификация некариозных поражений зубов
6. Поражения зубов, возникающие в период фолликулярного развития их тканей
7. Патология твердых тканей зубов, развивающихся после их прорезывания:
8. Влияние кальция на организм
9. Влияние фтора на организм
10. Профилактический эффект фтора
11. Зубные пасты для детей 3
12. Жидкие средства гигиены полости рта для детей
Заключение
Список использованной литературы
1. Введение
Развитие зубов – у детей очень важный процесс, начинающийся ещё в утробе матери. Состояние будущих зубов зависит от многих факторов. Существует множество причин, способных вызвать те или иные нарушения в развитии зубов у детей и во многом определить состояние будущих коренных зубов.
Целью моей курсовой работы является раскрыть этапы формирования зубов и показать влияние различных факторов на этот сложный процесс.
2. Развитие и смена зубов у ребенка
В течение жизни развивается два различных набора зубов [ЗБ]. Первая смена служит в детстве, а зубы, образующие эту генерацию, называются молочными. Они постепенно выпадают и замещаются постоянными ЗБ, которые остаются у человека в оставшуюся часть жизни.
В первой смене насчитывается 20 ЗБ: по 10 в верхней и в нижней челюсти. В возрасте 6-7 месяцев первыми прорезываются два нижних средних резца, в 7-8 месяцев - два противоположных верхних резца. Затем, в 8-9 месяцев прорезываются еще два верхних резца, а на протяжении последней четверти грудного возраста - прорезываются два нижних резца. Таким образом, к концу первого года жизни у здорового ребенка должно быть восемь зубов. К двум годам прорезываются первые молочные моляры и клыки. Вторые молочные моляры появляются еще через полгода. Полное формирование молочного зубного ряда обычно завершается в три года. Этот набор ЗБ служит ребенку в течение последующих 4 лет, после чего молочные ЗБ выпадают и заменяются постоянными.
Как и другие показатели развития, сроки прорезывания зубов имеют индивидуальные особенности, поэтому даже у здоровых детей возможно более позднее или (реже) раннее их прорезывание. Однако значительное запаздывание роста зубов - симптом имеющегося у малыша заболевания, чаще всего - рахита. В редких случаях у детей имеется адентия - отсутствие зачатков зубов. Проверить наличие зубных зачатков можно с помощью рентгеновского снимка. Рентгеновское облучение может быть небезопасным для детского организма, поэтому это исследование следует проводить только при необходимости и по назначению врача. Сегодня есть возможность снизить вредное действие рентгеновских лучей, если сделать снимок с помощью радиовизиографа. Такое оборудование обычно имеется в каждой современно оснащенной стоматологической клинике.
Период смены молочных ЗБ продолжается приблизительно от 6 до 12 лет. Набор постоянных ЗБ состоит из 32 - 16 верхних и 16 нижних. По форме они сходны с молочными, но имеют более крупные размеры. В образовании ЗБ участвуют два зародышевых листка. Эмаль развивается из эктодермы, дентин, цемент и пульпа - из мезенхимы.
Развитие молочных зубов включает несколько периодов:
Закладка и образование зубных зачатков (ранняя стадия развития) - начало 6-7 неделя внутриутробного развития (рис.1 ).

Рис.1. Закладка зачатка молочного зуба. 1 - эпителий ротовой полости, 2 - зубная пластинка, 3 - эмалевый орган, 4 - зубной сосочек.
Начинается с погружения эпителия ротовой полости в подлежащую мезенхиму в виде плотного тяжа (зубной пластинки). На зубной пластинке появляются мелкие эпителиальные выпячивания называемые зубными зачатками, из которых (10 снизу и 10 сверху) будет развиваться молочный ЗБ. По мере роста зубной пластинки каждый зубной зачаток увеличивается в размере, глубже внедряется в мезенхиму и принимает форму перевернутой чаши. Эта структура образует эмалевый орган, а нижележащая мезенхима, заполняющая полость чаши, называется зубным сосочком.
Дифференцировка зубных зачатков - 3 мес внутриутробного развития.
Эмалевый орган увеличивается в размерах, изменяет форму и постепенно отделяется от зубной пластинки. Клетки зубного зачатка активно пролиферируют и дифференцируются на внутренние, наружные и промежуточные. Внутренний эпителий состоит из высоких призматических клеток, образующих эмаль, отсюда их название - энамелобласты (enameloblasti). Наружный эпителий в процессе роста эмалевого органа уплощается, при прорезывании ЗБ он сливается с эпителием десны и в дальнейшем разрушается. Промежуточный эмалевый эпителий приобретает звездчатую форму из-за накопления между клетками жидкости и образует пульпу эмалевого органа, в дальнейшем пульпа принимает участие в образовании кутикулы (тонкой и плотной оболочки) эмали. Мезенхима, окружающая закладку ЗБ и зубной сосочек, уплотняется и образует зубной мешочек. К началу 5 мес эмалевый орган утрачивает непосредственную связь с эпителием ротовой полости, хотя остатки зубной пластинки могут длительно сохраняться (иногда из них развиваются кисты). Незадолго перед этим клетки зубной пластинки формируют второй эпителиальный зачаток, из которого будет развиваться постоянный ЗБ.
Гистогенез тканей зуба. Начинается с конца 4 мес, когда образуются важнейшие ткани: дентин, эмаль и пульпа (рис.2). Цемент формируется только через 4-5 мес после рождения при развитии корней. Таким образом, во внутриутробном развитии происходит развитие только коронок молочных ЗБ.

Рис.2. Гистогенез тканей зуба: 1- дентин, 2 - одонтобласты, 3 - пульпа зуба, 4 - энамелобласты, 5 эмаль.
Источником развития дентина являются одонтобласты (дентинобласты) - поверхностные клетки пульпы, производные мезенхимы. Верхушка дентинобластов имеет отростки, выделяющие органические вещества фибриллярной структуры - матрицу дентина - предентин. С конца 5 мес в предентине откладываются соли кальция и фосфора, формируется окончательный дентин.
Источником образования эмали являются внутренние клетки эмале-вого (зубного) органа - энамелобласты. Отростки энамелобластов выделяют органическую основу эмали - эмалевые призмы, которые затем обызвествляются. Образование дентина и эмали отличается от остеогенеза тем, что клетки не замуровываются в межклеточное вещество, а отодвигаются: энамелобласты - наружу, одонтобласты - внутрь.
В ходе отложения эмали и дентина определяется форма будущей коронки ЗБ. Незрелые энамелобласты размножаются и мигрируют в подлежащую мезенхиму, образуя структуру в виде трубки - эпителиальное корневое влагалище. Оно стимулирует дифференцировку одонтобластов и образование дентина корня. На наружной поверхности дентина из мезенхимы зубного мешочка незадолго до прорезывания ЗБ появляются цементобласты. Они выделяют коллагеновые волокна и межклеточное вещество, образуя цемент. Из наружного слоя соединительнотканного зубного мешочка формируется зубная связка (периодонт).
За счет роста и развития корня коронка выталкивается вверх, через слизистую оболочку (рис.3). Развитие корня - важнейший фактор прорезывания ЗБ. Вторым фактором является рост пульпы, приводящий к повышению давления внутри зубного зачатка и выталкиванию последнего за счет "реактивной" силы через каналы ЗБ. Кроме того, на дне зубной альвеолы происходит дополнительное отложение костной ткани слоями. Сочетание этих механизмов приводит к прорезыванию зубов.

