Что знает наука о мозге
Что знает наука о мозге
Член-корреспондент РАН С. В. Медведев
Несмотря на все достижения современной науки, человеческий мозг остаётся самым загадочным объектом. С помощью сложнейшей тонкой аппаратуры учёные Института мозга человека Российской АН смогли „проникнуть“ в глубины мозга, не нарушая его работы, и выяснить, каким образом происходит запоминание информации, обработка речи, как формируются эмоции. Эти исследования помогают не только разобраться в том, как выполняет мозг свои важнейшие психические функции, но и разработать методы лечения тех людей, у которых они нарушены. Об этих и других работах Института мозга человека рассказывает его директор С.В. Медведев.
Мозг против мозга — кто кого?
Проблема исследования мозга человека, соотношения мозга и психики — одна из самых захватывающих задач, которые когда-либо возникали в науке. Впервые поставлена цель познать нечто, равное по сложности самому инструменту познания. Ведь всё, что до сих пор исследовалось — и атом, и галактика, и мозг животного — было проще, чем мозг человека. С философской точки зрения неизвестно, возможно ли в принципе решение этой задачи. Ведь, кроме приборов и методов, главным средством познания мозга остаётся опять-таки наш человеческий мозг. Обычно прибор, который изучает какое-то явление или объект, сложнее этого объекта, в этом же случае мы пытаемся действовать на равных — мозг против мозга.
Грандиозность задачи привлекала многие великие умы: о принципах работы мозга высказывались и Гиппократ, и Аристотель, и Декарт и многие другие.
В прошлом веке были обнаружены зоны мозга, отвечающие за речь, — по имени открывателей их называют области Брока и Вернике. Однако настоящее научное исследование мозга началось с работ нашего гениального соотечественника И.М. Сеченова. Далее — В.М. Бехтерев, И.П. Павлов… Здесь я остановлюсь в перечислении имён, так как выдающихся исследователей мозга в двадцатом веке много, и слишком велика опасность кого-нибудь пропустить (особенно из ныне здравствующих, не дай Бог). Были сделаны великие открытия, но возможности методик того времени для изучения человеческих функций весьма ограничены: психологические тесты, клинические наблюдения и начиная с тридцатых годов электроэнцефалограмма. Это всё равно, что пытаться узнать, как работает телевизор, по гудению ламп и трансформаторов или по температуре футляра, либо попробовать понять роль составляющих его блоков, исходя из того, что произойдёт с телевизором, если этот блок разбить.
Однако устройство мозга, его морфологию изучили уже довольно хорошо. А вот представления о функционировании отдельных нервных клеток были очень отрывочными. Таким образом, не хватало полноты знаний о кирпичиках, составляющих мозг, и необходимых инструментов для их исследования.
Два прорыва в исследованиях мозга человека
Реально первый прорыв в познании мозга человека был связан с применением метода долгосрочных и краткосрочных имплантированных электродов для диагностики и лечения больных. В то же время учёные начали понимать, как работает отдельный нейрон, как происходит передача информации от нейрона к нейрону и по нерву. В нашей стране первыми в условиях непосредственного контакта с мозгом человека стали работать академик Н.П. Бехтерева и её сотрудники.
Так были получены данные о жизни отдельных зон мозга, о соотношении его важнейших разделов — коры и подкорки и многие другие. Однако мозг состоит из десятков миллиардов нейронов, а с помощью электродов можно наблюдать лишь за десятками, да и то в поле зрения исследователей часто попадают не те клетки, которые нужны для исследования, а те, что оказались рядом с лечебным электродом.
Тем временем в мире совершалась техническая революция. Новые вычислительные возможности позволили вывести на новый уровень исследование высших функций мозга с помощью электроэнцефалографии и вызванных потенциалов. Возникли и новые методы, позволяющие „заглянуть внутрь“ мозга: магнитоэнцефалография, функциональная магниторезонансная томография и позитронно-эмиссионная томография. Всё это создало фундамент для нового прорыва. Он действительно произошёл в середине восьмидесятых годов.
