Бешенство лошади
Содержание
I. Протокол вскрытия трупа лошади
1. Введение
2. Описательная часть
3. Патологоанатомические диагнозы
4. Лабораторные исследования
5. Заключение
II. Бешенство
1. Определение болезни
2. Этиология
3. Патогенез
4. Клинические признаки
5. Патологоанатомические изменения
6. Диагноз и дифференциальная диагностика
Список использованной литературы
Приложение
I. Протокол вскрытия трупа лошади
1. Введение
Протокол патологоанатомического вскрытия трупа жеребца под кличкой Беркут. Пол – жеребец, возраст 6 лет, русской рысистой породы, гнедой масти, телосложение правильное, средней упитанности.
Владелец жеребца Клименко Андрей Петрович, проживающий по адресу Костанайский район, поселок Карабалык, улица Титова, дом 10.
Анамнестические данные.
Жеребец родился в 2004 году и содержался в отдельном деннике конюшни с другими лошадьми, благополучными по инфекционным и другим болезням. Кормление полноценное согласно рациону, вода вволю.
10 октября 2010 года в 10 часов утра у жеребца отмечены: сильная возбудимость, беспокойство, пугливость, проявлялась агрессия по отношению к другим лошадям. Жеребец грыз кормушку, бросался на стену, при этом разбил голову. Отмечена водобоязнь. Хозяин вынужден был перевести здоровых лошадей в другую конюшню. В результате агрессии животного жеребцу не была оказана первая помощь. На вторые сутки у животного появились судороги губ, щек, шеи, а затем и конечностей. 12 октября в 2 часа дня животное погибло.
По клиническим признакам главный госветинспектор Карабалыкского района Шишимбаев С.А. поставил предварительный диагноз бешенство и сообщил в ветеринарную инспекцию области.
Вскрытие произведено 12 октября 2010г. в 17 ч 30 мин на бетонированной площадке биотермической ямы ветеринарным врачом-бактериологом Крыловой Л.П. в присутствии главного ветинспектора Шишимбаева С.А. и студентки 4 курса Факультета ветеринарной медицины и технологии продовольственных продуктов Любанской Н.Н.
2. Описательная часть
Общий вид трупа: труп лежит на правом боку; конфигурация трупа не изменена; телосложение крепкое; средней упитанности; живот ровный.
Труп не остывший. Трупное окоченение и признаки трупного разложения отсутствуют.
Шерстный покров гладкий, блестящий; имеются повреждения кожи в области головы.
Ушные раковины подвижны, наружные слуховые проходы без содержимого.
Слизистые глаз, носа, полости рта с синюшным оттенком. На слизистой оболочке языка ссадины, покрыт сухими, серого цвета корочками сгущенной слизи.
Отмечены повреждения губ и языка.
Заднепроходное отверстие и половые органы без каких-либо отклонений.
Слюнные железы красного цвета, сухость подкожной клетчатки.
Лимфатические узлы тела без видимых изменений.
Скелетные мышцы темно-красного цвета, на разрезе рисунок их не изменен.
Положение органов брюшной полости правильное. Грудная и брюшная полости свободной жидкости не содержит.
Серозные покровы сухие, синюшные.
Гортань, трахея и бронхи без постороннего содержимого, слизистая оболочка с синеватым оттенком.
Легкие неспавшиеся, полнокровны, с поверхности их разреза стекает венозная кровь.
Полости сердца расширены и заполнены кровью, мышцы предсердий и желудочков расслаблены, величина и форма сердца в норме. Полость сердечной сорочки без свободной жидкости.
Кровь темная, густая, дегтеобразная, несвернувшаяся; вытекает из перерезанных сосудов, она быстро окисляется на воздухе и приобретает ярко-красный цвет.
Желудок пуст. Слизистая оболочка желудка застойно-полнокровна, отечна, пронизана, преимущественно по складкам, крупными (1-2 мм) кровоизлияниями. Границы кровоизлияний резко очерчены.
