Методы лучевого исследования, применяемые в стоматологии
Методы лучевого исследования, применяемые в стоматологии
Представлены сведения об основных и специальных методах лучевого исследования, используемых в диагностике заболеваний челюстно-лицевой области. Рассмотрены диагностические возможности методов и определены показания к их применению. Освещены также возможности современных методов – компьютерной томографии, ультразвукового исследования.
И.И. Сергеева, Т.Ф. Тихомирова, В.В. Рожковская, Н.А. Саврасова, Белорусский государственный медицинский университет
Presented are the data on the basic and special methods of beam research used in diagnostics of diseases of maxillofacial area. Diagnostic opportunities of methods are considered and indications to their application are determined. Opportunities of modern methods - a computer tomography, ultrasonic research are covered also.
Key words: roentgenography, intraoral roentgenography, a linear, panoramic and computer tomography, ultrasonic diagnostics.
Рентгенологические методы исследования являются ведущими в диагностике заболеваний челюстно-лицевой области, что обусловлено их достоверностью и информативностью. Методы рентгенодиагностики нашли широкое применение в практике терапевтической стоматологии (для выявления заболеваний пери- и пародонта); в ортопедической стоматологии (для оценки состояния сохранившихся зубов, периапикальных тканей, пародонта, что определяет выбор ортопедических мероприятий). Востребованы рентгенологические методы и челюстно-лицевой хирургией в диагностике травматических повреждений, воспалительных заболеваний, кист, опухолей и других патологических состояний. Методика и техника рентгенологического исследования зубов и челюстей имеет свои особенности. Наиболее часто в стоматологической практике применяются:
· обзорная рентгенография;
· внеротовая рентгенография зубов и челюстей;
· внутриротовая рентгенография.
ОБЗОРНЫЕ РЕНТГЕНОГРАММЫ могут выполняться в трех проекциях — прямой, боковой и передней полуаксиальной – и позволяют получить изображение всего лицевого и мозгового черепа. Прямая проекция может быть выполнена при носо-лобном или носо-подбородочном прилежании к кассете. Показаниями для снимков в носо-лобной проекции являются: травмы и заболевания мозгового и лицевого черепа. Данная укладка используется также при сиалографии и фистулографии. Снимки в носо-подбородочной проекции применяются: для исследования костей среднего и верхнего этажей лицевого черепа, придаточных пазух носа. Состояние зубов на рентгенограммах в прямой проекции не анализируется.
Боковые снимки черепа производятся как обязательное дополнение к прямым. Однако изучать состояние костей лицевого скелета по этим снимкам из-за суммационного эффекта правой и левой половины черепа достаточно сложно. Обычно доступны обзору лишь грубые, обширные костные изменения. Боковые снимки чаще выполняются для исследования состояния мозгового черепа, его основания, турецкого седла, основной и лобной пазух, а также для определения локализации инородных тел.
Аксиальные и передние полуаксиальные снимки выполняются при необходимости исследования всех структур основания черепа, костей средней зоны лица, в том числе глазниц, гайморовых пазух, скуловых костей.
ВНЕРОТОВЫЕ (экстраоральные) снимки челюстей выполняются как с помощью дентальных, так и других рентгеновских аппаратов. Используется рентгеновская пленка размером 13х18 или 18х24 см и соответствующие кассеты с усиливающими экранами. Внеротовые рентгенограммы выполняют для изучения нижней челюсти, скуловых костей, височно-нижнечелюстного сустава (ВНЧС), а также при сиалографии, фистулографии. Показаниями для таких снимков могут быть воспалительные, опухолевые, травматические повреждения челюстей, обширные кисты, поражения периодонта нижней челюсти при невозможности выполнения внутриротовых рентгенограмм. Для изучения состояния ВНЧС могут быть примененены специальные укладки по Шюллеру, по Парма. Снимки выполняются обязательно с обеих сторон для сравнения суставов.
