Рост пленки на подложке
Министерство общего и профессионального образования Российской Федерации
Марийский государственный технический университет
Кафедра конструирования и производства радиоаппаратуры
Рост плёнки на подложке
(реферат)
Выполнил: ст. группы ЭВС–31
Фокин С.В.
Проверил: к.т.н., доцент Сушенцов Н.И.
г. Йошкар-Ола
2004 г
Содержание
Четыре стадии роста пленки
Зарождение частиц новой фазы
Коалесценция островков
Образование каналов
Образование сплошной пленки
Список литературы
Четыре стадии роста пленки
Как следует из теории зародышеобразования и электронно-микроскопических наблюдений, последовательность этапов образования зародышей и роста пленки вплоть до образования непрерывной пленки такова:
Образование адсорбированных атомов.
Образование субкритических эмбрионов разного размера.
Образование зародышей критического размера (этап зародышеобразования).
Рост этих зародышей до сверхкритических размеров с результирующим обеднением адатомами зон захвата вокруг зародышей.
Конкурирующим процессом на этапе 4 является образование критических зародышей на площадях, не обедненных адатомами.
Зародыши соприкасаются друг с другом и срастаются, с тем чтобы образовать новый островок, занимающий площадь меньше, чем сумма площадей двух начальных зародышей; это приводит к увеличению свободной поверхности подложки.
Атомы адсорбируются на этих вновь освободившихся участках, и наступает процесс «вторичного» образования зародышей.
Большие островки срастаются, оставляя каналы или полости на подложке.
Каналы и полости заполняются в результате вторичного зародышеобразования и в конце концов образуется непрерывная пленка.
Некоторые из этих этапов схематически показаны на рис. 1 Различают четыре стадии процесса роста: зарождение частиц новой фазы (зародышей) и островковой структуры, срастание или коалесценция островков, образование каналов, образование непрерывной пленки. Ниже эти стадии будут обсуждаться очень подробно, в основном, на основании электронно-микроскопических исследований.1

Рис. 1. Схема стадий роста пленки.
Зарождение частиц новой фазы
На этом этапе происходит столкновение атомов из газовой фазы с поверхностью подложки, после чего атомы могут прочно закрепиться на подложке, либо через некоторое время реиспариться, либо упруго отразиться от поверхности. Схема возможных процессов на поверхности подложки представлена на рис.2.

|
Взаимодействие с дефектами подложки |
Поверхностная диффузия |
Химическое связывание, зародышеобразование |
Объемная диффузия |
Рис. 2 Схема возможных процессов на поверхности подложки
Вероятность упругого отражения может быть оценена как:
(1)
где Ek - кинетическая энергия атома падающего на подложку; Ed - энергия десорбированного атома до установления термодинамического равновесия с подложкой; Et - энергия десорбированного атома после установления равновесия с подложкой.
Величина a i может быть приближенно определена из решения уравнения Шредингера для случая столкновения налетающего атома с одномерной полубесконечной цепью упруго связанных атомов подложки. Решение этого уравнения показало, что отражением падающих частиц можно пренебречь, если их энергия меньше, чем 25 Eд, где Eд - потенциальная энергия десорбции, что справедливо практически при всех методах получения пленок (для металлов, например, Eд » 1 эВ, т.е. Ek должна быть не более 25 эВ). Кроме того, вероятность полной термической аккомодации (at = 1) увеличивается при увеличении отношения масс падающего атома и атома подложки. На основе той же модели было показано, что время релаксации энергии ~ 2/n , где n - частота колебаний атомов подложки (n ~ 1011 - 1013 с-1). Таким образом, можно принять, что установление термодинамического равновесия атомов с подложкой происходит мгновенно.
Адсорбированные атомы могут двигаться по поверхности (поверхностная диффузия) и при столкновении образовывать более устойчивые образования, - начальные зародыши. Диффузия зародышей по поверхности, как правило, на много порядков меньше диффузии отдельных атомов и уменьшается по мере роста размеров зародыша. Поэтому считается, что зародыши на поверхности неподвижны. При достижении зародышами определенного размера gкр (см. рис.3) соответствующего максимуму свободной энергии образования зародыша, он уже не распадается на отельные атомы, а растет, образуя устойчивый конденсат.2

Рис.3 Изменение термодинамического потенциала от количества атомов g в зародыше.