Слизистые оболочки двенадцатиперстной и прямой кишок с нарушением целостности эпителия, с кровоизлияниями, различной величины и формы.
Слизистые оболочки печени и почек синюшны.
Мочевой пузырь умеренно наполнен.
При вскрытии черепной коробки обнаружено напряжение твердой мозговой оболочки и сглаженность извилин головного мозга, что указывает на повышение внутричерепного давления. Мягкие мозговые оболочки отечны. Вещество мозга полнокровно, дрябловато, с мелкими кровоизлияниями.
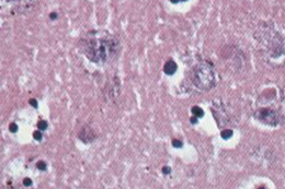
В аммоновых рогах, мозжечке и продолговатом мозге обнаружены тельца Негри.
3. Патологоанатомический диагноз
При патологогистологическом исследовании мозга имеются очаги лейкоцитарной и лимфоцитарной инфильтрации с явлениями нейрофагии и образованием периваскулярных воспалительных муфт (21).
В области головы гематомы и ушибы (3).
Оболочки мозга отечны и гиперемированы (21).
Застойная гиперемия внутренних органов (8,10,14,17,18).
Цианоз слизистых оболочек (5,12,13,19).
Слизистые оболочки дыхательного и пищеварительного тракта в состоянии острого катара. На слизистой оболочке языка – эрозии (5,17,18).
Слюнные железы и окружающая их клетчатка гиперемированы (8).
4. Лабораторные исследования
Предоставлены: сопроводительная №138, вх №2001 от 12.10.10 и акт экспертизы №2001.
5. Заключение
Смерть жеребца наступила вследствие паралича дыхательных мышц. На основании клинической картины, патологоанатомических данных, микроскопии мазков и положительной реакции диффузной преципитации в агаровом геле установлен диагноз бешенство.
Вскрытие произведено 12 октября 2010г. ветеринарным врачом-бактериологом Крыловой Л.П. ______________ в присутствии главного ветинспектора Шишимбаева С.А. ____________,студентки 4 курса ФВ и ТПП Любанской Н.Н.____________________.
II. Бешенство
1. Определение болезни
Бешенство (лат. - Lyssa; англ. - Rabies; водобоязнь, гидрофобия) - особо опасная острая зооантропонозная болезнь теплокровных животных всех видов и человека, характеризующаяся тяжелым поражением центральной нервной системы, необычным поведением, агрессивностью, параличами и летальным исходом.
2. Этиология
Бешенство вызывает пулевидный РНК-вирус семейства Rhabdoviridae, рода Lyssavirus . Ранее все штаммы вируса бешенства рассматривались как единые в антигенном отношении. В настоящее время установлено, что вирус бешенства имеет четыре серотипа: вирус 1-го серотипа выделен в разных частях света; вирус 2-го серотипа выделен из костного мозга летучей мыши в Нигерии; вирус 3-го серотипа выделен от землеройки и человека; вирус 4-го серотипа выделен от лошадей, комаров и москитов в Нигерии и еще не классифицирован. Все варианты вируса в иммунологическом отношении родственны. Эпизоотические штаммы вируса бешенства по вирулентности и другим свойствам разделяют на пять групп.
К 1-й группе относятся усиленные штаммы с высокой вирулентностью, коротким инкубационным периодом болезни (1-2 дня) и постоянным образованием телец Бабеша-Негри.
Во 2-ю группу входят три варианта вирусов: а) так называемый Уло-Фато, выделенный от собак, встречается в Африке и характеризуется внезапным изменением поведения и развитием параличей; б) выделенный от крупного рогатого скота в Кадейросе, передаваемый летучими мышами; в) выделенный от погибших людей во время эпидемии бешенства на острове Троице в 1929 г.
К 3-й группы отнесены штаммы, выделенные от песцов и собак при так называемом ликований в северных районах России и Канады.
В 4-ю и 5-ю группы включены вирусы, выделенные от человека.
