Клініко-морфологічна діагностика та розповсюдження лейкозу великої рогатої худоби у СВК "Ружинський" Ружинського району Житомирської області
1
ДИПЛОМНА РОБОТА
НА ТЕМУ:
«Клініко-морфологічна діагностика та розповсюдження лейкозу великої рогатої худоби у СВК «Ружинський» Ружинського району Житомирської області»
ЗМІСТ
ВСТУП
1. ОГЛЯД ЛІТЕРАТУРИ
1.1 Історична довідка
1.2 Етіологія
1.3 Патогенез
1.4 Клінічні ознаки
1.5 Патолого-анатомічні зміни
1.6 Діагноз
1.7 Диференціальна діагностика
1.8 Протиепізоотичні заходи
2. МЕТА І ЗАВДАННЯ ДОСЛІДЖЕНЬ
3. МАТЕРІАЛ І МЕТОДИ ДОСЛІДЖЕНЬ
4. ХАРАКТЕРИСТИКА ПРИРОДНО-ЕКОНОМІЧНОГО СТАНУ
ГОСПОДАРСТВА
5. КЛІНІКО-МОРФОЛОГІЧНА ДІАГНОСТИКА ТА РОЗПОВСЮДЖЕННЯ ЛЕЙКОЗУ ВЕЛИКОЇ РОГАТОЇ ХУДОБИ У СВК «РУЖИНСЬКИЙ» РУЖИНСЬКОГО РАЙОНУ ЖИТОМИРСЬКОЇ ОБЛАСТІ
5.1 Клінічні дослідження
5.2 Патоморфологічні дослідження
6. ВИЗНАЧЕННЯ ВЕТЕРИНАРНИХ ВИТРАТ НА ПРОВЕДЕННЯ ДІАГНОСТИКИ ЩОДО ЛЕЙКОЗУ ВЕЛИКОЇ РОГАТОЇ ХУДОБИ У СВК «РУЖИНСЬКИЙ» РУЖИНСЬКОГО РАЙОНУ ЖИТОМИРСЬКОЇ ОБЛАСТІ
7. ОХОРОНА ПРАЦІ
8. УЗАГАЛЬНЕННЯ ТА ОБГОВОРЕННЯ РЕЗУЛЬТАТІВ РОБОТИ
9. ВИСНОВКИ
10. ПРОПОЗИЦІЇ ВИРОБНИЦТВУ
СПИСОК ВИКОРИСТАНОЇ ЛІТЕРАТУРИ
ДОДАТКИ
УМОВНІ СКОРОЧЕННЯ
ВЛ ВРХ – вірус лейкозу великої рогатої худоби
ДНК – дезоксирибонуклеїнова кислота
РІД – реакція імунодифузії
РДП – реакція дифузної преципітації
ОРЛ – осадова реакція на лейкоз
РІФ – реакція імунофлюоресценції
РЗК – реакція зв’язування комплементу
РАЛ – реакція аглютинації латексу
РНГА – реакція непрямої гемаглютинації
ПЛР – полімеразна ланцюгова реакція
НВС – науково-виробнича система
СВК – сільськогосподарський виробничий кооператив
ІФА – імуно-ферментний аналіз
ПСО – пожежно-сторожова охорона
ВСТУП
Спад у виробництві, що існує в Україні на сьогодні, призвів не лише до стрімкого зниження поголів’я тварин у господарствах, а й до зниження кількості та якості отримуваної продукції. Недоотриманню продукції тваринництва передує, перш за все, порушення умов годівлі та утримання тварин, несвоєчасна діагностика, лікування та профілактика хвороб заразної та незаразної етіології, порушення ветеринарно-санітарних вимог при отриманні, зберіганні та транспортуванні продукції. Це все призводить не лише до значних економічних збитків, а й до можливого виникнення різних захворювань, в тому числі й інфекційних, що ще більше ускладнює ситуацію в господарстві [34].
Не винятком є лейкоз великої рогатої худоби, що займає серед інфекційних хвороб одне з особливих місць, оскільки хвороба отримала значне поширення у багатьох регіонах України. Лейкози тварин діагностують майже у всіх країнах світу. Більш широко вони поширені в США, ряді країн Центральної Європи, Данії, Швеції і країнах Близького Сходу. Таке значне поширення лейкозу зумовлює великі економічні збитки, які в першу чергу стосуються племінних господарств, де хворі на лейкоз тварини втрачають племінну цінність, а племінні господарства – відповідний статус [35].
Проблема лейкозів людини і тварин має велике біологічне, економічне і соціальне значення. Захворювання лейкозами і смертність від них, переважно високопродуктивних корів, у багатьох країнах продовжує збільшуватись, що певною мірою відбивається на виробництві продуктів тваринництва та їх якості.
На сьогоднішній день пропонується ряд методів діагностичних досліджень, а зокрема гематологічних та серологічних. Найбільш розповсюдженими із серологічних досліджень є РІД та ІФА, які досить широко використовуються у господарствах при проведені планових діагностичних досліджень [33]. Всі методи діагностики дозволяють виявити джерело збудника інфекції відразу ж після зараження або в перші його години.
Ще одним із методів діагностики лейкозу є патоморфологічне дослідження, що включає в себе вивчення гістологічних та патолого-анатомічних змін у загиблих тварин, а також у тушах особин, які після забою підлягали ветеринарній експертизі на бойнях та м’ясокомбінатах. Крім того, такі методи дослідження дають змогу встановити форми лейкозу [34].
Тому враховуючи вищезгадане, метою було проведення клініко-морфологічного дослідження РІД-позитивних на лейкоз корів та вивчення розповсюдження хвороби у СВК «Ружинський» Ружинського району Житомирської області.
РОЗДІЛ 1. ОГЛЯД ЛІТЕРАТУРИ
1.1 Історична довідка
Лейкоз (Leucosis) – це хронічна інфекційна хвороба великої рогатої худоби, інших ссавців та різних видів птахів, що характеризується порушенням процесу дозрівання клітинних елементів крові, злоякісним розростанням кровотворної та лімфоїдної тканин, утворенням у різних органах пухлин. На лейкоз хворіє також і людина [25].
Захворювання вперше описав під назвою «лейкемія» Р. Вірхов у 1845 р. у людини. Через 13 років, після повідомлення Р. Вірхова про встановлення лейкозу у людей, патологоанатом Лейзерінг вперше в літературі описує лейкоз у коней [37]. В 1876 р. О. Зідамгродський повідомляє про лейкоз великої рогатої худоби, одночасно з’являється інформація про лейкоз у свиней, собак, мишей. З тих пір щорічно збільшується потік повідомлень про лейкоз у тварин та птиці. У 1921 р. В. Елерман замінив термін «лейкемія» на «лейкоз», що точніше відповідає суті хвороби, яка іноді проходить без кількісних змін лейкоцитів у периферичній крові [25, 37].
Останнім часом лейкоз великої рогатої худоби набув значного поширення в багатьох країнах світу, в тому числі й в Україні. Лейкоз, за рахунок широкого розповсюдження, наносить світовому скотарству значних збитків. Він представляє потенційну небезпеку, особливо генофонду племінного молочного тваринництва, так як реєструється у високопродуктивних тварин найбільш цінних молочних порід [25, 40].
Економічний збиток від лейкозу великої рогатої худоби складається із недоотримання молока і приплоду, передчасного вибраковування корів і забою бугаїв-плідників, недоотримання продуктів забою, так як туші хворих тварин через лейкозні ураження направляються на технічну утилізацію, здачі на м’ясо племінного молодняку від хворих тварин. Крім того, в благополучних господарствах при встановленні лейкозу витрачаються додаткові речовини на проведення комплексу ветеринарно-санітарних, селекційно-зоотехнічних і господарських оздоровчих міроприємств, спрямованих на ліквідацію хвороби [25, 40,62].
Майже протягом століття вчені багатьох країн проводили дослідження з вивчення етіології даного захворювання і лише 1969 рік увійшов до історії, як рік відкриття вірусу лейкозу великої рогатої худоби. На 21 Міжнародному симпозіумі по лейкозу великої рогатої худоби (Брюссель, 1976) була прийнята резолюція, у якій відмічено: «Вірус бичого лейкозу слід офіційно визнати головним фактором у етіології ензоотичного лейкозу. У державних програмах, які регламентують боротьбу з лейкозом великої рогатої худоби, необхідно передбачити використання серологічних тестів, спрямованих на виявлення противірусних антитіл» [38, 48].
1.2 Етіологія
У природних умовах до вірусу лейкозу сприйнятливі велика рогата худоба, коні, свині, вівці, кози, кролики, усі види птахів, особливо кури. У корів захворювання спостерігається переважно у 4–9-річному віці, однак іноді хворіють тварини до 3-річного віку. Відмічається підвищена сприйнятливість до вірусу лейкозу окремих порід, родин, ліній великої рогатої худоби, зокрема червоної та чорно-рябої порід. Слід зауважити, що експериментальне зараження ВЛ ВРХ овець, кіз, свиней та кроликів викликає імунологічну відповідь, яка проявляється виробленням антитіл до антигену ВЛ ВРХ. А в природних умовах при спільному утриманні великої рогатої худоби разом з вівцями не вдалося спостерігати онковірусну інфекцію [20, 25, 40, 57, 77].
При лейкозі великої рогатої худоби існує два шляхи передачі вірусу: вертикальний – від матері до плоду і горизонтальний – від однієї тварини до іншої [40, 50].
Вертикальний шлях зараження характеризується передачею вірусу від матері до плоду під час внутрішньоутробного (пренатального) розвитку в останні 6 місяців вагітності. Але пренатальна передача ВЛ ВРХ не перевищує 20-ти випадків із кожної сотні можливих.
Проте, основним у поширення інфекції в природних умовах є горизонтальний шлях – контактна передача. У більшості випадків, вірус передається з інфікованими лімфоцитами [47].
В літературі [30, 36] є повідомлення про те, що поширення інфекції ВЛ ВРХ може проводитись комахами-гематофагами, особливо у зонах їх природного існування.
ВЛ ВРХ або інфіковані ним лімфоцити присутні у молоці більшості інфікованих тварин. Проте, не зважаючи на те, що молоко і молозиво інфікованих корів містить вірус лейкозу, інфекція новонародженим телятам у природних умовах передається рідко, порівняно з контактним зараженням [13, 39, 60, 78]. Стійкість телят до ВЛ ВРХ протягом перших місяців життя, очевидно, зумовлена материнськими вірус-нейтралізуючими антитілами, які одержують телята під час випоювання їм молозива від інфікованих вірусом лейкозу корів-матерів [21, 43, 52].
Механізм контактної передачі ВЛ ВРХ неясний, оскільки не встановлена наявність вірусу у фекаліях, сечі і слині інфікованих тварин. Проте, при наявності запального процесу в ротовій порожнині, органах травлення, сечовидільній системі може відбуватися контамінація секретів і екскретів клітинами крові (лімфоцитами) ВЛ ВРХ [35].
1.3 Патогенез
Лейкоз – це загальне захворювання кровотворної системи. Вивчення патогенезу лейкозу великої рогатої худоби відбувалось протягом тривалого періоду паралельно з вивченням методів діагностики, епізоотології та розробки оздоровчих протилейкозних заходів.
Розшифровка процесу виникнення лейкозу, починаючи від проникнення ВЛ ВРХ в організм сприйнятливої тварини та розвитку патологічних змін, які зумовлюють клінічні ознаки, дозволяє з’ясувати ступінь патогенезу.
Як повідомляють В.І. Цимбал і ін. [78], при лейкозі великої рогатої худоби мають місце вираженні імунопатологічні процеси, які супроводжуються утворенням циркулюючих та фіксованих аутоантитіл. Ці аутоантитіла виявляють, переважно, на початкових стадіях розвитку лейкозного процесу. При патоморфологічному підтвердженні захворювання аутоантитіла виявляють у незначній кількості тварин, або практично їх не знаходять, що імовірно пов’язано зі значним пригніченням імунологічних реакцій організму тварин у цей період [34].
Основу патогенетичних процесів при лейкозі становить системне ураження кровотворної тканини, що супроводжується анаплазією і нерегульованим, прогресуючим розмноженням клітинних елементів не лише в кровотворних органах, але і за їх межами. До основних факторів, які обумовлюють клінічну картину лейкозу, можна віднести стан й імунологічну реактивність організму, його чутливість до етіологічного агента та механізм зараження [35, 48, 65].
Основною, характерною
рисою лейкозних і пухлинних клітин є
нездатність до правильної диференціації.
При нормальному гемопоезі к
ровотворні
клітини, дозріваючи, втрачають здатність
до поділу. Лейкозні клітини можуть
проходити значно більше циклів поділу,
ніж нормальні клітини крові, що створює
велику клітинну продукцію, яка характеризує
лейкоз. При лейкозній патології нормальна
клітина може перетворитися на лейкозну
на будь-якому рівні її диференціації
та дозрівання [5].
Вперше теорію про вірусогенетичну природу пухлини висунув Л.А. Зільбер. На його погляд вірусна нуклеїнова кислота є справжнім етіологічним фактором пухлин. Вона, вмонтовуючись у геном клітини, стає додатковою інформацією в ній і викликає трансформацію. Вірусна нуклеїнова кислота зв’язана ковалентними зв’язками з хромосомною ДНК клітини та вірусу. Геном вірусу входить до складу спадкового апарату клітини і надалі реплікується разом з клітинною ДНК.
Після того, як в клітину проникає вірус, процес взаємодії його і клітини відбувається у дві стадії. Перша – стадія генотипової фіксації вірусу, яка характеризується відсутністю видимих морфологічних змін в заражених клітинах. В цю стадію відбувається включення вірусного геному в клітинний. Патогенний агент, який проник у клітину, може перебувати в неактивному стані тривалий період життя організму господаря, не викликаючи хворобу. Друга стадія характеризується морфологічною трансформацією клітин, коли відбувається розмноження активного вірусу [38].
Лейкозні зміни при гістологічному дослідженні в ранній період хвороби реєстрували в кістковому мозку, м’якотних тяжах, світлих центрах фолікулів і синусах лімфатичних вузлів голови та шиї, при цьому у крові містилось від 9 до 20 тис/мкл лейкоцитів (із них до 80 % лімфоцитів). Потім у патологічний процес втягувалися всі зовнішні і внутрішні лімфатичні вузли, селезінка, а іноді і печінка [70].
У період початкової
стадії лейкозу макроскопічних змін у
органах і тканинах не виявляли, вони
починали з’являтись після значних
зрушень у периферичній крові, тобто у
другу стадію, після якої наступав процес
г
енералізації.
Н
а
другій стадії кількість лейкоцитів
крові зростала до 50 тис/мкл. Таке надмірне
накопичення лейкоцитів і лімфобластів
призводило до збільшення лімфатичних
вузлів, селезінки, нирок, серця та інших
органів, а також пригнічення нормальних
ростків кровотворення у кістковому
мозку. Клітини крові, розмножуючись,
поширюються по організму і утворюють
пухлини в різних органах і тканинах, що
призводять до структурних і функціональних
уражень органів внаслідок атрофії
специфічних клітин.
Під час генералізації процесу (лейкемізація, 3-я стадія) проходить ураження всіх вісцеральних органів, значно порушується гістологічна структура лімфатичних вузлів [9].
При лейкозах у кістковому мозку проходить інтенсивний ріст клітин лімфатичного ряду, що призводить до збільшення їх кількості у периферичній крові. Відповідно у кістковому мозку відбувається поступове витіснення мієлоїдного кровотворення, що призведе до лімфоцитарної трансформації. У 80% лімфоцитів співвідношення ядра і цитоплазми зрушено в бік збільшення ядра [35, 37].
Дані наукових досліджень [38, 40, 48, 68, 78] доводять, що ВЛ ВРХ, головним чином, передається від тварини до тварини ятрогенним (під час вакцинації, туберкулінізації, взятті крові, біркуванні) і механічними шляхами (перенесення вірусу мухами, з клітинами запального ексудату кон’юнктиви і слизових оболонок носа та іншими кровосисними комахами), а також при прямому контакті (облизуванні тощо) особин. Отже, спонтанні лейкози виникають не самі по собі, а під впливом зовнішніх і внутрішніх факторів. Деякі дослідники вказують на те, що лейкозами частіше за все хворіють тварини з високою молочною продуктивністю [30], послабленими захисно-пристосувальними реакціями організму [14]. Одночасно у них відмічали більш низький рівень у крові гормонів щитовидної та підшлункової залоз. Тому важливе значення у патогенезі лейкозу великої рогатої худоби набуває виявлення закономірностей змін функціональної активності ендокринних залоз.
Лейкози ссавців проявляються у двох основних формах – власне лейкози (лімфолейкоз, мієлолейкоз, гемоацитобластоз), що характеризуються системним ураженням органів кровотворення та лейкемічними змінами картини периферичної крові, і ретикульози (лімфоретикулосаркома, системний ретикульоз, лімфогрануломатоз), які характеризуються осередковими або генералізованими пухлинними розростаннями ретикулярних елементів кровотворної тканини та відсутністю відхилень від норми в показниках крові. Найчастіше спостерігаються лімфолейкоз (62,4%) та ретикулосаркома (53,4%), рідко – мієлолейкоз [25].
1.4 Клінічні ознаки
Клінічна картина лейкозу характеризується складним симптомокомплексом, який зумовлений морфологічними і функціональними змінами у органах і тканинах кровотворної системи, а також у органах і тканинах, які за нормальних умов, не приймають участі у кровотворенні. При цьому важливе значення мають тривалість інкубаційного періоду, форма прояву лейкозу і швидкість перебігу патологічного процесу [38].
Інкубаційний період (період від попадання збудника в організм сприйнятливої тварини до появи змін у периферичній крові) за експериментального зараження становить 60–750 днів, а при спонтанному 2–6 років [5].
За характером перебігу розрізняють гостру, підгостру і хронічну форму лейкозу. Гостра форма частіше виникає у молодняку віком 1,5–3 міс. Загибель тварин може наступати через декілька годин або тижнів з моменту інфікування, характерні ознаки хвороби можуть не проявлятися клінічно. Підгостра форма частіше проявляється у тварин віком від 8 до 24 міс. Клінічні ознаки більш виражені і хворі, як правило гинуть. Необхідно відмітити, що гострий і підгострий перебіги зустрічаються досить рідко [45].
При хронічній та повільній формах лейкозу тварини живуть роками. У розвитку лейкозу виділяють передлейкозну, початкову, розгорнуту і термінальну стадію хвороби [49].
З розвитком патологічного процесу вказані стадії змінюють одна одну у певній послідовності.
У передлейкозній та початковій стадіях розвитку хвороби, клінічні ознаки, як правило, відсутні, зберігається продуктивність і відтворювальна функція тварин. Перші клінічні ознаки з’являються в розгорнутій стадії лейкозу і прогресують у процесі його розвитку.
Тривалі епізоотологічні дослідження, з урахуванням аналізу результатів серологічного, клініко-гематологічного і патоморфологічного контролю реакції взаємодії ВЛ ВРХ з макроорганізмом в конкретних умовах зовнішнього середовища, дозволяють виділити наступні стадії інфекційного процесу при лейкозі великої рогатої худоби:
1) інкубаційний період;
2) стадія безсимптомного вірусоносійства;
3
)
гематологічна стадія;
4) стадія пухлинного прояву.
Експериментально встановлено [35], що після зараження телят лімфоцитами периферичної крові від інфікованого донора вірус виявляли в селезінці реципієнта через 8 днів після інокуляції. В крові цей вірус виявляли через 14 днів і пізніше. Але є відомості про зараження піддослідних тварин до появи специфічних антитіл в період від 15 днів до 4–6 місяців.
Експериментальні дані показали, що імунологічній відповіді, яка супроводжується появою антитіл до антигену ВЛ ВРХ, а також гематологічній і пухлинній стадіям лейкозу, відповідає інкубаційний період, тривалість якого обумовлена дозою, методом, характером інфекційного матеріалу, що вводився. В інкубаційному періоді антитіла в сироватці крові з’являються у відповідь на зараження організму ВЛ ВРХ не відразу, а через деякий проміжок часу [48].
Тому інкубаційний період при спонтанному зараженні великої рогатої худоби триває 2–6 років, при експериментальному – від 2 міс. до 2 років [35].
Патогенетичний процес онковірусної інфекції частіше всього проявляється під час безсимптомного перебігу хвороби. Тварин, які знаходяться в цій стадії, виділяють за допомогою імунологічних реакцій шляхом знаходження в сироватці крові специфічних антитіл до антигену вірусу лейкозу великої рогатої худоби.
Антитілоносійство не викликає у тварин видимих фізіологічних або патологічних відхилень. У корів не спостерігаються порушення відтворної функції та функції молочної залози, прирости маси молодняку відповідають кормовим раціонам, повністю зберігаються рефлекси поведінки.
В стані вірусоносійства тварини можуть знаходитись протягом всього життя. Лише у незначної частини тварин-антитілоносіїв при систематичних клініко-гематологічних дослідженнях відмічають зміни крові у вигляді відносного чи абсолютного лімфоцитозу, постійність якого з тенденцією до збільшення є патогномонічною ознакою хвороби [34].
Г
ематологічна
стадія лейкозу великої рогатої худоби
перебігає на алейкемічному, сублейкемічному
та лейкемічному рівнях [40].
Алейкемічна картина крові, яку встановлюють по процентному вмісту лімфоцитів у лейкоцитарній формулі, зазвичай проявляється без змін загальної кількості лейкоцитів в одиниці об’єму крові. Цю фазу частіше всього спостерігають у молодих тварин у віці до 2–2,5 років. Триває алейкемічний перебіг лейкозу 1–3 роки.