В это время научный интерес и возможность его удовлетворения совпали. Видимо, поэтому Конгресс США объявил девяностые годы десятилетием изучения человеческого мозга. Эта инициатива быстро стала международной. Сейчас во всём мире над исследованием человеческого мозга трудятся сотни лучших лабораторий.
Надо сказать, что у нас в то время в верхних эшелонах власти было много умных и болеющих за державу людей. Поэтому и в нашей стране поняли необходимость исследования мозга человека и предложили мне на базе коллектива, созданного и руководимого академиком Бехтеревой, организовать научный центр по исследованию мозга — Институт мозга человека РАН.
Главное направление деятельности института: фундаментальные исследования организации мозга человека и его сложных психических функций — речи, эмоций, внимания, памяти. Но не только. Одновременно учёные должны вести поиск методов лечения тех больных, у которых эти важные функции нарушены. Соединение фундаментальных исследований и практической работы с больными было одним из основных принципов деятельности института, разработанных его научным руководителем Натальей Петровной Бехтеревой.
Недопустимо ставить эксперименты на человеке. Поэтому большая часть исследований мозга проводится на животных. Однако есть явления, которые могут быть изучены только на человеке. Например, сейчас молодой сотрудник моей лаборатории защищает диссертацию об обработке речи, её орфографии и синтаксиса в различных структурах мозга. Согласитесь, что это трудно исследовать на крысе. Институт специально ориентирован на исследование того, что нельзя изучать на животных. Мы проводим психофизиологические исследования на добровольцах с применением так называемой неинвазивной техники, не „залезая“ внутрь мозга и не причиняя человеку особенных неудобств. Так осуществляются, например, томографические обследования или картирование мозга с помощью электроэнцефалографии.
Но бывает, что болезнь или несчастный случай „ставят эксперимент“ на человеческом мозге — например, у больного нарушается речь или память. В этой ситуации можно и нужно исследовать те области мозга, работа которых нарушена. Или, наоборот, у пациента утерян или повреждён кусочек мозга, и учёным предоставляется возможность изучить, какие свои „обязанности“ мозг не может выполнять с таким нарушением.
Но просто наблюдать за такими пациентами , мягко говоря, неэтично, и в нашем институте не только исследуют больных с различными повреждениями мозга, но и помогают им, в том числе и с помощью новейших, разработанных нашими сотрудниками методов лечения. Для этой цели при институте существует клиника на 160 коек. Две задачи — исследование и лечение — неразрывно связаны в работе наших сотрудников.
У нас прекрасные высококвалифицированниые доктора и медсёстры. Без этого нельзя — ведь мы на переднем крае науки, и нужна высочайшая квалификация, чтобы реализовать новые методики. Практически каждая лаборатория института замкнута на отделения клиники, и это залог непрерывного появления новых подходов. Кроме стандартных методов лечения у нас проводят хирургическое лечение эпилепсии и паркинсонизма, психохирургические операции, лечение мозговой ткани магнитостимуляцией, лечение афазии с помощью электростимуляции, а также многое другое. В клинике лежат тяжёлые больные, и бывает удаётся помочь им в случаях, считавшихся безнадёжными. Конечно, это возможно не всегда. Вообще, когда слышишь какие-либо безграничные гарантии в лечении людей, это вызывает очень серьёзные сомнения.
Будни и звёздные часы лабораторий
В каждой лаборатории есть свои достижения. Например, лаборатория, которой руководит профессор В.А. Илюхина, ведёт разработки в области нейрофизиологии функциональных состояний головного мозга.
Что это такое? Попробую объяснить на простом примере. Каждый знает, что одна и та же фраза иногда воспринимается человеком диаметрально противоположно в зависимости от того, в каком состоянии он находится: болен или здоров, возбуждён или спокоен. Это похоже на то, как одна и та же нота, извлекаемая, например, из органа, имеет разный тембр в зависимости от регистра. Наш мозг и организм — сложнейшая многорегистровая система, где роль регистра играет состояние человека. Можно сказать, что весь спектр взаимоотношений человека с окружающей средой определяется его функциональным состоянием. Оно определяет и возможность „срыва“ оператора за пультом управления сложнейшей машиной, и реакцию больного на принимаемое лекарство.
