Роль биологического азота в азотном балансе почв
Российский государственный аграрный университет - МСХА имени К.А. Тимирязева
Кафедра Микробиологии
Курсовая работа
На тему: «Роль биологического азота в азотном балансе почв»
Выполнил студент 2 курса
группа 22 (ЗАО):
Проверил:
Москва, 2009г.
Аннотация
В настоящей работе рассматривается процесс биологической азотфиксации, протекающий в условиях почвенной среды. Особое внимание уделяется практическому использованию азотфиксации в сельскохозяйственном производстве, поскольку азот, усвоенный микроорганизмами (биологический азот), существенно может пополнить азотный фонд почвы и способствовать повышению плодородия почв. «Биологический» азот позволяет восполнить дефицит минеральных азотных удобрений и дает возможность экономнее их расходовать. Рассказывается о свободноживущих микроорганизмах и их роли в обогащении почвы азотом. В третьей главе освещается значение клубеньковых бактерий в агротехнике бобовых культур. Широко представлены методы исследования биологической азотфиксации, а также, на мой взгляд правильно изложены принципы управления биологической азотфиксацией. Планетарная биологическая (симбиотическая и несимбиотическая) фиксация углерода и азота – непреходящий и самый мощный фактор плодородия почвы и жизни на земле. Совершенно очевидно, что почти весь азот, содержащийся в населяющих нашу планету живых организмах, имеет своим источником биологическую фиксацию азота атмосферы. В шестой главе указаны пути повышения эффективности биологической азотфиксации, а в самой последней главе широко освещается роль биологического и технического азота в земледелии России и других стран.
Введение
Биологический азот, который фиксируется из атмосферы в результате жизнедеятельности свободноживущих и симбиотических микроорганизмов, является значительным добавочным резервом азотного питания растений. Он представляет собой важную приходную статью азотного баланса мирового земледелия. По подсчетам исследователей, сельскохозяйственными культурами потребляется в год не менее 25 млн. т фиксируемого в биосфере биологического азота. Размеры ежегодной несимбиотической фиксации атмосферного азота в умеренной зоне колеблется в пределах 10-30 кг/га. Еще больше биологического азота накапливается в результате деятельности бобово-ризобиальных симбиотических систем: на каждый гектар посевов бобовых культур поступает 50-300 кг азота. Обогащение почвы азотом после бобовых позволяет в 1,5-2 раза снизить дозу внесения азотных удобрений под последующие культуры.
Велика роль бобовых культур как продуцентов кормового белка. Усвоенный азот атмосферы они переводят в биологически ценные белки, которые богаче аминокислотами, чем белки зерна, а также лучше усваиваются животными. Биологический азот отличается полной безвредностью для окружающей среды, в то время как технический легко вымывается, загрязняет нитратами грунтовые воды и открытые водоемы, может аккумулироваться в растительной продукции в избыточных количествах и вызывать тяжелые заболевания у человека и животных.
Биологический азот азотфиксаторы «поставляют бесплатно», а применение 1т минеральных азотных удобрений с учетом затрат на их приобретение, перевозку, хранение и внесение обходится очень дорого. Биологическая азотфиксация осуществляется за счет энергии Солнца, в то время как получение и применение 1 кг азотных удобрений сопряжено с большими энергозатратами (6-10 тыс.ккал).
Содержание
Аннотация
Введение
1. Биологическая и абиологическая фиксация азота
2. Свободноживущие азотфиксирующие микроорганизмы и их роль в обогащении почвы азотом
а) значение азотобактера в практике сельского хозяйства
б) роль Clostridium в пополнении азотного фонда почвы
в) значение других видов микроорганизмов в пополнении азота в почве
3. Симбиотические азотфиксирующие микроорганизмы: значение клубеньковых бактерий в агротехнике бобовых культур
4. Методы исследования биологической азотфиксации
5. Принципы управления биологической азотфиксацией
6. Пути повышения эффективности биологической азотфиксации
а) агротехнические мероприятия
б) применение бактериальных препаратов в земледелии
7. Роль биологического и технического азота в земледелии России и других стран
Заключение
Библиографический список
1. Биологическая и абиологическая фиксация азота
Основная масса азота на Земле находится в газообразном состоянии и составляет свыше ¾ атмосферы (78,09% по объему, или 75,6% по массе). Практически запас азота нашей планеты неисчерпаем – 3,8*10 т N2. Азот – довольно инертный элемент, поэтому редко встречается в связанном состоянии. Это один из основных биофильных элементов, необходимый компонент главных полимеров живых клеток – структурных белков, белков-ферментов, АТФ, нуклеиновых кислот. Никакой другой элемент так не лимитирует ресурсы питательных веществ в агросистемах, как азот. Он может стать доступным для живых организмов только в связанной форме, т.е. в результате азотфиксации.
Азотфиксация – биологический процесс, и единственными организмами, способными его осуществлять, являются прокариоты (эубактерии и архебактерии). Эти микроорганизмы частью самостоятельно, а частью в симбиозе с высшими растениями превращают молекулярный азот (N2) в органические соединения и интегрируют его (непосредственно или через растение) в белок, который, в конце концов попадает в почву.
Небиологические процессы фиксации азота (грозовые разряды, УФ – лучей, работа электрического оборудования и двигателей внутреннего сгорания) в количественном отношении весьма несущественны, так как все вместе дают не более 0,5% связанного азота. Даже вклад заводов азотных удобрений, производящих синтетический аммиак по методу Габера – Боша, составляет лишь 5%. Следовательно, свыше 90% всей фиксации молекулярного азота атмосферы осуществляется в результате метаболической активности микроорганизмов.
Азот, который поступает в растение и включается в состав белков, нуклеиновых кислот и других компонентов клеток в результате связывания микроорганизмами, носит название «биоло財ический», а сами микроорганизмы, фиксирующие молекулярный азот атмосферы, - азотфиксаторами, или диазотрофами, т.е. использующими как N2, так и связанные формы азота.
2. Свободноживущие азотфиксирующие микроорганизмы и их роль в обогащении почвы азотом
а) Значение азотобактера в практике сельского хозяйства
В 1901г.голландский ученый Мартин Бейерик выделил из огородной почвы чистую культуру аэробного фиксатора азота, названного им Azotobacter chroococcum, который активно связывает атмосферный азот и обогащает им почву. Клетки азотобактера шаровидной, иногда овальной формы, располагаются попарно или по четыре и окружены слизистой капсулой. Для молодых клеток характерны палочковидная форма, жгутики, для старых – форма неподвижных кокков, содержащих различные включения. Азотобактер требователен к субстрату и особенно реагирует на дефицит фосфора. На бедных почвах он не развивается. В связи с этим его используют в качестве индикатора на содержание в почве фосфора и калия. Азотобактер плохо развивается в кислой среде, растет при рН 5,5 – 7,8 и более влаголюбив, чем другие микроорганизмы почвы. Колонии азотобактера напоминают слизь, которая вначале белого цвета, затем буреет и приобретает коричневый оттенок. Азотобактер широко распространен в почвах разных географических широт. В целинных почвах азотобактер встречается редко, и по мере их окультуривания, создания необходимых условий численность его возрастает. Положительное действие азотобактера на растения объясняется тем, что он выделяет в окружающую среду витамины и другие биологически активные вещества: никотиновую и пантотеновую кислоты, гиббереллин, гетероауксин.