Більш тривалий період гематологічного прояву хвороби – фаза хронічного перебігу з сублейкемічними показниками крові. Частіше всього сублейкемічний перебіг лейкозу відмічають у корів 3–5 років. У хворих корів спостерігають постійне збільшення загальної кількості лейкоцитів у периферичній крові з переважанням лімфоїдних форм. Таке рівномірне збільшення лейкоцитів зазвичай реєструють постійно, інколи – з явищами чергування ремісії та рецедивів.
Лейкемічна фаза гематологічної стадії лейкозу характеризується гіперлейкоцитозом (більше 40 тис. в 1 мкл крові) і підвищеним вмістом у лейкоцитарній формулі малодиференційованих клітин. Триває лейкемічний перебіг лейкозу 1–3,5 роки.
Пухлинна (клінічна) стадія може спостерігатися у тварин різного віку. Вона частіше всього розпочинається в «надрах» сублейкемічної та лейкемічної фаз гематологічної стадії лейкозу. Тривалість пухлинної стадії залежить від втягнення в патологічний процес регіонарних лімфатичних вузлів життєвонеобхідних органів [38, 48].
Симптоматичний комплекс за лейкозу великої рогатої худоби, на думку Л. Г. Бурби, В. А Бусола зумовлений функціональними порушеннями і морфологічними змінами в органах і тканинах кровотворної і негемопоетичної систем. Характер симптомів залежить від пухлинного ураження тієї або іншої системи органів, а повнота їх прояву від стадії перебігу лейкозного процесу [34].
Перехід гематологічної (субклінічної) стадії у клінічну часто відбувається після розтелення, при інтоксикації організму, секундарній інфекції тощо.
О
крім
органів кровотворення часто у патологічний
процес втягуються інші внутрішні органи,
які не мають безпосереднього відношення
до кровотворення. Тому клінічні ознаки
при лейкозі поділяють на специфічні,
ті які характерні для лейкозу, і
неспецифічні, або ті, що відображають
функціональне порушення тієї чи іншої
системи органів внаслідок їх пухлинних
уражень [30, 38, 48].
Неспецифічні ознаки мають вигляд розладів загального характеру, які можуть спостерігатися при багатьох хворобах. Частіше вони проявляються погіршенням загального стану тварини, поганим засвоєнням кормів, відсутністю апетиту, зниженням надою, швидкою втомою, слабкістю і прогресуючим схудненням. При ураженні травного каналу спостерігають розлади травлення (діарею, часто профузного характеру, запор, атонію або тимпанію передшлунків), ослаблення серцевої діяльності, ціаноз і жовтушність слизових оболонок, порушення дихання, набряки в ділянці підгруддя, черева, вимені і міжщелепного простору [38, 40, 45, 48].
При здавлюванні нервових стволів кінцівок пухлинними розростаннями тканин або проростання лейкозної пухлини у спинномозковий канал спостерігається кульгавість на одну або обидві задні кінцівки і слабкість, тварина тяжко піднімається, іноді взагалі не може піднятись.
Ураження сечового міхура або переддвер’я піхви супроводжується ускладненим виділенням сечі, а ураження матки – абортом та неплідністю. Пухлини у статевих шляхах часто перешкоджають розвитку плода або нормальному розтелу. У 5% випадків дослідники відмічали збільшення однієї або кількох долей вимені (спочатку без порушення лактації), інфільтрацію підшкірної клітковини вимені [35].
Специфічні ознаки характеризуються збільшенням поверхневих (передлопаткових, міжщелепних, привушних, надвимених тощо) і доступних ректальному дослідженню внутрішніх лімфатичних вузлів, селезінки,і печінки, появою пухлинних розростань у різних частинах тіла, органах і орбітах очей. Останні часто зумовлюють екзофтальм з гнійним запаленням очного яблука. Лімфатичні вузли часто уражуються послідовно, тому розміри їх коливаються від грецького горіха до голови дитини. Одночасне і рівномірне збільшення двох симетрично розміщених лімфовузлів зустрічається досить рідко. Як правило, вони збільшуються спочатку з одного боку, а потім з іншого [38, 45, 48].
При лейкозі, при клінічному огляді хворих тварин, часто виявляють лімфовузли, які за нормальних умов не можна пропальпувати (привушні, додаткові надвимені, шийні і окремі підшкірні, які знаходяться у різних частинах тіла).
Так, дослідження показали [48], що в ділянці голодної ямки, на грудях, підгрудді, ребрах, лопатці вчені виявляли дрібні, розміром з голубине яйце, підшкірні лімфовузли. У неблагополучних щодо лейкозу господарствах їх знаходили як у хворих, так і у гематологічно негативних на лейкоз корів. Тому самі по собі ці дрібні підшкірні лімфовузли, на їх думку, можуть мати діагностичне значення лише у поєднанні з іншими клінічними ознаками, або характерними змінами у периферичній крові.
К
лінічно
збільшенні лімфатичні вузли без
підвищеної місцевої температури не
болючі, рухомі, еластичної або щільної
консистенції, що залежить від характеру
і стадії патологічного процесу в них.
При різкому збільшенні, внаслідок
розтягування капсули, вони стають
болючими. При ураженні декількох, поряд
розташованих, лімфовузлів може відбутися
їхнє зрощування між собою, або з оточуючими
тканинами з утворенням конгломерату.
При цьому втрачається їх рухомість і
рівна поверхня [48].
Характер і ступінь ураження лімфовузлів бувають різними і залежать від форми прояву хвороби. Розрізняють три форми пухлинного ураження тварин:
системне (генералізоване) ураження лімфатичних вузлів;
переважне ураження внутрішніх органів, шкіри;
ураження підшкірних лімфовузлів.
Генералізоване ураження лімфовузлів зустрічається рідше, ніж ураження регіонарних. Внутрішні лімфовузли уражуються частіше зовнішніх. У цьому випадку при ректальному дослідженні виявляють збільшення глибоких пахових лімфовузлів, пухлинні розрости стінок матки, сечового міхура, під крижовими і поперековими хребцями – дрібні пухлинні новоутворення. Інколи вся тазова порожнина буває заповнена пухлинами [35].
До специфічних клінічних ознак відноситься і збільшення селезінки, межі якої легко встановити при перкусії. Ступінь ураження селезінки залежить від форми хвороби. При лімфолейкозі селезінка збільшується в декілька разів, досягаючи маси 25 кг і розмірів 100х30х10 см. Значне збільшення селезінки супроводжується значним лімфоцитозом у периферичній крові, інколи спостерігають розрив капсули і раптову смерть тварини від внутрішнього крововиливу [30].
Клінічну стадію лейкозу
часто виявляють взимку, під кінець
тільності і на п
очатку
лактації, що пояснюється зниженням
резистентності організму [34].
Лейкоз великої рогатої худоби у більшості випадків має хронічний перебіг. Гострий і підгострий перебіги хвороби відмічають лише у 5–10% випадків. Тому питома величина клінічних ознак в діагностиці лейкозу незначна.
Поряд з ензоотичним лейкозом великої рогатої худоби певне місце займає і лейкоз молодняку з частим ураженням щитоподібної залози. При цьому спостерігають ускладнене дихання, хрипи і слизові виділення із носових ходів. Клінічно діагноз встановлюють за збільшеними лімфовузлами [79].
Дуже рідко виявляють шкірну форму лейкозу [8]. При якій на тілі тварини з’являються вузликові припухлості діаметром 2,5 см, добре видимі на шиї, спині, крижах та стегнах. Протягом кількох тижнів відбувається їхнє облисіння, поверхня припухлості вкривається кірочкою, що складається з епітелію і ексудату. Кірочки відпадають, враженні, лисі ділянки шкіри знову вкриваються шерстю. Проте через кілька місяців, після здавалось би повного одужання, настає рецидив, з появою тих же ознак хвороби. Відбувається інфільтративне ураження внутрішніх органів і тварина гине.
Таким чином, характерні ознаки, а також пухлинні ураження органів черевної і тазової порожнин, які виявляються ректальним дослідженням, є достовірними діагностичними клінічними ознаками лейкозу. Неспецифічні ознаки, які відображають пухлинні ураження внутрішніх органів, лише у поєднанні з показниками крові набувають діагностичного значення [40].
1.5 Патолого-анатомічні зміни
Патолого-анатомічні зміни зумовлені патогенезом хвороби, клінічними ознаками і характеризуються розростанням патологічної кровотворної тканини в органах кровотворення і за їх межами. Розрости можуть бути вогнищеві і локалізовані, а також дифузні [58].
При гострому,
лімфобластичному, лейкозі в першу чергу
уражуються лімфовузли і селезінка, а
при хронічному, лімфоцитарному – й інші
органи: с
ерце,
печінка, нирки, матка, сичуг, рідше інші
органи [54].
За частотою уражень перше місце займають різні лімфатичні вузли (передлопаткові, міжщелепні, привушні, надвимені, надколінні). Вони збільшені, капсула їх напружена, ущільненої консистенції, на розрізі пульпа випирає, поверхня волога, салоподібна [10, 11, 12].
Селезінка збільшена у 8–10 разів, досягаючи 1 м довжини, 20–25 см ширини і завтовшки 8–10 см. Капсула сильно напружена, пульпа пухка, частіше зерниста (сагові зерна). На розрізі поверхня горбиста, на червоному фоні чітко виступають великі білі лімфатичні вузлики. Рідше спостерігають дифузні пухлинні розрости, в яких виявляють некротичні вогнища, крововиливи тощо. Трапляються випадки розриву селезінки і крововиливи у черевну порожнину, що зумовлювало раптову загибель тварин [7].
Під мікроскопом лейкозні клітини знаходять у лімфатичних вузликах, які сильно збільшені, часто не поміщаються в поле зору мікроскопа і складаються із лімфобластів, лімфоцитів і недиференційованих клітин. При суцільній інфільтрації лімфатичні вузлики майже не виявляються, а пульпа заповнена еритроцитами та лейкозними клітинами, які розміщені дифузно або утворюють острівці.
Серце збільшене в об’ємі. Міокард пронизаний світло-сірими прожилками або плямами. Іноді міокард передсердь цілком білий. Зі сторони ендокарду і на перикарді зустрічаються пухлини різної величини й форми, які іноді заповнюють всю порожнину передсердь.
Під мікроскопом в початкових стадіях захворювання лейкозні інфільтрати виявляють поміж м’язовими волокнами, частіше в передсердях. З часом інфільтрація збільшується, заміщаючи м’язову тканину.
Печінка збільшена в
об’ємі, сірого або світло-бурого кольору,
іноді з жовтим відтінком. На поверхні
і в паренхімі іноді спостерігають
пухлинні вогнища різної величини та
форми, білого кольору, в’ялої консистенції.
Під мікроскопом лейкозні інфільтрати
виявляють в сполучній тканині та
синусоїдних капілярах у вигляді тяжів
та вогнищевих скупчень. Гепатоцити
зазнають білкової та жирової дистрофії
і подальшого заміщення лейкозною
т
каниною.
В нирках спостерігають частіше пухлинну, рідше дифузну форми ураження. При пухлинній вони збільшені і горбисті. Під капсулою чітко виступають різної величини множинні білуваті пухлинні утворення, в’ялої консистенції. Іноді вузли між собою зливаються, утворюють конгломерати або одне спільне суцільне розростання, яке займає більшу частину органа. При дифузній формі нирка збільшена, сірого або сіро-коричневого кольору. Під мікроскопом при незначному ураженні відмічають лейкозні інфільтрати навколо ниркових клубочків, судин, між канальцями та під епітелієм миски. При сильному ураженні лейкозні клітини утворюють значні ділянки, в яких виявляють лише окремі елементи нефрону.
Сичуг уражується досить часто. При цьому стінка його потовщується до 5–6см і набуває білого кольору. Слизова оболонка містить виразки різної величини й форми. Під мікроскопом слизова оболонка інфільтрована лейкозними клітинами. Підслизовий та м’язів шари не розрізняються через надмірну інфільтрацію та заміщення лейкозною тканиною.
В кишечнику уражуються, в першу чергу, лімфатичні вузлики. Вони різко збільшені, а в слизовій оболонці часто виявляють виразки. Стінка кишки потовщується за рахунок інфільтрації всіх шарів лейкозними клітинами.
Стінка матки потовщена, білого кольору, в’яла, усі шари її інфільтровані лейкозними клітинами [54].
В
сі
форми лейкозу характеризуються
збільшенням в різній мірі лімфовузлів.
При лімфолейкозі вони рівномірно і
сильно збільшені в об’ємі, досягаючи
інколи ваги декількох кілограмів, не
прирощені до навколишніх тканин, капсула
знімається легко, на розрізі вони
сіро-білого кольору, соковиті і саловидні.
Лімфатичні вузли при лімфогрануломатозі,
лімфосаркомі і гістіоцитарній саркомі
горбисті, капсула міцно зрощена із
паренхімою, на розрізі часто бувають
крововиливи та некрози. У органах
черевної, тазової порожнин, на серозних
оболонках відмічають вузлуваті пухлинні
розрости, які мають вигляд конгломератів
сіро-білого, жовто-сірого кольору.
Селезінка при лімфоїдному
слабодиференційованому і мієлоїдному
лейкозах збільшена. При перших двох
формах вона буро-червоного кольору з
чітко вираженою червоною та білою
пульпою за рахунок гіперплазії фолікулів
[8, 31, 75].
На більш пізнішій стадії хвороби межа між білою та червоною пульпою стерта. При мієлоїдному лейкозі селезінка червоно-малинового кольору, фолікули погано помітні, а в окремих ділянках взагалі відсутні, тканина пухкої консистенції з крововиливами. При лімфоретикулосаркомі селезінка не збільшена. При всіх формах лейкозу відмічають вогнищеві або дифузні розрости сіро-білого або сіро-червоного кольору у печінці, нирках, в середині серцевого м’язу, органах травлення, матці, скелетних м’язах, діафрагмі тощо [8, 10, 12, 31].
1.6 Діагноз
Діагноз на лейкоз встановлюють на основі епізоологічних даних, клінічних ознак, патолого-анатомічних змін і результатів лабораторних досліджень, які включають гематологічні, гістологічні та серологічні дослідження.
Для гематологічного дослідження кров відбирають у тварин старше 2-річного віку із яремної вени, у пробірки з антикоагулянтом. Не дозволяється брати кров від тварин за 15 днів до розтелу і 15 днів після нього. Для серологічного дослідження кров беруть у тварин віком 2 міс. і старше, також із яремної вени, але без антикоагулянту.
Для гістологічного дослідження направляють шматочки вражених органів (селезінки, лімфовузлів, грудної кістки, печінки, нирок, легень, серця, стінки сичуга, матки, скелетних м’язів і правого вушка серцевого м’язу) надсилають у свіжому вигляді в термостаті із льодом або в 10% розчині формаліну [16].
До лабораторних методів діагностики лейкозу належать такі, що дозволяють виявити вірус:
електронно-мікроскопічний метод, який дозволяє виявити вірусні частинки в короткострокових культурах лейкоцитів крові тварин, які інфіковані ВЛ ВРХ, та в моношарових культурах клітин, співкультивованих з інфікованими лімфоцитами. Методом електронної мікроскопії у хворих лейкозом тварин у лімфоцитах виявляють ядерні «кишені», що мають вигляд неправильного кола або петлі [35];
біопроба проводиться на вівцях і таким чином дозволяє виявити вірус у крові піддослідних тварин. Вівцям внутрішньочеревно ін’єкують кров від піддослідних тварин. За наявності у крові вірусу в останніх розвивається інфекція, яка супроводжується утворенням вірусспецифічних антитіл [15, 35, 38, 40, 71].
Із методів прижиттєвої діагностики лейкозу найбільшого поширення набули такі як гематологічний та серологічний. Ці методи мають широке застосування тому, що вони прості і мають виражену специфічність, яка і зумовлює точність діагнозу [33, 56].
Гематологічний метод грунтується на виявленні у периферичній крові підвищеної кількості лейкоцитів, головним чином лімфоїдного ряду та слабо диференційованих клітин (родопочаткових, пролімфоцитів, лімфобластів). Тварин, які запідозрюються в захворюванні лейкозом, піддають додатковим гематологічним дослідженням з інтервалом 2–3 місяці до одержання двох підряд якісно однакових результатів, за якими їх визнають здоровими або хворими лейкозом.
Слід пам'ятати, що деякі гострі і хронічні хвороби ВРХ (перикардити, ретикуліти, гепатохолангіти, цироз печінки, туберкульоз, бруцельоз тощо) можуть супроводжуватися лейкоцитозом. При цьому, на відміну від лейкозу, збільшення кількості лейкоцитів крові відбувається, головним чином, за рахунок нейтрофілів, еозинофілів або моноцитів. Ці зміни крові мають тимчасовий характер, їх диференціюють від лейкозу повторними гематологічними дослідженнями [8, 16, 40].
З
алежно
від кількості лейкоцитів, виражених у
тис./мкл крові, розрізняють алейкемічний
(менше 4000), лейкопенічний (4000–10000),
сублейкемічний (10001–40000), лейкемічний
(більше 40000) прояв лейкозу.
Серологічний метод грунтується на постановці реакції імунодифузії (РІД) у агаровому гелі з метою ідентифікації протилейкозних антитіл сироватки крові тварин за допомогою відомого стандартного антигену ВЛ ВРХ.
Тварини, сироватки яких дали позитивну РІД, є заражені вірусом. За результатами досліджень, РІД є специфічною реакцією. Сироватки крові тварин, які не заражені ВЛ ВРХ, не дають специфічної реакції. У інфікованих тварин реакція «випадає» за 15 днів до розтелення та 15 днів після розтелення, тобто протягом 30 днів спостерігається, так звана «фаза імунологічної толерантності», яка зумовлена, фізіологічним станом організму корови [46].
РДП (реакція дифузної преципітації) – відносно чутливий тест для виявлення глікопротеїду ВЛ ВРХ. Дозволяє виявити глікопроптеїд вірусу у концентрації 0,4 мкг/мл [80].
Принцип осадкової реакції на лейкоз (ОРЛ), або метод "Рост" полягає у виявленні в сироватці крові хворих на лейкоз тварин Ig G, який характерний для злоякісного росту і утворює малорозчинний осад в кислому середовищі при певній рН = 0,72–0,75.
Розроблено ряд серологічних реакцій для діагностики ВЛ ВРХ –інфекції, а саме: РІФ, РЗК, РДП у гелі, РАЛ (реакція аглютинації латексу), РНГА, ELISA-метод, ПЛР [8, 16, 24, 32, 42].
Найбільш чутливими із перерахованих методів є ELISA, РДП і ПЛР. Але, завдячуючи своїй простоті постановки, специфічності, ефективності, більш широке застосування знайшла РДП (РІД) з глікопротеїтним антигеном, ось чому останніх 10 років вона використовується всюди для діагностики лейкозу великої рогатої худоби [8, 16, 40, 74].
Р
НГА
– чутливий метод для виявлення антитіл
у сироватці крові і молоці, який
рекомендований як тест при експертизі
та санітарній оцінці молока [74].
Розроблено алерген для ранньої діагностики лейкозу у тварин. Місце введення – підхвостова складка. Реакція проявляється через 20–24 години після введення алергену у формі шкіряної гіперемії, діаметром не менше 0,5 см. яскраво вираженої папули або некрозу на місці введення [41, 74].
За даними Тирсіна Р.В. зі співавт. [35] щеплення тварин проти гострого інфекційного захворювання впливає на перебіг інфекційного процесу у РІД позитивних корів, у них зменшується титр антитіл до вірусу лейкозу. При цьому активне щеплення ніяк не позначається на перебігу інфекційного процесу у тварин з гематологічними змінами.
1.7 Диференціальна діагностика
П
ри
гемобластозах великої рогатої худоби
можна спостерігати генералізоване
враження лімфатичних вузлів багатьох
частин тіла тварин та ізольоване враження
окремих або декількох лімфатичних
вузлів грудної або черевної порожнини
з розвитком некрозів. Тому при диференційній
діагностиці необхідно брати до уваги
можливу наявність у тварин актиномікозу
(враження лімфовузлів голови і ділянки
грудей), туберкульозу (враження
підщелепових, заглоткових, шийних,
передлопаткових, надвименних та інших
лімфовузлів, регіонарних різним органам),
а також паратуберкульозу (збільшення
брижових та іліоцекальних лімфовузлів
з наявними у них білуватих або
сірувато-жовтих ділянок) і бруцельозу,
при якому, окрім лімфаденіту, можуть
виявлятись некротичний гепатит і мастит
[40].
Для уточнення діагнозу і виключення перерахованих вище захворювань великої рогатої худоби в доповнення до патологічного розтину необхідно проводити гістологічне дослідження печінки, нирок, різних ділянок кишечнику, селезінки, легень, серця, скелетних м'язів та інших органів, беручи до уваги, що найбільш характерні зміни виявляють у лімфатичних вузлах .
Серед інших захворювань, які супроводжуються лейкемічними реакціями у великої рогатої худоби і вимагають у зв'язку з цим проведення диференційної діагностики від гемобластозів, слід назвати гепатити, капілярну екстазію, цирози, амілоїдне переродження та інші захворювання печінки, мастити, нефрити, хронічний сепсис, міокардити, пневмонію, лімфаденіти, лімфаденопатії, які проявляються патологоанатомічно подібно до гемобластозів [8, 38, 40, 48].