Современные теоретические
представления описывают три возможных
режима роста тонких пленок после
образования начальных устойчивых
зародышей: послойный, островковый и
смешанный. Реализация в конкретной
системе того или иного механизма роста
определяется соотношением удельных
свободных энергий границ раздела
"пар-конденсат" (
),
"конденсат-подложка" (
)
и поверхности подложки (
).
В случае
+
<=
происходит послойный рост, т.е.
последовательное заполнение подложки
моно атомными слоями. При этом необходимо,
чтобы указанное условие удовлетворялось
после образования первого слоя (т.е.
когда
свободная энергия поверхности пленки).
При
+
>
происходит островковый рост. В этом
случае связь атомов в островках больше
чем с атомами поверхности подложки, что
приводит к преимущественному росту
островков вверх. Процессам послойного
и островкового роста можно дать простую
физическую интерпретацию. В первом
случае происходит полное смачивание
поверхности присоединение адатомов к
боковым граням зародыша термодинамически
предпочтительнее вплоть до полного
заполнения первого слоя. Во втором
случае зародышу выгодно собраться в
каплю, угол смачивания или контактный
угол
определяется из условия Гиббса:
=
+
·
.
В процессе роста условия хорошего
смачивания могут нарушаться и тогда
произойдет смена послойного режима на
островковый (режим Странского-Крастанова).
Причиной, нарушающей монотонное
уменьшение (
+
)
с ростом объема пленки может быть
структурное рассогласование материала
пленки и подложки.
Процесс образования и эволюции зародышей изучается теориями конденсации. В первом приближении эти теории могут быть разделены на три группы: теории, основанные на классическом подходе, статистические методы и теории основанные на различных неклассических представлениях. В кратком обзоре остановимся только на классической теории, т.к. именно на ее основе в настоящее время развиты представления об эволюционных процессах на начальных стадиях и с точки зрения классического подхода будут рассмотрены процессы роста многокомпонентных пленок в системе Y-Ba-Cu-O.
В основе классического подхода лежит положение Гиббса о том, что движущей силой любого процесса является разность термодинамических потенциалов системы начального и конечного состояний. Она определяется термодинамическими параметрами, характеризующими большие области рассматриваемых фаз. Малые флуктуации относительно исходного состояния могут приводить к увеличению или уменьшению термодинамического потенциала системы и, соответственно, к понижению или повышению ее стабильности.
Классическая теория зародышеобразования оперирует такими флуктуациями, которые могут приводить к радикальным атомным перегруппировкам в пределах малых локальных объемов. Это положение соответствует многочисленным экспериментальным данным, показывающим, что большинство поверхностных превращений являются гетерогенными, т.е. на промежуточном этапе возможно сосуществование локальных областей с различным фазовым составом. Т.е. на начальном этапе можно определить области, где превращения уже произошли, - образовались зародыши новой фазы. Два фактора определяют понятие критического зародыша. С одной стороны, образование новой, более стабильной фазы ведет к снижению термодинамического потенциала системы, с другой стороны появление межфазной границы ведет к его повышению. Максимальное значение термодинамического потенциала определяет минимальный размер критического зародыша и энергетический барьер зародышеобразования.
Классическая теория полагает,
что зародыш имеет некую равновесную
форму, соответствующую минимуму
поверхностной энергии при данном размере
и описывает его с помощью макроскопических
и термодинамических параметров. Область
раздела между исходной фазой и зародышем
представляется геометрической
поверхностью и характеризуется
поверхностной энергией
.
При гетерогенном образовании зародыша на подложке изменение термодинамического потенциала может быть задано выражением:
(2)
где
и
- химический потенциал кристаллической
фазы и исходной (жидкой, газовой) фазы;
и
- факторы формы границ раздела "исходная
фаза- зародыш" и "зародыш- подложка";
g2/3
и
g2/3
- площади указанных границ, соответственно.
Простейший случай для плоской поверхности
подложки и изотропной поверхностной
энергии границы раздела исходной и
новой фаз был впервые рассмотрен
Фольмером. В этом случае зародыш имеет
форму части сферы с углом смачивания
(см. рис. 3). Условие статического равновесия
для него можно записать как
=
+
·
(0 <= Θ <= π) (3)
Из (2) следует, что в случае, когда
(
-
)
> 0 (ненасыщенный пар), зависимость D
Ф(g) не имеет максимума и растет с
увеличением числа атомов g. Это означает,
что любой кристаллический зародыш,
образовавшийся в результате флуктуации
будет растворяться. Если (
-
)
< 0 (пересыщенный пар) зависимость D
Ф(g) имеет максимум при некотором размере
зародыша gкр. Размер критического
зародыша и энергия его образования
будут определяться:
(4)
Зародыши размером g > gкр устойчивы и имеют тенденцию к росту, размером g < gкр ,- к растворению.