Азотобактер в нашей стране начали применять с 1933г. В практике используют почвенный и агаровый препараты. Почвенный, или торфяной, азотобактерин обычно готовят на местах. Почвенный азотобактерин вносят под технические культуры из расчета 3кг/га, а под картофель и рассаду овощных культур – 6-9кг/га. Слегка смоченные семена посыпают азотобактерином и тщательно перемешивают. Сразу после обработки проводят посев. Азотобактерин можно вносить в лунки перед посадкой картофеля или овощей, а также в торфоперегнойные горшочки, что способствует повышению урожайности овощных культур. Агаровый азотобактерин применяют после смыва его с поверхности среды водой. Для этого в бутылку с препаратом наливают немного воды, встряхивают, разводят, а затем обрабатывают клубни картофеля, корнеплоды овощных культур, реже – семена зерновых культур, после чего немедленно высаживают. Все это необходимо делать под навесом, так как солнечные лучи могут убить клетки азотобактера.
б) Роль Clostridium в пополнении азотного фонда почвы
Из бактерий ныне известно уже несколько видов, для которых свободный азот представляет вполне пригодную пищу. Наиболее обстоятельно изучена в этом отношении открытая и исследованная Виноградским бактерия Clostridium Pasteurianum, которая живет в почве и пользуется очень широким распространением. Клетки Cl. pasteurianum крупные, их длина 2,5—7,5 мкм, ширина 0,7 —1,3 мкм. Располагаются они поодиночке, парами или образуют короткие цепочки. Молодые клетки подвижны, имеют перитрихиально расположенные жгутики, плазма их гомогенна. При старении клетки плазма становится гранулированной, в ней накапливается гранулеза (вещество типа крахмала). В центре клетки или ближе к ее концу формируется спора, которая в поперечнике значительно шире, чем вегетативная клетка, и поэтому клетка в этот период приобретает форму веретена. Размер спор 1,3 х 1,6 мкм. На рисунке 2 изображены клетки Cl. pasteurianum со спорами. Азотфиксирующая функция выявлена у многих представителей рода Clostridium: Cl. pasteurianum, Cl. butyricum, Cl. butylicum, Cl. beijerinckia, Cl. pectinovorum, Cl. acetobutyli-cum и других видов. Наиболее энергичный азотонакопитель — Cl. pasteurianum — фиксирует 5—10 мг азота на 1 г потребленного источника углерода.
Наряду с молекулярным азотом бактерии рода Clostridium хорошо усваивают минеральные и органические азотсодержащие соединения. В качестве источника углеродного питания бактерии рода Clostridium используют различные соединения, которые обычно одновременно служат для них и источником энергии. К фосфору, калию и кальцию они значительно менее чувствительны, чем азотобактер. Однако удобрение почв фосфорно-калийными солями, известкование почв или компостов всегда приводит к возрастанию численности. Клостридии относительно устойчивы к кислой и щелочной реакции среды. Область рН, при которой их развитие протекает нормально, довольно широка; минимальное значение рН ниже 4,5, максимальное — выше 8,5. Влияние воздушно-водного режима на развитие бактерий рода Clostridium изучено достаточно полно. Будучи анаэробными, они хорошо переносят высокое насыщение почвы влагой. Однако оптимальная степень увлажнения для них определяется типом почвы и обеспеченностью органическим веществом. Лучше всего клостридий развивается при влажности почвы, равной 60—80% от полной влагоемкости.
Clostridium — анаэробный организм, т.е. может развиваться только в бескислородной среде. Но в почве он живет в симбиозе с двумя другими бактериями, образуя вместе с ними слизистые комки, напоминающие кефирные зерна. Эти спутники сами не способны усваивать свободный азот, но они поглощают кислород и тем защищают клостридий от вредного влияния этого газа. В симбиозе с ними Cl. Pasteurianum может развиваться во всякой почве, какова бы ни была степень ее аэрации, и обогащает ее связанным азотом. Микроб производит при этом брожение сахара и на каждые 1000 частей его усваивает 1,5—3 части азота. Так как почвы относительно богаты углеродистыми соединениями и бедны азотом, то деятельность этого микроба представляется в высокой степени плодотворною.
в) Значение других видов микроорганизмов в пополнении азота в почве
К семейству Azotobakteriaceae относят и азотфиксирующих бактерий рода Azomonas – A.agilis, A.insignis и A. macrocytogens. Первые два вида обитают в водоемах, третий – в почвах. Виды Azonomas близки к азотобактеру, отличаются от него рядом морфологических и физиологических особенностей. Для A.agilis характерны относительно крупные, овальные клетки с перитрихальным жгутикованием, для A.insignis также крупные, но более округлые клетки, с полярными или лофотрихальными жгутиками, для A.makrocytogenes – клетки размером 8 – 10 мкм с одним полярным жгутиком. Образуют колонии с розоватым пигментом, который флуоресцирует в ультрафиолетовых лучах. Предстваители рода Azonomas – аэробы. В отличие от азотобактера они могут расти и фиксировать азот при рН 4,6 – 6,9 и даже 4,3. Источник углерода для этих бактерий – углеводы, спирты, органические кислоты. Достаточно эффективно виды Azonomas связывают азот атмосферы (до 15 – 18 мг N2 на 1г использованного сахара). Распространены в тропических почвах. К этому же семейству относятся и бактерии рода Beijerinckia, близкие по свойствам к азотобактеру. От азотобактера они отличаются значительной кислотоустойчивостью, кальцифобностью и некоторыми другими свойствами. Они могут расти и фиксировать азот даже в среде с рН 3,9. Большинство культур бактерий рода Beijerinckia формируют на безазотистой среде с глюкозой выпуклые, блестящие, нередко складчатые слизистые колонии вязкой консистенции. В отличие от азотобактера эти бактерии не усваивают ароматические соединения и хуже ассимилируют органические кислоты. При развитии на среде с углеводами накапливаются кислые продукты (уксусная и другие органические кислоты). Они менее требовательны по сравнению с азотобактером к концентрации фосфорных соединений в среде. Даже небольшие дозы соединений кальция тормозят рост представителей данного рода. Они значительно менее, чем азотобактер, чувствительны к повышенной концентрации солей железа и алюминия, нуждаются в молибдене, но также довольствуются меньшими его дозами. Эти свободноживущие азотфиксаторы фиксируют 18 – 20 мг азота на 1 г использованного сахара. К свободноживущим фиксаторам молекулярного азота семейства Azotobakteriaceae относятся также виды рода Derxia, выделенные из почв Индии с рН 6,5. Это медленно растущие на безазотистых средах палочковидные бактерии со слизистыми капсулами, обладающие на определенной стадии развития жгутиками. Колонии могут быть пленочными или слизистыми, при старении преобретают желтовато-коричневый цвет. Derxia используют различные источники углерода – моно-, ди-, полисахариды, спирты, органические кислоты, в среде без азота фиксируют 12 – 15 мг N2 на 1 г использованного сахара. Представитель данного рода – Derxia gummosa – развивается в почвах с рН 4,5 – 6,5, однако лучше растет при рН 5,1 – 5,5. Виды данного рода распространены в почвах тропической зоны – Индии, Индонезии, тропической Африки, Южной Америки.