ВНУТРИРОТОВАЯ рентгенография по-прежнему служит основой рентгенологического исследования при большинстве заболеваний зубов и пародонта. В настоящее время существуют четыре методики внутриротовой рентгенографии, используемые с целью изучения состояния зубов, пара- и периодонта:
1. Контактная рентгенография по правилу изометрии.
2. Интерпроксимальная рентгенография.
3. Рентгенография вприкус (окклюзионная).
4. Рентгенография с увеличеннием фокусного расстояния параллельным пучком лучей (длиннофокусная рентгенография).
На протяжении многих лет в рентгенодиагностике заболеваний зубов и периодонта в основном применялась методика контактной рентгенографии по правилу биссектрисы или изометрической проекции, разработанная Cieszinski (1907). Основной задачей исследований по этой методике является получение четкого изображения периапикальных тканей, поэтому центрация луча на кожу лица осуществляется в точку, соответствующую проекции вершины корня изучаемого зуба.
Одна из задач указанной методики – получение изображения зубов, идентичного их истинным размерам. Для уменьшения проекционных искажений в практической работе используют правило изометрии – центральный луч направляется на верхушку корня исследуемого зуба перпендикулярно к биссектрисе угла, образованного осью зуба и плоскостью пленки. Любое иное направление центрального луча приводит к удлинению либо к укорочению изображения зуба. При этом необходимо помнить, что допустимое укорочение изображения зуба не должно превышать 0,2, а удлинение – 0,1 от его истинных размеров.
Однако точное соблюдение правила изометрии, к сожалению, невозможно, т.к. сложно у каждого больного точно определить биссектрису угла, образованного осью зуба и плоскостью пленки. Поэтому пользуются углами наклона трубки, рассчитанными эмпирически для определенных групп зубов. Так, для снимков моляров угол наклона рентгеновской трубки к горизонтальной плоскости составляет 25-30°, для премоляров - 35°, клыков - 45°, резцов - 55°. При съемке этих же групп зубов методикой вприкус угол увеличивается на 20°.
Не менее важным является соблюдение правила орторадиальности, при использовании которого центральный луч в момент снимка направляется перпендикулярно к касательной, проведенной к зубной дуге верхней или нижней челюсти в области исследуемого зуба. При соблюдении данного правила изображение исследуемого зуба не накладывается на изображение соседних зубов.
При контактных снимках размер пленки 2х3 см, 3х4 см (последний формат выпускается в виде стандартных упаковок), для снимков вприкус размер пленки несколько больше - 5х6 см, 6х8 см. При отсутствии заводской упаковки используют специальную пленку для рентгенографии зубов РМ. Углы пленки обрезают, чтобы они не травмировали слизистую оболочку полости рта, и помещают в маленький конверт из светонепроницаемой бумаги, а затем в вощаную бумагу. Пакетик с пленкой вводят в полость рта, и больной плотно прижимает его к твердому небу и альвеолярному отростку исследуемой области первым пальцем кисти противоположной стороны. Рентгенография зубов обычно выполняется при положении больного сидя. Голова фиксирована на подголовнике в нужном положении.
При исследовании зубов верхней челюсти голове больного придается положение, при котором крылья носа и наружный слуховой проход находятся в плоскости, параллельной плоскости пола. Пленка вводится в полость рта так, чтобы край ее был параллелен окклюзионной плоскости и выступал на 0,5 см из-за края зубов, при этом снимаемый зуб должен находится в центре пленки. В таком положении пленка прижимается вторым или первым пальцами кисти больного к слизистой оболочке твердого неба. Верхушки корней зубов верхней челюсти обычно проецируются на кожу лица по линии, соединяющей крыло носа и козелок уха: при исследовании центральных резцов луч направляется на кончик носа, боковых – на крыло носа, клыков – на верхний отдел носогубной складки.
При рентгенографии нижней челюсти голова больного фиксируется на подголовнике так, чтобы линия, соединяющая угол открытого рта и козелок уха, находилась в плоскости, параллельной полу. Для этого больной откидывает голову несколько назад. Проекция верхушек корней зубов нижней челюсти на кожу лица соответствует линии, идущей на 1 см выше нижнего края челюсти. Центральный луч направляется снизу вверх и медиально на верхушку исследуемого зуба, соблюдая при этом величину углов для соответствующих групп зубов. При выполнении снимков по методике вприкус угол увеличивается на 20°.