Центральная нервная система является избирательным местом нахождения возбудителя бешенства. В наибольшем титре вирус обнаруживали в головном мозге (аммоновых рогах, мозжечке и продолговатом мозге). После поражения центральной нервной системы возбудитель проникает во все внутренние органы и кровь, кроме сальника, селезенки и желчного пузыря. Вирус постоянно обнаруживают в слюнных железах и тканях глаз. Культивируют путем интрацеребральных пассажей на кроликах и белых мышах и в ряде культур клеток.
По устойчивости к химическим дезинфицирующим средствам возбудитель бешенства относится к устойчивым (вторая группа). Низкие температуры консервируют вирус, и в течение всей зимы он сохраняется в мозге зарытых в землю трупов животных. Вирус термолабилен: при 60 °С инактивируется через 10 мин, а при 100 °С -моментально. Ультрафиолетовые лучи убивают его за 5-10 мин. В гниющем материале сохраняется в течение 2-3 нед. Аутолитические процессы и гниение вызывают гибель возбудителя в головном мозге трупов в зависимости от температуры через 5-90 дней.
Наиболее эффективны следующие дезинфицирующие средства: 2%-ные растворы хлорамина, щелочей или формалина, 1%-ный йодез, 4%-ный раствор пероксида водорода, виркон С 1: 200 и др. Они быстро инактивиру-ют вирус.
Восприимчивые виды животных: теплокровные животные всех видов. Наиболее чувствительны лисица, койот, шакал, волк, сумчатая хлопковая крыса, полевка. К высокочувствительным отнесены хомяк, суслик, скунс, енот-полоскун, домашняя кошка, летучая мышь, рысь, мангуст, морская свинка и другие грызуны, а также кролик. Чувствительность человека, собаки, овцы, лошади, крупного рогатого скота признана умеренной, а птиц - слабой. Молодые животные более чувствительны к вирусу, чем старые.
Источники и резервуары возбудителя: резервуаром и главными источниками возбудителя бешенства служат дикие хищники, собаки и кошки, а в некоторых странах мира - летучие мыши. При эпизоотиях городского типа основные распространители болезни - бродячие и безнадзорные собаки, а при эпизоотиях природного типа -дикие хищники (лисица, енотовидная собака, песец, волк, корсак, шакал).
Способ заражения и механизм передачи возбудителя: заражение человека и животных происходит при непосредственном контакте с источниками возбудителя бешенства в результате укуса или ослюнения поврежденных кожных покровов или слизистых оболочек. Возможно заражение через слизистые оболочки глаз и носа, алиментарно и аэрогенно, а также трансмиссивно.
Факторы, способствующие возникновению и распространению: наличие безнадзорно содержащихся собак и кошек, а также больных диких животных.
3. Патогенез
Возможность развития рабической инфекции, возбудитель которой обычно передается при укусе, зависит от количества проникшего в организм вируса, его вирулентности и других биологических свойств, а также локализации и характера нанесенных бешеным животным повреждений. Чем богаче нервными окончаниями ткань в области ворот инфекции, тем больше возможность развития болезни. Имеет значение и степень естественной резистентности организма, зависящая от вида и возраста животного. В основном вирус проникает в организм животного через поврежденную кожу или слизистую оболочку.
Появление вируса в крови чаще отмечается до проявления клинических признаков заболевания и совпадает с повышением температуры тела. В патогенезе болезни можно условно выделить три основные фазы:
I - экстраневральную, без видимого размножения вируса в месте инокуляции (до 2 нед),
II - интраневральную, центростремительное распространение инфекции,
III - диссеминацию вируса по всему организму, сопровождающуюся появлением симптомов болезни и, как правило, гибелью животного.