Рис.3. Схема прорезывания постоянного зуба, замещающего молочный. 1- эмаль, 2 -дентин, 3 - пульпа, 4 - остеокласты.
Закладка постоянных зубов происходит в начале 5 мес внутриутробного развития. Зачаток постоянного ЗБ находится позади зачатка молочного. Когда прорезываются молочные ЗБ в зачатках постоянных происходит образование эмали и дентина. В процессе замены рост постоянного ЗБ и давление его эмали на корень молочного приводит к рассасыванию остеокластами более мягкой ткани - дентина молочного зуба. Последний выталкивается и заменяется постоянным.
3. Прикус
Прикус (occlusio) — соотношение зубных рядов при наиболее плотном смыкании зубов. Смыкание зубов верхней и нижней челюстей при различных движениях последней называется окклюзией. Откусывание и прожевывание пищи сопровождаются различными видами окклюзий. Откусывание осуществляется при передней (сагиттальной) окклюзии, когда смыкаются передние зубы, а боковые разобщаются (между ними появляется просвет). При жевательных движениях возникают боковые (трансверзальные) правая и левая окклюзии. Исходным и заключительным положением для всех жевательных движений нижней челюсти являются центральная (вертикальная) окклюзия, при которой линия, проходящая между центральными резцами обоих зубных рядов, совпадает со срединной линией лица.
Вид П. определяется характером смыкания зубных рядов в положении центральной окклюзии, что зависит от формы и размеров зубов, их количества и места в зубных рядах, а также от размеров челюстных костей и их положения. В норме понятия «прикус» и «центральная окклюзия» почти идентичны, т. е. прикусом считают соотношение зубных рядов в состоянии центральной окклюзии.
Нормальный, или физиологический, П. характеризуется определенными признаками. Все зубы верхней и нижней челюстей (за исключением третьего верхнего моляра и первого нижнего резца) контактируют между собой таким образом, что каждый зуб смыкается с двумя антагонистами. Каждый зуб верхней челюсти контактирует с одноименным и позадистоящим зубом нижней челюсти, каждый зуб нижней челюсти — с одноименным впереди стоящим зубом верхней челюсти; срединная линия лица проходит между центральными резцами верхней и нижней челюстей и находится с ними в одной сагиттальной плоскости. В зубных рядах промежутки между зубами отсутствуют. Зубные дуги имеют определению форму (верхняя — полуэллипса, нижняя — параболы). Наружная часть верхней зубной дуги больше внутренней части за счет наклона зубов в сторону преддверия рта. наружная часть нижней зубной дуги меньше внутренней части за счет наклона зубов в сторону полости рта. При смыкании зубных рядов формируется окклюзионная кривая. Суставная головка нижней челюсти находится в середине суставной ямки височно-нижнечелюстного сустава.
Различают несколько вариантов нормального П. (ортогнатический, прогенический, прямой, бипрогнатический). Они характеризуются смыканием зубных рядов на всем протяжении и отличаются друг от друга лишь особенностями смыкания функционально ориентированных групп зубов, в частности передних. Эталонным принято считать ортогнатический прикус (рис. 5, а), при котором верхний зубной ряд на всем протяжении перекрывает нижний, а во фронтальном участке верхние резцы перекрывают нижние не более чем на 1/>3 >коронковой части зуба; между резцами верхней и нижней челюстей имеется режуще-бугорковый контакт. Прогенический прикус (рис. 5, б) отличается умеренным выстоянием нижнего зубного ряда. Прямой прикус (рис. 5, в) характеризуется тем, что верхние резцы не перекрывают нижние, а смыкаются режущими краями. При бипрогнатическом прикусе (рис. 5, г) верхние и нижние резцы наклонены в сторону преддверия рта, но между ними сохранен режуще-бугорковый контакт. Для всех вариантов нормального прикуса обязательным условием является нормальное функционирование зубочелюстной системы.
Патологический П. формируется при аномалиях зубов и челюстей врожденного или приобретенного характера (пародонтоз, пародонтит и др.). Основным отличием патологического прикуса от нормального является нарушение смыкания зубных рядов в различных направлениях вплоть до полного отсутствия на отдельных участках, что приводит к изменению функции зубочелюстной системы.
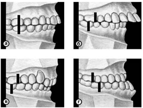
Существует множество классификаций аномалий П., однако общепринятой является международная классификация, предложенная в 1899 г. Энглом (Е.Н. Angle). В ее основе лежит соотношение первых моляров, что, по мнению Энгла, служит ключом окклюзии. В соответствии с классификацией к первому классу (рис. 6, а) относятся все аномалии, при которых первые моляры находятся в правильном соотношении (мезиально-шеечный бугор первого моляра верхней челюсти располагается в межбугорковой фиссуре первого моляра нижней челюсти), а все аномалии П. обусловлены изменениями зубов или челюстей спереди от первых моляров, например при скученности резцов, их протрузии (наклоне в сторону преддверия рта) или ретрузии (наклоне в сторону полости рта).
Во второй класс включены аномалии, при которых нарушено смыкание первых моляров и фронтальной группы зубов. Межбугорковая фиссура первого моляра нижней челюсти располагается позади мезиально-щечного бугра первого моляра верхней челюсти, т.е. нарушено смыкание зубов в сагиттальной плоскости (переднезаднем направлении). Подобные нарушения (так называемый дистальный прикус) могут быть обусловлены чрезмерным ростом верхней челюсти (прогнатией) или (реже) недоразвитием нижней челюсти (микрогенией). В зависимости от положения и смыкания фронтальной группы зубов во втором классе выделяют два подкласса: первый характеризуется протрузией резцов (рис. 6, б), второй — их ретрузией (рис. 6, в).
Третий класс (рис. 6, г) включает аномалии П., при которых межбугорковая фиссура первого моляра нижней челюсти располагается впереди мезиально-щечного бугра одноименного моляра верхней челюсти (мезиальный П., прогения, прогенический П., антериальный П.).
Кроме аномалий П. в сагиттальной плоскости существуют аномалии П. в вертикальной и трансверзальной плоскостях. К основным вертикальным аномалиям (определяются по отношению к горизонтальной плоскости) относится открытый и глубокий П. Открытый П. (рис. 7, а) — наличие щели между зубными рядами при их смыкании, чаще в области передних зубов, реже в области боковых. Иногда смыкаются только последние моляры, что приводит к выраженным нарушениям жевательной функции и особенно речи. При глубоком П. (рис. 7, б) передние зубы одной из челюстей в значительной степени перекрывают коронки зубов-антагонистов, нижние резцы не опираются на зубные бугорки верхних резцов, а соскальзывают к их десневому краю, что приводит к постоянному травмированию десен и неба; нижняя часть лица укорочена за счет уменьшения или дистального положения подбородка.
К трансверзальным аномалиям, определяемым по отношению к сагиттальной плоскости, относится перекрестный П. (рис. 7, в), при котором верхний зубной ряд в области боковых участков в значительной степени перекрывает нижний зубной ряд (латерогнатический П.) или нижний перекрывает верхний (латерогенический П.).
Кроме перечисленных выше видов патологического П. выделяют так называемый снижающийся прикус, который формируется вследствие стирания зубов или их утраты. При этом нижняя треть лица укорочена, расстояние между зубами увеличено (до 8—10 мм при норме 2—3 мм), углы рта опущены, носогубные складки резко выражены. При потере боковых зубов в детском или юношеском возрасте возможно дистальное смещение нижней челюсти. Снижающийся П., как правило, приводит к изменению соотношения элементов височно-нижнечелюстного сустава, в результате чего могут возникать боли в области сустава, затруднения и асимметрия движений нижней челюсти, щелканье или треск в суставе при его движениях, головные боли, шум в ушах.
Патологический П., возникший при уже сформировавшемся нормальном П. в результате заболеваний или утраты зубов, как правило, сопровождается деформацией зубных рядов, смещением отдельных зубов или их групп, иногда вместе с альвеолярным отростком.
Аномалии П. определяются при осмотре полости рта. Причину формирования аномалии устанавливают после изучения формы и размеров зубов, зубных рядов, апикальных базисов челюстей с помощью гипсовых моделей челюстей. Размеры челюстных костей и их положение в черепе определяют с помощью телерентгенографии, размеры и формы височно-нижнечелюстных суставов — с помощью томографии. Большое значение имеют функциональные методы исследования мышц челюстно-лицевой области (электромиография, миотонометрия), пародонта (гнатодинамометрия, периотестометрия), височно-нижнечелюстных суставов (аксиография, фонография).
Для исправления аномалий П. применяют ортодонтические методы лечения, направленные на изменение формы и нормализацию размеров зубных рядов, их соотношения и окклюзии. При резко выраженных аномалиях П. наряду с ортодонтическими методами применяют и оперативное лечение. При стирании или потере зубов показано протезирование. Лечебные мероприятия при аномалиях прикуса целесообразно начинать как можно раньше с момента их выявления.
Большое значение для формирования правильного П. у детей и сохранения его у взрослых имеют профилактические мероприятия, к которым относится выявление детей из групп риска (дети с врожденной патологией или неблагоприятной наследственностью, нарушением носового дыхания и др.), полноценное питание и правильный режим матери в период беременности, введение своевременного при корма, предупреждение рахита и других заболеваний у ребенка, устранение вредных привычек (сосание пальца, языка, щек). Особое место занимают своевременное лечение зубов и восстановление целостности зубных рядов путем их протезирования. В связи с тем что наиболее часто зубочелюстные аномалии возни кают в период смены зубов, дети от 6 до 13 лет нуждаются в особенно тщательном наблюдении.

Рис. 5а). Схематическое изображение челюстей при основных разновидностях нормального прикуса (вид сбоку): ортогнатический прикус.

Рис. 5б). Схематическое изображение челюстей при основных разновидностях нормального прикуса (вид сбоку): прогенический прикус.

Рис. 5в). Схематическое изображение челюстей при основных разновидностях нормального прикуса (вид сбоку): прямой прикус.

Рис. 5г). Схематическое изображение челюстей при основных разновидностях нормального прикуса (вид сбоку): бипрогнатический прикус.

Рис. 6. Схематическое изображение челюстей при сагиттальных аномалиях прикуса, по классификации Энгла: а — аномалии первого класса; б — аномалии второго класса, первого подкласса; в — аномалии второго класса, второго подкласса; г — аномалии третьего класса; вертикальными линиями указано соотношение верхнего и нижнего первых моляров.

Рис. 7а). Схематическое изображение челюстей при открытом прикусе.

Рис. 7б). Схематическое изображение челюстей при глубоком прикусе.

Рис. 7в). Схематическое изображение челюстей при перекрестном прикусе.
4. Оценка развития зубов. «Зубной возраст»
зуб прикус некариозный кальций
Как уже упоминалось выше закладка зубов начинается к концу второго а их кальцификация – с 5-7 мес внутриутробной жизни ( в основном молочных). Незадолго до родов кальцификация начинается в зачатках постоянных зубов которые будут в дальнейшем прорезываться первыми. Окончательно этот процесс завершается к 18-25 годам.
Поскольку сроки и последовательность формирования молочного и постоянного прикуса у детей достаточно определенны (таблица 2,3), их широко используют в определении « зубного возраста», который устанавливают путем подсчета числа прорезавшихся зубов и совпадения его со стандартными возрастными нормами.
Молочные зубы прорезываются с 6 мес до 2-2,5 лет и на этом отрезке постнатального онтогенеза могут служить в качестве показателя физиологической зрелости.
Таблица 2 Время прорезывания и выпадения молочных зубов (Losch P.K., цит. по: BermanR.E.,1991)

Таблица 3 Время прорезывания постоянных зубов (Losch P.K., цит. по: BermanR.E.,1991)

В молочном прикусе различают два периода. Первый длится от начала его формирования до 3-3,5 лет. В этом периоде зубы стоят тесно без промежутков между ними, стертость зубов незаметна, прикус ортогнатический в следствии недостаточного роста и вытягивания вперед нижней челюсти. Второй период (от 3,5 до 6 лет) характеризуется появлением физиологических промежутков между зубами (диастемы или тремы), значительной стертостью зубов и переходом прикуса из ортогнатического в прямой.
Смена молочных зубов на постоянные (период сменного прикуса) характеризует биологический возраст в интервале от 6 до 13 лет. В этот период выявлена корреляция зубного возраста с развитием скелета и уровнем полового созревания.
Половые различия в зубной зрелости отражают общий морфологический статус организма. У девочек раньше отмечают смену молочного прикуса на постоянный, что идет параллельно с более ранним ускорением роста и половым созреванием (Tonner D.,1962).
Как уже упоминалось первым из постоянных зубов прорезываются моляры, которые стабилизируют зубную дугу и играют большую роль в окончательном формировании челюсти и правильного прикуса. Кариес или другие дефекты этих зубов заслуживают особого внимания их не следует удалять без крайней надобности.
Затем последовательность прорезывания постоянных зубов примерно такая же, как и при прорезывании молочных. После смены молочных зубов на постоянные в возрасте около 12 лет появляются вторые моляры. Третьи моляры(зубы мудрости) прорезываются в возрасте 17-22 года в зависимости от индивидуального развития третьи моляры могут не прорезываться вообще или прорезываться более длительный период.
Для ориентировочного суждения о долженствующем количестве молочных зубов у ребенка 6-24 мес жизни можно использовать формулу:
n-4,
где n – число жизни.
Для ориентировочного суждения о долженствующем количестве постоянных зубов у детей старше 5 лет жизни используют формулу:
4n-20,
где n- возраст ребенка в годах.
Запоздалое прорезывание зубов характерно для гопотиреоза (задерживается прорезывание как молочных, так и постоянных зубов) нарушение фосфорно-кальциевого обмена тяжелых нарушений питания (недоедания, нарушение переваривания и всасывания) хронических инфекций. Нередко это проявляется и как конституциональная семейная особенность.