В некоторых случаях приходится сознательно изменять проекцию луча для получения раздельного изображения корней многокорневых зубов или выяснения взаимоотношения корней с патологическими образованиями. В таких случаях используют косые внутриротовые проекции: мезодистальную (центральный луч направлен косо спереди медиально и назад) и дистомедиальную (луч направлен сзади медиально и вперед).
Таким образом, контактная рентгенография по правилу изометрии может быть использована для получения изображения зубов, идентичных их истинным размерам, для получения четкого изображения периапикальных тканей и для определения пространственных взаимоотношений объектов, локализующихся в зоне корней и периапикальных тканей.
В то же время методика изометрической съемки имеет существенный недостаток, она не позволяет оценить состояние краевых отделов межальвеолярных гребней, так как последние снимаются скошенным лучом, что приводит к укорочению их изображения.
Именно поэтому при диагностике заболеваний пародонта от нее следует отказаться.
Интерпроксимальная рентгенография применяется для получения четкого неискаженного изображения краевых отделов альвеолярных отростков челюстей. Метод позволяет объективно оценивать степень резорбции костной ткани в динамике и является лучшим способом выявления апроксимального и пришеечного кариеса.
Рентгеновская пленка с помощью специальных пленкодержателей помещается в полость рта параллельно коронкам зубов на некотором расстоянии от них, что позволяет получить изображение симметричных участков обеих челюстей. Для фиксации пленки можно использовать кусочек плотной бумаги, прикрепленный к обертке пленки и зажатый между сомкнутыми зубами. Центральный луч направляют перпендикулярно к коронкам и пленке. На рентгенограммах отображаются одновременно коронки зубов и краевые отделы альвеолярных отростков верхней и нижней челюстей. Для изучения всего прикуса выполняют 3-4 снимка.
Методика рентгенографии вприкус (окклюзионная). Простая и распространенная методика внутриротовой съемки. Снимки вприкус выполняют при необходимости исследования больших участков альвеолярного отростка – 4 и более зубов, при поисках ретинированных и дистопированных зубов. Рентгенографию вприкус применяют при обследовании детей, а также в тех случаях, когда невозможны внутриротовые контактные снимки (при повреждениях челюстей, тугоподвижности ВНЧС, повышенном рвотном рефлексе). Методика показана для получения изображения дна полости рта при подозрении на конкременты поднижнечелюстной и подъязычной слюнной желез, а также для изучения состояния твердого неба. Рентгенография вприкус позволяет оценить состояние наружной и внутренней кортикальных пластинок челюстей при кистах и новообразованиях, выявить реакцию надкостницы.
При проведении окклюзионной рентгенографии соблюдаются правила биссектрисы и касательной. Пленка размерами 5х6 или 6х8 см вводится между зубными рядами и удерживается за счет их смыкания.
При рентгенографии верхней челюсти пленка до предела глубоко вводится в ротовую полость и зажимается зубами. Больной сидит в стоматологическом кресле, среднесагитальная плоскость черепа перпендикулярна полу, а линия, соединяющая козелок уха и крыло носа, должна быть параллельна полу кабинета. Центральный луч под углом +80є направляется на корень носа. На снимке получает отображение значительная часть альвеолярного отростка верхней челюсти и дна носовой полости.
При снимках нижней челюсти голова больного запрокидывается назад так, чтобы линия от угла рта к козелку уха была параллельна полу кабинета. Центральный луч направляется перпендикулярно к пленке на 3-4 см кзади от подбородка. На рентгенограмме хорошо видны область дна полости рта, щечная и язычная кортикальные пластинки нижней челюсти, весь зубной ряд в аксиальной проекции.