Зависимость D Ф(g) представлена
на рис. 3, для (
-
)
> 0 кривая 1 и для (
-
)
< 0 кривая 2. Необходимым условием
образования пленки является возникновение
закритического зародыша.
Фольмер и Вебер постулировали, что существует некоторое стационарное распределение докритических зародышей:
(5)
где N(g) - число зародышей размером g; N0 -число одиночных атомов в системе; D Ф(g) определяет вероятность появления флуктуационным путем комплексов из g атомов и отождествляется с изменением термодинамического потенциала.
Фольмер приводит также выражение для скорости стационарного рождения зародышей в виде:
(6)
где А - постоянная величина; Е - энергия активации процесса, лимитирующего поступление атомов к зародышу (поверхностная диффузия, поток из газовой фазы).
Недостатками термодинамической теории является невозможность учета влияния нестационарных начальных стадий процессов конденсации на скорость кристаллизации и то, что она справедлива только для достаточно больших ансамблей частиц в зародыше и при малых отклонениях от равновесного состояния системы и малых пресыщениях. Беккер и Деринг уточнили теорию Фольмера и получили уравнение для метастабильного состояния, которое является основой макрокинетической теории конденсации. Основным параметром в уравнении для скорости образования критических зародышей (I) является функция распределения числа зародышей размером g в момент времени t, - Fg,t. Эта функция является главной характеристикой дисперсной системы, которая образуется в процессе фазового перехода первого рода. Если известна функция распределения, то известны и все основные параметры, характеризующие дисперсные системы, т.е. плотность зародышей в каждый момент времени, их средний размер и т.п. Если выражение для Fg,t найдено, то скорость образования критических зародышей может быть определена по формуле:
(7)
где D* является формальным аналогом коэффициента диффузии в пространстве размеров, но зависит от g.
Недостатком теории Беккера- Деринга является то, что число атомов в зародыше должно быть настолько велико, чтобы его можно было считать непрерывным параметром, во вторых вывод уравнения Беккера- Деринга предполагает отсутствие столкновений между островками, т.е. оно может быть применимо лишь к самым начальным стадиям и при малых пресыщениях. 3
Несмотря на значительное количество работ, посвященных процессам зарождения новой фазы, адекватной теоретической модели, позволяющей получить достаточно точную количественную оценку процесса до настоящего времени не существует. Это связано с тем, что даже в однокомпонентном изотермически гомогенном случае основная система уравнений кинетики конденсации является существенно нелинейной и не имеет точного аналитического решения. Кроме того, процесс образования новой фазы протекает по-разному в зависимости от начальных условий и степени пресыщения.
Еще менее разработаны модельные представления для многокомпонентных и многофазных дисперсных систем. В многофазной системе эволюционные процессы будут определяться не только стремлением дисперсной системы к минимуму поверхностной энергии, но процессами, связанными со стремлением системы к минимуму термодинамического потенциала, зависящего от состава будущих фаз. 4
Коалесценция островков
На рис. 4 показано, как происходит коалесценция, или срастание двух круглых зародышей. Коалесценция длится менее 0,1 с для малых зародышей и характеризуется уменьшением полной площади проекции зародышей на подложку (и увеличением их по высоте). Кроме того, зародыши с четко выраженными кристаллографическими формами в процессе срастания округляются. Получившийся в результате островок снова принимает кристаллографическую форму, если он достаточно долгое время не взаимодействует с соседними островками. На стадии зародышеобразования кристаллики, в основном, имеют форму треугольника, после срастания островки приобретают форму шестиугольника, но часто с дефектами. Серия микрофотографий, иллюстрирующих эти эффекты, показана на рис. 5: островки А и В, срастаясь, образуют составной островок, который постепенно принимает кристаллографическую форму.

Рис. 4. Схема изменения формы островков в процессе их коалесценции.

Рис. 5. Электронные микрофотографии последовательного роста пленки золота на MoS2 при 400°С; показано изменение формы островков во время коалесценции и после: а — произвольный нуль отсчета времени; б — спустя 1—2 с; в — спустя 60 с.