Рис. 8. Последовательность прорезывания молочных зубов у грудного ребенка (схематическое изображение): а — нижние центральные резцы (появляются примерно в 6-7 мес.), б — верхние центральные резцы (появляются в 7-8 мес.), в — верхние боковые резцы (появляются в 8-10 мес.), г — нижние боковые резцы (появляются в 10-12 мес.).
5. Классификация некариозных поражений зубов
Разнообразие этиологических факторов, вариации клинических проявлений в некоторой степени препятствуют созданию всеобъемлющей клинической классификацией некариозных поражений зубов. Многообразные некариозные поражения зубов соответственно времени их возникновения следует подразделять на две основные группы:
1. Поражения зубов, возникающие в период фолликулярного развития их тканей, т. е. до прорезывания зубов:
а) гипоплазия эмали;
б) гиперплазия эмали;
в) эндемический флюороз зубов;
а) аномалии развития и прорезывания зубов, изменения их цвета;
д) наследственные нарушения развития зубов.
2 Поражения зубов, возникающие после их прорезывания:
а) пигментации зубов и налеты;
б) стирание твердых тканей;
в) клиновидный дефект;
г) эрозия зубов;
д) некроз твердых тканей зубов;
е) травма зубов;
ж) гиперестезия зубов.
6. Поражения зубов, возникающие в период фолликулярного развития их тканей
1)ГИПОПЛАЗИЯ ЭМАЛИ
Гипоплазия эмали расценивается как порок ее развития, наступающий в результате нарушения метаболических процессов в развивающихся зубах и проявляющийся в количественном и качественном нарушении эмали зубов. Некоторые исследователи считают, что при гипоплазии нарушается формирование зубных тканей за счет изменения в образующих эмаль клетках — энамелобластах.
Другие авторы рассматривают гипоплазию эмали как дефект ее минерализации при нормальном формировании зубных тканей.
Указывается на невозможность разделения этих двух взаимосвязанных процессов. По их мнению, гипоплазия твердых тканей зуба возникает в результате нарушения как формирования эмали энамелобластами, так и ослабления процесса минерализации эмалевых призм.
Считается, что при гипоплазии нарушены не только процессы минерализации, но в первую очередь построение белковой матрицы эмали зуба в результате недостаточной или' замедленной функции энамелобластов.
Гипоплазия тканей зуба возникает при нарушении метаболических процессов в зачатках зубов под влиянием нарушения минерального и белкового обмена в организме плода или ребенка (системная гипоплазия) или местно-действующей на зачаток зуба причины (местная гипоплазия). При гибели энамелобластов эмаль не образуется. Недоразвитие эмали при гипоплазии необратимо, т. е. гипопластические дефекты не претерпевают обратного развития и остаются на эмали зубов на весь период жизни.
Классификацию гипоплазии эмали следует основывать на этиологическом признаке, так как гипоплазия зубных тканей различной этиологии имеет специфику, которая выявляется при клинико-рентгенологическом исследовании.
В зависимости от причины возникает гипоплазия твердых тканей группы зубов, формирующихся в один и тот же промежуток времени (системная гипоплазия), или нескольких рядом стоящих зубов одного, а чаще разного периода развития (очаговая одонтодисплазия). Наблюдается и гипоплазия одиночного зуба (местная гипоплазия).
Очаговая одонтодисплазия описана в специальной литературе под разными названиями: фантомные зубы, незавершенный одонтогенез, одонтодисплазия. Это редкая патология, встречающаяся у практически здоровых детей.. Характеризуется запоздалым развитием и прорезыванием нескольких рядом расположенных зубов, как временных, так и сменяющих их постоянных, одного или разного периода развития. Чаще страдают резцы, клыки или постоянные моляры, реже — все зубы одной половины верхней челюсти. Коронки этих зубов уменьшены за счет недоразвития эмали, имеют желтоватую окраску и шероховатую поверхность. На рентгеновских снимках твердые ткани представляются истонченными по сравнению с зубами противоположной стороны этой же челюсти, с укороченными корнями и более широкими каналами и неодинаковой плотностью тканей в различных участках коронок, что говорит о нарушенной минерализации. Этиология этой патологии не установлена.
Дифференцировать этот вид гипоплазии следует от системной и местной гипоплазии, а также наследственного нарушения развития эмали. Системная гипоплазия тканей зуба характеризуется нарушением строения эмали всех или только той группы зубов, которая формируется в один и тот же промежуток времени. По данным разных авторов, эта форма встречается у 2—14% детей. Возникает она в результате глубокого расстройства процессов ассимиляции и диссимиляции в организме плода под влиянием нарушенного обмена у беременной женщины или в организме ребенка под влиянием перенесенных заболевании или нарушения питания. К системной гипоплазии могут также приводить некоторые лекарственные вещества (тетрациклины), принимаемые будущей матерью во второй половине беременности или вводимые в организм ребенка.'
По материалам обследования детей г. Казани в 1992 г., системная гипоплазия зубов в возрасте от 2 до 13 лет наблюдается при молочном прикусе у 13%, а при сменном—у 7,4% детей. Системная гипоплазия эмали постоянных зубов отмечается у 1,9% практически здоровых детей. У детей, страдавших хроническими соматическими заболеваниями, сопровождающимися расстройством обмена веществ (начавшимися до или вскоре после рождения), гипоплазия зубов наблюдается значительно чаще (50% случаев и более).

Рис. 9. Системная гипоплазия (выраженная стадия поражения постоянных резцов, клыков и первого моляра).
Гипоплазия на временных резцах отмечена у детей, матери которых в период беременности перенесли такие заболевания, как краснуха, токсоплазмоз, токсикоз, или получали недостаточное по количеству и некачественное по составу питание. Гипоплазия наблюдалась у недоношенных, у детей с врожденной аллергией, перенесших гемолитическую желтуху, возникшую в результате несовместимости крови матери и плода по резус-фактору, перенесших родовую травму, родившихся в асфиксии. При аллергических заболеваниях отмечаются неустойчивое содержание кальция в крови, ацидотический сдвиг и нарушение водно-минерального обмена, что и приводит к гипоплазии тканей зуба. При гемолитической болезни новорожденных гипоплазия эмали в большинстве случаев развивается внутриутробно (на V—VIII месяце беременности), а иногда в течение 1-го месяца жизни ребенка;
На постоянных зубах гипоплазия развивается под влиянием различных заболеваний, возникших у детей в период формирования и минерализации этих зубов. Гипоплазию находят у детей, перенесших рахит, тетанию, острые инфекционные заболевания, болезни желудочно-кишечного тракта, токсическую диспепсию, алиментарную дистрофию, гипоплазию постоянных зубов — у детей с заболеваниями эндокринной системы, врожденным сифилисом, мозговыми нарушениями. 60% гипопластических дефектов постоянных зубов развивается в первые 9 мес жизни ребенка, когда адаптационные и компенсаторные возможности выражены слабее и любые заболевания, как острые, так и хронические, способны нарушить обменные процессы в его организме. Элементы гипоплазий чаще определяются в области режущего края резцов, режущего бугра клыка и бугров первых постоянных моляров. При повторных или продолжающихся у детей до 3-4 лет соматических заболеваниях системной гипоплазией поражаются все остальные зубы, однако локализация элементов различна.
Гипоплазия постоянных зубов у 63,3% детей развивается на 1-м году жизни и лишь у 36,7%—на 1-м и 2-м годах.
Из сказанного выше следует, что гипоплазию эмали следует рассматривать как заболевание полиэтиологическое, по патогенезу строго специфичное.
Клинически гипоплазия эмали проявляется в виде пятен, чашеобразных углублений (единичных или множественных) различной величины и формы, или линейных бороздок той или иной глубины и ширины, опоясывающих зуб и расположенных параллельно режущему краю или жевательной поверхности. С учетом количества гипопластических участков иногда удается уточнить, сколько раз возникало подобное нарушение обмена. Иногда наблюдается сочетание бороздок с углублениями округлой формы. В некоторых случаях на дне углублений или на буграх премоляров и моляров эмаль отсутствует.