Длиннофокусная рентгенография (съемка параллельными лучами) предложена Hilscher в 1960 г. и все чаще используется во многих странах вместо контактной внутриротовой рентгенографии. Длиннофокусная рентгенография позволяет избежать недостатков контактной съемки и сохранить ее положительные стороны: охват значительной части альвеолярного отростка по вертикали, полное изображение зуба, четкая структура костной ткани. Одним из важных достоинств съемки параллельными лучами является то, что изображение краевых отделов альвеолярных отростков не искажается, в связи с чем методика может быть рекомендована для широкого применения в пародонтологии.
Рентгеновская пленка располагается во рту параллельно длинной оси зуба, для чего используются специальные пленкодержатели или кровоостанавливающие зажимы (можно использовать также валики из ваты или марли).
Для длиннофокусной рентгенографии применяются аппараты с более мощной рентгеновской трубкой и длинным тубусом-локализатором (36-40 см минимально). Расстояние объект-пленка колеблется от 1,5 до 3 см, а центральный луч падает на пленку перпендикулярно или под углом не более 15°. Изображение и объект по размерам практически равны друг другу.
При выполнении любых способов рентгенографии зубочелюстного аппарата для исключения динамической нерезкости получаемого на снимке изображения непременным и важнейшим условием является полная неподвижность пациента. Для этой цели необходимо обеспечить стабилизацию больного с помощью удобного кресла с фиксирующим подголовником и подлокотниками. Обычно снимок производится через 3-4 секунды после команды: «не дышать».
В последние годы появилась новая отрасль лучевой диагностики – ЦИФРОВАЯ РЕНТГЕНОГРАФИЯ, которая представляет собой не столько самостоятельный метод рентгенодиагностики, сколько прогрессивную модификацию трансформации энергии рентгеновского пучка. Если при классической рентгенографии приемником излучения являлась рентгеновская пленка, то при цифровой - это высокочувствительные датчики, непосредственно формирующие цифровое изображение (прямая цифровая рентгенография), или электронно-оптические преобразователи, которые создают аналоговый видеосигнал, в дальнейшем с помощью аналогово-цифрового преобразователя превращаемый в цифровой сигнал. Цифровой код затем обрабатывается компьютером и трансформируется опять в видимое (аналоговое) изображение на экране монитора. Компьютерная обработка информации позволяет улучшить качество изображения путем манипуляций с контрастностью, яркостью, четкостью, размерами, путем устранения технических погрешностей, выделением зон интереса. Достоинствами цифровой рентгенографии являются также значительное снижение лучевой нагрузки (в десятки раз), экономических затрат (поскольку не используется дорогостоящая рентгеновская пленка), возможность архивирования информации. Принцип цифровой обработки информации используется также в компьютерной, магнитно-резонансной томографии и при некоторых режимах ультразвуковой диагностики. В настоящее время цифровая рентгенография стала ведущим методом лучевой диагностики.
Подобные системы используются широко и в стоматологической практике: это рентгеновские аппараты фирмы «Simens», аппараты финского производства «Дигора» и др. С их помощью можно получить внутриротовые рентгенограммы и панорамные томограммы.
Защита от рентгеновского излучения
Широкое применение рентгенологических исследований в стоматологии требует тщательного контроля за дозами, учитывая, что значительное число больных составляют лица детского и молодого возраста. Биологическое действие малых доз ионизирующих излучений, связанных с рентгенологическими исследованиями, не вызывает непосредственных лучевых реакций, но может обусловить так называемые стохастические отдаленные последствия в виде индуцированных злокачественных заболеваний, генетических последствий, сокращения срока жизни и пр.
Лучевая нагрузка на пациентов оценивается посредством эффективной эквивалентной дозы (ЭЭД), которая измеряется в микрозивертах (мкЗв) и определяется путем замера облучения жизненно важных и наиболее чувствительных к воздействию ионизирующей радиации органов (хрусталик глаза, головной мозг, щитовидная железа и др.).