Процесс коалесценции подобен процессам слияния капель в жидкости; он приводит к увеличению свободной поверхности подложки, и к образованию вторичных зародышей между островками. Этот эффект становится заметным когда первичные островки вырастают до размеров 1000 Å, и продолжается до тех пор, пока в конце концов не образуется пленка без дырок.. Маленькие зародыши, окружающие островок В (рис. 5, а), являются примером таких вторичных зародышей. Вторичный зародыш растет до тех пор, пока не столкнется с соседом, и если последний представляет собой островок гораздо большего размера, вторичный зародыш очень быстро сливается с ним и полностью включается в большой островок.5
Для объяснения изменения формы зародышей или коалесцепции и движущей силы этого процесса использована теория агломерации сферических частиц. Движущей силой изменения конфигурации при образовании агломератов является изменение поверхностной энергии вследствие того, что в месте соединения частиц образуется область с большой кривизной поверхности. Перенос частиц во время агломерации возможен путем испарения и конденсации, объемной и поверхностной диффузии. Радиус шейки X, радиус островка r, время t и температура Т связаны соотношением

где п = 3, m = 1 при испарении — конденсации; п = 5, т = 2 при объемной диффузии; п - 7, т - 3 при поверхностной диффузии. Величина а(т) является функцией температуры и включает физические константы материала, ответственного за данный механизм переноса. Эти выражения справедливы только для начальных стадий роста шейки.
Возможными механизмами переноса массы при коалесценции являются объемная и поверхностная диффузии. Однако, основываясь на экспериментальных фактах, считают, что основным механизмом является поверхностная диффузия, которая проявляется тем сильнее, чем меньше частицы. Так как образование шеек заметного размера происходит за короткое время (0,06 с), наиболее удовлетворительно этот процесс можно объяснить с помощью поверхностной диффузии.
Движущей силой всех процессов, аналогичных жидкостным, является результирующее уменьшение поверхностной энергии. Если поверхностная энергия не зависит от ориентации кристалла, площадь поверхности будет стремиться уменьшиться до минимума. Наблюдения показывают, что после того, как при коалесценции произошло основное уменьшение поверхностной энергии, дополнительное ее уменьшение происходит за счет образования граничных плоскостей с предпочтительной кристаллографической ориентацией, что приводит к образованию островков с хорошо развитой кристаллической огранкой. Если такой островок вновь принимает участие в коалесценции, кристаллографические формы мгновенно округляются. Это можно объяснить, если предположить, что конфигурация, обеспечивающая минимум энергии, нарушается сразу, как только два соседних островка соприкоснутся, и между ними станет возможным интенсивный обмен атомами. Можно также ожидать, что углы треугольных и шестиугольных островков будут наиболее эффективными источниками подвижных атомов, так что они должны быстро округлиться. Несмотря на то, что начальные стадии коалесценции даже очень больших островков проходят за очень короткое время, островок, образующийся в результате этого процесса, продолжает менять свою форму в течение довольно длительного времени. Площадь островка также изменяется во время коалесценции и после нее. За несколько секунд происходит резкое уменьшение площади подложки, покрытой островками, а после этого начинается ее более медленное увеличение. Когда коалесценция только начинается, уменьшение площади островков и увеличение их высоты приводит к понижению полной поверхностной энергии. Если учесть относительную величину поверхностных энергии подложки и конденсата, а также энергию границы раздела, получим, что минимальной энергии островка соответствует определенная форма с определенным отношением высоты к диаметру. На рис. 6 показано изменение площади составного островка Аи на подложке MoS2 при 400° С во время и после коалесценции, измеренное с помощью электронного микроскопа Было показано, что перед срастанием между двумя островками образуется мостик. Однако это наблюдение не было подтверждено в других работах, и есть предположение, что этот эффект обусловлен загрязнениями.6

Рис. 6. Изменение площади составного островка во время коалесценции и после нее.7
Образование каналов
По мере роста островков тенденция к тому, что после срастания они становятся совершенно круглыми, уменьшается. Большие изменения формы еще имеют место, но они в основном ограничиваются областями в непосредственной близости от места соединения островков. Следовательно, островки вытягиваются и стремятся образовать непрерывную сетчатую структуру, в которой конденсированный материал разделен длинными, узкими каналами неправильной формы, шириной от 50 до 200 Å. Так как конденсация продолжается, в этих каналах будет происходить вторичное зародышеобразование, и эти зародыши объединятся с областями сплошной пленки, как только они вырастут и коснутся стенок канала. В этот момент в определенных точках канала возникнут мостики, и каналы быстро заполнятся подобно тому, как это происходит в жидкости. В конце концов, большинство каналов исчезает, и пленка становится непрерывной, однако она содержит много мелких, беспорядочно расположенных дырок. Внутри этих дырок на подложке образуются вторичные зародыши, и они объединяются с областями непрерывной пленки (так же, как капли в жидкости). Дырка содержит много вторичных зародышей, которые срастаются друг с другом и образуют вторичные островки, а они уже достигают краев дырки и срастаются с основной пленкой, так что дырка становится чистой. В ней снова образуются вторичные зародыши, и процесс повторяется до тех пор, пока вся дырка не заполнится.
