Репродукція вакцинного штаму 1062 метапневмовірусу птиці в ембріонах перепелів
УДК:619:616.98:578.822:636.52 / 58.
Пархоменко Л.І. доцент, канд. вет наук, Дубін Р. А. аспірант
Луганський НАУ, м. Луганськ, Україна
Репродукція вакцинного штаму 1062 метапневмовірусу птиці в ембріонах перепелів
Ключові слова: метапневмовірус птиці , перепелині ембріони.
Резюме: В статті представлені дані щодо біологічних властивостей вакцинного штаму 1062 метапневмовірусу (МПВ)при культивуванні в ембріонах перепелів 5- добової інкубації
Parkhomenko L.I., Dubin R.A., city Lugansk, Ukraine
Reproduction of vaccine culture of 1062 (MPV) bird is in the japanese embryos of quail
Resume: In the article information is presented about biological properties of vaccine culture of 1062 (MPV) at cultivation in the of japanese embryos 5 - daily incubation.
При виготовленні противірусних вакцинних препаратів одним із головних аспектів являється визначення оптимальних умов культивування вакцинних штамів.
За даними зарубіжних вчених практичне значення мають лабораторні дослідження виділення вірусу на курячих ембріонах (КЕ). Для ізоляції метапневмовірусу (МПВ) використовують КЕ 5–7-добової інкубації та зараження в жовтковий мішок. Патологічною ознакою дії МПВ, яка має діагностичне значення під час виділення польових ізолятів, є карликовість, крововиливи на тілі зародка, відставання в рості та загибель ембріону . Культивування МПВ в КЕ дозволяє отримати вірус з титром у 10-100 разів вище, ніж у культурі клітин [4].
Штами МПВ розмножуються в первинно-трипсинізованій культурі клітин фібробластів курячих ембріонів ( ФКЕ) та інших культурах після попередньої адаптації до КЕ [9].
Гістологічно МПВІ характеризується перебудовою у верхніх дихальних шляхах, особливо в трахеї і бронхах. Важливою діагностичною ознакою МПВІ є запальні та деструктивні зміни в респіраторному тракті: кровонаповнення судин, набряк власно – слизової оболонки, яка потовщується внаслідок проліферації лімфоїдними клітинами [3, 6, 8].
Під час дослідження тканин респіраторного тракту птиці, інфікованої МПВ, спостерігають дециліацію й сквамозну метаплазію епітелію, що руйнують війчасті епітеліальні клітини трахеї [3].
Інфікування птиці МПВ зумовлює десквамацію циліарного і залозистого епітелію по всій довжині трахеї. Згодом відбувається швидка проліферація залишкових базальних клітин з продукуванням недиференційованого епітеліального шару. На 4-6- у добу спостерігається інфільтрація лімфоцитами невеликих дільниць підслизової оболонки трахеї [5].
За для індикації та ідентифікації МПВ використовують найсучасніші методи діагностики, до яких належать: реакція нейтралізації (РН), полімеразна ланцюгова реакція ( ПЛР ) і твердофазний імуноферментний аналіз (ІФА), реакція імунної дифузії (РІД) [7].
Метою досліджень було вивчення можливості використання перепелиних ембріонів (ПЕ) для культивування МПВ на моделі вакцинного штаму 1062 .
Матеріали та методи. У роботі використано: ембріони перепелів породи Фараон,5-добової інкубації; вакцинний штам 1062 МПВ птиці (вакцина ХІПРАВІАР-SHS Iспанія, серія №762С-9); гіперімунна сироватка до вакцинного штаму МПВ 8544.
Зараження ПЕ проводили у жовтковий мішок у об’ємі 0,2 см3, після чого ембріони інкубували за температури +37 0С, відносній вологості 70 % упродовж 5 діб.
Визначення рівня інфекційності вакцинного штаму 1062 проводили титрування вірусного матеріалу в ПЕ за загальноприйнятою методикою [1]
Контрольні ПЕ, яким вводили по 0,2 см3 фізіологічного розчину, інкубували за тих же умов. Після охолодження впродовж 12 годин за температури + 4 0С ПЕ розтинали та враховували патологоанатомічні зміни порівняно до контролю.
Інфекційну активність вакцинного штаму 1062 МПВ визначали титруванням вірусного матеріалу в ПЕ за загальною методикою. Титр вірусу визначали за методом Ріда і Менча і висловлювали в ЕІД>50>/см3 . Для подальшої роботи було отримано вірусовмісний матеріал який зберігали при t – 20 0С.