В лаборатории профессора Илюхиной исследуют функциональные состояния, а также то, какими параметрами они определяются, как эти параметры и сами состояния зависят от регуляторных систем организма, как внешние и внутренние воздействия изменяют состояния, иногда вызывая болезнь, и как в свою очередь состояния мозга и организма влияют на течение заболевания и действие лекарственных средств. С помощью полученных результатов можно сделать правильный выбор между альтернативными путями лечения. Проводится и определение приспособительных возможностей человека: насколько он будет устойчив при каком-либо лечебном воздействии, стрессе.
Очень важной задачей занимается лаборатория нейроиммунологии. Нарушения иммунорегуляции часто приводят к возникновению тяжёлых заболеваний головного мозга. Это состояние надо диагностировать и подобрать лечение — иммунокоррекцию. Типичный пример нейроиммунного заболевания — рассеянный склероз, изучением которого в институте занимается лаборатория под руководством профессора И.Д. Столярова. Не так давно он вошёл в совет Европейского комитета, занимающегося исследованием и лечением рассеянного склероза.
В двадцатом веке человек начал активно изменять окружающий его мир, празднуя победу над природой, но оказалось, что праздновать рано: при этом обостряются проблемы, созданные самим человеком, так называемые техногенные. Мы живём под воздействием магнитных полей, при свете мигающих газосветных ламп, часами смотрим на дисплей компьютера, говорим по мобильному телефону… Всё это далеко не безразлично для организма человека: например, хорошо известно, что мигающий свет способен вызвать эпилептический припадок. Можно устранить вред, наносимый при этом мозгу, очень простыми мерами — закрыть один глаз. Чтобы резко снизить „поражающее действие“ радиотелефона (кстати, оно ещё точно не доказано), можно просто изменить его конструкцию так, чтобы антенна была направлена вниз и мозг не облучался. Этими исследованиями занимается лаборатория под руководством доктора медицинских наук Е.Б. Лыскова. Например, он и его сотрудники показали, что воздействие переменного магнитного поля отрицательно сказывается на процессе обучения.
На уровне клеток работа мозга связана с химическими превращениями различных веществ, поэтому для нас важны результаты, полученные в лаборатории молекулярной нейробиологии, руководимой профессором С.А. Дамбиновой. Сотрудники этой лаборатории разрабатывают новые методы диагностики заболеваний мозга, проводят поиск химических веществ белковой природы, которые способны нормализовать нарушения в ткани мозга при паркинсонизме, эпилепсии, наркотической и алкогольной зависимости. Оказалось, что употребление наркотиков и алкоголя приводит к разрушению нервных клеток. Их фрагменты, попадая в кровь, побуждают иммунную систему вырабатывать так называемые „аутоантитела“. „Аутоантитела“ остаются в крови ещё долгое время, даже у людей, переставших употреблять наркотики. Это своеобразная память организма, хранящая информацию об употреблении наркотиков. Если измерить в крови человека количество аутоантител к специфическим фрагментам нервных клеток, можно поставить диагноз „наркомания“ даже через несколько лет после того, как человек перестал употреблять наркотики.
Можно ли «перевоспитать» нервные клетки?
Одно из самых современных направлений в работе института — стереотаксис. Это медицинская технология, обеспечивающая возможность малотравматичного, щадящего, прицельного доступа к глубоким структурам головного мозга и дозированное воздействие на них. Это нейрохирургия будущего. Вместо „открытых“ нейрохирургических вмешательств, когда, чтобы достичь мозга, делают большую трепанацию, предлагаются малотравматичные, щадящие воздействия на головной мозг.
В развитых странах, прежде всего в США, клинический стереотаксис занял достойное место в нейрохирургии. В США в этой сфере сегодня работают около 300 нейрохирургов — членов Американского стереотаксического общества. Основа стереотаксиса — математика и точные приборы, обеспечивающие прицельное погружение в мозг тонких инструментов. Они позволяют „заглянуть“ в мозг живого человека. При этом используется позитронно-эмиссионная томография, магниторезонансная томография, компьютерная рентгеновская томография. „Стереотаксис — мерило методической зрелости нейрохирургии“ — мнение ныне покойного нейрохирурга Л.В. Абракова. Для стереотаксического метода лечения очень важно знание роли отдельных „точек“ в мозге человека, понимание их взаимодействия, знание того, где и что именно нужно изменить в мозге для лечения той или иной болезни.