Размножение вируса в сером веществе мозга обусловливает развитие диффузного негнойного энцефалита. Из мозга по центробежным нервным путям вирус попадает в слюнные железы, где размножается в клетках нервных узлов и после их дегенерации выходит в протоки желез, инфицируя слюну. Выделение вируса со слюной начинается за 10 дней до появления клинических признаков. При инкубационном периоде вирус из мозга нейрогенным путем транспортируется также в слезные железы, сетчатку и роговую оболочку глаза, в надпочечники, где, видимо, тоже репродуцируется. Воздействие возбудителя вначале обусловливает раздражение клеток важнейших отделов центральной нервной системы, что ведет к повышению рефлекторной возбудимости и агрессивности заболевшего животного, вызывает судороги мышц. Затем происходит дегенерация нервных клеток. Смерть наступает вследствие паралича дыхательных мышц.
4. Течение и клиническое проявление
Инкубационный период варьируется от нескольких дней до 1 года и составляет в среднем 3-6 нед. Его продолжительность зависит от вида, возраста, резистентности животного, количества проникшего вируса и его вирулентности, места локализации и характера раны.
Болезнь чаще протекает остро. Клиническая картина сходна у животных всех видов, но лучше изучена у собак. Бешенство у них обычно проявляется в двух формах: буйной и тихой.
При буйном бешенстве различают три периода: продромальный, возбуждения и параличей.
Продромальный период (стадия предвестников) продолжается от 12ч до 3 сут. Этот период начинается с незначительного изменения поведения. Заболевшие животные становятся апатичными, скучными, избегают людей, стараются спрятаться в темное место, неохотно идут на зов хозяина. В других случаях собака становится ласковой к хозяину и знакомым, пытается облизывать руки и лицо. Затем беспокойство и возбудимость постепенно нарастают. Животное часто ложится и вскакивает, лает без причины, отмечается повышенная рефлекторная возбудимость (на свет, шум, шорох, прикосновение и др.), появляется одышка, зрачки расширены. Иногда на месте укуса возникает сильный зуд, животное вылизывает, расчесывает, грызет это место. С развитием болезни часто появляется извращенный аппетит. Собака поедает несъедобные предметы (камни, стекло, дерево, землю, собственный кал и др.). В этот период развивается парез мускулатуры глотки. Отмечают затрудненное глотание (создается впечатление, что собака чем-то подавилась), слюнотечение, хриплый и отрывистый лай, неуверенную походку, иногда косоглазие.
Второй период - возбуждения - продолжается 3-4 дня и характеризуется усилением описанных выше симптомов. Нарастает агрессивность, собака без повода может укусить другое животное или человека, даже своего хозяина, грызет железо, палки, землю, часто при этом ломает зубы, а иногда нижнюю челюсть. У больных собак усиливается стремление сорваться с цепи и убежать, за сутки бешеная собака пробегает десятки километров, по пути кусает и заражает других собак и людей. Характерно, что собака молча подбегает к животным и людям и кусает их. Приступы буйства, длящиеся несколько часов, сменяются периодами угнетения. Постепенно развиваются параличи отдельных групп мышц. Особенно заметно изменение голоса собаки вследствие паралича мускулатуры гортани. Лай звучит хрипло, напоминая вой. Этот признак имеет диагностическое значение. Полностью парализуется нижняя челюсть, она отвисает. Ротовая полость все время открыта, язык наполовину выпадает, наблюдается обильное слюноотделение. Одновременно наступает паралич глотательных мышц и мышц языка, вследствие чего животные не могут поедать корм. Появляется косоглазие.
Третий период - паралитический - длится 1-4 дня. Помимо паралича нижней челюсти парализуются задние конечности, мускулатура хвоста, мочевого пузыря и прямой кишки, затем мышцы туловища и передних конечностей. Температура тела в стадии возбуждения повышается до 40...41 С, а в паралитической - снижается ниже нормы. В крови отмечают полиморфно-ядерный лейкоцитоз, уменьшено число лейкоцитов, в моче увеличено содержание сахара до 3 %. Общая продолжительность болезни 8-10 дней, но часто смерть может наступить через 3-4 дня.