1.8 Протиепізоотичні заходи
Основними заходами ефективного забезпечення благополуччя тваринництва щодо лейкозу є:
своєчасна діагностика хвороби;
чітке знання епізоотичної ситуації в кожному стаді;
негайне виведення зі стад (ферм) вірусом лейкозу тварин та їх ізоляція з наступним забоєм;
проведення чіткого обліку, нумерації та ідентифікації тварин;
дотримання ветеринарно-санітарних правил на фермах;
дотримання асептики і антисептики при масових обробках тварин (нумерація, взяття крові, вакцинація, алергічні дослідження, лікування тощо);
проведення ретельної дезінфекції тваринницьких приміщень та обладнання після кожного дослідження тварин і ізоляції вірусоносіїв.
Передбачено проведення таких профілактичних заходів:
постійно забезпечувати завезення до благополучних господарств тварин із вільних від лейкозу великої рогатої худоби ферм, стад;
організувати в господарствах: 1) родильні відділення з боксами для розтелення корів, профілакторіями для новонароджених телят; 2) спеціалізовані ферми для ізольованого вирощування ремонтного і племінного молодняку; 3) належний облік та чітку нумерацію тварин; 4) пастеризацію молока і молочних продуктів, які використовуються для харчових цілей, випоювання молодняку або годівлі тварин. У разі виявлення тварин з позитивною РІД забезпечити негайну їх ізоляцію, проведення гематологічних досліджень та забій худоби із змінами, характерними для лейкозу [17, 23, 63, 61].
Не допускати до використання:
серопозитивних тварин як донорів і продуцентів гіперімунпої сироватки та крові, сироватки реконвалесцентів, ендокринних залоз, органів і тканин тощо;
сперму РІД-позитивних бугаїв-плідників;
к
орів
та телиць з гематологічними або
клінічними ознаками лейкозу;
молоко від корів з гематологічними (клінічними) ознаками лейкозу для харчових цілей та випоювання молодняку;
молоко, м’ясо і м’ясопродукти інфікованих ВЛ ВРХ тварин для дитячого харчування;
з
абезпечити
карантинування завезеної у господарства
худоби. У разі виявлення РІД-позитивних
тварин всю групу повернути постачальнику
або після попереднього погодження з
ним відправити на забій.
Взяти під контроль завезення сперми з інших країн, областей, районів, господарств. Допускати завезення тварин і сперми тільки із благополучних щодо лейкозної інфекції господарств. Забезпечити контроль за дотриманням правил асептики під час проведення ветеринарних і зоотехнічних маніпуляцій з тваринами: нумерація та мічення тварин, отримання крові, хірургічні та акушерські втручання. Використовувати з цією метою лише знезаражені голки, шприци, інструменти. Забезпечити серологічний (РІД) контроль на лейкоз тварин, які вивозяться із господарств для племінних та користувальних цілей. Вивезення худоби для цих цілей дозволяється лише з благополучних господарств і ферм за умови, що за 30 днів до вивезення цих тварин їх досліджували серологічним методом і вони були вільні від антитіл до вірусу лейкозу [2, 22, 27, 51, 64].
Для припинення подальшого поширення інфекції та оздоровлення неблагополучних господарств Інститут експериментальної і клінічної ветеринарної медицини, Державний комітет ветеринарної медицини, Центральна державна лабораторія ветеринарної медицини виступили з пропозицією створити науково-виробничу систему (НВС) "Оріон" для забезпечення благополуччя тваринництва України щодо лейкозу великої рогатої худоби [6, 19, 28, 44, 53].
Молоко від серопозитивних тварин, яких утримують ізольовано від серонегативного стада, пастеризують у господарстві при температурі не нижче +80 °С, після чого його можна використовувати для згодовування телятам або здавати на молокозавод. Молоко від корів серонегативного стада можна реалізовувати переробним підприємствам без попередньої пастеризації.
Молоко від серопозитивних тварин, яких утримують ізольовано від серонегативного стада, може піддаватися сепарації в господарстві. При цьому на молокопереробне підприємство вивозять тільки пастеризовані вершки, відвійки кип’ятять і згодовують тваринам.
Молоко від корів з клініко-гематологічними ознаками лейкозу забороняється використовувати з харчовою метою та згодовувати тваринам. Таке молоко знешкоджують додаванням до нього 5% формальдегіду або іншої дезінфекційної речовини.
У неблагополучних щодо лейкозу господарствах телят до 7-денного віку випоюють материнським молозивом (молоком), а надалі – пастеризованим молоком оздоровленого стада або серонегативних корів неблагополучного стада [3, 26, 29, 55].
Господарство, ферму, стадо вважають оздоровленими після вивезення усіх хворих тварин та отримання двох поспіль негативних результатів (з інтервалом 30–45 днів) серологічного дослідження худоби старше 6-ти міс. віку.
В