В результате применения новых методов было установлено, что функция фиксации молекулярного азота присуща и многим другим микроорганизмам: фототрофным бактериям, цианобактериям, хемолитоавтотрофным бактериям, метилотрофным, сульфатвосстанавливающим, метаногенам и др. Известно уже более ста видов микроорганизмов, обладающих способностью к фиксации азота атмосферы. Суммарная деятельность свободноживущих бактерий в природных субстратах, в частности в почвах, приводит к накоплению азота. Так, в пахотные почвы зоны умеренного климата за счет свободноживущих азотфиксаторов ежегодно поступает от 26 до 86 кг/га азота в год, в почвы тропической зоны – до 100 и более. Считают, что в среднем в пахотных почвах России свободноживущие азотфиксаторы связывают до 20 кг/га азота в год.
3. Симбиотические азотфиксирующие микроорганизмы: значение клубеньковых бактерий в агротехнике бобовых культур
Симбиотические азотфиксирующие микроорганизмы выделены М.Бейеринком в 1888 г. из корней клубеньков (бородавчатых наростов) бобовых растений. Микроорганизмы назвали клубеньковыми бактериями, и было установлено, что они вызывают образование клубеньков, в которых осуществляется фиксация азота атмосферы. Бактерии в клубеньках питаются органическими соединениями, синтезированными растением, а растение получает из клубеньков связанные соединения азота. Так, между бактериями и растениями устанавливаются симбиотические взаимоотношения. Способность клубеньковых бактерий (Rhizobium) фиксировать атмосферный азот в симбиозе с бобовыми растениями чрезвычайно важна в практике растениеводства и земледелия. Долгое время бобово-ризобиальный симбиоз рассматривали как особенность клубеньковых бактерий проникать в корни бобовых, образовывать клубеньки и улучшать рост бобового растения за счет симбиотической азотфиксации.
Для клубеньковых бактерий характерно поразительное разнообразие форм — полиморфность. На это обращали внимание многие исследователи, изучая клубеньковые бактерии в чистой культуре в лабораторных условиях и почве. Клубеньковые бактерии могут быть палочковидными и овальными. Среди этих бактерий встречаются также фильтрующиеся формы, L-формы, кокковидные неподвижные и подвижные организмы. Молодые клубеньковые бактерии в чистой культуре на питательных средах обычно имеют палочковидную форму, размер палочек примерно 0,5—0,9 X 1,2—3,0 мкм, подвижные, размножаются делением. У палочковидных клеток клубеньковых бактерий клевера наблюдается деление перешнуровыванием. С возрастом палочковидные клетки могут переходить к почкованию. На питательных средах клубеньковые бактерии различных видов бобовых растений растут с разной скоростью. К быстрорастущим относятся клубеньковые бактерии гороха, клевера, люцерны, кормовых бобов, вики, чечевицы, чины, донника, пажитника, фасоли, нута; к медленнорастущим — клубеньковые бактерии люпина, сои, арахиса, сераделлы, маша, вигны, эспарцета, дрока. Вполне сформировавшиеся колонии быстрорастущих культур можно получить на 3-4-е сутки инкубации, колонии медленнорастущих — на 7 - 8-е. Для быстрорастущих клубеньковых бактерий характерно перитрихиальное расположение жгутиков, для медленнорастущих — монотрихиальное. В качестве источника углерода в питательных средах клубеньковые бактерии используют углеводы и органические кислоты, в качестве источника азота — разнообразные минеральные и органические азотсодержащие соединения. При культивировании на средах с высоким содержанием азотсодержащих веществ клубеньковые бактерии могут утратить способность проникать в растение и образовывать клубеньки. Поэтому обычно клубеньковые бактерии выращивают на растительных экстрактах (фасолевом, гороховом отваре) или почвенных вытяжках. Необходимый для развития фосфор клубеньковые бактерии могут получать из минеральных и органических фосфорсодержащих соединений; источником кальция, калия и других минеральных элементов могут служить минеральные соединения. Для развития большинства культур клубеньковых бактерий требуется оптимальная температура в пределах 24—26°. При 0° и 37°С рост приостанавливается. Обычно культуры клубеньковых бактерий в условиях лаборатории хранят при пониженных температурах (2—4 °С). Влажность почвы для образования клубеньковых бактерий должна быть в интервале 40-80% от полной влагоемкости. рН почвы лучше всего 6-7, за пределами рН 3,5-11,5 рост их приостанавливается.
Видовая специфичность клубеньковых бактерий.
Клубеньковые бактерии формируют симбиотические ассоциации с бобовыми растениями семейства Leguminosae, в котором выделяют три подсемейства – Mimosoideae, Papillonoideae и Caesalpinoideae. До 90% видов первого и второго подсемейств и 23% видов третьего способны вступать в симбиоз с клубеньковыми бактериями. Клубеньковые бактерии характеризуются видовой специфичностью (избирательностью) по отношению к растению – хозяину. Определенный вид бактерий обычно образует клубеньки только на одном или нескольких видах бобовых растений. Так, Rhizobium leguminosarum инфицирует горох, вику, кормовые бобы, чину и чечевицу; Rhizobium phaseoli – фасоль; Rhizobium japonicum – сою; Rhizobium lupini – люпин, сараделла; Rhizobium vigna – вигну, мак и арахис; Rhizobium cicer – нута; Rhizobium trifolli – клевер; Rhizobium meliloti – люцерна, донник, пажитник; Rhizobium simplex – эспарцета; Rhizobium lotus – лядвенец. Специфичность клубеньковых бактерий возникла в результате их длительного приспособления к одному растению или к группе их и генетической передачи этого свойства. В связи с этим различная приспособленность клубеньковых бактерий к растениям имеется и в пределах группы перекрестного заражения. Так, клубеньковые бактерии люцерны могут образовать клубеньки у донника. Но тем не менее они более приспособлены к люцерне, а бактерии донника — к доннику. В процессе инфекции корневой системы бобовых растений клубеньковыми бактериями большое значение имеет вирулентность микроорганизмов. Если специфичностью определяется спектр действия бактерий, то вирулентность клубеньковых бактерий характеризует активность их действия в пределах данного спектра. Под вирулентностью подразумевается способность клубеньковых бактерий проникать в ткань корня, размножаться там и вызывать образование клубеньков.