Рис 10. Гипополазия центральных резцов верхней челюсти с поражением их вестибулярной и небной поверхностей.
Слабая степень недоразвития эмали может проявиться в виде пятер чаще белого, реже желтоватого цвета, с четкими границами и одинаковой величины на одноименных зубах. Поверхность пятна гладкая, блестящая или тусклая, что зависит от того, в каком периоде образования эмали была нарушена ее минерализация. Если поверхность пятна гладкая и блестящая, это свидетельствует о кратковременном и незначительном нарушении структуры эмали в виде очаговой деминерализации в подповерхностном слое. В данном случае создается впечатление, что пятно как бы просвечивает через неизмененный слой эмали. Если пятно тусклое, с измененной окраской и шероховатое, то поверхностный слой эмали изменен в результате нарушения процесса эмалеобразования в тот период, когда развитие эмали уже заканчивалось. Толщина эмали в области пятна такая же, как и на участке интактной эмали рядом с ним. На рентгеновском снимке эта форма гипоплазии обычно не выявляется.
Лечение гипоплазии эмали должно быть направлено на нормализацию процесса минерального обмена в общем обмене веществ. Местное лечение сводится к втиранию 75% пасты фторида натрия в поверхность зубов или покрытию специальным фторсодержащим лаком, что стимулирует реминерализацию эмали.
2) ГИПЕРПЛАЗИЯ ЭМАЛИ
Гиперплазия эмали, или «эмалевые капли» (жемчужины), — это избыточное образование ткани зуба при его развитии. «Эмалевые капли» наблюдаются у 1,5% пациентов. Возможно, что это несколько уменьшенная цифра, так как небольшую гиперплазию не всегда легко обнаружить, особенно на контактной поверхности зуба. Диаметр «эмалевых капель» от 1 до 2—4 мм. Обычно они расположены в области шейки зуба на границе эмали и цемента, а иногда и в области бифуркации (трифуркации) корней. В отдельных случаях образование представлено в виде бугорка, но чаще «эмалевая капля» имеет округлую форму, отграничена от зуба шейкой и по форме действительно напоминает каплю.
Эмаль, покрывающая каплю, обычно отграничена от основной эмали зуба участком цемента. Некоторые «эмалевые капли» построены из дентина, покрытого эмалью, но чаще внутри них имеются небольшие полости, заполненные пульпой. Клинически гиперплазия обычно ничем не проявляется и не вызывает каких-либо функциональных нарушений. По существу эти образования ближе к другой форме аномалии — срастанию коронок или корней хорошо сформированных зубов. Предполагают, что это связано с близким расположением зачатков зубов в зубообразовательной пластинке. Чаще наблюдается срастание центральных резцов с боковыми, реже — слияние нормального и сверхкомплектного зубов.
3) ЭНДЕМИЧЕСКИЙ ФЛЮОРОЗ (ФЛЮОРОЗ ЗУБОВ)
В 1900 г. итальянский врач Чийя обнаружил у жителей окрестностей Неаполя неизвестные до этого изменения зубов, в связи с чем назвал такие зубы крашеными, или черными. Это явление Чийя связывал с воздействием на зубы питьевой воды, загрязненной вулканическими выбросами. Спустя год подобное поражение зубов у итальянских эмигрантов наблюдал в США Эггер.
Впоследствии изменение цвета зубов было обнаружено у отдельных людей во многих странах и подобные зубы стали называть «испещренными», «рябая эмаль», «пятнистая эмаль». Последнее название, данное Влеком в 1916 г., нашло наиболее широкое распространение в специальной литературе.
Почти три десятилетия причина подобного поражения зубов была неизвестна. Высказывались различные мнения. В частности, предполагалось, что этиологическим фактором является содержание в водоисточниках некоторых редких элементов. Лишь в 1931 г. было установлено, что в питьевой воде населенных пунктов, где наблюдается пятнистость эмали, было повышено содержание микроэлемента фтора. В 1931 г. Смит и сотр. экспериментально доказали связь подобных изменений в развивающихся зубах животных с наличием избытка фтора в питьевой воде. Учитывая латинское название фтора (fluor), данное заболевание зубов стали именовать флюорозом, точнее эндемическим флюорозом.
Клиническая картина. Фтористые соединения, действующие на зубы экзогенно, не способны вызвать флюороза.
У детей, потреблявших с раннего детства воду, содержащую повышенное количество фтора, наиболее часто на постоянных и очень редко на временных зубах имеются мелоподобные пятна. Эмаль зубов в пораженных участках теряет блеск и прозрачность, становится тусклой и приобретает как бы «неживой» белесоватый фон, что объясняют особенностями светопреломления эмали, структура которой нарушена из-за хронической фтористой интоксикации.
У больных с легкими формами флюороза одиночные мелкие пятна выявляются на ограниченных участках губной поверхности коронок зубов. Такие изменения нередко возникают при невысоких концентрациях фтора в воде (до 1 мг/л). При той же концентрации фтора у других детей пятна множественные, захватывают значительную часть эмали и видны при осмотре коронок невооруженным глазом. При концентрации фтора 1,5 мг/л могут наблюдаться пятна светло-желтого цвета. Если содержание фтора составляет 1,5—2 мг/л, то поражения могут иметь вид волнистости или множественных точечных эрозий (крапинки).
Пятна темно-коричневого цвета, расположенные вблизи режущего края резцов, создают картину «подгорелых» коронок. При более высоких концентрациях фтора точечные эрозии «сливаются» между собой и вместе с пигментными и мелоподобными пятнами придают эмали изъеденный, «рябой» вид.
Та или иная форма флюороза сохраняется на всю жизнь и одна форма пятнистости не переходит в другую, независимо от насыщенности фтором нового водоисточника.
Классификация. Клинические проявления эндемического флюороза зубов почти все авторы классифицируют по восходящим степеням.
I степень. Слабое поражение, при котором на ⅓ губной (язычной) поверхности резцов или бугров жевательной поверхности первых моляров образуются мелоподобные пятнышки небольшого размера, которые с трудом различаются невооруженным глазом.
II степень. Аналогичные меловидные или слегка пигментированные до светло-желтого цвета пятна (одиночные или множественные) охватывают до половины коронки зуба, поражая большое количество зубов.
III степень. Умеренное поражение коронок многих зубов в виде более крупных пятен, захватывающих большую часть их коронок при более выраженной (темно-желтой или темно-коричневой) пигментации. Зубы становятся более хрупкими и легко подвергаются стиранию.
IV степень. Сильное поражение. На фоне описанных выше изменений отмечается значительное количество мелких, точечных эрозий, иногда сливающихся между собой. Меловидно измененная эмаль создает «неживой» вид, а иногда шероховатую поверхность. Более резко выражены стертость и скалывание эмали зубов за счет повышенной хрупкости твердых тканей. Возможна потеря естественной формы отдельных зубов, что может нарушить нормальный прикус.
Различается пять степеней флюороза зубов.
Штриховая форма. Характерно появление слабозаметных меловидных полосок, которые локализуются в области перекимат эмали. Этой формой флюороза поражаются чаще центральные и боковые резцы верхней челюсти, несколько реже—нижней. Процесс захватывает премущественно вестибулярную поверхность зуба.
Пятнистая форма — изменение эмали резцов, клыков, реже премоляров и моляров более выражено и проявляется в виде меловидных пятен, расположенных в различных участках коронки зуба. Интенсивность окраски пятна обычно более выражена в Центральной его части;
к периферии пятно постепенно, без резких границ переходит в нормальную эмаль. Поверхность эмали в области меловидного пятна гладкая, блестящая. Иногда нерезко выражена светло-желтая пигментация отдельных участков коронки зуба.
Меловидно-крапчатая форма. Как правило, поражаются зубы всех групп. Клиническая картина поражения разнообразна. Иногда вся поверхность коронок зубов депигментирована, имеет меловидный оттенок, но сохраняет блеск, однако чаще она приобретает матовый оттенок. И в том, и в другом случае нередко имеются отдельные участки пигментации эмали светло-коричневого или темно-коричневого цвета. Пятна располагаются на вестибулярной поверхности фронтальных зубов. В тех случаях, когда поверхность эмали утратила блеск и приобрела матовый оттенок, на ней могут наблюдаться небольшие, округлой формы дефекты эмали—крапинки диаметром до 1,5 мм и глубиной 0,1—0,3 мм. Дно их светло-желтого или темного цвета.
Эрозивная форма — более тяжелое поражение тканей зуба, при котором более резко выражена дистрофия (мелоподобное изменение эмалевого слоя) и пигментация эмали. Вместо небольших крапинок возникают более обширные и глубокие дефекты—эрозии. В отличие от крапинок эрозии могут иметь различную форму. Выявляется стирание эмали вплоть до обнажения дентина.