перший рік після оздоровлення серологічні
дослідження бажано проводити один раз
у квартал, надалі один раз у 6 місяців.
Через два роки після оздоровлення
серологічні дослідження можна проводити
один раз на рік.
РОЗДІЛ 2. МЕТА І ЗАВДАННЯ ДОСЛІДЖЕНЬ
Мета роботи – проаналізувати клініко-морфологічні зміни та поширення лейкозу великої рогатої худоби в СВК «Ружинський» Житомирської області.
Для досягнення мети були поставленні наступні завдання:
Вивчити спеціальну літературу, щодо теми – "Лейкоз великої рогатої худоби".
Вивчити облікові сільськогосподарські дані по лейкозах великої рогатої худоби у СВК «Ружинський».
Проаналізувати клініко-морфологічні зміни у корів, хворих на лейкоз.
Вивчити причини виникнення та поширення хвороби на підприємстві.
Вивчити економічні збитки, які були спричинені хворобою.
Розробити пропозиції з профілактиці щодо лейкозу великої рогатої худоби на підприємстві.
РОЗДІЛ 3. МАТЕРІАЛ ТА МЕТОДИ ДОСЛІДЖЕНЬ
Матеріалом для дослідженням є результати серологічного дослідження крові, клінічного огляду та патоморфологічне дослідження матеріалу великої рогатої худоби, відібраного після забою РІД-позитивних корів.
Серологічні дослідження крові проводили у Житомирській обласній державній лабораторії ветеринарної медицини та в інституті епізоотології УААН м. Рівне. Кров досліджували на лейкоз по РІД та ІФА. Результати одержували продовж 3-4 діб.
РІД-позитивних на лейкоз корів відправляли на забій у Бердичівський м’ясокомбінат, де проводили ветеринарно-санітарний огляд туш. Патолого-анатомічно змінені органи досліджували за схемою:
Зовнішній огляд:
Колір.
Консистенція.
Розмір.
На розрізі:
Колір.
Вологість.
Малюнок.
Після огляду, від першої партії забійних тварин (у 10 голів) був відібраний патологічний матеріал (лімфатичні вузли, селезінка, печінка, серце, легені) для гістологічного дослідження у Житомирській обласній державній лабораторії ветеринарної медицини. Відбирали шматочки уражених органів розміром 2х1,5см, які фіксували у 10%-ному розчині нейтрального формаліну.
У лабораторії патматеріал заключали у парафін. За допомогою санного мікротома одержували серійні зрізи, які у подальшому фарбували гематоксиліном і еозином.
Для цього зрізи поміщали у розчин гематоксиліну на 2 хв. Переносили у воду, відмивали доки вода не перестане забарвлюватися. Для освітлення поміщали у солянокислий спирт на 10–15 с, далі знову промивали у чистій воді. Дофарбовували еозином 0,5–1,5 хв. і знову поміщали у воду. Відбирали залишки води фільтрувальним папером, зневоднювали у батарею висхідної концентрації спиртів, сумішей спирту, ефіру та ксилолу. Пофарбований зріз фіксували за допомогою канадського бальзаму та покривного скельця.
Читку проводили під світловим мікроскопом, а фотографії одержували за допомогою перехідного тубуса з фотоапаратом ФЕД-34.
Під час серологічних досліджень проводили епізоотологічний моніторинг РІД-позитивних корів згідно протиепізоотичного плану, який був затверджений підприємством.
РОЗДІЛ 4. ХАРАКТЕРИСТИКА ПРИРОДНО-ЕКОНОМІЧНОГО СТАНУ ПІДПРИЄМСТВА
СВК (сільськогосподарський виробничий кооператив) «Ружинський» знаходиться в смт. Ружин Житомирської області. Господарство розташоване в зоні лісостепу, на південному сході області. Рослинний світ цього регіону характеризується великою різноманітністю флористичних комплексів і є джерелом цінних рослинно-сировинних ресурсів: лікарських, харчових, технічних, вітамінних тощо. Щодо ґрунтів, то в районі переважають родючі чорноземи і сірі лесові ґрунти, які в цілому придатні для вирощування сільськогосподарських культур. Через смт. Ружин проходить траса Київ–Вінниця. Також протікає річка Роставиця, що потім впадає в р. Рось.
Розташування району у помірному поясі північної півкулі визначає клімат як помірно-континентальний, з теплим і вологим літом та м’якою, хмарною зимою. Зими чергуються як теплі й холодні, з різницею у середній температурі 5–7°С. Літо, як правило, тепле й вологе: в середньому 40–45% річної суми опадів припадає саме на літні місяці. Середня температура повітря найхолоднішого місяця – січня – мінус 3,3°С; найтеплішого – липня – плюс 18,9°С, а середньорічна температура повітря становить плюс 7,5°С.
Такі погодно-кліматичні умови сприяють вирощуванню сільськогосподарських культур. Їх вегетаційний період починається з ІІ декади квітня і продовжується до ІІІ декади жовтня і триває в межах 190 днів. Разом з тим, слід зазначити, що погодні умови іноді можуть негативно впливають на формування врожаю та призводять до загибелі посівів на значних площах.
С
ВК
«Ружинський» спеціалізується на
виробництві зерна, цукрових буряків в
рослинництві, молока та м’яса – в
тваринництві. Сьогодні кооператив має
3863 га землі, з них 3582 га сільськогосподарських
угідь, в тому числі 2973 га ріллі.
Таблиця 4.1. – Структура земельних угідь у СВК «Ружинський».
|
Вид земельних ділянок |
Площа, га |
|
Загальна кількість землі: |
3863 |
|
в т. ч. с.-г. угідь: |
3582 |
|
в т. ч. ріллі |
2973 |
Це господарство високої культури землеробства. Впровадження високоефективних і ресурсозберігаючих технологій в рослинництві дозволили підвищити врожайність всіх сільськогосподарських культур. За останні роки зернових культур збирають 43–45 ц/га, кормового буряка 400–450 ц, цукрового буряка 350 ц. На сортонасіннєвих ділянках пшениці одержано по 45–50 ц, ячменю – по 53–60 ц, жита – 32–40 ц, гороху – 40 ц, гречки – 30–35 ц. Стабільно виробляється з кожного гектара сільськогосподарських угідь по 45–50 ц кормових культур.
З 1963 року функціонує племінна ферма великої рогатої худоби, з 1969 року – племінна ферма свиней великої білої породи, де вирощують і реалізують господарствам району і області 80–120 голів племінного молодняку.
Нині основним напрямком діяльності в тваринництві є молочне скотарство з розвиненим свинарством. Незважаючи на те, що в порівнянні з 1990 роком в господарстві скоротилися сільськогосподарські угіддя на 14 %, чисельність поголів’я в умовних головах зросла на 7 %. Чисельність корів зросла вдвічі і становить 560 голів, свиней – майже в чотири рази і становить 2400 голів (табл.. 4.2). По насиченості поголів’я великої рогатої худоби на 100 га сільськогосподарських угідь СВК займає перше місце в районі, свиней – друге.
Протягом останніх восьми років зберігається стабільна молочна продуктивність. В минулому році надій молока від корови становив 2821кг, в якому вміст жиру в молоці складає 3,74 %. За сім місяців поточного року надій від корови у порівнянні з минулим роком зріс на 133 кг. Це результат копіткої спрямованої роботи по вирощуванню ремонтного молодняку, а також належного роздою корів-первісток.
Т
аблиця
4.2. – Кількісний склад поголів’я
тварин за останні роки у СВК «Ружинський».
|
Вид тварин |
2007 рік, гол. |
2008 рік, гол |
Різниця, гол |
|
Свині: |
2320 |
2400 |
+ 80 |
|
свиноматки |
240 |
249 |
+ 9 |
|
на відгодівлі |
649 |
708 |
+ 59 |
|
поросята |
1431 |
1443 |
+ 12 |
|
ВРХ: |
2015 |
1160 |
– 855 |
|
корови |
967 |
560 |
– 407 |
|
телиці |
242 |
136 |
– 106 |
|
телята |
806 |
464 |
– 342 |
В господарстві щорічно на 100 корів вводиться 25–28 корів-первісток, парується 34–37 телиць, а вихід телят доведено майже до максимального рівня і складає 98 і більше голів телят на 100 корів. Середньодобовий надій молока від корів на 22 вересня 2008 року становить 13л.
Впровадження передових та сучасних методів ведення тваринництва дозволяє щорічно одержувати від основної свиноматки по 19–33 поросяти, мати середньодобові прирости свиней не менше 360–380 грамів. Середня маса одного поросяти при відлучці становить 15–17 кг.
П
ідприємство
має дві дільниці, одна з яких розташована
безпосередньо в Ружині (рис. 4.1), а інша
– в с. Заріччя Ружинського району на
відстані 4 км. В дільниці № 1 утримуються
телята, телиці, нетелі, бички на відгодівлі
і свині. Продукція від цих тварин
використовується не лише в межах району,
а й в межах області. В дільниці № 2
знаходяться дійні корови в кількості
560 голів. Молоко від цих корів реалізується
в м. Києві, де виробляються продукти
дитячого харчування (рис. 4.2).