В институте существует лаборатория стереотаксических методов, которой руководит доктор медицинских наук, лауреат Государственной премии СССР А.Д. Аничков. По существу, это ведущий стереотаксический центр России. Здесь родилось самое современное направление — компьютерный стереотакcис с программно-математическим обеспечением, которое осуществляется на электронной вычислительной машине. До наших разработок стереотаксические расчёты проводились нейрохирургами вручную во время операции, сейчас же у нас разработаны десятки стереотаксических приборов; некоторые прошли клиническую апробацию и способны решать самые сложные задачи. Совместно с коллегами из ЦНИИ „Электроприбор“ создана и впервые в России серийно выпускается компьютеризированная стереотаксическая система, которая по ряду основных показателей превосходит аналогичные зарубежные образцы. Как выразился неизвестный автор, „наконец, робкие лучи цивилизации осветили наши тёмные пещеры“.
В нашем институте стереотаксис применяется при лечении больных, страдающих двигательными нарушениями (паркинсонизмом, болезнью Паркинсона, хореей Гентингтона и другими), эпилепсией, неукротимыми болями (в частности, фантомно-болевым синдромом), некоторыми психическими нарушениями. Кроме того, стереотаксис используется для уточнения диагноза и лечения некоторых опухолей головного мозга, для лечения гематом, абсцессов, кист мозга. Стереотаксические вмешательства (как и все остальные нейрохирургические вмешательства) предлагаются больному только в том случае, если исчерпаны все возможности медикаментозного лечения и само заболевание угрожает здоровью пациента или лишает его трудоспособности, делает асоциальным. Все операции производятся только при согласии больного и его родственников, после консилиума специалистов разного профиля.
Существуют два вида стереотаксиса. Первый, нефункциональный, применяется тогда, когда в глубине мозга имеется какое-то органическое поражение, например опухоль. Если её удалять с помощью обычной техники, придётся затронуть здоровые, выполняющие важные функции структуры мозга и больному случайно может быть нанесён вред, иногда даже несовместимый с жизнью. Предположим, что опухоль хорошо видна с помощью магниторезонансного и позитронно-эмиссионного томографов. Тогда можно рассчитать её координаты и ввести с помощью малотравматичного тонкого щупа радиоактивные вещества, которые выжгут опухоль и за короткое время распадутся. Повреждения при проходе сквозь мозговую ткань минимальны, а опухоль будет уничтожена. Мы провели уже несколько таких операций, бывшие пациенты живут до сих пор, хотя при традиционных методах лечения у них не было никакой надежды.
Суть этого метода в том, что мы устраняем „дефект“, который чётко видим. Главная задача — решить, как до него добраться, какой путь выбрать, чтобы не задеть важные зоны, какой метод устранения „дефекта“ выбрать.
Принципиально другая ситуация при „функциональном“ стереотаксисе, который тоже применяется при лечении психических заболеваний. Причина болезни часто заключается в том, что одна маленькая группа нервных клеток или несколько таких групп работают неправильно. Они либо не выделяют необходимые вещества, либо выделяют их слишком много. Клетки могут быть патологически возбуждены, и тогда стимулируют „нехорошую“ активность других, здоровых клеток. Эти „сбившиеся с пути“ клетки надо найти и либо уничтожить, либо изолировать, либо „перевоспитать“ с помощью электростимуляции. В такой ситуации нельзя „увидеть“ поражённый участок. Мы должны его вычислить чисто теоретически, как астрономы вычислили орбиту Нептуна.
Именно здесь для нас особенно важны фундаментальные знания о принципах работы мозга, о взаимодействии его участков, о функциональной роли каждого участка мозга. Мы используем результаты стереотаксической неврологии — нового направления, разработанного в институте покойным профессором В.М. Смирновым. Стереотаксическая неврология — это „высший пилотаж“, однако именно на этом пути нужно искать возможность лечения многих тяжёлых заболеваний, в том числе и психических.