Как видно из приведенной таблицы, особенно велики дозовые нагрузки при исследовании всего зубного ряда, выполненного на аппарате типа 5Д-1 и 5Д-2м без дополнительной защиты. Резко снижает лучевую нагрузку на пациента исследование с помощью ортопантомографа. Дополнительное экранирование, в том числе щитовидной железы, делает исследование еще более безопасным.

Таким образом. радиационная безопасность пациентов может быть обеспечена следующими путями:
· знанием врачом-стоматологом оптимальных алгоритмов обследования пациентов с различными видами патологии,
· знанием врачом-стоматологом величин радиационной нагрузки при различных методах рентгенологического исследования,
· экранированием жизненно важных и высокочувствительных органов пациента,
· диафрагмированием поля облучения,
· сокращением до минимума времени исследования, что обеспечивается качеством пленки и усиливающих экранов.
Специальные методы исследования
ПАНОРАМНАЯ РЕНТГЕНОГРАФИЯ (рис.1) – методика, позволяющая получить на одной пленке развернутое (несколько увеличенное) изображение одной из челюстей.

Рис.1. Панорамная рентгенограмма верхней челюсти
Для получения изображения применяется рентгеновский аппарат со специальной острофокусной рентгеновской трубкой. Анод рентгеновской трубки во время съемки вводится в полость рта пациента. При съемке верхнего зубного ряда фокус трубки располагают над языком на уровне пятых зубов, для съемки нижнего ряда – в области уздечки под языком. Рентгеновская пленка форматом 18х24 см помещается в гибкую полиэтиленовую кассету с усиливающими экранами высокой разрешающей способности. Во время съемки больной прижимает руками кассету к коже вокруг исследуемой области лица. Если кассета фиксирована неплотно, изображение структуры костей получается нечетким.
Поскольку фокус рентгеновской трубки максимально приближен к объекту исследования, а пленка находится на некотором расстоянии от зубов, обусловленном толщиной мягких тканей, изображение получается увеличенным почти в два раза. Благодаря этому обстоятельству на панорамных снимках различимы мелкие детали, плохо видимые на обычных рентгенограммах.
На панорамных снимках верхней челюсти получается также изображение верхнечелюстных пазух, полости носа, бугров верхней челюсти и скуловых костей. На нижней панорамной рентгенограмме хорошо видны нижнечелюстной канал и основание нижнечелюстной кости. На боковом панорамном снимке одновременно отображаются зубы верхнего и нижнего ряда каждой половины челюсти.
На основании панорамных снимков диагностируют кариес и его осложнения, воспалительные процессы, кисты, новообразования и травматические повреждения челюстей. Однако для оценки степени резорбции межальвеолярных гребней этот метод не пригоден.
Недостатком панорамной рентгенографии является также невозможность контролировать положение во рту аппликатора рентгеновской трубки.
Существенному облучению при этом методе исследования подвергается слизистая оболочка полости рта, поэтому панорамную рентгенографию рекомендуется использовать только при показаниях и не более 1-2 раз в год для каждого пациента. Дополнительная защита при этом виде рентгенографии малоэффективна, т.к. облучению подвергаются органы полости рта, находящиеся вне защитной зоны.
Следует иметь ввиду, что данная методика, в связи с появлением в последние годы более современных способов исследования, используется редко.
ЛИНЕЙНАЯ ТОМОГРАФИЯ или послойная рентгенография – метод, позволяющий устранить суммационный характер изображения и наиболее отчетливо выделить определенный плоский слой исследуемого органа или области. Суть метода заключается в синхронном перемещении трубки и пленки относительно больного. Четким получается изображение слоя, расположенного на уровне геометрической оси вращения рычага. Остальные элементы объекта размазываются в результате эффекта динамической нерезкости. Угол качания рентгеновской трубки при томографии составляет 30-60 є, толщина среза – 0,2-0,5 см. Обычно томография производится после выполнения обзорных рентгенограмм, позволяющих определить необходимую глубину среза.