Р
исунок
4.1 – Дільниця № 1 у СВК «Ружинський»
Рисунок 4.2 – Корівник у дільниці № 2 СВК «Ружинський»
Велика рогата худоба утримується в типових 4-рядних цегляних приміщеннях, на прив’язі. У корівниках підлога дерев’яна, прибирання гною механізоване. Освітлення комбіноване, вентиляція приточно-витяжна задовільна. Водопій з автопоїлок, роздача корму вручну і за допомогою трактора (рис. 4.3).
Р
исунок
4.3 – Утримання дійних корів у дільниці
№ 2 СВК «Ружинський»
Вологість повітря не відповідає встановленим нормам. Причинами в змінах мікроклімату є поганий теплозахист приміщень у холодну пору року, недостатня вентиляція та погана каналізація. Це, в свою чергу, підвищує вологість повітря, вологість стін та стелі, що призводить до посиленої тепловіддачі у тварин та розвитку простудних захворювань.
На фермі при заміні технологічної групи проводиться дезінфекція, дезінсекція і дератизація, але вона не завжди відповідає нормам
Тваринництво в СВК «Ружинський» обслуговують 1 головний і 2 дільничних лікаря ветеринарної медицини, 1 технік штучного осіменіння. Проведення планових, технологічних та вимушених дезінфекцій забезпечується силами служби ветеринарної медицини господарства.
РОЗДІЛ 5. КЛІНІКО-МОРФОЛОГІЧНА ДІАГНОСТИКА ТА РОЗПОВСЮДЖЕННЯ ЛЕЙКОЗУ ВЕЛИКОЇ РОГАТОЇ ХУДОБИ У СВК «РУЖИНСЬКИЙ» РУЖИНСЬКОГО РАЙОНУ ЖИТОМИРСЬКОЇ ОБЛАСТІ
5.1 Клінічне дослідження
У СВК «Ружинський» згідно протиепізоотичного плану 12 січня 2007 року була відібрана кров від великої рогатої худоби у кількості 61 голова і направлена у Житомирську обласну державну лабораторію ветеринарної медицини для дослідження на лейкоз по РІД. Внаслідок досліджень сироваток крові з 61 проби 57 прореагували позитивно по РІД (додаток 1). Щоб підтвердити діагноз на лейкоз, керівництво господарства направило з 23 січня по 5 лютого 2007 року 1877 проб крові (для перевірки всього поголів’я) в Інститут епізоотології УААН м. Рівне, де виявили 580 реагуючих проб по РІД та 651 – по ІФА (додаток 2).
Згідно висновків комісії Ружинської районної державної адміністрації Житомирської області на молочно-товарну ферму Ружинського відділку СВК «Ружинський» були накладені карантинні обмеження по лейкозу великої рогатої худоби. З 2 лютого 2007 року СВК «Ружинський» офіційно вважається неблагополучним щодо лейкозу великої рогатої худоби (додаток 27). Крім цього, були затвердженні заходи по оздоровленню від лейкозу поголів’я великої рогатої худоби у господарстві на 2008 рік (додаток 33).
В подальшому проби крові, з метою виявлення РІД-позитивних тварин на підприємстві, направляли на дослідження в Інститут епізоотології УААН м. Рівне (додатки 2 – 26). Результати досліджень крові наведені у таблиці 5.1.1.
РІД-позитивних корів перевели у корівники дільниці № 1, де вони утримувались до часу здачі на забій на Бердичівський м’ясокомбінат (рис. 5.1.1).
Таблиця 5.1.1 – Серологічне дослідження на лейкоз проб крові великої рогатої худоби в РІД.
|
Дата проведення дослідження |
Загальна кількість дослідних тварин |
Кількість РІД-позитивних тварин, гол |
Кількість РІД-позитивних тварин, % |
|
12.01.2007 |
61 |
57 |
93,4 |
|
23–29.01.2007 |
1877 |
580 |
30,9 |
|
12.03.2007 |
1247 |
113 |
9,1 |
|
19.04.2007 |
1157 |
63 |
5,4 |
|
14.05.2007 |
905 |
20 |
2,2 |
|
04.06.2007 |
620 |
15 |
2,4 |
|
28.06.2007 |
720 |
12 |
1,7 |
|
10.07.2007 |
743 |
4 |
0,5 |
|
01.08.2007 |
556 |
3 |
0,5 |
|
13.09.2007 |
706 |
4 |
0,6 |
|
06.11.2007 |
1217 |
4 |
0,3 |
|
24.12.2007 |
1214 |
0 |
0 |
|
19.06.2008 |
1119 |
0 |
0 |
|
27.11.2008 |
1163 |
0 |
0 |