Взаимодействие бактерий с растением – хозяином.
Внедрение клубеньковых бактерий в корень бобового растения-хозяина может осуществляться двумя путями: через верхушку корневого волоска или около его конца. Первый признак инфицирования растения – своеобразное изменение формы корневых волосков, которые изгибаются в виде ручки зонтика. Степень искривления волоска зависит от вида бобового растения, активности заражающего штамма, а также места проникновения бактерий. Следует также отметить, что в отдельных случаях инфицированию подвергаются неискривленные корневые волоски. Наблюдения показывают, что у люцерны и гороха искривляются и закручиваются 60—70% корневых волосков, а у клевера — около 50%. У некоторых видов клевера эта реакция отмечается не более чем у 1/4 части заражаемых волосков. В реакции искривления, очевидно, имеет большое значение состояние корневого волоска. Растущие корневые волоски наиболее чувствительны к действию веществ, вырабатываемых бактериями. Проникнув в корень клубеньковые бактерии далее перемещаются в ткани корня растения. Наиболее легко бактерии проходят через межклеточные пространства. Внедриться в ткань корня может или одиночная клетка, или группа клеток бактерий. Если внедрилась отдельная клетка, она и в дальнейшем может перемещаться по ткани как одиночка. Путь инфицирования корня одиночными клетками свойствен растениям люпина. Однако в большинстве случаев внедрившаяся клетка, активно размножаясь, образует так называемые инфекционные нити и уже в виде таких нитей перемещается в ткани растения. Последняя представляет собой гифообразную слизистую массу, в которую погружены размножающиеся клетки клубеньковых бактерий. Нить передвигается к основанию волоска и клеткам эпидермиса. После внедрения в растительные клетки инфекционная нить покрывается целлюлозной оболочкой, которая формируется из целлюлозной оболочки клетки, вероятно, для изоляции клубеньковых бактерий. Клубеньковые бактерии могут размножаться только в тетраплоидных клетках коры и частично эпидермиса корня. Когда на пути инфекционной нити встречаются тетраплоидные клетки, часть бактерий переходит из нити в цитоплазму и начинает там размножаться.

Рис.4 Схема возникновения инфекционных нитей. В неискривленном корневом волоске видны две инфекционные нити, в искривленном — одна разветвляющаяся (по Ф. Бибердорфу).
Усиленное размножение инфицированных клеток и находящихся под их стимулирующим влиянием (при участии ростового вещества) соседних незараженных клеток приводит к формированию ткани клубенька. Обычно инфекция распространяется через тетраплоидные клетки, а кора и проводящие сосуды клубенька образуются из диплоидных клеток. Процент инфицированных корневых волосков в общем количестве деформированных необъяснимо низок. Он обычно колеблется от 0,6 до 3,2, изредка достигая 8,0. Доля удачных инфекций еще ниже, поскольку среди инфекционных нитей имеется много (до 80%) так называемых абортивных нитей, прекративших свое развитие. Скорость продвижения нормально развивающихся инфекционных нитей в растении — 5—8 мкм в час. При такой скорости путь через корневой волосок длиной 100—200 мкм инфекционная нить может пройти в течение одних суток.
Бактероиды.
Клетки клубеньковых бактерий, перешедшие в цитоплазму растительных клеток, растут, делятся, а затем трансформируются в своеобразные образования – бактероиды. Этим заканчивается процесс инфицирования – приблизительно через три-четыре недели после заражения. Бактероиды в 3 – 5 раз больше по размерам, чем обычные клетки, причем их форма меняется в зависимости от вида бобового растения от шаровидной и грушевидной до вильчатой и ветвистой. Бактероиды не делятся, они составляют до 50% массы клубенька. Бактероиды клубеньковых бактерий представляют особый интерес в связи с тем, что они являются чуть ли не единственными обитателями клубеньков бобовых растений в период интенсивного связывания ими атмосферного азота. Отдельные исследователи считают бактероиды патологическими дегенеративными формами и не связывают процесс азотфиксации с бактероидной формой клубеньковых бактерий. Большинство исследователей находят, что бактероиды являются самыми жизнеспособными и активными формами клубеньковых бактерий и что фиксация азота атмосферы бобовыми растениями осуществляется только при их участии.
Клубеньковые бактерии в клетках растения располагаются в вакуолях, окруженных перибактероидной мембраной – производным плазмалеммы растительной клетки. Бактероиды содержат больше поли-β-гидроксимасляной кислоты, гликогена и полифосфатов, чем обычные клетки клубеньковых бактерий, но меньше ДНК. Фактически бактероиды становятся своего рода азотфиксирующими органеллами клеток бобового растения-хозяина. Поэтому их называют азотосомами. В зависимости от вида бобовых культур связь клубенька осуществляется посредством одного или нескольких сосудистых пучков. Например, у гороха в основании клубенька имеется два дифференцированных сосудистых узла. Каждый из них обычно дважды дихотомически разветвляется, и в результате сквозь клубенек от места второго дихотомического разветвления проходит 8 пучков. Многие растения имеют лишь один пучок, в то же время у одного клубенька Sesbania grandiflora в возрасте одного года их удалось насчитать до 126. Довольно часто сосудистая система клубенька отделяется с внешней стороны от его коры слоем частично или полностью опробковевших клеток, получивших название клубеньковой эндодермы, соединенных с эндодермой корня. Клубеньковая эндодерма представляет собой внешний слой неинфицированной коровой паренхимы, расположенной между клубеньковой тканью и корневой корой. Все стадии развития клубеньковых бактерий, по данным чешского микробиолога В. Каша (1928), можно проследить на срезах клубеньков. Так, в верхней части клубенька, например, люцерны содержатся в основном мелкие делящиеся палочковидные клетки, в небольшом количестве молодые бактероиды, число которых возрастает постепенно по мере развития клубенька. В средней, окрашенной в розовый цвет части клубенька обнаруживаются преимущественно бактероидные клетки и реже мелкие палочковидные. В основании клубенька на ранних стадиях вегетации растения-хозяина бактероиды такие же, как и в средней его части, а к концу вегетации более раздутые и раньше дегенерирующие. Сроки появления первых видимых клубеньков на корнях различных видов бобовых растений различны (М. В. Федоров, 1952). Появление их у большинства бобовых культур чаще всего происходит во время развития первых настоящих листьев. Так, образование первых клубеньков люцерны посевной наблюдается между 4-м и 5-м днями после прорастания, а на 7 — 8-й день этот процесс происходит у всех растений. Клубеньки у люцерны серповидной