При тихой (паралитической) форме бешенства (чаще отмечается при заражении собак от лисиц) возбуждение выражено слабо или вообще не выражено. У животного при полном отсутствии агрессивности отмечаются сильное слюнотечение и затрудненное глотание. У несведущих людей эти явления нередко вызывают попытку удалить несуществующую кость, и при этом они могут заразиться бешенством. Затем у собак наступает паралич нижней челюсти, мышц конечностей и туловища. Болезнь длится 2...4 дня.
Атипичная форма болезни не имеет стадии возбуждения. Отмечаются истощение и атрофия мускулатуры. Зарегистрированы случаи бешенства, которые протекали только при явлениях геморрагического гастроэнтерита: рвота, полужидкий кал, содержащий кроваво-слизистые массы. Еще реже регистрируют абортивное течение болезни, завершающееся выздоровлением, и возвратное бешенство (после кажущегося выздоровления вновь развиваются клинические признаки болезни).
При бешенстве у кошек клинические признаки в основном такие же, как у собак, болезнь протекает преимущественно в буйной форме. Часто зараженное животное старается спрятаться в тихом темном месте. Больные кошки отличаются большой агрессивностью в отношении людей и собак. Они наносят глубокие повреждения, вонзая свои когти, стараясь укусить в лицо. У них изменяется голос. В стадии возбуждения кошки стремятся, так же как и собаки, убежать из дома. В дальнейшем развивается паралич глотки и конечностей. Смерть наступает через 2-5 дней после проявления клинических признаков. При паралитическом бешенстве агрессивность выражена слабо.
При бешенстве крупного рогатого скота инкубационный период более 2мес, чаще от 15 до 24 дней. В некоторых случаях с момента укуса и до появления первых признаков заболевания может пройти 1-3 года. Бешенство протекает в основном в двух формах: буйной и тихой.
При буйной форме заболевание начинается с возбуждения. Животное часто ложится, вскакивает, бьет хвостом, топает, бросается на стену, наносит удары рогами. Агрессивность особенно выражена по отношению к собакам и кошкам. Отмечают слюнотечение, потливость, частые позывы к мочеиспусканию и дефекации, половое возбуждение. Через 2-3дня развиваются параличи мышц глотки (невозможность глотания), нижней челюсти (слюнотечение), задних и передних конечностей. На 3-6-й день болезни наступает смерть.
При тихой форме признаки возбуждения выражены слабо или отсутствуют. Наблюдаются угнетение, отказ от корма. У коров прекращаются секреция молока и жвачка. Затем появляются параличи гортани, глотки, нижней челюсти (хриплое мычание, слюнотечение, невозможность глотания), а затем задних и передних конечностей. Смерть наступает на 2-4-й день.
У овец и коз симптомы такие же, как и у крупного рогатого скота: агрессивность, особенно к собакам, повышенная половая возбудимость. Быстро развиваются параличи, и на 3-5-й день животные погибают. При паралитической форме бешенства возбуждение и агрессивность не отмечают.
Бешенство у лошадей вначале проявляется беспокойством, пугливостью, возбудимостью. Часто возможен зуд на месте укуса. Проявляется агрессивность к животным, а иногда к людям. В период возбуждения лошади бросаются на стену, разбивают голову, грызут кормушки, двери, иногда, наоборот, впадают в состояние депрессии, упираясь головой в стену. Отмечаются судороги мускулатуры губ, щек, шеи, грудной клетки. При дальнейшем развитии болезни развиваются параличи глотательных мышц, а затем конечностей. Животное погибает на 3-4-й день болезни. Но иногда летальный исход наступает уже через 1 сут. При паралитической форме бешенства стадия возбуждения выпадает.
Бешенство у свиней часто протекает остро и в буйной форме. Свиньи мечутся в станке, отказываются от корма, грызут кормушки, перегородки, место укуса. Наблюдается сильное слюнотечение. Проявляется агрессивность к другим животным и людям. Свиноматки набрасываются на собственных поросят. Вскоре развиваются параличи, и через 1-2сут после их появления животные погибают. Продолжительность болезни не более 6 дней.