Додатково оцінку накопичення вірусу в ПЕ проводили із використанням реакції імунної дифузії (РДП) за Оухтерлоні із гіперімунною сироваткою крові до штаму 8544 МПВ. За позитивний результат вважали наявність чіткої лінії преципітації між лунками зі специфічною сироваткою та антигеном, за негативний – відсутність ліній преципітації. В якості антигену для РДП використовували екстраембріональну рідину інфікованих ПЕ .
З метою оцінки впливу вакцинного штаму 1062 МПВ на трахею ПЕ проводили гістологічні дослідження. У кожної підгрупи відбирали зразки трахеї розміром 0,5–1,5 см, які фіксували в 10 %- му розчині формальдегіду. Гістологічні зрізи фарбували гематоксиліном та еозином [2] і після заключення в канадський бальзам проводили мікроскопію за допомогою апаратно-програмного комплексу, до складу якого входили: світловий мікроскоп Olympus C X 41; цифровий апарат Olympus C 5050 Z; фотоадаптер; плата цифрового кодування відеосигналів та комп'ютер.
Результати досліджень і обговорення. Для визначення чутливості ПЕ до МПВ було проведено два послідовні пасажі. Впродовж яких були виявлені патологічні зміни, що вказують на накопичення вірусу в цій біосистемі.
Як видно із даних, наведених на рисунку 1, розмноження МПВ птиці ( вакцинний штам 1062 ) супроводжувалося основними патологічними змінами, що притаманні для репродукції значної кількості вірусів птиці у КЕ.
Контрольні інтактні зародки відокремлювалися від інфікованих і не мали будь яких порушень у розвитку.

Рис. 1. Патологічні зміни у ПЕ, інфікованих вакцинним штамом 1062 МПВ
У другому пасажі виявляли макроскопічні зміни в ПЕ – це ураження багатьох систем органів: судинної (гіперемія та набряк ХАО), респіраторної ( гіперемія легень та трахеї) затримка росту, скрученість, помутніння екстраембріональної рідини з наявністю уратів і загибель ембріонів до 20% від загальної кількості, при цьому кількість уражень сягала 100%.
На рисунку 2 представлені зародки перепелів після 2-го пасажу вакцинного штаму 1062 МПВ.
а
б
Рис. 2. Зовнішній вигляд перепелиних ембріонів:
а) скручування та відставання у рості ПЕ, інфікованих штамом 1062 МПВ ;
б) контрольні ПЕ.
Репродукцію вакцинного штаму 1062 МПВ підтверджено також за допомогою реакції імунної дифузії.
Постановка РДП із гіперімунною специфічною сироваткою до вакцинного штаму 8544 МПВ та екстраембріональною рідиною інфікованого вакцинним штамом МПВ 1062 ПЕ (рис.3).




Рис.3. Реакція імунної дифузії
S – гіперімунна сироватка до вакцинного штаму 8544 МПВ;
А - екстраембріональна рідина інфікованих штамом 1062 ПЕ
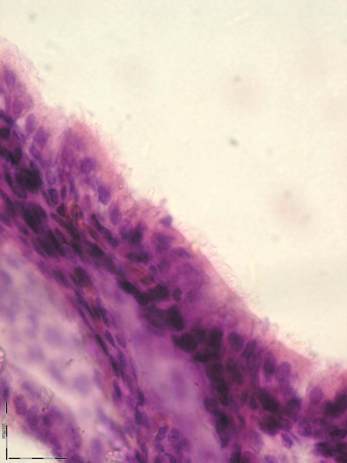
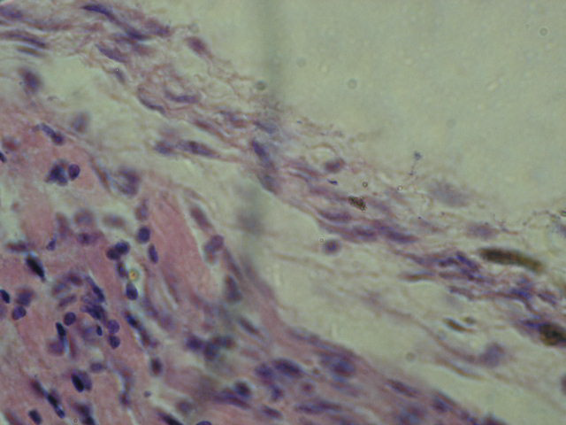
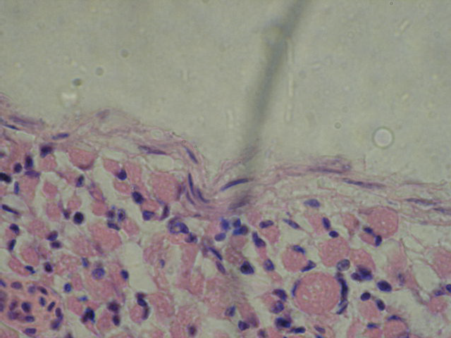
Наступним этапом досліджень було встановлення патогенного впливу вакцинного штаму 1062 МПВ на трахею ПЕ.