Рис11. Флюороз зубов (меловидно-крапчатая форма).
Деструктивная форма встречается в эндемических очагах флюороза с большим содержанием фтора в воде (10—20 мг/л). Помимо характерных, но более резко выраженных проявлений флюороза, наблюдается изменение формы коронок за счет эрозий, стирания и отлома отдельных участков зуба. При этой форме возникает поражение не только эмали, но и дентина.
Профилактика. С целью предотвращения поражения зубов флюорозом в населенных пунктах, где содержание фтора в воде превышает допустимые ГОСТом концентрации (от 0,8 до 1,5 мг/л), необходимо осуществлять комплекс профилактических мер как общественного, так и индивидуального характера.
Общественные меры сводятся к: 1) замене водоисточников с большим содержанием фтора на другие с меньшей (оптимальной) концентрацией его; 2) смешиванию вод (путем закольцовывания) нескольких водоисточников, богатых и бедных фтором, с доведением концентрации до необходимого уровня; 3) постройке водоочистных станций, способных осуществлять дефторирование питьевой воды.
В местностях, где по каким-либо причинам не может быть организовано обесфторивание воды, следует организовать подвоз в детские учреждения воды с нормальным содержанием фтора. Благоприятно сказывается вывоз дошкольников и школьников из очагов эндемического флюороза в летний период на дачи и в пионерские лагеря в местности, где не отмечается повышенное содержание фтора в водоисточниках.
Индивидуальные меры профилактики флюороза разнообразны. Ее следует начинать с момента рождения ребенка и до окончания сроков минерализации постоянных моляров.
Нежелательны искусственное вскармливание новорожденных и ранний прикорм детей в очагах эндемии. При необходимости прикорма следует избегать введения в пищу ребенка большого количества фторсодержащей воды следует по возможности заменять ее молоком (до 0,5—1 л в день) и фруктовыми соками.; В молоке коз и коров, даже потребляющих воду с повышенным уровнем фтора, содержится значительно меньше этого микроэлемента, чем в потребляемой детьми воде. Кроме того, в молоке животных имеются соли кальция, являющиеся своеобразным буфером по отношению к фтору, а также витамины и другие питательные вещества.
Полноценное питание способно ослабить отрицательное действие избытка фтора на организм детей. Важен умелый подбор продуктов (сбалансированный рацион питания). Пища детей должна быть богата белками, витаминами, особенно А, С и группы В (B1, B2, B6,). Установлено. что при флюорозе нарушается усвоение витамина С. Добавление к пищевому рациону витаминов группы В способствует снижению содержания фтора в твердых тканях (зубы, кости). В рацион детей должны быть включены овощи, фрукты, а в зимнее время и синтетические витамины в количествах, превышающих обычные нормы. Дополнительно вводят соли кальция и фосфора в виде кальция глюконата, кальция глицерофосфата, кальция лактата, фитина и др.
Необходимо исключить из пищевого рациона детей или предельно ограничить потребление продуктов, содержащих много фтора (морская рыба, жирное мясо, топленое масло, крепкий чай и т. д.).
Необходим тщательный уход за полостью рта (систематическая чистка зубов с использованием паст, содержащих глицерофосфат кальция, но без фтористых добавок).
Лечение флюороза является задачей сложной и проводится стоматологом. Иногда дефекты эмали сошлифовывают. Большое значение в предупреждении флюороза приобретают профилактические мероприятия, направленные на исключение отрицательных влияний как внешней (избыток фтора), так и внутренней среды (нарушение обмена веществ).
4)АНОМАЛИИ РАЗВИТИЯ И ПРОРЕЗЫВАНИЯ ЗУБОВ, ИЗМЕНЕНИЯ ИХ ЦВЕТА.
Нарушение прорезывания отдельных зубов (задержка их в челюсти чаще связано с неправильным расположением зачатков (ретенция зуба) или вызвана аномалией развития челюстей, а также сращением корней соседних зубов Чаще других зубов ретенции подвержены постоянные клыки верхней челюсти, вторые премоляры и третьи моляры нижней челюсти. Причиной задержки в челюстной кости третьи моляров является недоразвитие или малый размер нижней челюсти. Клиника и лечение подобной аномалии зависят от того, наблюдается ли воспалительный процесс или перикоронит. В таких случаях чаще прибегают к хирургическому вмешательству — удалению зуба.
Значительно реже наблюдаются случаи преждевременного прорезывания зубов, что связывают с акселерацией. Казуистикой является прорезывание у новорожденных временных центральных резцов верхней или нижней челюсти. Такие «врожденные» зубы, как правило, меньше одноименных временных зубов, прорезающихся в срок. Окраска их коронок обычная, реже желтоватая, иногда с участками очаговой деминерализации эмали. Во избежание травмирования соска груди матери при кормлении такие зубы подлежат немедленному удалению.
Сверхкомплектные зубы чаще наблюдаются в постоянном прикусе. Форма их неправильная, часто шиловидная; реже зубы нормальной формы. Они могут находиться в зубном ряду либо располагаться вне его. Чаще сверхкомплектные зубы прорезываются во фронтальном участке верхней челюсти, а иногда позади верхних третьих моляров. Исключительно редки случаи прорезывания нескольких сверхкомплектных зубов, создающих как бы второй зубной ряд, а также срастания двух рядом расположенных зубов (либо только коронками, либо корнями). Убедительного объяснения причин развития подобных аномалий нет.
Наблюдается и уменьшение общего количества зубов — адентия. Крайне редко возникает полная адентия, что может быть связано с глубокими нарушениями наследственного характера; чаще адентия бывает частичной.
Самой распространенной аномалией зубов является изменение формы, числа и величины корней зубов. Наиболее разнообразно строение коронок и корней третьих моляров. Корни их часто искривлены, наблюдается слияние нескольких корней в один или, наоборот, имеется ряд узких каналов, анастомозирующих между собой.