При паралитической форме бешенства (регистрируют редко) отмечают угнетение, отказ от корма и воды, незначительное слюнотечение, запор, быстро прогрессирующие параличи. Животные погибают через 5... 6 дней после появления признаков заболевания.
5. Патологоанатомические признаки
Патологоанатомические изменения в целом неспецифичны. При осмотре трупов отмечают истощение, следы укусов и расчесы, повреждение губ, языка, зубов. Видимые слизистые оболочки цианотичные. При вскрытии устанавливают синюшность и сухость серозных покровов и слизистых оболочек, застойное полнокровие внутренних органов; кровь темная, густая, дегтеобразная, плохо свернута; мышцы темно-красного цвета. Желудок часто бывает пустым или содержит различные несъедобные предметы: куски дерева, камни, тряпки, подстилку и т. п. Слизистая оболочка желудка обычно гиперемирована, отечная, с мелкими кровоизлияниями. Твердая мозговая оболочка напряжена. Кровеносные сосуды инъецированы. Головной мозг и его мягкая оболочка отечные, нередко с точечными кровоизлияниями, локализующимися в основном в мозжечке и продолговатом мозге. Мозговые извилины сглажены, ткань мозга дряблая.
Гистологические изменения характеризуются развитием диссеминиро-ванного негнойного полиэнцефаломиелита лимфоцитарного типа. Пато-гномоничное значение при бешенстве имеет образование в цитоплазме ганглиозных клеток специфических телец-включений Бабеша-Негри округлой или овальной формы, содержащих базофильные зернистые образования вирусных нуклеокапсидов различной структуры.
6. Диагностика и дифференциальная диагностика
Диагноз на бешенство ставят на основании комплекса эпизоотических, клинических, патологоанатомических данных и результатов лабораторных исследований (окончательный диагноз).
Лабораторная диагностика.
Диагностика заключается в исследовании головного мозга животных с целью выявления вирусного антигена в РИФ, РДП, обнаружении телец Бабеша-Негри и биопробе на белых мышах.
А) Взятие и подготовка материала. В лабораторию для исследования направляют свежие трупы мелких животных, от крупных животных - голову с двумя первыми шейными позвонками или головной мозг. В некоторых случаях допускается консервирование головного мозга 50 %-ном глицерине. Для серологических исследований пригоден только не консервированный мозг. Необходимо помнить, что вскрытие трупа, извлечение мозга и другие работы с патологическим материалом приводят в условиях стерильности и строгого соблюдения мер личной профилактики
Б) Индикация вируса в исследуемом материале. Из каждого отдела головного мозга левой и правой сторон (аммонова рога, мозжечка, коры полушарий и продолговатого мозга) готовят по 4 препарата - мазки-отпечатки для РИФ и обнаружения телец Бабеша-Негри; с мозговой тканью ставят РДП. При отрицательных результатах вышеуказанных методов ставят биопробу на мышах.
В) Обнаружение специфических телец-включений. Приготовленные мазки-отпечатки окрашивают по Серерсу, Муромцеву или другими методами. Препараты после окрашивания просматривают в световом микроскопе с иммерсионной системой. Положительным результатом считают наличие специфических телец Бабеша-Негри. Это четко очерченные овальные или продолговатые гранулярные образования розово-красного цвета в протоплазме (при окраске по Селерсу); при окраске по Муромцеву - тельца Бабеша-Негри светло-фиолетовые с темно-синими включениями, чаще они располагаются вне нервных клеток. Тельца Бабеша-Негри выявляют лишь в 65 - 85 % случаев бешенства. Поэтому отсутствие их не является отрицательным ответом и материал исследуют в других тестах (РИФ, РДП, биопроба) .
Посмертно исследуют срезы аммоновых рогов головного мозга и обнаруживают в них специфические включения - тельца Бабеша-Негри. Тельца Бабеша-Негри также присутствуют в цитоплазме нейронов, гиппокампе, клетках Пуркинье коры мозжечка, стволе мозга, гипоталамусе и спинномозговых ганглиях. Данные тельца присутствуют в головном мозге только при бешенстве, наличие их при других заболеваниях, в том числе и при заболеваниях центральной нервной системы, не зафиксировано.