появляются через 10 дней. В период функционирования клубеньки обычно плотные. Клубеньки, образованные активными культурами бактерий, в молодом возрасте имеют беловатую окраску. К моменту проявления оптимальной активности они становятся розовыми. Клубеньки, возникшие при инфекции неактивными культурами бактерий, зеленоватого тона. Нередко их структура практически не отличается от структуры клубеньков, образованных при участии активных штаммов клубеньковых бактерий, но они преждевременно разрушаются. Розовая окраска определяется наличием в клубеньках пигмента, по химическому составу близкого гемоглобину крови. В связи с этим пигмент называется леггемоглобином. Леггемоглобин содержится лишь в тех клетках клубеньков, в которых имеются бактероиды. Он локализован в пространстве между бактероидами и окружающей их мембраной. Количество его колеблется от 1 до 3 мг на 1 г клубенька, в зависимости от вида бобового растения. У однолетних бобовых растений к концу вегетационного периода, когда заканчивается процесс азотфиксации, красный пигмент переходит в зеленый. Изменение цвета начинается у основания клубенька, позднее зеленеет его вершина. У многолетних бобовых растений позеленения клубеньков не происходит или оно наблюдается только у основания клубенька. У разных видов бобовых растений переход красного пигмента в зеленый происходит с разной степенью интенсивности и разной скоростью. Клубеньки однолетних растений функционируют сравнительно недолго. У большинства бобовых культур некроз клубенька начинается в период цветения растения-хозяина и протекает обычно в направлении от центра к периферии клубенька. Один из первых признаков разрушения — образование слоя клеток с мощными стенками у основания клубенька. Этот слой клеток, расположенный перпендикулярно к главному сосуду корня, разъединяет его с клубеньком и задерживает обмен питательными веществами между растением-хозяином и тканями клубенька. В клетках дегенерирующей ткани клубенька появляются многочисленные вакуоли, ядра теряют способность окрашиваться, часть клеток клубеньковых бактерий лизируется, часть мигрирует в окружающую среду в виде мелких кокковидных клеток-артроспор. Процесс формирования артроспор в ткани лизирующегося клубенька показан на рисунке 6. Прекращают функционировать в этот период и инфекционные нити. Клетки хозяина утрачивают тургор и сжимаются теми соседними клетками, которым он еще свойствен.

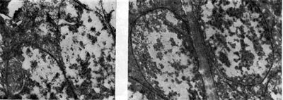
Рис. 6 Начальный период формирования артроспор в бактероидах клевера. Увел. X 30 000.
Старые клубеньки темные, дряблые, мягкие. При надрезе из них выступает водянистая слизь. Процессу разрушения клубенька, начинающегося с опробковения клеток сосудистой системы, способствуют понижение фотосинтетической активности растения, сухость или чрезмерная влажность среды. В разрушенном, ослизненном клубеньке обнаруживаются часто простейшие, грибы, бациллы и мелкие палочковидные клубеньковые бактерии. Клубеньки многолетних растений, в отличие от клубеньков однолетних, могут функционировать в течение многих лет. Так, например, карагана имеет многолетние клубеньки, в которых процесс старения клеток идет одновременно с образованием новых. У вистерии (глицинии китайской) также функционируют многолетние клубеньки, образуя на корнях хозяина шаровидные вздутия. К концу вегетационного периода бактероидная ткань многолетних клубеньков деградирует, но весь клубенек не отмирает. На следующий год он вновь начинает функционировать.
Количество клубеньков на корнях бобовых растений всегда более или менее ограниченно. Клубеньки содержат больше азота, чем остальные части растения. Это служит доказательством того, что именно в клубеньках протекает процесс усвоения азота. Причем фиксация азота атмосферы осуществляется только в бактероидах, и около 90% связанного азота переходит из них в виде ионов аммония в цитоплазму корня бобового растения. Передача связанного азота из тканей клубенька в наземную часть растения присходит в период, когда бактероиды жизнеспособны. Определенное количество усвоенного растениями азота выделяется корнями в почву с продуктами корневых выделений, например с аминокислотами (аспарагиновой кислотой).
Условия формирования азотфиксирующей ассоциации.
Эффективность азотфиксации симбиотической ассоциации бобовое растение – клубеньковые бактерии определяется наличием у клубеньковых бактерий целого комплекса симбиотических признаков:
вирулентности – способности клубеньковых бактерий входить в контакт с корневой системой бобовых растений, проникать в ткани корня, размножаться в них и индуцировать образование клубеньков;
азотфиксирующей активности – способности связывать молекулярный азот атмосферы при помощи специальной ферментативной системы и превращать его в ионы аммония;
конкурентоспособности – способности внесенного в почву определенного штамма клубеньковых бактерий образовывать клубеньки в присутствии других штаммов того же вида;
специфичности – способности вступать в эффективный симбиоз со строго определенным набором сортов и видов бобовых растений.
Формирование симбиоза бобовых растений с клубеньковыми бактериями обеспечивается согласованным взаимодействием геномов растений и бактерий. Процесс возникновения и функционирования симбиотического сообщества сопровождается изменением экспрессии некоторых растительных и бактериальных генов. Ряд растительных генов, необходимых для возникновения симбиоза и осуществления азотфиксации, определены в генетических экспериментах. Обычно почвы содержат в достаточно большом количестве клубеньковые бактерии тех видов бобовых растений, которых много в составе дикой флоры данной местности или которые длительное время там культивируются. Если в данной местности не произрастает определенный вид бобовых или родственные ему по инокуляционной способности виды, то и свойственные им клубеньковые бактерии в почвах отсутствуют. Поэтому для обеспечения эффективного симбиоза семена бобовых перед посевом заражают высокоактивными штаммами клубеньковых бактерий, специфичных для данного растения.
Огромный опыт, накопившийся к настоящему времени, свидетельствует о большой роли бобовых растений в плодородии почв. Прянишников указывает, что после введения в Европе севооборотов с посевом клевера средняя урожайность зерновых повысилась с 7 до 17 т на 1 га. В Московской сельскохозяйственной академии им. К. А. Тимирязева урожаи ржи в шестипольном севообороте с клевером однолетнего пользования на протяжении 50 лет без внесения минеральных удобрений сохраняются на уровне 14 т на 1 га, а без клевера урожай достигает лишь 7 т. На более плодородных почвах при хорошей агротехнической обработке бобовые растения повышают урожайность еще больше.