У трахеї інфікованих ПЕ виявлено запальні та деструктивні процеси, в які залучено всі шари слизової оболонки. Так, помірний набряк власно слизової оболонки був зафіксований після інокуляції ПЕ вакцинного штаму 1062 (рис. 4).
в
а
б

Рис.4. Гістологічні зміни трахеї ПЕ, інфікованих вакцинним штамом 1062
а) набряк слизової оболонки трахеї:
б) кровонаповнення судин слизової оболонки трахеї:
в) трахея ПЕ контрольної групи( фарбування гематоксилін-еозин, збільш..Х )
У той же час крім загальних ознак, призводить також до дегенерації епітеліального шару трахеї ПЕ. кровонаповнення судин власно слизової оболонки, відмічено, переродження епітеліальних клітин слизової оболонки трахеї
У інтактних зародках не виявляли будь яких патологічних змін трахеї.. ПЕ 5 -добової інкубації чутливі до вакцинного штаму 1062 МПВ, репродукція якого відбувається з появою характерних патологічних змін, забезпечує накопичення біомаси з титром інфекційності у другому пасажі 5×105,77 ЕІД>50>/см3.
Висновки
1.Доведено здатність метапневмовірусу птиці ( штам 1062) накопичуватися у перепелиних ембріонах після інфікування у жовтковий мішок із рівнем інфекційної активності 5×105,77 ЕІД>50>/см3.
2.Вакцинний штам 1062 зумовлює запальні та деструктивні процеси в організмі ПЕ помірний набряк власно слизової оболонки трахеї та відшаровування епітеліальних клітин трахеї.
3. Реакція імунної дифузії є чутливою при виявленні МПВ птиці в екстраембріональній рідині інфікованих ПЕ.
Список літератури
Практикум по ветеринарной вирусологии [Текст] / Н.И. Троценко, Р.В. Белоусова, Э.А. Преображенский // – 2-е изд., перераб. и доп. − М.: Колос, 2000. − 272с.
Практикум з ветеринарної вірусології [Текст] / І.І. Панікар, В.Г. Скибицький, О.С. Калініна // − Суми: Вид-во “Козацький вал”. − 1997. − С. 35−85.
Aung YH. Reproducibility of swollen sinuses in broilers by experimental infection with avian metapneumovirus sub>types A and B of turkey origin and their comparativepathogenesis. [Text] / Aung YH. [et.al.] / Avian Pathology. – 2008. – Vol. 37 – P - 65-74.
Baxter – Jones, C. Glose relationship between TRT virus isolates / [Text] C. Baxter–Jones, J.K.A.Cook, J.A. Frazier [et al.] // Vet. Rec.-1987. - V. 120. - P. 562.
Buys S. B. The isolation and attenuation of a virus causing rhinotracheitis in turkeys in South Africa.[Text] / Buys S. B. [et. al.] // Onderstepoort J. Vet. Res. – 1989 - Vol. 56. P - 87–98.
Cattelli E The use of virus isolation, histopathology and immunoperoxidase techniques to study the dissemination of a chicken isolate of avian pneumovirus in chickens. [Text] / Cattelli E. [et. al.] // Avian Pathol. - 1998 Vol. 27. P - 632-640.
Chettle, N.J. The use of an Elisa test to detect antibodies to turkey rhinotracheitis [Text] / N.J.Chettle., P.J. Wyeth // Br. Vet. J. – 1988. – V.144. – P. 282-287
Cook J.K.A.Avian pneumovirus infection of laying hens: experimentalstudies.[Text] / Cook J.K.A. [et. al.] //.Avian Pathology. – 2000 – Vol. - 29: - P. 545-556.
Majo N.A sequential histopathologic and immunocytochemical study of chickens, turkey poults and broiler breeders experimentally infected with turkey rhinotracheitis virus.[Text] / Majo N.[et. al.] // Avian Diseases. – 1995 – Vol. 39: - P. 887-896.