Рисунок 5.1.1 – Утримання дійних корів у дільниці № 1 СВК «Ружинський»
Серед РІД-позитивних корів у 10-х із них спостерігали неспецифічні клінічні ознаки, які характерні для лейкозу, а саме: пригнічення загального стану, погіршення апетиту, слабкість, зменшення надоїв молока до 8 л за добу (при середньодобовому надої до 13 л на тварину) та тимпанія, яку лікували за допомогою тимпанола. У трьох із них спостерігали не тільки пригнічення загального стану, але і незначне збільшення селезінки та підщелепних (до 6 см в діаметрі), передлопаткових (довжиною до 15 см, діаметром 3 см) та надвим’яних (до 3 см в діаметрі) лімфатичних вузлів. Лімфатичні вузли були не гарячі, рухомі, гладенькі, не болючі, щільної консистенції. Цих тварин впродовж двох тижнів здали на забій, де була проведена ветеринарно-санітарна оцінка продуктів забою (рис. 5.1.2). У подальшому в РІД-позитивних корів клінічних ознак не виявляли.

Рисунок 5.1.2 – Ветеринарно-санітарна експертиза туш ВРХ на Бердичівському м’ясокомбінаті
Динаміка розвитку лейкозу ВРХ серед сприйнятливого поголів’я наведені у діаграмі (рис. 5.1.3), з якої видно, що суворе дотримання діючої інструкції з лейкозу і своєчасне виконання заходів щодо оздоровлення поголів’я керівництво підприємства разом з лікарями ветеринарної медицини змогли у продовж року виявити усіх РІД-позитивних тварин, своєчасно їх ізолювати і тим самим запобігти розповсюдженню хвороби.

Рисунок 5.1.3 – Динаміка розвитку захворювання у господарстві.
Як видно з діаграми, кількість РІД-позитивних корів з січня по грудень 2007 року стрімко зменшилась, а серологічні дослідження крові корів серед сприйнятливого поголів’я у 2008 році взагалі не виявили позитивних на лейкоз тварин. Що було підтверджено не тільки по РІД, але і за постановкою ІФА. Треба відмітити, що остання реакція більш інформативна, ніж РІД (рис. 5.1.2), але з нестачею коштів проводилось лише у період постановки діагнозу та для підтвердження негативних результатів після оздоровлення стада. Станом на 27 листопада 2008 року серед сприйнятливого поголів’я корів тричі не було виявлено РІД-позитивних на лейкоз корів, то згідно рішення державної надзвичайної протиепізоотичної комісії з молочно-товарної ферми СВК «Ружинський» були зняті карантинні обмеження з 5 грудня 2008 року (додатки 28 – 32).
5.2 Патоморфологічні дослідження
Після вимушеного забою на Бердичівському м’ясокомбінаті 10-ти РІД-позитивних тварин з клінічними ознаками лейкозу, при проведені ветеринарно-санітарної експертизи у двох тушах були виявлені патолого-анатомічні зміни у внутрішніх органах, які характерні для лейкозу.
При огляді поверхневих лімфатичних вузлів виявили, що підщелепні, передлопаткові та надвим’яні лімфовузли збільшені в об’ємі, капсула їх напружена. На розрізі пульпа випирає, паренхіма сіро-білого кольору, дряблої консистенції, поверхня розрізу волога, салоподібна.
У серці перикард був сірим, гладеньким, тьмяним, помірно вологим, прозорим. Серце було збільшене за рахунок потовщення всіх його стінок, і не однотонно забарвлене у червоний і плямисто сіро-білий колір, в ділянці передсердь виявили опухо-подібні розрости, саловидні на розрізі. Епікард гладенький, блискучий, прозорий, сірого кольору. На розрізі міокард біло-сірого, червоного та сіро-червоного кольорів, сухий, пронизаний біло-сірими саловидними вогнищами, прожилками, малюнок зітертий, дряблий. Ендокард гладенький, блискучий, сірий, помірно вологий (рис. 5.2.1).
Легені не спавші, з поверхні і на розрізі неоднотоно забарвленні в сірий, сіро-червоний та червоний кольори, вологі, тістоподібної консистенції, малюнок зітертий. При натисканні із судин виділяється незначна кількість темно-червоної крові, а з бронхів – піниста сіро-червона рідина. А у однієї з туш на поверхні легень виявили розрости сірого кольору, саловидні на розрізі (рис. 5.2.2).
Селезінка значно збільшена, капсула сильно напружена, ущільнена, кінці заокруглені. На розрізі пульпа крупнозерниста, рихла, малинового кольору зі збільшеними білими фолікулами, волога (рис. 5.2.3).

Рисунок 5.2.1 – Саловидні розрости лімфоїдної тканини в серці корови

Рисунок 5.2.2 – Лімфоїдні розрости у легенях корови

Рисунок 5.2.3 – Лімфоїдний лейкоз селезінки

Рисунок 5.2.4 – Напруження капсули селезінки при лімфоїдному лейкозі
Печінка збільшена в об’ємі, дрябла, темно-червоного кольору. На розрізі значно зволожена, з судин стікає темно-червона кров, неоднотоно забарвлена у темно-червоний і коричневий кольори, малюнок дещо зітертий (рис. 5.2.5).

Рисунок 5.2.5 – Гостра застійна гіперемія печінки
Нирки збільшені в об’ємі, дряблі, колір не однотонний від коричневого до сірого. Капсула знімається легко. На розрізі кіркова речовина такого ж кольору як із зовні, а мозкова темно-червоного кольору. Межа між кірковою та мозковою зонами слабо виражена. Малюнок згладжений.
Мезентеріальні лімфатичні вузли незначно збільшені, сіро-білого кольору, дряблі. На розрізі сухуваті, колір такий як і з поверхні, малюнок зітертий.
Ще у однієї туші, крім перерахованих вище змін, виявили, що передлопаткові лімфатичні вузли забарвлені у темно-вишневий колір із саловидними розростами на поверхні (рис. 5.2.6).