4. Методы исследования биологической азотфиксации
1. Метод расчета по коэффициентам
Коэффициент азотфиксации (Кф) Хопкинса-Питерса получил широкое распространение, им часто пользуются для определения величины связывания атмосферного азота бобовыми. Умножив общее содержание азота в растениях на Кф, получают возможный размер азотфиксации. Однако к использованию этого коэффициента надо подходить с большой осторожностью, имея в виду, что он был получен при низких урожаях. В реальных условиях, как справедливо отметил А.В.Соколов (1957), использование азота воздуха может составлять как больше, так и меньше двух третей общего азота бобовых. При известковании кислых почв, внесении фосфора и калия бобовые способны взять из воздуха более 2/3 усвоенного ими азота. Иные результаты могут быть при несоблюдении этих условий, слабом заражении клубеньковыми бактериями или без учета других факторов. Поэтому негативно следует рассматривать расчеты некоторых авторов, сделанные по результатам длительных (севооборотных) опытов, когда количество фиксированного из атмосферы азота однолетними и многолетними бобовыми определяется по коэффициенту 0,65 для любой системы удобрения и без удобрений. Обогащение же почвы атмосферным азотом No вычисляется по коэффициенту 0,35 по формуле:
No = Nk – (1/3 NB + 1/3 Nk),
где Nk – количество общего азота в пожнивных и корневых остатках, NB – вынос азота надземной частью урожая.
2. Метод инокуляции
Величина азотфиксации Nф этим методом определяется по формуле:
Nф = NИ – NН,
где NИ – общий азот инокулированного растения (г/сосуд, кг/га), NН – общий азот неинокулированного (безклубенькового) растения (г/сосуд, кг/га).
3. Метод баланса
Сущность метода сводится к определению разницы между общим содержанием азота в растениях (Np), включая корни, и количеством его, взятым из почвы (NП), удобрения (Nу) и семян Nc:
Nф = Np – (NП + Nу + Nc),
где Nф – азот, фиксированный из атмосферы. Количество почвенного азота, использованного растениями, включая азот удобрения, определяется по общей убыли азота в почве за период вегетации бобовых. Допускается, что азот семян используется практически полностью.
4. Метод парующих площадок
В основе метода лежит допущение, что бобовые берут из почвы столько азота, сколько его образуется в виде нитратов на парующих площадках, выделенных в посевах этих культур (или в сосудах с почвой без растений), с учетом поправки на содержание нитратов на площадках, занятых растениями. Учтенное количество азота нитратов в почве вычитается из общего содержания азота в растениях. Полученная разность и характеризует величину азотфиксации.
5. Метод сравнения с небобовыми растениями
Принцип метода базируется на предположении, что при идентичных условиях выращивания определенных видов бобовых и злаковых культур количество взятого ими азота почвы примерно одинаково (Ратнер, Акимочкина, 1964; Михновский и др., 1967; Глазова, 1975). Отсюда величина азотфиксации Nф легко определяется по разности:
Nф = (Nб – Nc) – (Nз – Nc),
где Nб – общий азот бобового растения, Nз – общий азот злакового растения, Nc – азот семян.
6. Ацетиленовый метод
Принцип метода основан на способности клубеньковых бактерий восстанавливать не только молекулярный азот, но и ряд других соединений, в частности ацетилен (С2 Н2) до этилена (С2 Н4). При этом установлено, что количество образовавшегося этилена за еденицу времени находится в соотношении с количеством фиксированного азота, равным 3:1.
N2 + 6H + 6е 2NН3; C2H3 + 2H + 2е 2С2Н4.
Определив количество этилена на газовом хроматографе, и используя указанное соотношение, находят количество фиксированного азота.
7. Метод с использованием меченого азота
Симбиотически фиксированный азот бобовых (Nф) определяется как разница между общим содержанием азота в бобовом растении (Nб) и суммой количества азота, поступившего в растение из удобрений (Nу), почвы (NП) и семян:
Nф = Nб – (Nу + NП + Nc).
Для определения показателя NП предлагается использовать зависимость между количеством почвенного азота, поступившего в растения (NП), запасом усвояемого азота почвы (АN) и коэффициентом использования растениями минерального азота удобрения (К). Эта зависимость выражается формулой
NП = АN * К/100.
Показатель АN устанавливается по методу изотопного разведения с помощью злаковой культуры, показатель К для бобовой культуры – изотопным методом. Допускается, что К одинаков как для азота удобрения, так и для азота почвы.
Обзор существующих методов определения размеров азотфиксации показывает, что все они страдают теми или иными существенными недостатками, затрудняющими в полевых условиях установить истинные величины вовлечения атмосферного азота в земледелиечерез культуру бобовых. Из четырех спряженных показателей азот в растениях – N общий, N удобрений, N почвы и N атмосферы – мы можем точно определить первые два. Главная трудность – в определении азота почвы. Наиболее доступным в полевых условиях является метод сравнения бобовых и злаковых культур по содержанию азота.
5. Принципы управления биологической азотфиксацией
На мой взгляд, для управления биологической азотфиксацией и повышения продуктивности растений, можно предложить:
Биологическая фиксация азота атмосферы посредством ферментного комплекса (нитрогеназы) симбиотических и различных сообществ несимбиотических азотфиксаторов играет ведущую роль в образовании азотного фонда и органического вещества почвы, создавая тем самым биологическую основу ее плодородия.
Из всех видов биологической фиксации азота атмосферы наибольшее значение для плодородия и экологии почв, рационального использования минеральных и органических удобрений на планируемую урожайность принадлежит симбиотической N2-фиксации, осуществляемой бобовыми, особенно многолетними травами, способными синтезировать в почве 10-20 т/га органического вещества и 150-200 кг/га и больше легкодоступного азота.
Под влиянием культуры бобовых, сопутствующих несимбиотических гетеротрофных, диазотрофных и других микроорганизмов мобилизуются малодоступные соединения биогенных элементов почвы, повышается подвижность остаточных РК-удобрений. Поэтому увеличенные дозы минеральных NРК-удобрений (по 120 кг/га и более), вносимые под зерновые после средних и хороших урожаев бобовых предшественников следует рассматривать как необоснованные и экологически опасные. Стремление к рекордным урожаям зерновых за счет повышенных и высоких доз минеральных и органических удобрений следует рассматривать как попытку с негодными средствами.
Представление о значении бобовых, особенно многолетних трав для плодородия почвы на основе учета пожнивных и корневых остатков в слое почвы 0-20-40 см не отражает реальный вклад бобовых в плодородие почвы и урожайность растений, следующих после бобовых предшественников. Необходимо введение поправочных коэффициентов на полноту учета всей органической массы бобовых, поступающей в почву. Для многолетних трав, согласно исследованиям, установлен коэффициент 2, для зернобобовых – 1,4; однолетних бобово-злаковых трав – 1,3. Они предложены в качестве ориентировочных и введены в формулу расчета поступления в почву органического вещества и симбиотического азота указанных бобовых культур. Поправочные коэффициенты следует корректировать для определенных почвенно-климатических и агрохимических условий возделывания бобовых культур с учетом получаемых прибавок урожайности культур растущих после бобовых.