Рис 12. Молочные боковые резцы, адентия, 2 I 2
В связи с этим обстоятельством, а также потому, что они расположены на большем удалении от сагиттальной плоскости, лечение третьих моляров по поводу пульпита и периодонтита всегда вызывает значительные трудности.
Дополнительный второй корень нередко бывает у второго премоляра верхней челюсти, реже у клыков и резцов. Даже при наличии одного корня не исключается образование дополнительных каналов, что может быть установлено при рентгенографии в процессе эндодонтического вмешательства.
Изменение цвета временных зубов (желтый, серо-желтый, темно-коричневый, желто-зеленый, коричнево-зеленый, черно-коричневый, серый, зеленый, голубой, лиловый, черный) наблюдается у детей, перенесших гемолитическую болезнь новорожденных. Образующийся при гемолизе эритроцитов непрямой билирубин, откладываясь в тканях зуба, приводит к окрашиванию зубов в различные цвета и может влиять на процесс гистогенеза, приводя к недоразвитию эмали — системной гипоплазии. В отличие от системной гипоплазии, вызванной другими заболеваниями, гипоплазия после гемолитической желтухи, вызванной несовместимостью крови матери и ребенка по резус-фактору, обязательно сочетается с изменением окраски коронок молочных зубов.
Такие зубы следует дифференцировать от «тетрациклиновых» зубов, дисплазии Капдепона. Уточнению причины изменения окраски зубов способствуют анамнез, осмотр зубов под ультрафиолетовыми лучами и гистохимически тесты на желчные пигменты.
«Тетрациклиновые» зубы. «Тетрациклиновыми» называют зубы с измененной окраской, что вызвано отложение тетрациклина в тканях зуба. Он откладывается в эмали и дентине развивающихся зубов, а также в костях плода при введении в организм беременной женщины или ребенка тетрациклина при лечении различных заболеваний. Тетрациклин может вызвать не только окрашивании зубов, но и гипоплазию эмали.
При введении в организм даже небольших доз тетрациклина формирующиеся в этот период зубы окрашиваются в желтый цвет. Интенсивность окраски от светло-желто до темно-желтой, что зависит от вида тетрациклина и его количества. Более интенсивная окраска наблюдается при приеме диметилхлортетрациклина, менее интенсивная —при употреблении окситетрациклина.
Локализация окрашенных участков зуба связана с периодом одонтогенеза во время приема тетрациклина. Лечение беременной тетрациклином приводит к изменению окраски у ребенка передних зубов, а именно трети коронок резцов, начиная от режущего края и жевательной поверхности моляров. Полагают, что тетрациклин проникает через плацентарный барьер.
Введение тетрациклина ребенку в первые месяцы жизни также приводит к окрашиванию коронок временных зубов — пришеечной части резцов и бугров у моляров и клыков. Применение тетрациклина, начиная с 6-месячного возраста ребенка, вызывает окрашивание не только временных моляров, но и постоянных зубов, формирующихся в эти сроки. Окрашивается, как правило, не вся коронка зуба, а только та ее часть, которая формируется в этот период.
Зубы, окрашенные тетрациклином в желтоватый цвет, обладают способностью флюоресцировать под влиянием ультрафиолетовых лучей. Это свойство можно использовать для дифференциации от окраски зубов, вызванной другими причинами, например билирубином при гемолитической болезни новорожденного.
Со временем окраска зубов под влиянием света изменяется: из желтой превращаются в серую, грязно-желтую или буровато-коричневую. Изменение окраски наблюдается преимущественно на вестибулярной поверхности передних зубов. На язычной поверхности этих зубов и на всех поверхностях коронок моляров окраска остается прежней С ослаблением окраски коронки зуба утрачивается способность ее к флюоресценции.
В связи с тем, что окрашивание эмали зуба тетрациклином стойкое и в дальнейшем ткани зуба невозможно отбелить тетрациклин детям следует назначать только по жизненным показаниям и в том случае, если невозможно заменить его другим препаратом.
5) НАСЛЕДСТВЕННЫЕ НАРУШЕНИЯ РАЗВИТИЯ ЗУБОВ
Некариозные поражения зубов возникают не только под влиянием эндогенных и экзогенных факторов но могут быть следствием нарушения развития тканей зуба и наследственного характера.
В результате патологических изменений эктодермальных клеточных образований нарушается развитие эмали, а следствием патологии мезодермальных клеточных образований является неправильное формирование дентина. Одновременно подобное нарушение развития обеих тканей зуба наблюдается при некоторых наследственных заболеваниях организма, таких, как мраморная болезнь, болезнь Лобштейна — Фролика, но чаще обнаруживается у лиц, в семейном анамнезе которых нет этих заболеваний и сами они практически здоровы (дисплазия Капдепона).
Лечение наследственного нарушения строения эмали заключается в покрытии зубов коронками из различного материала (фарфор, пластмасса, металл), выбор которого в основном определяется групповой принадлежностью зуба.
При наследственном нарушении строения дентина после потери отдельных зубов рекомендуются только съемные протезы.
7. Патология твердых тканей зубов, развивающихся после их прорезывания
1. ПИГМЕНТАЦИИ ЗУБОВ И НАЛЕТЫ
Отложения на зубах представляют собой инородное вещество различной консистенции и цвета. Эти наслоения на твердые зубные ткани приводят или только к изменению цвета зубов, или к более глубоким изменениям в самих зубах и даже в окружающих зубы опорных тканях. Различают мягкие (налеты) и твердые (зубной камень) отложения.
При оценке вида зубного налета следует иметь представление о цвете зубов в норме и при воздействии на них некоторых эндогенных и экзогенных факторов. Здоровые зубы в норме имеют белый цвет с различного рода оттенками от голубовато-белого (временные или молочные зубы) до бело-серого и даже желтоватого (постоянные зубы).
На изменение цвета зуба влияют многие эндогенные факторы. Так, зубы могут окрашиваться в розовый цвет при кровоизлияниях в пульпу в результате тяжело протекающего вирусного гриппа или холеры. Желтый оттенок приобретают зубы при проникновении пигментов при желтухе. Длительный прием антибиотиков тетрациклиновой группы будущей матерью (в последние 6 мес беременности), а также детьми дошкольного возраста способствует изменению цвета временных и постоянных зубов ребенка в серовато- желтый цвет. Изменение цвета зубов происходит и после некроза пульпы, когда в результате проникновения продуктов гнилостного распада через дентинные канальцы (трубочки) эмаль зуба становится более тусклой.
К внешним факторам, способным изменять цвет эмали зуба на тот или иной срок, относятся пищевые и лекарственные вещества. Ягоды (черника, черемуха) окрашивают зубы в сине-черный цвет. Лекарственные вещества, применяемые для полоскания полости рта или ротовых ванночек, также на непродолжительный срок придают зубам и слизистой оболочке рта желтый или коричневый оттенок (лактат этакридина, перманганат калия и др.). Свинец придает шейкам зубов фиолетовый цвет.
Коричневый и даже черный налет на зубах наблюдается у курильщиков.
Мягкий налет (отложения) в виде мягкой маркой массы покрывает чаще всего пришеечные участки коронки зуба и межзубные промежутки. Наблюдается у людей, плохо ухаживающих за полостью рта и страдающих заболеванием десен.
У лиц со здоровыми зубами и деснами при ненарушенном акте жевания на обеих сторонах челюстей мягкий налет в момент приема пищи частично удаляется, сохраняясь лишь в указанных местах в перерывах между актом жевания, например по утрам, так как в течении ночи зубы не очищаются.
При плохом уходе за полостью рта при наличии больных зубов или воспалении десен, что затрудняет разжевывание пищи, мягкий пищевой налет белого цвета откладываются в значительном количестве не только в области шеек и контактных поверхностей, но и на других участках в том числе на жевательной поверхности зубов.
Под микроскопом в мягком белом налете определяются пищевые остатки, скопление клеток отторгшегося эпителия лейкоциты и микроорганизмы. Кроме кокковой группы обнаруживаются палочковидные формы, грибки и спириллы. Если мягкий налет не удалять, то в нем постепенно накапливаются неорганические вещества, главным образом соли кальция, содержащиеся в слюне. Так образуется твердый наддесневой зубной камень.
Зеленое мягкое отложение на зубах ранее называли зеленым камнем, или пристлеевой массой. Причиной зеленого налета является развитие грибка Lichen clentalis, производящего хлорофилл. В связи с этим такое отложение наблюдается в большей степени на передних зубах, которые подвергаются действию света. Однако не исключается отложение его на молярах. Характерно поражение только губной и щечной поверхностей постоянных и временных зубов. Отложение чаще отмечается на зубах верхней челюсти и очень редко на зубах нижней челюсти. Зеленый налет обнаруживается у лиц любого возраста, но особенно часто у детей.
Существует представление, что зеленый налет является результатом образования сульфметгемоглобина, который выделяется при кровоточивости десен. Он имеет вид отдельной пленки или отдельных полос на шейках зубов, которые очень плотно фиксированы на эмали и снимаются с большим трудом. По мнению большинства авторов, зеленое отложение оказывает разрушающее действие на эмаль. Участки эмали под ним теряют блеск, становятся шероховатыми и менее твердыми. В многочисленных, узурах эмали под микроскопом обнаруживаются бактерии. Зеленый налет другой этиологии может наблюдаться у рабочих некоторых предприятий в случае попадания медной пыли в полость рта.
Лечение. Раннее удаление зубных отложений с профилактической целью очень важно.
Мягкий налет частично удаляют во время прополаскивания полости рта водой или антисептическим раствором. Врач удаляет налет с помощью ватных тампонов, обильно смоченных растворами перекиси водорода, перманганата калия и др. Плотный зубной налет и налет курильщиков удаляют экскаватором с последующей очисткой зубов специальной щеткой с пемзой или деревянными полирами и резиновыми чашечками, или специальными аппаратами для удаления твердых зубных отложений.. После полирования проводится антисептическая обработка десневого края перекисью водорода или спиртовым раствором йода или др. антисептическими растворами..
Для восстановления обычного цвета зуба при потемнении его необходимо вяснить, временный или постоянный характер носит окраска зуба.
Наилучшим отбеливающим действием обладают хлор и кислород. Некоторые авторы рекомендуют для отбеливания использовать кварцевую лампу. При недостаточной эффективности физиотерапевтических методов отбеливания потемневших коронок зубов (кварц, электрофорез) такие зубы по эстетическим показаниям покрывают пластмассовыми или фарфоровыми коронками.
2. СТИРАНИЕ ЗУБОВ
Процесс стирания твердых тканей зубов выражен в той или иной степени у каждого человека и является результатом физиологической функции зубов—жевания. Смыкание зубов, пережевывание пищи постепенно приводят к стиранию жевательных поверхностей и режущих краев зубов, более выраженному у лиц среднего и пожилого возраста. При нормальном соотношении зубов (ортогнатический прикус) у постоянных резцов верхней челюсти быстрее стирается небная поверхность, а у таких же зубов нижней челюсти— губная. У премоляров и моляров верхней челюсти быстрее стираются язычные бугры, у таких же зубов нижней челюсти — щечные.
Патологическая стертость (стираемость) твердых тканей зубов является довольно распространенным заболеванием и наблюдается у 11,8% людей.
Опрёделенное значение имеет множество различных факторов (например, употребление в пищу большого количества фруктов, минеральных вод и т. п.), которые в той или иной степени влияют на стирание зубов. При этом необходимо учитывать также такие факторы, как конституция человека, наследственность, различные заболевания, особенности нервной, эндокринной систем и пр.
Лечение зубов с патологической стертостью представляет определенные сложности и нередко требует ортопедического завершения. В первую очередь необходимо устранить местные причины, вызвавшие данное патологическое состояние зубов. Устранение повышенной чувствительности (гиперестезии) проводится с использованием тех же методик, которые приведены при описании лечения клиновидных дефектов.
Если стирание зубов сочетается с другими видами некариозной патологии зубов (флюороз, эрозии, клиновидные дефекты), то следует направлять усилия и на устранение этих заболеваний. Для исключения травмы слизистой оболочки губ, щек и языка необходимо сошлифовать острые края зубов. При значительной стертости коронковая часть зубов может быть частично восстановлена ортопедическими конструкциями.
3. КЛИНОВИДНЫЙ ДЕФЕКТ
Этот вид некариозного поражения твердых тканей зуба чаще встречается у людей среднего и пожилого возраста. Клиновидный дефект у 8—10% больных является симптомом некоторых болезней пародонта, когда происходит обнажение шеек зубов.
Причина возникновения клиновидного дефекта недостаточно изучена. Из имеющихся ранних теорий наиболее распространены механическая и химическая. Механическая теория предполагает травматическое воздействие на шейки зубов во время чистки зубов щеткой и порошком. Несостоятельность этой теории заключается в том, что далеко не у всех людей, пользующихся зубной щеткой, развиваются клиновидные дефекты. В то же время иногда они возникают у лиц, вообще не чистящих зубы. Этот вид некариозной патологии зубов обнаружен также у некоторых животных (например, у лошадей и коров).
Химическая теория объясняет возникновение клиновидных дефектов деминерализирующим действием кислот, которые образуются в процессе брожения пищевых остатков в пришеечной области зубов.
Более современны представления о роли эндокринных нарушений, заболеваний центральной нервной системы и желудочно-кишечного тракта. При обследовании группы больных с патологией желудочно-кишечного тракта обнаружили клиновидный дефект у 23,6%. Чаще всего (до 32,5%) он выявлялся при хронических гастритах и колитах, несколько реже — при язвенной болезни желудка и двенадцатиперстной кишки (26,7%), значительно реже (12,5%)—при заболевании печени и желчных путей. У указанных групп больных диагностирован также пародонтоз (от 57 до 67,5%). Высокая частота клиновидных дефектов установлена также у людей, перенесших инфекционный энцефалит (23%). Сочетанное поражение зубов с образованием клиновидных дефектов и дистрофические поражения пародонта отмечены при заболеваниях почек (10%), органов дыхания (11,8%), при сердечно-сосудистой патологии (9,5%), при эндокринных заболеваниях (7,4%), при патологии центральной нервной системы (7,2%).
Следовательно, у значительной части обследованных с неблагополучным состоянием внутренних органов была выявлена высокая частота образования клиновидных дефектов (15,6%), что значительно выше распространенности подобных поражений у лиц без перечисленных соматических болезней (3,3%), но страдающих пародонтозом. Полученные данные позволяют усматривать в патогенезе клиновидного дефекта несомненную роль сопутствующих соматических заболеваний и в первую очередь болезни желудочно-кишечного тракта, нервной и эндокринной систем. Дополнительным, хотя и косвенным, доказательством влияния общих неблагоприятных факторов являются наблюдения, подтверждающие возможность сочетания клиновидных дефектов с патологической стираемостью тех же зубов, что позволяет предполагать несовершенство их структуры.
На ранних стадиях развития клиновидные дефекты не имеют форму клина, а выглядят как поверхностные ссадины либо как тонкие трещины или щели, которые удается рассмотреть лишь в лупу. Затем эти углубления начинают расширяться и, достигая определенной глубины все больше принимают форму клина. При этом дефект сохраняет ровные края, твердое дно и как бы полированные стенки. По мере прогрессирования патологического процесса возрастает ретракция десневого края и обнаженные шейки зубов все острее реагируют на различные раздражители. Предлагается делить все виды данной патологии на четыре группы:
1. Начальные проявления без видимой глазом убыли ткани.
2. Поверхностные клиновидные дефекты.
3. Средние клиновидные дефекты
4. Глубокий клиновидный дефект
Клиновидные дефекты могут быть единичными, но чаще они множественные, располагающиеся на симметричных зубах.
Лечение клиновидного дефекта может быть, общим и местным. Общее лечение предусматривает назначение внутрь макроэлементов и витаминов с целью укрепления структуры зубов и снятия повышенной чувствительности пораженных шеек (гиперестезии). Так, был предложен эндогенный метод лечения гиперестезии органическими фосфорнокальциевыми препаратами в сочетании с витаминами.
Еще больший эффект удается получить при сочетании эндогенного лечения гиперестезии с местным применением глицерофосфата или глюконата кальция.
При клиновидных дефектах, глубина которых превышает 2 мм, производят пломбирование. В отдельных случаях при опасности облома коронки зуба отдают предпочтение изготовлению искусственных коронок (металлических, желательно с облицовкой из пластмассы или фарфора).
С целью замедлить развитие патологического истирания щеек зубов рекомендуют чистить зубы через день мягкой щеткой, применяя пасты, содержащие фтор или глицерофосфаты («Арбат», «Фтородент», «Жемчуг» и др.), способные в определенной степени реминерализовать ткани зуба. На другой день следует пользоваться зубной щеткой, только увлажненной водой, для устранения мягкого зубного налета. Движения зубной щетки должны производиться вертикально и быть круговыми. В процессе чистки зубов следует менять руки, удерживающие щетку.
4. ЭРОЗИЯ ТВЕРДЫХ ТКАНЕЙ ЗУБА
Эрозия — прогрессирующая убыль твердых тканей зубов (эмали или эмали и дентина) недостаточно выясненной этиологии. Некоторые иностранные авторы полагали, что эрозия зубов, как и клиновидный дефект, возникает исключительно от механического воздействия зубной щетки и порошка. Другие считают, что возникновение эрозии связано с употреблением в пищу большого количества плодов цитрусовых и их соков. Подразумевали и неблагоприятное влияние различных заболеваний—подагры, нервно-психических расстройств и т. д.
Важную роль в патогенезе эрозий твердых тканей зубов отводит эндокринным нарушениям и, в частности, гиперфункции щитовидной железы (тиреотоксикозу).