Результаты наших исследований и данные других лабораторий указывают на то, что практически любая, даже очень сложная психическая деятельность мозга обеспечивается распределённой в пространстве и изменчивой во времени системой, состоящей из звеньев различной степени жёсткости. Понятно, что вмешиваться в работу такой системы очень трудно. Тем не менее сейчас мы это умеем: например, можем создать новый центр речи взамен разрушенного при травме.
При этом происходит своеобразное „перевоспитание“ нервных клеток. Дело в том, что существуют нервные клетки, которые от рождения готовы к своей работе, но есть и другие, которые „воспитываются“ в процессе развития человека. Научаясь выполнять одни задачи, они забывают другие, но не навсегда. Даже пройдя „специализацию“, они в принципе способны взять на себя выполнение каких-то других задач, могут работать и по-другому. Поэтому можно попытаться заставить их взять на себя работу утраченных нервных клеток, заменить их.
Нейроны мозга работают как команда корабля: один хорошо умеет вести судно по курсу, другой — стрелять, третий — готовить пищу. Но ведь и стрелка можно научить готовить борщ, а кока — наводить орудие. Нужно только объяснить им, как это делается. В принципе это естественный механизм: если травма мозга произошла у ребёнка, у него нервные клетки самопроизвольно „переучиваются“. У взрослых же для „переучивания“ клеток нужно применять специальные методы.
Этим и занимаются исследователи — пытаются стимулировать одни нервные клетки выполнять работу других, которые уже нельзя восстановить. В этом направлении уже получены хорошие результаты: например, некоторых пациентов с нарушением области Брока, отвечающей за формирование речи, удалось обучить говорить заново.
Другой пример — лечебное воздействие психохирургических операций, направленных на „выключение“ структур области мозга, называемой лимбической системой. При разных болезнях в разных зонах мозга возникает поток патологических импульсов, которые циркулируют по нервным путям. Эти импульсы появляются в результате повышенной активности зон мозга, и такой механизм приводит к целому ряду хронических заболеваний нервной системы, таких, как паркинсонизм, эпилепсия, навязчивые состояния. Пути, по которым проходит циркуляция патологических импульсов, надо найти и максимально щадяще „выключить“.
В последние годы проведены многие сотни (особенно в США) стереотаксических психохирургических вмешательств для лечения больных, страдающих некоторыми психическими нарушениями (прежде всего, навязчивыми состояниями), у которых оказались неэффективными нехирургические методы лечения. По мнению некоторых наркологов, наркоманию тоже можно рассматривать как разновидность такого рода расстройства, поэтому в случае неэффективности медикаментозного лечения может быть рекомендовано стереотаксическое вмешательство.
Детектор ошибок
Очень важное направление работы института — исследование высших функций мозга: внимания, памяти, мышления, речи, эмоций. Этими проблемами занимаются несколько лабораторий, в том числе та, которой руковожу я, лаборатория академика Н.П. Бехтеревой, лаборатория доктора биологических наук Ю.Д. Кропотова.
Присущие только человеку функции мозга исследуются с помощью различных подходов: используется „обычная“ электроэнцефалограмма, но на новом уровне картирования мозга, изучение вызванных потенциалов, регистрация этих процессов совместно с импульсной активностью нейронов при непосредственном контакте с мозговой тканью — для этого применяются имплантированные электроды и техника позитронно-эмиссионной томографии.
Работы академика Н.П. Бехтеревой в этой области достаточно широко освещались в научной и научно-популярной печати. Она начала планомерное исследование психических процессов в мозге ещё тогда, когда большинство учёных считали это практически непознаваемым, делом далёкого будущего. Как хорошо, что хотя бы в науке истина не зависит от позиции большинства. Многие из тех, кто отрицал возможность таких исследований, теперь считают их приоритетными.