Рисунок 5.2.6 – Лімфоїдний лейкоз передлопаткового лімфовузла
При огляді серця виявили, що пухлиноподібні утворення локалізовані не лише у передсердях, але і у шлуночках (рис. 5.2.7).

Рисунок 5.2.7 – Саловидні розрости в стінці шлуночка серця корови
У матці також спостерігалися вогнищеві розростання сіро-білого кольору
РІД-позитивні тварини, у яких не проявлялися клінічні ознаки лейкозу, утримувалися в окремих приміщеннях ізольовано від РІД-негативного поголів’я на дільниці № 1. Згідно діючої інструкції таких тварин можна утримувати і експлуатувати не довше двох років. Телят, які народилися від інфікованих вірусом лейкозу матерів, досліджують по РІД, починаючи з 3-місячного віку. Ті, які давали позитивну реакцію, вибраковували на відгодівлю.
При першому забої був відібраний патматеріал (лімфатичні вузли, шматочки селезінки, серця, печінки, легень) та направлений у Житомирську обласну лабораторію ветеринарної медицини для гістологічного дослідження.
При гістологічному дослідженні лімфатичних вузлів відмічали порушення структури органу, вторинні вузлики відсутні, синуси непомітні. По мірі розвитку лейкозного процесу нормальна тканина заміщається лейкозними клітинами різної будови.
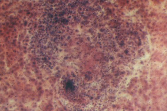
Під час дослідження гістопрепарату із селезінки спостерігали різке збільшення фолікулів, які поступово зливаються з навколишньою лейкозною тканиною. Червона пульпа заповнена лімфоїдними клітинами (рис. 5.2.9).

Рисунок 5.2.9 – Лімфоїдний лейкоз селезінки (40х7, гематоксилін-еозин)
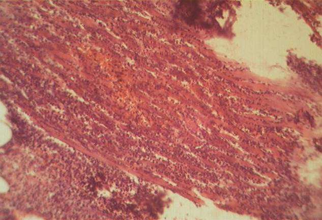
Міокард в значній мірі заміщається лейкозною тканиною, лише деякі м’язові волокна зберігаються серед суцільних скупчень лімфоїдних клітин, що спостерігається при сильному уражені міокарда (рис.5.2.10).
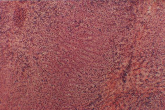
У печінці лімфоїдні клітини інфільтрують міжчасточкову тканину і розміщуються у вигляді тяжів (рис. 5.2.11). При сильному ураженні лімфоїдні клітини об’єднуються у суцільні скупчення, заміюючи функціональну тканину, в цьому випадку – гепатоцити (рис. 5.2.12).

Рисунок 5.2.10 – Лімфоїдний лейкоз міокарда (8х7, гематоксилін-еозин).