Лечение. Важным элементом комплексного лечения эрозий считается усиление гигиенического ухода за зубами и исключение из пищевого рациона или хотя бы ограничение употребления кислых продуктов (лимоны и другие цитрусовые). Исходя из предположения, что и механический фактор, возможно, играет определенную роль в патогенезе этого заболевания, следует рекомендовать при чистке зубов пользоваться более мягкой зубной щеткой, а вместо гигиенических зубных порошковой паст применять лечебно-профилактические, содержащие; глицерофосфат, фтор и другие микроэлементы и соли.
5. НЕКРОЗ ТВЕРДЫХ ТКАНЕЙ ЗУБА
Некроз тканей зуба является тяжелым заболеванием, которое нередко приводит к полной потере зубов. Это поражение может быть вызвано как экзогенными, так и эндогенными причинными факторами. К последним относят нарушение деятельности эндокринных желез, заболевания центральной нервной системы, хронические интоксикации организма или наследственные нарушения развития зубов. Одной из разновидностей подобной некариозной патологии твердых тканей зуба является пришеечныи некроз.
Эта патология зубов наиболее часто возникает у больных с гипертиреозом и у женщин в период беременности, а иногда и после нее. Особенно интенсивно данное заболевание протекает при сочетании беременности с гипертиреозом. Тяжелыми симптомами тиреотоксикоза являются нарушения белкового и минерального обмена. Возможно, что это и есть одна из причин развития пришеечного некроза эмали.
Характерно образование очагов некроза ткани на вестибулярной поверхности в области шеек резцов, клыков. премоляров и значительно реже моляров. Границы дефекта не стабильны; отмечается тенденция к увеличению его. У некоторых больных при отсутствии надлежащего ухода за полостью рта в области дефекта образуется кариозная полость. При подобном активном течении, в особенности при сочетании гипертиреоза с патологически протекающей беременностью, некротический процесс может распространиться на всю вестибулярную поверхность коронок. Эмаль всего зуба становится настолько рыхлой, что легко соскабливается экскаватором.
Возникновение пришеечного некроза, особенно в стадии утраты эмалевого покрова, обычно сопровождается повышенной чувствительностью зубов ко всем видам раздражителей (температурный, химический, механический).
Лечение. Больной с пришеечным некрозом эмали должен быть тщательно обследован эндокринологом. При подтверждении диагноза «гипертиреоз» показаны соответствующее лечение и диспансерное обслуживание. При выраженной гиперестезии шеек зубов применяют средства, способствующие ее устранению или хотя бы ослаблению интенсивности.
6. ТРАВМА ЗУБОВ
Травма зубов возникает при воздействии на зуб травмирующих факторов, к которым относится удар по зубу твердым предметом или повышенная нагрузка на зуб во время функции жевания.
Травму различают по срокам возникновения, этиологическому фактору и клинико-рентгенологическим проявлениям. У детей чаще встречается одномоментная (острая) травма. Причиной острой травмы является удар по зубу при случайном падении, занятиях спортом, неумелом обращении с животными. Острая травма в 32% случаев служит причиной разрушения и утраты передних зубов у детей.
Вид острой травмы зависит от силы удара, его направления, месте приложения травмирующей силы, а также от возрастных особенностей строения зуба и костной ткани. Во временных зубах наиболее часто встречается вывих зуба, затем перелом, реже отлом коронки. В постоянных зубах по частоте следуют отлом части коронки, затем вывих, ушиб зуба и перелом корня зуба. Травма зубов бывает у детей различного возраста, однако временные зубы чаще травмируются в возрасте от 1 года до 3 лет, а постоянные в 8—9 лет.
Классификация острой травмы зубов
I. Ушиб зуба (без повреждения или с повреждением сосудисто-нервного пучка).
II. Вывих зуба:
неполный (без повреждения или с повреждением сосудисто-нервного пучка):
а) со смещением коронки в сторону окклюзионной поверхности;
б) со смещением коронки в сторону преддверия полости рта;
в) со смещением коронки в сторону соседнего зуба;
г) со смещением коронки в небную сторону;
д) с поворотом вокруг оси;
е) комбинированный;
2) вколоченный;
3) полный.
III. Перелом:
коронки зуба:
а) в зоне эмали,
б) в зоне эмали и дентина без вскрытия или со вскрытием полости зуба;
шейки зуба:
а) выше дна зубодесневой бороздки;
б) ниже дна зубодесневой бороздки;
3) корня зуба с разрывом или без разрыва пульпы в месте перелома (без смещения или со смещением отломков): поперечный, косой, продольный, оскольчатый, в пришеечной, верхушечной и средней частях зуба.
IV. Комбинированная травма.
V. Травма зачатка зуба.
7. ГИПЕРЕСТЕЗИЯ ТВЕРДЫХ ТКАНЕЙ ЗУБА
Термином «гиперстезия» принято обозначать повышеную болевую чувствительность твердых тканей зуба к действию температурного, химического и механического раздражителей. Так, дети с гипертензией зубов часто испытывают боль не только во время приема пищи, но и при употребелении холодной и горячей воды, чистке зубов и т д, что является наиболее частой жалобой.
Длительное время считали, что эмаль и обызвествленная часть дентина не имеют нервных окончаний. Для объяснения болевой чувствительности дентина были предложены различные гипотезы. Были обнаружены в отростках одонтобластов большое количество холинэстеразы, которая, наряду с ацетилхолином играет важную роль в передаче нервного импульса. Вследствие этого отростки одонтобластов обладают способностью проводить болевые импульсы от эмалево-дентинного соединения к нервным окончаниям в пульпе.
Также считается, что протоплазматические отростки одонтобластов воспринимают болевое раздражение. При повреждении последних выделяется гистамин, который оказывает раздражающее действие на чувствительные нервы, находящиеся в слое одонтобластов. Таким образом, многие авторы полагали, что одонтобласты являются как бы рецепторами боли.
Имеется два рода повышенной чувствительности дентина: одна имеет место при непосредственном обнажении дентинных канальцев с находящимися в них протоплазматическими отростками одонтобластов, а другая вторично наступает вследствие передачи воздействия температурного, хронического и механического раздражителей через цемент.
Из приведенных данных видно, что механизм возникновения боли в твердых тканях окончательно не выяснен.
Кроме того, высокая чувствительность дентина ко всем видам раздражителей обусловлена проникновением из пульпы в дентин нервных окончаний.
Лечение сводится к проведению комплексных мероприятий, из которых основным является метод флюоризации (втирание 75% пасты фторида натрия в эмаль). В отдельных случаях показано изготовление коронок для большей изоляции зубов от воздействия внешних факторов.
8. Влияние кальция на организм
Развитие зубов у ребенка начинается уже в утробе матери. Не следует применять тетрациклин, т.к. он вполне может вызвать изменение цвета молоденьких зубиков. Беременная мама должна следить за состоянием своих зубов, т.к. зубной кариес является очагом инфекции, которая воздействует на плод. Ребенок, находящийся в животике, берет кальций из маминого организма, из-за этого мамины зубы портятся гораздо быстрее.
Кальций- Основной компонент костной ткани и важнейший биогенный элемент, обладающий важными структурными, метаболическими и регуляторными функциями в организме
В организме кальций выполняет следующие функции: создает основу и обеспечивает прочность костей и зубов; участвует в процессах нейромышечной возбудимости (как антагонист ионов калия) и сокращении мышц; регулирует проницаемость клеточных мембран; регулирует ферментативную активность; участвует в процессе свертывания крови (активирует VII, IX и X факторы свертывания). Гомеостаз кальция (постоянство содержания в крови) является результатом равновесия следующих процессов: всасывания его в кишечнике, обмена в костях, реабсорбции и выведения в почках. Эти процессы регулируются основными регуляторами кальциевого обмена: паратгормоном и кальцитриолом (витамин D3), которые повышают уровень Са в крови, и кальцитонином, который снижает в крови его уровень, а также другими гормонами.
Поэтому дефицит кальция нужно возмещать. Дневная потребность в кальции для беременной составляет 1000 мг, для кормящей матери - 2000 мг. Но назначать витамины, способствовавшие восполнению кальция должен назначать стоматолог совместно с гинекологом, который знает об особенностях здоровья мамы и будущего ребенка. "Грудничку" до шестого месяца необходимо 400 мг кальция в день, а в последующие полгода - 600 мг. Много кальция содержится в рыбе, злаках, молоке и молочных продуктах, сухофруктах, овощах. Беременная женщина обязательно должна принимать молочные продукты. Если же у беременной женщины аллергия на цельное молоко, то можно заменить его кисломолочными продуктами.
9. Влияние фтора на организм
Фтор повышает устойчивость зубов к кариесу, стимулирует кроветворение, репаративные процессы при переломах костей, реакции иммунитета, участвуют в росте скелета, предупреждает развитие старческого остеопороза. Также в сочетании с кальцием влияет на устойчивость организма к радиационному поражению и является биокатализатором процессов минерализации, способствуя связыванию тканями фосфата кальция, использующегося с лечебной целью при рахите.
Но при недостатке развивается кариес, а при избытке – флюороз.
В пищевых продуктах фтора обычно содержится мало. Исключение составляет морская рыба – в среднем 500 мг%, при этом в скумбрии содержится до 1400 мг%.
Из воды всасывается до 95-97% содержащегося в ней фтора, а из пищи около 70-80%. Из поступающего более 90% попадает в кровопоток и распространяется по всему организму.
С мочой выделяется в итоге от 50-66%, остальное его количество фиксируется в костной ткани и очень небольшая доля в зубах. В состав зубов входит до 0.02%,а в крови от 0.03 до 0.15 мг/л.
Среднесуточную дозу можно получить, употребляя продукты, которые представлены в таблице 1.
Также с чаем и некоторыми растениями. Накопление фтора в растениях связано с выбросами его в окружающую среду алюминиевыми заводами. В опасных районах концентрация фторидов во фруктах и овощах была в 10-30 раз выше, чем в районах, удаленных от промышленного производства.
Таблица 1 Продукты питания, особенно богатые фтором
|
Продукты питания |
Содержание Фтора в мг |
|
Морская рыба: |
|
|
150 г трески |
0,105 |
|
150 г морского окуня |
0,210 |
|
150 г пикши |
0,240 |
|
150 г сельди, скумбрии |
0,525 |
|
Пресноводная рыба: |
|
|
150 г угря |
0,240 |
|
150 г лосося |
0,870 |
|
Рыбные продукты длительного хранения: |
|
|
45 г копченой сельди |
0,160 |
|
45 г лосося |
0,200 |
|
45 г вяленой трески |
0,225 |
|
45 г филе сельди в томатном соусе |
0,960 |
|
Птица: |
|
|
150 г куриной грудки |
0,210 |
|
100 г куриной печени |
0,190 |
|
Хлебопродукты: |
|
|
60 г гречихи, зернового хлеба (очищенного) |
0,100 |
Также залогом здоровья зубов и десен, всех органов и тканей полости рта является тщательная регулярная, систематическая и правильная гигиена полости рта, проводить которую необходимо с самого раннего возраста, с младенчества, когда еще даже не прорезались первые молочные зубы.
Научив и приучив ребенка к проведению гигиенических процедур в полости рта, можно рассчитывать на сохранение зубов и десен в хорошем здоровом состоянии и в его последующей жизни.
Для этого необходимо себе четко представлять основные направления использования и применения основных и вспомогательных средств гигиены полости рта (СГПР) для детей и подростков. Тем более, что истинно детских и подростковых средств оральной гигиены (СОГ) не так уж много. В большинстве случаев детские СГПР представляют собой уменьшенные копии СГПР для взрослых, что далеко не соответствует реальным потребностям ребенка.
10. Профилактический эффект фтора
Профилактический эффект фтора заключается в том, что дополнительное его введение в эмаль зуба приводит к образованию устойчивой формы фторапатита (основного компонента зубной ткани), который повышает устойчивость эмали к разъедающему действию кислот.
Чтобы профилактика давала наибольший эффект, необходимо одновременно воздействовать на все основные факторы риска в развитии зубов. Профилактика кариеса зубов препаратами фтора получила наибольшее распространение в мире, это - единственный метод, позволивший достичь реального снижения заболеваемости.
Являясь базовым методом профилактики кариеса зубов, использование фторидсодержащих зубных паст сегодня является доступным для всех слоев населения и возрастных групп. В России при переходе к рыночным отношениям были созданы условия для внедрения эффективных зубных паст в широких масштабах на рынок страны.
Сегодня на российских прилавках можно увидеть все типы профилактических зубных паст. Они различны по внешнему виду, цене, качеству, а также противокариозной эффективности.
Фторирование воды и оно расценивается как одно из крупнейших достижений в профилактической медицине 20 века.
Лабораторные исследования, проведенные в Санкт-Петербурге и Москве, выявили повышенное содержание в воде токсинов и мутагенный эффект, вызванный ее химическими загрязнениями. Необходимых же человеческому организму веществ - фтора, солей магния и кальция - в воде оказалось чрезвычайно мало, и, по мнению авторов отчета, это стало причиной роста сердечных заболеваний, костных патологий, кариеса и рахита. В настоящее время решается вопрос о переходе на подземное водоснабжение. Пока же ассоциация защитила на комиссии по социально-экономическому развитию города два проекта: по способам коррекции качества водопроводной питьевой воды и производству бутилированной воды. Их реализации препятствует лишь отсутствие средств.
Но на территории Р.Ф. существуют и другие проекты, которые могут решить эту проблему. Например, в Воронежской началась программа создания фторосодерщащего молока. В результате которой стоматологические заболевания сократились
Этот проект подтвердил основные факты:
концентрация фтора в молоке около 2.5мг/л, является оптимальной;
не обнаружилось никаких негативных последствий в связи с употреблением фторированого молока.
За рубежом же широко применяется введение фтора в организме вместе с поваренной солью.
Концентрация фтора в поваренной соли 250 мг на один кг. Этой солью можно пользоваться, если в воде фтора <, чем 0.5мг/л.
Для защиты от кариеса также существуют фторид-натривые таблетки или растворы. Но эти лекарства дают эффект только при длительном приеме (180-250 дней).
11. Зубные пасты для детей
В настоящее время предпочтение отдается фторсодержащим пастам с пониженным содержанием ионов фтора в них. В среднем в пастах, рассчитанных на детей до 4 лет, содержание фтора не должно превышать 500 ppm. Это еще обусловлено тем, что дети заглатывают до 30% пасты во время гигиенической процедуры. Следует уяснить следующие положения: в местах проживания с повышенным и высоким содержанием соединений фтора (1,5 и более мг/л) в питьевых водоисточниках вообще не следует использовать фторсодержащих паст. В больших концентрациях фтор ядовит и опасен, как уже говорилось одним из проявлений длительного потребления соединений фтора внутрь является развитие заболевания – флюороза.
В местах, где питьевые водоисточники не содержат фтористых соединений и других микроэлементов, зубная паста с фтором может стать его единственным источником. Поэтому, если дети, проживающие, в г.Санкт-Петербурге, заглатывают зубную фтористую пасту, то опасаться тут нечего – тем самым, они хоть как-то восполняют потребность организма. Только пероральное потребление соединений фтора ведет к образованию стойкого соединения фторапатита, которое значительно укрепляет эмаль зубов.
В последнее время в зубных пастах, рассчитанных на молочные зубы, рН среды значительно сдвинуто в кислую сторону, и составляет менее 5,5. Подобное явление обусловлено тем, что, как показали исследования последних лет, в кислой среде ионы фтора значительно легче проникают в твердые ткани молочных зубов и способствуют процессам реминерализации, препятствуя, тем самым, процессам деминерализации.
С тем, чтобы дети не ели зубную пасту, как лакомство, все реже в их составе используют фруктовые отдушки, типа малины с клубникой. В последнее время отдается предпочтение нейтральной мятной отдушке, которая не только хорошо дезодорирует, но и не вызывает позыва заглотить пасту.
12. Жидкие средства гигиены полости рта для детей
Все жидкие СГПР для детей производятся на безалкогольной основе, т.е. в них не используется спирт в качестве консерванта, чаще это бывают такие антисептики, обладающие выраженными антибактериальными свойствами, как триклозан и цетилперидиум хлорид. За счет них ополаскивателям для рта также придаются антиплаковые свойства, т.е. способность препятствовать образованию и формированию мягкого зубного налета. При воспалительных процессах также рекомендуется использовать растворы трав и растений, приготовленные перед употреблением. В этих случаях предпочтение отдается ванночкам, а не полосканиям.
Интердентальные средства гигиены для детей.
Интердентальные средства гигиены для детей отдельно не производятся, но так как ребенок может и должен их применять, то практика показала, что 4-летний ребенок легко может научиться пользоваться зубной нитью, и его несложно этому обучить. Использование интердентальных СГПР с раннего возраста показывает их большую эффективность в профилактике кариеса и болезней пародонта, а также подтверждает, что значительно проще выработать мотивированный подход к уходу за межзубными промежутками, который сохраняется на всю жизнь. Ребенок может использовать практически все интердентальные СГПР (флоссы, тэйп, флоссетты, ершики).
Теоретически можно выделить три основные группы СГПР для подростков:
зубные пасты;
жидкие средства ГПР;
интердентальные средства гигиены.
Содержание соединений фтора в зубных пастах, рассчитанных на подростков, включая период сменного прикуса, выше чем в детских и в среднем составляет 1000 ppm.
Жидкие средства ГПР и средства интердентальной гигиены для подростков те же, что производятся и для взрослых. Единственно, не рекомендуется использовать алкоголь содержащие жидкие СГПР (эликсиры, ополаскиватели и т.п.).
Основная направленность всех средств гигиены полости рта для детей и подростков – максимальная эффективность удаления зубного налета с зубов и десен, что препятствует развитию основных стоматологических заболеваний.
Динамика распространения кариеса у детей, принимающих фторированную соль