В рамках этой статьи можно упомянуть только о самых интересных результатах, например о детекторе ошибок. Каждый из нас сталкивался с его работой. Представьте, что вы вышли из дому и уже на улице вас начинает терзать странное чувство — что-то не так. Вы возвращаетесь — так и есть, забыли выключить свет в ванной. То есть, вы забыли выполнить обычное, стереотипное действие — щёлкнуть выключателем, и этот пропуск автоматически включил контрольный механизм в мозге. Этот механизм в середине шестидесятых был открыт Н.П. Бехтеревой и её сотрудниками. Несмотря на то, что результаты были опубликованы в научных журналах, в том числе и зарубежных, сейчас они „переоткрыты“ на Западе людьми, знающими работы наших учёных, но не гнушающимися прямым заимствованием у них. Исчезновение великой державы привело и к тому, что в науке стало больше случаев прямого плагиата.
Детекция ошибок может стать и болезнью, когда этот механизм работает больше, чем нужно, и человеку всё время кажется, что он что-то забыл.
В общих чертах нам сегодня ясен и процесс запуска эмоций на уровне мозга. Почему один человек с ними справляется, а другой — „западает“, не может вырваться из замкнутого круга однотипных переживаний? Оказалось, что у „стабильного“ человека изменения обмена веществ в мозге, связанные, например, с горем, обязательно компенсируются направленными в другую сторону изменениями обмена веществ в других структурах. У „нестабильного“ же человека эта компенсация нарушена.
Кто отвечает за грамматику?
Очень важное направление работы — так называемое микрокартирование мозга. В наших совместных исследованиях обнаружены даже такие механизмы, как детектор грамматической правильности осмысленной фразы. Например, „голубая лента“ и „голубой лента“. Смысл понятен в обоих случаях. Но есть одна „маленькая, но гордая“ группа нейронов, которая „взвивается“, когда грамматика нарушена, и сигнализирует об этом мозгу. Зачем это нужно? Вероятно, затем, что понимание речи часто идёт в первую очередь за счёт анализа грамматики (вспомним „глокую куздру“ академика Щербы). Если с грамматикой что-то не так, поступает сигнал — надо проводить добавочный анализ.
|
Область, отвечающая за определение грамматических характеристик слова Зона, активная при необходимости использования кратковременной памяти Зоны речевой моторики Зоны первичной обработки цвета Зоны, участвующие в обработке синтаксической структуры предложений Зона орфографической обработки слов Область, участвующая в сознательной и непроизвольной обработке смысла слов Области, предположительно управляющие подавлением обработки речевых признаков в задаче на обработку физического признака слова, например цвета |
Найдены микроучастки мозга, которые отвечают за счёт, за различение конкретных и абстрактных слов. Показаны различия в работе нейронов при восприятии слова родного языка (чашка), квазислова родного языка (чохна) и слова иностранного (вахт — время по-азербайджански).
В этой деятельности по-разному участвуют нейроны коры и глубоких структур мозга. В глубоких структурах в основном наблюдается увеличение частоты электрических разрядов, не очень „привязанное“ к какой-то определённой зоне. Эти нейроны как бы любую задачу решают всем миром. Совершенно другая картина в коре головного мозга. Один нейрон словно говорит: „А ну-ка, ребята, помолчите, это моё дело, и я буду выполнять его сам“. И действительно, у всех нейронов, кроме некоторых, понижается частота импульсации, а у „избранников“ повышается.
Благодаря технике позитронно-эмиссионной томографии (или сокращённо ПЭТ) стало возможно детальное изучение одновременно всех областей мозга, отвечающих за сложные „человеческие“ функции. Суть метода состоит в том, что малое количество изотопа вводят в вещество, участвующее в химических превращениях внутри клеток мозга, а затем наблюдают, как меняется распределение этого вещества в интересующей нас области мозга. Если к этой области усиливается приток глюкозы с радиоактивной меткой — значит, увеличился обмен веществ, что говорит об усиленной работе нервных клеток на этом участке мозга.
А теперь представьте, что человек выполняет какое-то сложное задание, требующее от него знания правил орфографии или логического мышления. При этом у него наиболее активно работают нервные клетки в области мозга, „ответственной“ именно за эти навыки. Усиление работы нервных клеток можно зарегистрировать с помощью ПЭТ по увеличению кровотока в активизированной зоне. Таким образом удалось определить, какие области мозга „отвечают“ за синтаксис, орфографию, смысл речи и за решение других задач. Например, известны зоны, которые активизируются при предъявлении слов, неважно, надо их читать или нет. Есть и зоны, которые активизируются, чтобы „ничего не делать“, когда, например, человек слушает рассказ, но не слышит его, следя за чем-то другим.