Рисунок 5.2.11 – Лімфоїдний лейкоз печінки (8х7, гематоксилін-еозин)
Р
исунок
5.2.12. – Лімфоїдний лейкоз
печінки (40х7, гематоксилін, еозин)
У легенях мікроскопічно спостерігали гостру застійну гіперемію, тканинну рідину в альвеолах (рис. 5.2.13).
Р
исунок
5.2.13 – Гостра застійна
гіперемія та набряк легенів (8х7,
гематоксилін-еозин)
Таким чином, на підприємстві був поставлений діагноз «Лімфоїдний лейкоз великої рогатої худоби». Своєчасне належне проведення протиепізоотичних заходів дозволило швидко оздоровити поголів’я корів від лейкозу. Використання ІФА дозволяє більш ефективно виявляти хворих на лейкоз тварин. Патолого-анатомічні дослідження підтвердили поставлений діагноз.
РОЗДІЛ 6. ВИЗНАЧЕННЯ ВЕТЕРИНАРНИХ ВИТРАТ НА ПРОВЕДЕННЯ ДІАГНОСТИКИ ЩОДО ЛЕЙКОЗУ ВЕЛИКОЇ РОГАТОЇ ХУДОБИ У СВК «РУЖИНСЬКИЙ» РУЖИНСЬКОГО РАЙОНУ ЖИТОМИРСЬКОЇ ОБЛАСТІ
За 2007 рік в СВК “Ружинський” було досліджено серологічно (РІД) 1877 голів великої рогатої худоби. Із них серологічно позитивних виявлено 580 голів великої рогатої худоби. У даній роботі визначені збитки спричинені хворобою господарству за 2007 рік.
Розрахунок збитків від зниження якості продукції:
З>1> = (Ц>з> – Ц>х>)М>п>, де:
Ц>з> – Ц>х> ціни реалізації 1 кг продукції (молока) одержаної відповідно від здорових і хворих на лейкоз корів, грн.;
Мп – кількість реалізованої продукції пониженої якості, кг.
З>1> = (1,40 – 0,70) 1334000 = 933800 грн.
Розрахунок збитків від зниження продуктивності тварин:
З>2>= Мз (Пз – Пх) х Ц х Т, де:
Мз – кількість захворілих тварин, гол.;
Пз – Пх – середньодобова кількість продукції, одержана від здорової та хворої тварини, л;
Ц – закупівельна ціна 1 кг продукції, грн.;
Т – середня тривалість нагляду за зміною продуктивності тварин, днів.
З>2>=580 х (10,9 – 10,1) х 0,70 х 300 = 97440 грн.
Загальну суму збитків обчислювали за формулою:
З = З>1> + З>2>
З = 933800 + 97440 = 1031240 грн.
Питома величина економічного збитку:
Пз= З : Мз, де:
З – загальна сума збитку, грн.;
Мз – кількість захворілих тварин, гол.
Пз= 1031240 : 580 = 1778 грн.
Визначення витрат на ветеринарні заходи:
1200 грн. – місячна заробітна плата лікаря ветеринарної медицини;
49 грн. – добова заробітна плата лікаря ветеринарної медицини; ( 21 днів х 49 = 1020 грн.);
вартість роботи лікаря (1200 : 21 : 7 : 60 = 0,14 грн./хв.);
оплата праці 2 фіксаторів (15 х 2 х 18= 540 грн.);
вартість роботи фіксаторів (540 : 21 : 7 : 60 = 0,06 грн./хв.);
45 грн. – вартість витраченої вати; 25 грн. – вартість витраченого спирту; 9549 грн. – витрати на дезінфекцію;
1,0 грн. – вартість 1 серологічного дослідження (1,0 х 1877 = 1877 грн.);
тривалість часу взяття 1 проби крові – 5 хв.;
витрати на взяття 1 проби крові лікаря вет. медицини (0,14 х 5 х 1887 = 1313,9 грн.);
витрати на взяття 1 проби крові робітників (0,06 х 5 х 1887 = 563,1 грн.);
Загальна сума витрат на ветеринарні заходи:
З = 1155 + 45 + 25 +9549 + 1877 + 540 = 15068 грн.
Питома величина витрат на ветеринарні заходи, грн.:
Пв= Вз : Мз, де:
Вз – загальна сума витрат на ветеринарні заходи, грн.;
Мз – кількість захворілих тварин, гол.;
Пв = 15068 : 580 = 29 грн.
Запобіжний економічний збиток в результаті профілактики та ліквідації хвороби у господарстві визначали за формулою:
Зз = Мо х Кз х Пз – З, де:
Мо – загальне поголів’я сприйнятливих тварин, гол;
Кз – коефіцієнт потенційної захворюваності тварин у неблагополучному господарстві (0,14);
Пз – питома величина економічного збитку, з розрахунку на 1 захворілу тварину, грн.;
З – фактичні економічні збитки заподіяні господарству, грн.
Зз = 1877 х 0,14 х 1778 – 15068 = 452155 грн.
Визначення економічного ефекту:
Еф = Зз – Вз, де:
Зз – запобіжні економічні збитки, внаслідок проведення ветеринарних заходів, грн.;
Вз – витрати на ветеринарні заходи, грн.
Еф = 452155 – 15068 = 437087 грн.
Економічна ефективність на 1 грн. витрат:
Е грн. = Еф : Вз, де:
Еф – економічний ефект, грн.;
Вз – витрати на ветеринарні заходи, грн.
Е грн. = 437087 : 15068 = 29 грн.
Всі економічні розрахунки виносимо у таблицю.
Таблиця 6.1 – Економічні показники ветеринарних витрат на проведення діагностики щодо лейкозу великої рогатої худоби у СВК «Ружинський»
|
Показники |
Кількість грн. |
|
Загальна сума економічних збитків |
1031240 |
|
Питома величина економічних збитків на 1 інфіковану тварину |
1778 |
|
Сума витрат на ветеринарні заходи |
15068 |
|
Питома величина витрат на ветеринарні заходи |
26 |
|
Запобіжні економічні збитки |
452155 |
|
Економічний ефект від проведених заходів |
437087 |
|
Економічний ефект на 1 грн. витрат |
29 |
Отже, впровадження оздоровчих протилейкозних заходів у даному господарстві дає значний економічний ефект, оскільки економічна ефективність витрат на ветеринарні заходи становить 437087 грн.
РОЗДІЛ 7. ОХОРОНА ПРАЦІ
Роботу по охороні праці в сільськогосподарських підприємствах організовують згідно Закону України “Про охорону праці”.
Відповідальність за охорону праці в СВК “Ружинський” Ружинського району Житомирської області накладено на директора господарства, по галузях – на головних спеціалістів, а по виробничим дільницям – на їх завідуючих. Між адміністрацією господарства і профспілковою організацією щорічно складається колективний договір. Як додаток до колективного договору розробляються заходи з охорони праці, безпеки праці і виробничої санітарії.
Колективний договір складається з 3 розділів. Основні заходи в них наступні:
Заходи по попередженню нещасних випадків:
– встановити автоматичний пускач на електропідіймачі в слюсарній майстерні;
– встановити блискавко захист на 2-х тваринницьких приміщеннях
Заходи по попередженню захворюваності на виробництві:
– придбати 30 мед. аптечок для працівників усіх виробничих дільниць;
– обладнати душову на санпропускнику;
– встановити приливно-витяжну вентиляцію на телятнику.
Заходи по загальному покращенню умов праці:
– обладнати на всіх відділеннях куточки з безпеки праці.
Періодично на засіданнях профспілкового комітету заслуховують звіт про виконання заходів цього договору, відповідальними за його виконання.
Навчання працівників по охороні праці проводиться згідно “Типового положення про навчання, інструктаж і перевірку знань працівників з питань охорони праці”.
Посадові особи та спеціалісти усіх підприємств, організацій відповідно до “Перелік посад посадових осіб, які зобов’язані проходити попередню і періодичну перевірку знань з охорони праці” періодично раз на 3 роки та перед початком виконання посадових обов’язків, зобов’язані проходити навчання та перевірку знань нормативних актів з охорони праці, що стосуються їхньої виробничої діяльності. Перевірка знань цієї категорії посадових осіб і спеціалістів проводиться комісією, склад якої затверджується наказом керівника вищої господарської організації. Очолює комісію заступник керівника цього органу, у службові обов’язки якого входить управління охороною праці. До складу комісії входять представники органу державного нагляду за охороною праці, профспілок, та викладачі навчального закладу, де проводилося навчання.
Посадові особи (бригадири, завідуючі, майстри) та спеціалісти (агрономи, зоотехніки) проходять навчання і перевірку знань безпосередньо на підприємстві.
На підприємстві організацію навчання здійснює служба охорони праці та працівники відділу кадрів. Програму навчання розробляє служба охорони праці за погодженням з місцевою інспекцією по нагляду за охороною праці. Наказ про проведення навчання на підприємстві видає керівник підприємства. Обсяг занять не менше 20 годин. Для перевірки знань працівників на підприємстві існує постійно діюча комісія, яку створює керівник підприємства. Очолює комісію керівник підприємства чи його заступник або спеціаліст з охорони праці підприємства. Перевірка знань здійснюється шляхом усного опитування у вигляді іспиту. Перевірка знань оформляється протоколом, видаються посвідчення.
Посадові особи і спеціалісти, які при перевірці знань виявили незадовільні знання, повинні протягом 1 місяця пройти повторне навчання та перевірку знань.
Позачергове навчання та перевірка знань посадових осіб і спеціалістів проводиться:
– при введенні в дію нових нормативних актів про охорону праці
– при переведенні працівника на іншу роботу.
Працівники, які виконують роботи з підвищеною небезпекою та роботи, що вимагають професійного добору повинні проходити попереднє спеціальне навчання, перевірку знань перед початком виконання роботи та періодично не рідше 1 раз на рік.
Формою перевірки знань працівників є іспит, який проводиться за екзаменаційними білетами. Результати перевірок знань оформляються протоколом. Особам, які при перевірці знань виявили задовільні знання, видаються посвідчення.
В господарстві для перевірки знань працівників з питань охорони праці наказом керівника створена постійно діюча комісія. До складу комісії входять спеціалісти служби охорони праці, юридичної, виробничої і технічної служб, представники органів державного нагляду за охороною праці та профспілки.
До переліку робіт з підвищеною небезпекою в сільськогосподарському виробництві належать: електрогазозварювальні роботи, роботи з легкозаймистими та вибухонебезпечними речовинами, роботи із застосуванням ручних електромашин та електроінструментів, обслуговування агрегатів і котлів, роботи з мінеральними добривами та пестицидами, гасіння вапна, роботи в колодязях, в траншеях, в котловинах, земляні роботи на глибині більше 2 м, роботи на висоті, обслуговування парових, водогрійних котлів, роботи з догляду за бугаями-плідниками, кнурами, жеребцями, дезінфекція, дезінсекція, дератизація, технічне обслуговування, експлуатація і ремонт вантажопідіймальних машин і механізмів, ліфтів, монтаж, демонтаж і накачування шин автотранспортних засобів.
Так, вступний інструктаж з охорони праці проводить спеціаліст з охорони праці.
Про проведення інструктажу роблять запис в журнал реєстрації вступного інструктажу з питань охорони праці. Первинний інструктаж на робочому місці проводиться при прийнятті на постійне місце роботи, при переведенні з однієї роботи на іншу, при зміні умов праці. Інструктаж проводиться безпосередньо керівником даної дільниці.
Повторний інструктаж з працівниками тваринництва проводять через кожні 6 місяців, а на роботах з підвищеною небезпекою 1 раз в квартал. В разі нещасного випадку проводиться позаплановий інструктаж з безпеки праці з усіма працівниками даного відділення незалежно від терміну проведення останнього інструктажу. Про проведення первинного, повторного і позапланового інструктажів вноситься запис в “Журнал реєстрації інструктажів з питань охорони праці”, який зберігається безпосередньо у керівника робіт. Цільовий інструктаж проводиться з працівниками перед відправленням їх на роботу з підвищеною безпекою і фіксуються в журналі реєстрації інструктажів з питань охорони праці, також він проводиться при виконанні робітниками одноразових робіт, на які виписується наряд-допуск.
Новоприйняті на підприємства працівники після первинного інструктажу на робочому місці до початку самої роботи повинні під керівництвом досвідчених фахівців пройти стажування протягом 2–15 робочих змін. Стажування проводиться на робочих місцях. У процесі стажування працівники повинні виконувати роботи, які за складністю, характером, вимогами безпеки відповідають роботам, що передбачаються функціональними обов’язками працівника. Допуск до проходження стажування оформляється наказом по підприємству. Тривалість стажування залежить від стажу, характеру роботи та кваліфікації працівника. Від стажування працівник може звільнитися, якщо він має стаж роботи не менше 3 роки або переводиться з одного підрозділу до іншого, де характер його роботи та тип обладнання не змінюється.
Після закінчення стажування наказом керівника підприємства працівник допускається до самостійної роботи. Запис про проведення стажування записує керівник структурного підрозділу в журналі реєстрації інструктажів.
У господарстві велику увагу приділяють виробничій санітарії. На всіх відділеннях є відведені місця для прийняття їжі, між приміщеннями побудовані туалети.
По попередньо складеному графіку, робітники і службовці проходять медогляд, результати якого записують в санітарні книжки, які зберігаються у завідуючих ферм.
Раз в 6 місяців вони проходять медичне обстеження з обов’язковою флюорографією.
Для виконання ветеринарних заходів в тваринництві, головний лікар ветеринарної медицини залучає до роботи різноробочих господарства. Перед початком роботи головний лікар ветеринарної медицини проводить інструктаж з робочими по безпеці праці, проводить запис в журнал, де робочі розписуються за проведений інструктаж.
Якщо робота пов’язана зі щепленнями або дослідженнями, то видається спецодяг, якщо проводиться дезінфекція або дератизація, то видаються чоботи, фартух, рукавиці, респіратор. Для фіксації тварин, якщо необхідно, видаються носові щипці і мотузок або ж тварин утримують в спеціальному станку. Ветеринарним спеціалістам необхідно дотримуватись мір обережності при роботі з біопрепаратами.
У господарстві приділяється певна увага протипожежній безпеці. Створена пожежно-сторожова охорона, яка складається з 7 чоловік. Очолює її начальник ПСО. У розпорядженні ПСО знаходяться пожежний автомобіль і інші допоміжні засоби гасіння пожежі. Кожне приміщення ферми обладнане протипожежними засобами. Біля кожного приміщення є протипожежні щити з відрами, лопатами, сокирами, є ящики з піском і діжки з водою. Влітку воду беруть з природної водойми, куди приходить дорога з твердим покриттям, а взимку воду беруть з артезіанської свердловини. У випадку пожежі існують запасні виходи із приміщень, через додаткові тамбури.
Державний нагляд по охороні праці здійснює інспекція по нагляду за охороною праці, санепідемстанція, органи прокуратури і держадміністрація.
Контроль здійснює служба охорони праці, керівник, спеціаліст господарства, органи профспілки, громадські організації і інспектор з охорони праці.
Роботу виконують у білих халатах, шапочках. Хірургічне втручання викликає біль та захисні рухи у тварини, тому її слід зафіксувати. Фіксація тварин повинна забезпечувати вільний і безпечний доступ до ділянки, яку оперують, обмежувати рухи тварини і забезпечувати сприятливі умови для роботи та запобігати травмуванню тварини і осіб, які беруть участь у проведенні операції.
Методів фіксації тварин є багато і вони залежать від складності та характеру оперативного втручання, виду тварини, маси, віку.
Для заспокоєння тварини застосовують нейролептики, транквілізатори. Найбільш поширеними препаратами є аміназин, рометар і мепазин. Перед фіксацією перевіряють мотузки. Вони повинні бути чистими, сухими, без вузлів. Не можна використовувати порвані, зав’язані та короткі мотузки.
Керує проведенням робіт і несе відповідальність за безпеку виконання робіт спеціаліст ветеринарної медицини, який проводить операцію. Тому з працівниками, що беруть участь у проведенні операції, особа, яка її проводить, повинна провести цільовий інструктаж, під час якого слід ознайомити працівників з призначенням та порядком виконання роботи, способом повалу і фіксації, правилами безпеки під час виконання роботи.
Під час фіксації тварина може пручатися, смикати кінцівками, намагатися встати. Безпека залежить від надійності зв’язування кінцівок, міцності мотузок. Фіксація тварин вимагає фізичних зусиль, що викликає швидку втому м’язів і ослаблення сили. Тому при довготривалих операціях фіксатори повинні мінятися в міру стомлення.
Під час виконання роботи працівники повинні бути уважні, слідкувати за поведінкою тварини.
Для подальшого покращення охорони праці, безпеки праці виробничої санітарії в господарстві необхідно:
Обладнати центр в центральній садибі господарства, який би вміщав в себе нові публікації, що стосуються охорони праці;
Обладнати куточок агітації з охорони праці і безпеки праці;
Прочитати лекцію про дотримання правил особистої гігієни.
На основі проведеного аналізу можна зробити висновок, що стан охорони праці в умовах СВК «Ружинський» знаходиться на належному рівні.
РОЗДІЛ 8. УЗАГАЛЬНЕННЯ ТА ОБГОВОРЕННЯ РЕЗУЛЬТАТІВ РОБОТИ
Лейкоз великої рогатої худоби – інфекційна, хронічна хвороба пухлинної природи, яка характеризується злоякісним розмноженням клітин кровотворних органів з порушенням їх дозрівання, що зумовлює дифузну інфільтрацію різних органів і тканин та утворення в них злоякісних пухлин.
Джерелами інфекції служать тварини заражені вірусом лейкозу великої рогатої худоби на всіх стадіях розвитку лейкозного процесу. Виникнення та розповсюдження хвороби у господарстві може спричинити несвоєчасна діагностика хвороби, недотримання ветеринарно-санітарних правил, недотримання асептики і антисептики при масових обробках тварин (нумерація, взяття крові, вакцинація, алергічні дослідження, лікування тощо).
Основним методом прижиттєвої діагностики лейкозу є РІД та ІФА. Для дослідження особливо цінних тварин та для арбітражних висновків застосовується ПЛР. Так, як на сьогоднішній день найбільш економічно вигідною для більшості господарств країни є РІД, то вона і набула широкого розповсюдження серед них. Хоча більш інформативнішим методом є ІФА, але через брак коштів у господарствах ця реакція залишається на другому плані. Так, в Інституті епізоотології УААН (м. Рівне) з 1877 проб крові, що були направлені з СВК «Ружинський» Ружинського району Житомирської області виявили 580 позитивних проб по РІД та 651 – по ІФА (додаток 2).
В результаті цього молочно-товарну ферму Ружинського відділку СВК «Ружинський» було оголошено неблагополучною по захворюванню на лейкоз великої рогатої худоби та накладено карантинні обмеження.
В подальшому проби крові, з метою виявлення РІД-позитивних тварин на підприємстві, направляли на дослідження в Інститут епізоотології УААН м. Рівне. РІД-позитивних корів перевели у корівники дільниці № 1, де вони утримувались до часу здачі на забій на Бердичівський м’ясокомбінат.
Серед РІД-позитивних корів у 10-х із них спостерігали неспецифічні клінічні ознаки, які характерні для лейкозу (пригнічення загального стану, погіршення апетиту, слабкість, зменшення продуктивності), так і специфічні (збільшення селезінки та лімфатичних вузлів). Гістологічні дослідження патологічного матеріалу підтвердили діагноз «Лімфоїдний лейкоз».
Аналіз динаміки розвитку захворювання показав, що вчасне і належне проведення протиепізоотичних заходів у господарстві, дало можливість виявити серед сприйнятливого поголів’я та ізолювати всіх інфікованих тварин протягом одного року і оздоровити підприємство за 2 роки.
Після здачі на забій усіх хворих тварин та отримання трьох поспіль негативних результатів по РІД (останні результати дослідження по РІД були підтвердженні ІФА) із молочно-товарної ферми СВК «Ружинський» були зняті карантинні обмеження по захворюванню великої рогатої худоби на лейкоз.
Впровадження оздоровчих протилейкозних заходів у даному господарстві дає значний економічний ефект, оскільки економічна ефективність витрат на ветеринарні заходи становить 437087 грн.
РОЗДІЛ 9. ВИСНОВКИ
Лейкоз – інфекційне повільно протікаюче хронічне захворювання, при якому клінічні ознаки проявляються лише у дорослих тварин.
Порівняння результатів серологічного дослідження по РІД та ІФА, які були одночасно проведені при постановці діагнозу, дають змогу стверджувати, що останній метод є більш чутливим.
Клінічне дослідження РІД-позитивних тварин дає змогу виявити специфічні та неспецифічні клінічні ознаки, які характерні для лейкозу.
Внаслідок патолого-анатомічного дослідження були виявлені опухоподібні розрости у внутрішніх органах тварин, хворих на лейкоз.
Своєчасне і належне проведення протиепізоотичних заходів дозволяє за короткий проміжок часу виділити всіх інфікованих ВЛ ВРХ тварин із сприйнятливого поголів’я.
За рахунок проведення оздоровчих протиепізоотичних заходів у господарстві був одержаний значний економічний ефект, оскільки економічна ефективність витрат на ветеринарні заходи становить 437087 грн.
РОЗДІЛ 10. ПРОПОЗИЦІЇ ВИРОБНИЦТВУ
Для проведення своєчасної діагностики інфекційних хвороб, в тому числі і лейкозу, доцільно застосовувати метод ІФА, а за можливості ПЛР.
Сурово дотримуватися правил з технології утримання і розведення тварин з метою попередження потрапляння збудника інфекції в організм сприйнятливих тварин.
Постійно проводити роз’яснювальні роботи серед обслуговуючого персоналу про потрапляння і розповсюдження інфекційних хвороб, а також методи боротьби з ними та профілактики, особливо збудника лейкозу.
Своєчасно проводити протиепізоотичні міроприємства у разі виникнення інфекційних хвороб для попередження розповсюдження захворювання по території підприємства.
СПИСОК ВИКОРИСТАНОЇ ЛІТЕРАТУРИ
Анисимова Н. Н. Изменение белкового и аминокислотного состава крови при лейкозе крупного рогатого скота // Актуальные проблемы интенсивного развития животноводства. – Горки. – 1998. – С. 300 – 303.
Аранчій В. та ін. Ефективність оздоровлення ВРХ від лейкозу // Тваринництво України. – 1998. – № 6. – С. 15 – 16.
Аранчій С., Лісконіг В. Особливості епізоотичного процесу при лейкозі ВРХ в оздоровлених господарствах з використання комплексного методу (відгук на статтю) // Ветеринарна медицина України. – 2007. – № 8. – С. 10 – 12.
Барабанов И. И. Предложения по совершенствованию противолейкозных мероприятий // Вет. консультант. – 2003. – № 7. – С. 9 – 12.
Белов А. Д., Рогожина Л. В., Сноз Г. В. О патогенезе лейкозов крупного рогатого скота // Ветеринария. – 1997. – № 12. – С. 16 – 19.
Божко М. Оздоровлення від лейкозу // Ветеринарна медцина. – 1996. – № 2. – С. 23.
Бральський Л. П. Морфологічна та морфометрична характеристики органів імуногенезу великої рогатої худоби на ранній стадії лімфоїдного лейкозу // Вісник аграрної науки – 1999, № 6. – С. 42 – 46.
Бурба Л. Г., Кунаков А. А. Диагностика лейкозов сельскохозяйственных животных. – М.: 1983. – 190 с.
Глузмян Д. Я., Сидоренко С. П., Надгорная В. А. Цитохимия и иммуноцитология злокачественных лимфопролиферативных заболеваний. – Наукова думка. – 1982.
Горальський Л. П. Морфологічна та морфометрична характеристика органів імуногенезу великої рогатої худоби на ранній стадії лімфоїдного лейкозу // Вісник аграрної науки БДАУ. – 1999. – № 6. – С. 42 – 46.
Горальський Л. П. Патоморфологічна характеристика лейкозу великої рогатої худоби // Ветеринарна медицина України. – 1999. – № 2. – С. 26 – 27.
Горальський Л. П., Бялецький С. А., Мандигра М. С. Морфологічні зміни у лімфоїдних органах і печінці овець після тотального гаммаопромінення та зараження вірусом лейкозу // Ветеринарна медицина: Міжвід. темат. наук. зб. – Харків. – 1997. – В. 71. – С. 24 – 26.
Гулюкин М. И., Васин А. В., Замараева Н. В. Пути передачи вируса лейкоза крупного рогатого скота // Ветеринария. – 1990. – № 1. – С. 27 – 31.
Гусач П. П. Актуальные проблемы современной патфизиологии// Тез. докл. всесоюз. конф. – Киев: Наукова думка. – 1981.
Диагностика лейкоза КРС / Г. Гаврилова, Ю. Макаров, С. Бахметьева // Ветеринария. – 2004. – № 1. – С. 20 – 23.
Диагностика лейкоза крупного рогатого скота : Методические указания. – М.: Агропромиздат. – 1989. – 28 с.
Добросол Г. Проблему лейкозу можна вирішити тільки спільними зусиллями // Ветеринарна медицина України. – 2005. – № 10. – С. 12 – 13.
Домбровский А. Б. Стадийность развития эпизоотического процесса при лейкозе: Автореф. дис. канд. вет. наук: Киев. – 1990. – 23 с.
Досвід боротьби з лейкозною інфекцією / Я. Толопко, Р. Симонов та ін. // Тваринництво України. – 1996. – № 5. – С. 19.
Дубін А. М., Ярчук Б. М. Селекція молочної худоби за резистентністю до лейкозу // Ветеринарна медицина України. – 1999. – № 11. – С. 18 – 19.
Дубін А., Дрипа А. Чи спадкове захворювання на лейкоз // Тваринництво України. – 1995. – № 6. – С. 22.
З лейкозом треба боротися / Б. Бітнер, В. Міщук, Р. Соколов // Ветеринарна медицина України. – 1997. – № 11. – С. 6.
Зелінський М., Ковалюшко В. Проблеми лейкозу та шляхи їх вирішення // Ветеринарна медицина України. – 2000. – № 5. – С. 12 – 13.
К вопросу об иммунофенотипировании с использованием моноклональных антител клеток крови крупного рогатого скота, поражённого лейкозом / О. М. Сандова, В. В. Новиков, А. Ю. Барышников и др. // С. – х. Биохимия. Сер. Биология животных. – 1998. – № 4. – С. 104 – 107.
Каришева А. Ф. Спеціальна епізоотологія: Підручник. – К.: Вища освіта, 2002. – 703 с.
Княгницький Р., Сербенюк І. Із досвіду оздоровлення великої рогатої худоби від лейкозу // Ветеринарна медицина. – 1997. – № 4. – С. 8 – 9.
Ковалюшко В. Шляхи і засоби підвищення ефективності проти лейкозних заходів // Ветеринарна медицина України. – 1998. – № 8. – С. 6 – 7.
Козак В. Щодо вдосконалення заходів боротьби з лейкозом // Ветеринарна медицина України. – 1997. – № 6. – С. 40.
Крушельницькій З., Марків В. Оздоровлення господарств від лейкозу ВРХ із застосуванням вакцини // Ветеринарна медицина України. – 2004. – № 5. – С. 27 – 28.
Кудрявцева Т. П. Лейкоз животных. – М.: Россельхозиздат, 1980. – 156 с.
Кудряшов А. А., Петров Н. И. Патологоанатомические изменения при лимфоидном лейкозе у крупного рогатого скота // Ветеринария. – 1999. – № 10. – С. 14 – 15.
Кузнецова Н. В., Кузнецов Н. В., Симолян Г. А. Использование полимеразной цепной реакции для выявления инфицированных вирусом лейкоза крупного рогатого скота // Ветеринария. – 1997. – № 5. – С. 12 – 15.
Лабораторні методи діагностики лейкозу / М. Павленко, В. Ковалюшко, В. Гротевич // Тваринництво України. – 1994, № 4. – С. 20 – 21.
Лейкоз великої рогатої худоби / О. Б. Домбровський, Л. Є. Корнієнко, Б. М. Ярчук та ін.; За ред. О. Б. Домбровського. – Біла Церква, 2003. – 210 с.
Лейкоз великої рогатої худоби Б. М. Ярчук, О. Б. Домбровський, Р. В. Тирсін, Л. Є. Корнієнко, О. В. Довгаль. – Київ: 2000. – 64 с.
Лейкоз крупного рогатого скота / В. М. Лемеш, А. Г. Дрогун, В. Н. Якубов и др. – Минск: Урожай, 1987. – 224 с.
Лейкоз крупного рогатого скота. Издание второе, дополненное и переработанное. Доронин Н. Н., Бусол В. А., Субаев Г. Х. К., «Урожай», 1976, стр. 200.
Лейкоз сельскохозяйственных животных / В. А. Бусол, Н. Н. Доронин, Н. С. Мандыгра и др. – Киев: Урожай, 1988. – 264 с.
Лейкозогенность крови, молока и выделений больных и серопозитивных животных / В. А. Бусол, Е. А. Андриян, В. И. Цымбал и др.// Эпизоотология, диагностика и меры борьбы при лейкозе крупного рогатого скота: Межвуз. зб. научн. тр. – Персиановка. – 1990. – С. 12 – 15.
Лейкозы и злокачественные опухоли животных/ Л. Г. Бурба, А. Ф. Валихов, В. А. Горбатов и др.; Под ред. В. П. Шишкова, Л. Г. Бурбы. – 2-е изд., перераб. и доп. – М.: Агропромиздат, 1988. – 400 с., [8] л. ил.: ил.
Лемеш В. М., Шустерман Р. Д., Дрогун А. Г. Гиперчувствительность немедленного типа при лейкозе крупного рогатого скота// Тез. докл. всесоюзн. конф.: Распознавание и меры борьбы с лейкозами человека и животных. – М. – 1982. – С. 124.
Малоголовкин С. А. Роль моноклональных антител в диагностике лейкоза крупного рогатого скота // Ветеринария. – 1997. – № 4. – С. 16 – 19.
Мандигра М. С. Генетичні аспекти лейкозу великої рогатої худоби // Ветеринарна медицина України. – 2000. – № 4. – С. 18 – 19.
Мандигра М. С. Науково-виробнича система «Оріон» у боротьбі з лейкозом великої рогатої худоби // Ветеринарна медицина України. – 1998. – № 4. – С. 22 – 23.
Мандигра М. С., Куртяк Б. М., Сімонов Р. П. Лейкоз великої рогатої худоби: розробка та впровадження широкомасштабних протилейкозних заходів у господарствах Львівської області. – Львів – Рівне. – 1998. – 34с.
Москалик Р. С., Агоп Г. К., Николаева А. В. Опыт борьбы с лейкозом в условиях интенсивного ведения молочного скотоводства// Ветеринария. – 1989. – № 8. – С. 39 – 40.
Мурватоллоев С. А., Гулюкин М. И., Иванова Л. А. Пренатальное и постнатальное инфицирование телят вирусом лейкоза крупного рогатого скота // Инфекционные болезни. – 1984. – № 6. – с. 46.
Нахмансон В. М. Лейкоз крупного рогатого скота. – М.: Россельхозиздат, 1986. – 221 с., ил.
Нымм Э. М., Бусол В. А. Лейкоз крупного рогатого скота // Эпизоотология и инфекционные болезни сельскохозяйственных животных. – М. – 1984. – С. 291 – 296.
О распространении лейкоза КРС / М. Гумокин, Г. Симолян, А. Шишкин и др. // Ветеринария с/х животных. – 2006. – № 7. – С. 8 – 9.
Опыт ускоренного оздоровления племенного хозяйства от лейкоза крупного рогатого скота / А. Т. Борзяк, В. С. Квалюшко, В. А. Гротевич и др. // Ветеринария. – 1990. – № 12. – С. 12.
Особливості перебігу інфекційного лейкозного процесу в молодняка ВРХ / М. Мандигра, Б. Куртяк, О. Грицик, Р. Симонов та ін. // Ветеринарна медицина України. – 2002. – № 7. – С. 17.
Павленко М. С., Ковалюшко В. С. Завдання лабораторій ветеринарної медицини України з ліквідації лейкозу великої рогатої худоби на території країни // Ветеринарна медицина України. – 1999. – № 8. – С. 4 – 5.
Патологічна анатомія тварин / П. П. Урбанович, М. К. Потоцький, І. І. Гевкан та ін. – К.: Ветінформ, 2008. – 896 с., іл. 253. – (Навчальний посібник для підготовки фахівців).
Петров Н. И. Оздоровление хозяйств от лейкоза крупного рогатого скота // Ветеринария. – 1997. – № 9. – С. 10 – 12.
Порівняльна ефективність діагностики лейкозу ВРХ при використанні різних методів дослідження / А. В. Абрамов, Д. М. Король, С. Д. Мельничук та ін. // Ветеринарна медицина України. – 2007. – № 2. – С. 33 – 34.
Потоцький М. К. Лейкози ссавців // Вет. медицина України. – 2007. – № 7. – С. 23 – 25.
Потоцький М. Лейкоз: патологічна анатомія // Ветеринарна медицина України. – 1998. – № 7. – С. 23.
Практические аспекты лейкоза крупного рогатого скота / П. Н. Смирнов, В. В. Храмцов, В. В. Смирнова // Веринария. – 1998. – № 8. – С. 6 – 8.
Про деякі шляхи передачі вірусу лейкозу великої рогатої худоби / В. О. Бусол, Є. А. Андріян, В. І. Цимбал // Ветеринария. – К.: Урожай. – 1992. – Вып. 67. – С. 45 – 47.
Радільчук В. Оздоровлення тварин від лейкозу // Здоров’я тварин і ліки. – 2006. – № 6. – С. 18 – 19.
Розумовська В. В. Лейкоз ВРХ: економічні і соціальні аспекти проблеми // Здоров’я тварин і ліки. – 2006. – № 2. – С. 12 – 13.
Русанович А. А. Ликвидация лейкоза КРС в хозяйствах с разной эпизоотической ситуацией // Ветеринария. – 2004. – № 3. – С. 7 – 9.
Свинаренко О. І. Проблема ліквідації лейкозу: Два напрямки оздоровлення господарств від лейкозу ВРХ // Здоров’я тварин і ліки. – 2003. – № 8. – С. 22.
Симолян Г. А. Динамика развития инфекционно-патологического процесса при лейкозе // Веет. консультант. – 2006. – № 9. – С. 4 – 6.
Симолян Г. А. Разработка и совершенствование оздоровительных противолейкозных мероприятий // Ветеринария. – 2007 – № 7. – С. 3 – 6.
Смирнов В. В. Развитие лейкозного процесса у инфицированних ВЛ КРС коров в зависимости от их возраста // Ветеринария. – 1999. – № 12. – С. 15 – 17.
Смирнов Ю. Основные пути распространения лейкоза // Ветеринарная газета. – 1999. – № 4. – С. 3 – 4.
Смирнов Ю. П. Развитие лейкозного процесса в зависимости от среды обитания крупного рогатого скота //Аграрн. Наука. – 1998. – №1. – С. 18 – 19.
Сноз Г. В. Некоторые особенности патологоморфологических изменений в организме крупного рогатого скота при начальной стадии хронического лимфоидного лейкоза// Теорет. и практ. вопр. ветеринарии. – Тарту. – 1987. – С. 68 – 70.
Собко І. О., Абрамова Л. О. Сучасний метод лабораторної діагностики лейкозу ВРХ // Сучасна ветеринарна медицина. – 2005. – № 2. – С. 4.
Состояние и перспективы борьбы с лейкозом крупного рогатого скота / М. И. Гулюкин, Н. В. Замараева, В. Н. Абрамов и др.// Ветеринария. – 1999. – № 12. – С. 3 – 8.
Сучасні аспекти діагностики та заходів боротьби з лейкозом великої рогатої худоби / Б. М. Ярчук, Р. В. Тирсін, О. В. Довгаль // Ветеринарна медицина України. – 2006. – № 9. – С. 21 – 23.
Сюрин В. Н., Белоусова Р. В., Фомина Н. В. Диагностика вирусных болезней животных: справочник. – М.: Агропромаздат. – 1991. – С. 522 – 528.
Таджибаев А. А., Бурба Л. Г. Сравнительные морфологические изменения в органах и тканях у овец и телят при экспериментальном лейкозе // Теорет. и практ. вопр. ветеринарии. – Тарту. – 1987. – С. 70 – 71.
Тирсін Р. В. Особливості перебігу інфекційного процесу при лейкозі великої рогатої худоби під впливом деяких біотичних факторів: 16.00.08 – Автореф. .... дис. канд. вет. наук. – Київ. – 1999. – 17 с.
Хайруллин М. З. Пораженность крупного рогатого скота лейкозом // Ветеринария. – 1998. – № 6. – С. 12 – 13.
Цымбал В. И. Достижения и перспективы развития учения о лейкозах в ИЭКВМ // Ветеринарная медицина: Міжвідомчий тематичний науковий збірник. вип.75. – Харків, 1998. – С. 57 – 64.
Чеботарев В. Ф. Эндокринная регуляция иммуногенеза. – Киев. – 1979.
Чутливість реакції дифузної преципітації (РДП) і реакції імунодифузії (РІД) при виявленні антитіл до вірусу лейкозу великої рогатої худоби / Б. М. Ярчук, Л. М. Корнієнко, М. В. Сімоненко і ін// Тез. доп. конф. Молодих вчених: Сучасні проблеми ветеринарної медицини. – К. – 1994. – С. 13 – 14.