6. Пути повышения эффективности биологической азотфиксации
При возделывании сельскохозяйственных культур большое влияние на активность несимбиотической фиксации азота оказывают агрономические мероприятия, направленные на повышение урожайности растений, - использование удобрений, гербицидов, мелиорантов. Благоприятные условия культивирования растений, создающиеся вследствие применения этих мероприятий, положительно сказываются на росте и развитии растительного организма, что обуславливает усиление экзоосмоса корневых выделений, которые служат источником энергии и питания для азотфиксаторов. В результате в почве, как правило, увеличивается их общее количество, повышается интенсивность биологической азотфиксации. Так, в ряде научно-исследовательских учреждений установлено, что под влиянием внесения минеральных удобрений усиливается размножение несимбиотических азотонакопителей, а также наблюдается повышение их азотфиксирующей активности.
а) Агротехнические мероприятия
Для повышения продуктивности несимбиотической азотфиксации важным является внесение органических удобрений, в частности соломы. Запахивание 1т соломы может обеспечить дополнительное поступление в почву 4-5 кг азота. Обогащение почвы азотом при выращивании бобовых культур позволяет в 1,5-2 раза снизить дозу внесения азотных удобрений под последующие культуры. Бобовые предшественники даже без применения азотных удобрений обеспечивают получение среднего урожая озимой пшеницы 30 ц/га.
б) Применение бактериальных препаратов в земледелии
Важным приемом, способствующим повышению урожая бобовых культур, а также увеличению размеров симбиотической азотфиксации, является предпосевная обработка семян клубеньковыми бактериями – нитрагинизация. Под влиянием нитрагинизаци продуктивность бобовых культур повышается на 5-20%, в зерне и вегетативной массе возрастает содержание протеина, увеличивается его выход с единицы площади. Разработано большое количество различных форм препаратов – агаровая, жидкая, почвенная, сухая, торфяная, гранулированная. Доминирующей формой является торфяная, получившая коммерческое название «ризоторфин» на нестерильном и гамма-стерилизованном торфе.
Под влиянием нитрагинизации продуктивность бобовых культур повышается на 5-20%, в зерне и вегетативной массе возрастает содержание протеина, увеличивается его выход с единицы площади. Эффективность нитрагинизации бобовых во многом зависит от подбора штаммов клубеньковых бактерий, используемых для приготовления нитрагина. Штаммы должны обладать достаточной продуктивностью азотфиксации, вирулентностью и конкурентоспособностью. Перспективным направлением в селекционной работе является также выделение штаммов, которые сохраняют высокую активность нитрогеназы при повышенном содержании в почве минерального азота, образуют клубеньки на корнях бобовых растений в самые ранние фазы их развития, экономно расходуют энергетический материал, поставляемый растением-хозяином, и устойчивы к пестицидам, применяемым на посевах бобовых культур.
7. Роль биологического и технического азота в земледелии России и других стран
В настоящее время имеющийся дефицит азота в большинстве почв страны покрывается внесением минеральных азотных удобрений, органических удобрений и биологической фиксацией молекулярного азота микроорганизмами, находящимися как в симбиозе с высшими растениями, так и свободно живущими в почве. «Биологический азот», поставляемый микроорганизмами, повышает продуктивность почв. Несмотря на значительное расширение объема применения азотных удобрений, перспективы широкого использования биологического азота в сельском хозяйстве велики. Широкое использование биологического азота в земледелии обеспечивает снижение энергозатрат, экономию материальных ресурсов, уменьшает загрязнение окружающей среды продуктами деградации азотных удобрений. Кроме того, возделывание бобовых (и в первую очередь многолетних трав) способствует оптимизации микробиологической обстановки в почве, улучшению целого ряда ее физико-химических свойств, в результате чего существенно повышается почвенное плодородие.
Однако, использование «технического азота» - азота минеральных удобрений – является одним из наиболее эффективных путей покрытия азотного дефицита почв. В связи с этим темпы развития мирового производства минеральных удобрений, и особенно азотных, непрерывно растут. За последние 50 лет производство азотных удобрений на земном шаре увеличились в 29 раз. Уровень применения минеральных удобрений в различных странах неодинаков. Естественно, что урожайность сельскохозяйственных культур в отдельных странах стоит в определенной зависимости от количества минеральных удобрений. Так, в среднем на 1га обрабатываемых земель ежегодно используется следующее количество минерального азота (в кг): в Японии – 112, в Голландии – 128, в Германии – 54, в Великобритании – 39,3, в США – 14,6. Средняя доза азотных удобрений в России на 1га пахотной площади приближается к 11 кг (в расчете на азот). Следует отметить, что минеральные удобрения, и особенно азотные, вносятся обычно не равномерно на всю используемую в сельском хозяйстве площадь. Так, в России технические культуры (хлопчатник, чай, сахарная свекла, цитрусовые и т.д.) практически полностью удовлетворяются необходимыми им основными элементами (N, P, K) питание в форме минеральных удобрений. Зерновые же культуры получают их не везде и не в полной мере. Например, в 1965 г. по РСФСР только 15% зерновых посевов получили в той или иной форме минеральные удобрения. Приведенные дозы азотных удобрений интересно сопоставить с валовым выносом азота урожаем. В среднем можно считать, что с урожаем зерна в 10 ц/га уносится с поля (с зерном и соломой) около 30 кг азота. Коэффициент использования азотных удобрений в лучшем случае равен примерно 75%. Таким образом, для обеспечения каждых 10 ц зерна на 1 га следует давать около 37,5 кг азота в виде удобрений. Для получения урожая в 30 ц/га нужно на 1 га пашни иметь около 112 кг азота. Неполнота использования минеральных азотных удобрений растениями зависит от ряда причин. Эти причины для разных форм азота различны. Аммонийный азот из удобрений частично фиксируется необменноглинистыми минералами почвы. Запас прочно связанного аммонийного азота в почве довольно велик. Его содержание в пахотном слое различных почв колеблется от 134 до 344 кг/га. В наибольшей степени аммоний фиксируется илистой фракцией почвы. Доступность связанного аммонийного азота растениям крайне низка. Она примерно а пять раз ниже усвояемости обменно-поглощенных почвами ионов аммония. Нитратный азот даже при оптимальном воздушно-водном режиме почв частично теряется в результате процесса денитрификации. Это не удивительно, так как в почве, особенно на поверхности корней и в зоне корневой системы растений, содержится много денитрифицирующих бактерий из рода Pseudonomas. Количество теряемого азота, вследствие процесса денитрификации, зависит от доз вносимого нитратного азота, типа почвы и других условий. В некоторых случаях эти потери достигают 10-35% внесенного азота. Частично потери азотных минеральных соединений обусловливаются вымыванием из пахотного слоя почвы. Особенно это присуще увлажненным районам с почвами легкого механического состава.