Что такое внимание?
Не менее важно понять, как „работает“ внимание у человека. Этой проблемой в нашем институте занимается и моя лаборатория, и лаборатория Ю.Д. Кропотова. Исследования ведутся совместно с коллективом учёных под руководством финского профессора Р. Наатанена, который открыл так называемый механизм непроизвольного внимания. Чтобы понять, о чём идёт речь, представьте ситуацию: охотник крадётся по лесу, выслеживая добычу. Но он и сам является добычей для хищного зверя, которого не замечает, потому что настроен только на поиск оленя или зайца. И вдруг случайный треск в кустах, может быть, и не очень заметный на фоне птичьего щебета и шума ручья, мгновенно переключает его внимание, подаёт сигнал: „Рядом опасность“. Механизм непроизвольного внимания сформировался у человека в глубокой древности, как охранный механизм, но работает и сейчас: например, водитель ведёт машину, слушает радио, слышит крики детей, играющих на улице, воспринимает все звуки окружающего мира, внимание его рассеянно, и вдруг тихий стук мотора мгновенно переключает его внимание на машину — он осознаёт, что с двигателем что-то не в порядке (кстати, это явление похоже на детектор ошибок).
Такой переключатель внимания работает у каждого человека. Мы обнаружили зоны, которые активизируются на ПЭТ при работе этого механизма, а Ю.Д. Кропотов исследовал его с помощью метода имплантированных электродов. Иногда в самой сложной научной работе бывают смешные эпизоды. Так было, когда мы в спешке закончили эту работу перед очень важным и престижным симпозиумом. Ю.Д. Кропотов и я поехали на симпозиум делать доклады, и только там с удивлением и „чувством глубокого удовлетворения“ неожиданно выяснили, что активизация нейронов происходит в одних и тех же зонах. Да, иногда двоим сидящим рядом надо поехать в другую страну, чтобы поговорить.
|
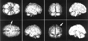
Интересные результаты даёт такой эксперимент. Испытуемому рассказывают одновременно две разные истории: в левое ухо одну, в правое — другую. На верхнем фото изображены разные проекции мозга — стрелками отмечены активизированные зоны, когда внимание сосредоточено на истории, рассказываемой в левое ухо. Внимание испытуемого „переключилось“ на „историю в правом ухе“ (нижнее фото). Можно заметить, что для фиксации внимания на „историю в правом ухе“ требуется гораздо меньшая активность мозга. Это связано с праворукостью большинства людей — обычно они берут телефонную трубку правой рукой и прикладывают её к правому уху. |
Если механизмы непроизвольного внимания нарушаются, то можно говорить о болезни. В лаборатории Кропотова изучают детей с так называемым дефицитом внимания и гиперактивностью. Это трудные дети, чаще мальчики, которые не могут сосредоточиться на уроке, их часто ругают дома и в школе, а на самом деле их нужно лечить, потому что у них нарушены некоторые определённые механизмы работы мозга. Ещё недавно это явление не рассматривалось как болезнь и лучшим методом борьбы с ним считались „силовые“ методы. Мы сейчас можем не только определить это заболевание, но и предложить методы лечения детей с дефицитом внимания.
Однако хочется огорчить некоторых молодых читателей. Далеко не каждая шалость связана с этим заболеванием, и тогда… „силовые“ методы оправданы.
Кроме непроизвольного внимания есть ещё и селективное. Это так называемое „внимание на приёме“, когда все вокруг говорят разом, а вы следите только за собеседником, не обращая внимания на неинтересную вам болтовню соседа справа. Во время эксперимента испытуемому рассказывают истории: в одно ухо — одну, в другое — другую. Мы следим за реакцией на историю то в правом ухе, то в левом и видим на экране, как радикально меняется активизация областей мозга. При этом активизация нервных клеток на историю в правом ухе значительно меньше — потому, что большинство людей берут телефонную трубку в правую руку и прикладывают её к правому уху. Им следить за историей в правом ухе проще, нужно меньше напрягаться, мозг возбуждается меньше.