Состоят тельца Бабеша-Негри из тонковолокнистого матрикса и вирусного рибонуклеопротеида, размер телец - около 10 нанометров.
Г) Обнаружение вирусного антигена с помощью серологических реакций.
Реакция иммунофлуоресценции является одним из основных тестов при диагностике бешенства. При высококвалифицированном выполнении получают 99 - 100%-ные совпадения с методом биопробы. Обычно в диагностической практике используют прямой метод РИФ, который проводят по общепринятой методике с применением антирабического флуоресцирующего иммуноглобулина. Антиген вируса бешенства выявляется в виде ярких желто-зеленых или зеленых гранул различных форм и величины в клетках (чаще вне клеток). Диагноз считают установленным, если в нескольких полях зрения обнаруживают достаточное количество (не менее 10) типичных гранул с ярким зеленым свечением или множество мельчайших точек - "песка". В контроле подобного свечения не должно быть.
Метод ИФ дает возможность обнаруживать вирус бешенства в клетках роговицы глаза и прижизненно поставить диагноз. Метод может быть использован для исследования животных, подозреваемых в заболевании бешенством, а также клинически здоровых собак и кошек, покусавших людей и животных. Для этого готовят отпечатки с роговицы (соблюдая все правила личной профилактики). Раскрывая глазную щель животного большим и указательным пальцами, на слегка выпяченное глазное яблоко надавливают поверхностью предметного стекла, отступив на 0,5 см от конца. Следует следить, чтобы животное не моргало третьим веком, так как при этом со стекла удаляются эпителиальные клетки и получается некачественный мазок.
Результаты микроскопии считают положительными если в отпечатках роговицы животного обнаруживают 11% и более клеток с характерными очажками свечения. Необходимо иметь в виду, что в препаратах от здоровых животных (контроль) вследствие аутофлуоресценции могут встречаться единичные клетки с подобными по форме и свечению очажками. Метод ИФ дает возможность ускорить ответ при окончательной постановке диагноза методом биопробы. Диагноз может быть установлен уже на 4 -8-й день после заражения мышей исследуемым материалом, а инкубаторный период заболевания мышей достигает 20 дней. РИФ может выявить вирус бешенства в тканях подчелюстной слюнной железы.
Реакцию диффузионной преципитации применяют для обнаружения антигена вируса бешенства в неконсервированном головном мозге животных, павших от уличного бешенства, или мышат, используемых в биопробе. РДП ставят микрометодом на предметных стеклах. Реакцию учитывают через 6, 24, 48 ч. При наличии одной или двух-трех линий преципитации между лунками, содержащими антиген и иммуноглобулин, реакцию считают положительной. РДП проста по выполнению и специфична, но процент выявления вирусного антигена в исследуемом материале от 45 до 70. Отсутствие в исследуемом материале телец Бабеша-Негри, специфической флуоресценции и отрицательная РДП не дают основания исключить наличие вируса. В этом случае окончательный диагноз ставят по результатам биопробы на белых мышатах и последующей идентификации вируса.
Д) Обнаружение вируса методом биопробы. Принято считать, что биопроба является более эффективным методом, чем обнаружение телец Бабеша-Негри, РИФ и др. Однако в единичных случаях оказалось отрицательной, несмотря на подтверждение диагноза бешенства путем обнаружения телец Бабеша-Негри и РИФ. Процент отрицательных результатов по биопробе колебался в пределах 1,3 - 12.