До тех пор, пока не образуется сплошная пленка, поведение конденсата остается аналогичным доведению жидкости. На стадии роста, характеризующейся образованием каналов и дырок, вторичные зародыши (островки) объединяются с более массивными областями пленки менее, чем за 0,1 с. Можно также наблюдать за процессом заполнения канала, когда поперек канала образуется мостик конденсата, и конденсирующаяся фаза растекается вдоль канала со скоростями порядка 1-300 Å/с. Оказывается, что канал при этом заполняется не полностью и вначале двигается только очень тонкий слой, а утолщение его происходит за гораздо большее время. Каналы обычно бывают очень нерегулярными, а граничные области имеют кристаллическую огранку. Ясно, что процессы срастания зародышей с основной пленкой и быстрого исчезновения каналов аналогичны процессам, происходящим в жидкости и являются проявлением одного и того же физического эффекта, а именно, минимизации полной поверхностной энергии нарастающего материала путем ликвидации областей с высокой кривизной поверхности.
Образование сплошной пленки
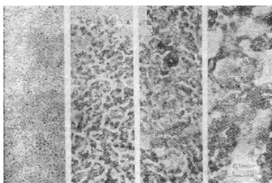
В процессе роста пленки, особенно при коалесценции, происходят заметные изменения ориентации островков. Это особенно важно для эпитаксиального роста пленок. Общий механизм роста поликристаллических слоев похож на механизм роста эпитаксиальных пленок, за исключением того, что срастающиеся островки в этом случае имеют произвольную относительную ориентацию, подчиняющуюся случайному закону распределения. Обнаружено, что во время срастания происходит рекристаллизация, так что размер зерен в готовой пленке много больше среднего расстояния между начальными зародышами. Это иллюстрирует серия фотографий на рис. 13, на которых показаны различные этапы роста поликристаллической золотой пленки на угольной подложке. Для всех четырех образцов осаждение началось одновременно; для того, чтобы менять время осаждения от образца к образцу, использовалась движущаяся заслонка. Существенная рекристаллизация происходит даже, если подложка находится при комнатной температуре; при этом в каждом зерне объединяются 100 или больше первоначальных зародышей. Таким образом, фактором, определяющим размер зерен в готовой пленке, является не первоначальная концентрация зародышей, а процесс рекристаллизации, происходящий при коалесценции зародышей или островков.8

Рис. 7. Последовательные этапы роста поликристаллической пленки золота на угольной подложке при 20° С.
Список использованной литературы
зародыш пленка островок коалесценция канал
Р. Берри и др. Тонкопленочные технологии. – М.: «Энергия» 1972г.
Технология тонких пленок. Справочник под ред. Л. Майссела, Р. Глэнга – М.: Советское радио, 1977г. 1Т.
Технология тонких пленок. Справочник под ред. Л. Майссела, Р. Глэнга – М.: Советское радио, 1977г. 2Т.
«Получение пленок» с сайта http://www.eltech.ru/kafedrs/fet‗eips/golman/book
«Модельные представления начальных стадий роста пленок» с сайта http://ioffe.org/woe/8201/study/andreev/index.html
«Термодинамика образования зародышей пленки» с сайта http://pereplet.ru/obrazovanie/plenki
«Получение пленок» с сайта http://ktf.krk.ru/courses
1 Р. Берри и др. Тонкопленочные технологии
2 http://ioffe.org/woe/8201/study/andreev/index.html
3 http://www.eltech.ru/kafedrs/fet‗eips/golman/book
4 http://ioffe.org/woe/8201/study/andreev/index.html
5 Технология тонких пленок.
6 Р. Берри и др. Тонкопленочные технологии
7 http://ktf.krk.ru/courses
8 Р. Берри и др. Тонкопленочные технологии