По примерным подсчетам Коляра и Гринланда, сельскохозяйственная продукция на Земле выносит ежегодно около 100-110 млн.т азота. Химическая промышленность мира вырабатывала в 1963/1964 г. Лишь 14,5 млн.т азота в виде удобрений. Имеющийся дефицит в значительной мере компенсируется биологическим путем. Отсюда следует вывод об огромном значении биологического азота, т.е. азота, поставляемого микроорганизмами.
Д.Н.Прянишников, основатель советской агрохимии, в своем классическом труде «Азот в жизни растений и земледелии СССР» (1945) писал, что как бы ни было высоко производство минеральных удобрений, нечего и думать азотный вопрос решать только с помощью химической промышленности. В значительной степени он должен быть решен при помощи азотособирателей, т.е. биологическим путем. Это заключение справедливо и на сегодняшний день для под뾯вляющего большинства государств земного шара.
В ряде районов черноземной зоны вполне удовлетворительные урожаи получаются без минеральных удобрений. Эти почвы используются для земледелия более 300 лет и, по расчетам, за это время они должны были бы потерять весь находящийся в них азот. Тем не менее они остаются довольно богатыми азотом и дают, как уже указывалось, удовлетворительные урожаи. В этом заслуга азотфиксаторов. Как известно, существуют две группы микроорганизмов, фиксирующих атмосферный азот. Одна из них находится в симбиозе с высшими растениями, обычно образуя «клубеньки» на их корнях. Другая группа живет независимо от растений в почве. Потенциальные возможности симбиотических и свободноживущих азотфиксаторов неравноценны. В сохранении плодородия почв, используемых в земледелии, несомненна роль бобовых растений. На плодородных почвах при хорошей агротехнике бобовые растения позволяют довести урожайность зерновых до высокого уровня. Так, в опытах С.К.Чаянова на Воронежской опытной станции в четырехпольном севообороте без бобовых растений и удобрений озимая пшеница давала около 20 ц/га. При наличии однолетнего клевера урожай повышался до 25 ц/га, а при двухлетнем использовании клевера – до 28 ц/га. Подобные урожаи устойчиво держались на протяжении 17 лет опыта. В силу вышесказанного не удивительно, что в странах с высоко развитым земледелием обычно до 20-25% окультуренной площади занято бобовыми растениями. Это служит одновременно и для получения ценного корма, и для обогащения почвы азотом.
Способность к азотоусвоению свойственна и многим видам растений, не относящихся к бобовым. Подобные симбиотические фиксаторы азота представлены преимущественно деревянистыми и кустарниковыми растениями. Поэтому роль их более важна для лесоводства, чем для полеводства.
В почве наблюдается довольно большое разнообразие свободноживущих фиксаторов азота. Это например, Clostridium pasteurianum (анаэробная спорообразующая бактерия), Azotobacter (аэробная неспороносная бактерия). Кроме этих организмов были описаны и другие свободноживущие азотфиксаторы. Некоторые количества связанного азота в почвах могут, конечно, дать микроскопические синезеленые водоросли, которые являются фотосинтезирующими микроорганизмами, живущими за счет углекислоты воздуха. Однако едва ли поступление азота в почву от их деятельности в условиях суходольного земледелия превышает несколько килограммов на 1 га в год. Слабая эффективность в природных условиях свободноживущих азотофиксирующих микроорганизмов подтверждается многолетней практикой земледелия. Так, в Западной Европе до введения в севооборот бобовых растений средние урожаи зерновых были равны 7 ц/га. На Ротамстедской опытной станции в Англии с 1843 по 1925 г. на оподзоленной кислой суглинистой почве без внесения удобрений бессменно высевалась пшеница. Средний урожай ее составлял 8,8 ц/га. Совершенно тождественный результат получен в опыте с бессменной культурой ржи в МСХА (Москва), заложенном на дерново-подзолистой почве. Без использования удобрений здесь урожаи ржи равны 7 ц/га. При таких условиях могут работать только свободноживущие азотфиксаторы. Они стабилизируют урожай, но уровень его явно неудовлетворителен. Из этого следует вывод, что сапрофитные азотфиксаторы играют в почве, несомненно, положительную роль, но получения высоких урожаев обеспечить не могут. Совершенно очевидно, что полноценное использование в сельском хозяйстве как симбиотических, так и свободноживущих азотфиксаторов возможно лишь при всестороннем познании факторов, определяющих усвоение молекулярного азота, и утановление путей интенсификации этого процесса. Это поможет решить ряд практических вопросов, связанных с проблемой использования в сельском хозяйстве микробиологических препаратов, имеющих своей целью усиление процесса азотонакопления.
Заключение
Таким образом, значение биологического азота велико и многообразно. Его рациональное использование в сочетании с оптимальным обеспечением сельскохозяйственного производства минеральными азотными удобрениями даст возможность успешно решить общую проблему азота в земледелии страны. Учитывая большое значение биологического азота в земледелии России, видные ученые считают необходимым проведение планового позонального расширения посевных площадей отдельных бобовых культур. По мнению академика Е.Н.Мишустина и академика ВАСХНИЛ П.П.Вавилова, в ближайшие годы общая площадь под зернобобовыми культурами, кроме сои, может быть доведена до 20-25млн. га, а под многолетними бобовыми травами – до 30млн. га. Кроме того, признается целесообразным подсев бобовых растений на окультуренных кормовых угодьях, с тем чтобы их количество в составе травостоя довести до 30-50%. Расширение посевов бобовых требует параллельного решения вопросов семеноводства, а также увеличения выпуска специальных машин для их возделывания.
Улучшение обеспечения сельскохозяйственных культур биологическим азотом может быть осуществлено также путем создания с помощью генной инженерии азотфиксирующих форм высших растений. С этой целью в крупнейших лабораториях мира (в США, Великобритании и др.) проводятся сложные эксперименты по передаче генов азотфиксации (так называемые гены – nif), контролирующих деятельность нитрогеназы и локализованных в геноме микроорганизмов, высшим растениям. Успешное завершение данных исследований обеспечит получение в сельскохозяйственном производстве огромного агроэкономического эффекта.
Библиографический список
В.Т.Емцев, Е.Н.Мишустин Микробиология Москва «Дрофа» 2005г.
Н.Р.Асонов Микробиология Москва «Колос» 2001.
Минеральный и биологический азот в земледелии СССР. Под редакцией академика Мишустина Е.Н., Наука 1985.
Биологическая фиксация атмосферного азота. Е.Н.Мишустин, В.К.Шильникова., Наука 1968.
Биологический азот в сельском хозяйстве. Под редакцией академика Мишустина Е.Н., Наука 1989,
Биологическая фиксация молекулярного азота атмосферы и ее значение в земледелии. Кардиналовская Р.И. Киев, УкрНИИНТИ, 1983.
Агрохимические аспекты биологического азота в современном земледелии. Е.П.Трепачев., Москва 1999.