Из всех видов использованных для биопробы животных (кролики, морские свинки, взрослые белые мыши и хомяки) многие отдают предпочтение мышам-сосунам, поскольку они более чувствительны к разным штаммам вируса бешенства и менее опасны в работе. В диагностической практике рекомендуется следующая методика постановки биопробы. Для каждой исследуемой пробы полевого материала используют 6 - 10 молодых мышат массой 16 -20 г или сосунков в возрасте 20 -25 суток массой 6 - 8 г., которых заражают 10%-ной суспензией, приготовленной из всех отделов головного мозга по общепринятой методике: 50 % мышат заражают интрацерибрально дозой 0,015 - 0,03мл (в зависимости от массы мышей ) и 50 % - подкожно в верхнюю губу дозой 0,1 - 0,2 мл. за зараженными мышами наблюдают ежедневно в течение 30 дней. Гибель их до 48 часов не учитывают. При наличии вируса в исследуемом материала у мышей на 6 -10 -15 -20-й дни развивается клиника: взъерошенность шерсти, своеобразная горбатость спины, нарушение координации движения, паралич задних, затем передних кончностей и гибель. у павших мышей исследуют головной мозг на наличие телец Бабеша-Негри в Риф и РДП. Биопробу считают положительной, если в препаратах из мозга зараженных мышей обнаруживают тельца Бабеша-Негри или выявляют антиген в РИФ или в РДП.
Е) выделение вируса из исследуемого материала. Естественно-восприимчивых животных (собаки, кошки, крупный и мелкий рогатый скот), а также куриные эмбрионы и культуру клеток для выделения вируса не применяют. Используют лабораторных животных.
Ж) Идентификация выделенного вируса с помощью серологических реакций.
Иммуноферментная идентификация вируса. Разработан и успешно применяется в ряде стран иммуноэнзиматический метод обнаружения вируса бешенства (реакция ELISA). Метод точный, быстрый, дающий высоковоспроизводимые результаты и доступен для выполнения.
Реакцию нейтрализации на мышатах используют редко.
Реакция торможения гемагглютинации еще не нашла широкого применения в диагностической практике из-за присутствия в сыворотке крови неспецифических ингибиторов, к которым вирус бешенства высокочувствителен, а главное, неочищенные гемагглютинирующие агенты обладают низкой чувствительностью. Используют гусиные эритроциты.
В последние годы разработаны новые методы диагностики бешенства: радиоиммунный метод, иммуноферментный анализ (ИФА), твердофазный иммуноферментный анализ (ТФ-ИФА), идентификация вируса при помощи моноклональных антител, ПЦР.
При дифференциальной диагностике необходимо исключить болезнь Ауески, листериоз, ботулизм. У собак - нервную форму чумы, у лошадей - инфекционный энцефаломиелит, у крупного рогатого скота - злокачественную катаральную горячку. Подозрение на бешенство также может возникнуть при отравлениях, коликах, тяжелых формах кетоза и других незаразных болезнях, а также при наличии инородных тел в ротовой полости или глотке, закупорке пищевода.
паталогоанатомический вскрытие труп жеребец бешенство
Список использованной литературы
Боль Б.К. Патологоанатомическое вскрытие сельскохозяйственных животных. Государственное издательство сельскохозяйственной литературы.-Москва:1957.-335с.
Третьяков А.Д. Ветеринарное законодательство. Т1.-Москва, "Колос" -1973, 696с.
Селимов М.А. Бешенство. Москва.: Медицина, 1978, 336с.
Третьяков А.Д. Ветеринарное законодательство. Т2.-Москва, "Колос" -1973, 720с.
Третьяков А.Д. Ветеринарное законодательство. Т3.-Москва, "Колос" -1981, 640с.
Лукашев И.И. Частная эпизоотология. М.:Сельхозгиз-1961, 303с.
Коляков Я.Е. Ветеринарная микробиология. М.:издательство "Колос", 1965, 432с.
Сидорчук А.А. Инфекционные болезни животных. М.:КолосС, 2007. – 671 с.
Шишков В.П. Ветеринарная Энциклопедический словарь. – М.: "Советская Энциклопедия". 1981. -640с.
Приложение

Вирус бешенства под электронным микроскопом

Тельца Бабеша-Негри

Положительная РИФ при бешенстве