Заключение
Состояние временных зубов во многом обуславливает состояние постоянных зубов, и всего организма в целом : пищеварительного тракта, обменных процессов в организме. Закладка зубов у человека происходит ещё в процессе внутриутробного развития. Поэтому необходимо учитывать не только особенности постнатального, но и пренатального развития, влияние факторов окружающей среды на состояние зубов. Одним из наиболее часто встречающихся заболеваний зубов является кариес. Но необходимо помнить и о некариозных поражениях зубов.
Некоторые из них (стирание, флюороз, травмы) подробно изучены, разработаны методы их профилактики и лечения. Другие же изучены мало. Сходность клинического течения некоторых некариозных заболеваний зубов с клиническим течением кариеса затрудняет постановку правильного диагноза и, следовательно, мешает назначению правильного лечения. Это диктует необходимость более глубокого всестороннего изучения морфологии, гистологии, физиологии формирующихся и уже сформировавшихся зубов.
Необходимо также помнить о своевременной профилактике различных заболеваний полости рта и, прежде всего зубов. Большое внимание необходимо уделять первичным профилактическим мероприятиям. Если с детства учить детей правильно соблюдать правила гигиены полости рта, то с возрастом эти навыки войдут в привычку, что поможет предотвратить неприятные патологические изменения в полости рта и позволит избежать столь не любимых всеми нами визитов к стоматологу.
Список использованной литературы
Юрьев В.В., Симаходский А.С., Воронович Н.Н., Хомич М.М., «Рост и развитие ребенка» краткий справочник, 2-е изд., Изд.дом «Питер», 2003г.
Привес А.М., Лысенко Н.К., Бушкович В.И., «Анатомия человека», 11-е изд., СПб, изд.дом «Гиппократ», 2002г.
Грошков М.М., Некариозные поражения тканей зуба. М., Медицина, 1985г.
Федоров Ю.А., Дрожжина В.А., Клиника, диагностика и лечение некариозных поражений зубов. Новое в стоматологии, №10, 1997г.
Журнал: “Вестник стоматологии” 1995г №3
Журнал: “ Гигиена и санитария” 1999г №6
Журнал: “Медицинская консультация” 1995г №2