Тайны мозга ещё ждут своего часа
Мы часто забываем очевидное: человек — это не только мозг, но ещё и тело. Нельзя понять работу мозга, не рассматривая всё богатство взаимодействия мозговых систем с различными системами организма. Иногда это очевидно — например, выброс в кровь адреналина заставляет мозг перейти на новый режим работы. В здоровом теле — здоровый дух — это именно о взаимодействии тела и мозга. Однако далеко не всё здесь понятно. Изучение этого взаимодействия ещё ждёт своих исследователей.
Сегодня можно сказать, что мы хорошо представляем, как работает одна нервная клетка. Многие белые пятна исчезли и на карте мозга, определены области, отвечающие за психические функции. Но между клеткой и областью мозга находится ещё один, очень важный уровень — совокупность нервных клеток, ансамбль нейронов. Здесь пока ещё много неясного. С помощью ПЭТ мы можем проследить, какие области мозга „включаются“ при выполнении тех или иных задач, а вот что происходит внутри этих областей, какие сигналы посылают друг другу нервные клетки, в какой последовательности, как они взаимодействуют между собой — об этом мы пока знаем мало. Хотя определённый прогресс есть и в этом направлении.
Раньше считали, что мозг поделен на чётко разграниченные участки, каждый из которых „отвечает“ за свою функцию: это зона сгибания мизинца, а это зона любви к родителям. Эти выводы основывались на простых наблюдениях: если данный участок повреждён, то и функция его нарушена. Со временем стало ясно, что всё более сложно: нейроны внутри разных зон взаимодействуют между собой весьма сложным путём и нельзя осуществлять везде чёткую „привязку“ функции к области мозга в том, что касается обеспечения высших функций. Можно только сказать, что эта область имеет отношение к речи, к памяти, к эмоциям. А сказать, что этот нейронный ансамбль мозга (не кусочек, а широко раскинутая сеть) и только он отвечает за восприятие букв, а этот — слов и предложений, пока нельзя. Это задача будущего.
Работа мозга по обеспечению высших видов психической деятельности похожа на вспышку салюта: мы видим сначала множество огней, а потом они начинают гаснуть и снова загораться, перемигиваясь между собою, какие-то кусочки остаются тёмными, другие вспыхивают. Также и сигнал возбуждения посылается в определённую область мозга, но деятельность нервных клеток внутри неё подчиняется своим особым ритмам, своей иерархии. В связи с этими особенностями разрушение одних нервных клеток может оказаться невосполнимой потерей для мозга, а другие вполне могут заменить соседние „переучившиеся“ нейроны. Каждый нейрон может рассматриваться только внутри всего скопления нервных клеток. По-моему, сейчас основная задача — расшифровка нервного кода, то есть понимание того, как конкретно обеспечиваются высшие функции мозга. Скорее всего, это можно будет сделать через исследование взаимодействия элементов мозга, через понимание того, как отдельные нейроны объединяются в структуру, а структура — в систему и в целостный мозг. Это главная задача следующего века. Хотя кое-что ещё осталось и на долю двадцатого.
Словарик
Афазия — расстройство речи в результате повреждения речевых зон мозга или нервных путей, ведущих к ним.
Магнитоэнцефалография — регистрация магнитного поля, возбуждаемого электрическими источниками в мозге.
Магниторезонансная томография — томографическое исследование мозга, основанное на явлении ядерного магнитного резонанса.
Позитрон-эмиссионная томография — высокоэффективный способ слежения за чрезвычайно малыми концентрациями ультракороткоживущих радионуклидов, которыми помечены физиологически значимые соединения в мозге. Используется для изучения обмена веществ, участвующих в реализации функций мозга.
Список литературы
Для подготовки данной работы были использованы материалы с сайта http://wsyachina.narod.ru/



Исследования,
проведённые в последние годы в Институте
мозга человека Российской академии
наук, позволили определить, какие
области мозга отвечают за осмысление
различных особенностей воспринимаемой
человеком речи: за грамматику, синтаксис,
орфографию и другие.