В стоматологии томография применяется для изучения ВНЧС, при сложных переломах средней зоны лица, посттравматических деформациях, новообразованиях, воспалительных процессах и может выполняться в прямой и боковой проекциях. В последние 10-15 лет широкое применение в практике получила ЛИНЕЙНАЯ ЗОНОГРАФИЯ – послойное исследование с малым углом качания рентгеновской трубки (как правило, 8є). Преимуществом зонографии является получение более «толстых» срезов, что позволяет сократить число снимков, сделать процедуру более экономичной и безопасной в плане лучевой нагрузки и получить такую же информацию, какую дает серия томограмм.
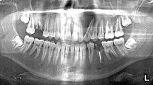
ОРТОПАНТОМОГРАФИЯ (панорамная томография) (рис.2) – метод, позволяющий получить изображение изогнутого слоя на плоской рентгеновской пленке. Во время съемки трубка и кассета с пленкой описывают неполную окружность вокруг головы больного (270є). Кассета при этом вращается еще вокруг собственной вертикальной оси, как бы «обкатывая» челюсти больного спереди. Рентгеновский луч проходит через щелевидную диафрагму шириной 2 мм, далее через анатомические структуры головы и лицевой части черепа и попадает на новые неэкспонированные участки пленки. Как и при линейной томографии, анатомические структуры, удаленные от пленки, проекционно увеличиваются, их изображение размывается. В современных ортопантомографах предусмотрены программы для изучения зубных рядов, костной структуры верхней, средней и нижней зон лицевого черепа, ВНЧС, а также краниовертебрального перехода, внутреннего и среднего уха, канала зрительного нерва. Имеется возможность изменять толщину и глубину изучаемого слоя.

Рис.2. Панорамная томограмма нижней зоны лица
Простота метода, большая информативность и относительно малая лучевая нагрузка позволяют широко использовать методику для диагностики практически всего спектра заболеваний челюстно-лицевой области.
К недостаткам метода следует отнести неодинаковую степень увеличения получаемого изображения, а также деформацию анатомических структур в некоторых типах аппаратов.
Метод ПАНОРАМНОЙ ЗОНОГРАФИИ (рис.3) является разновидностью ортопантомографии, позволяющей получить изображение более толстого слоя объекта (до 3 см), что повышает информативность метода.

Рис.3. Панорамная зонограмма средней зоны лица
ТЕЛЕРЕНТГЕНОГРАФИЯ – методика позволяющая получить изображение анатомических структур с минимальным проекционным увеличением. При телерентгенографии объект исследования и кассету с пленкой отодвигают от рентгеновской трубки на расстояние 2-2,5м и более. Увеличение изображения составляет 2-4% и им практически можно пренебречь. Телерентгенограммы черепа выполняют на пленках размером 24х30см. На снимках должны быть видны не только костные структуры, но и мягкие ткани челюстно-лицевой области, мягкое небо, язык, задняя стенка глотки. При необходимости мягкие ткани маркируют вязким контрастным веществом (йодолипол, барийодол и др.), на мягкое небо также наносят рентгеноконтрастные метки. В последующем по определенной схеме выполняют краниометрические расчеты. Несмотря на погрешности, возникающие при анализе телерентгенограмм, методика широко применяется в ортодонтии для диагностики и планирования лечения аномалий прикуса, а также для планирования хирургического лечения при врожденных и приобретенных деформациях челюстно-лицевой области.
КОМПЬЮТЕРНАЯ ТОМОГРАФИЯ позволяет получить поперечное послойное изображение любой области человеческого тела, в том числе черепа. Он основан на регистрации энергии пучка рентгеновского излучения, прошедшего через тело человека под различными углами при вращении трубки, высокочувствительными датчиками, которые преобразуют полученную информацию в электрические сигналы. Последние «оцифровываются» и поступают для анализа в компьютер, где программа позволяет рассчитать плотность каждого воксела (объемной единицы слоя) и представить ее на экране дисплея в виде пиксела соответствующей яркости. Для усиления контрастности тканей используется методика контрастного усиления. Серия поперечных срезов может быть трансформирована в плоскостное или объемное изображение в любой продольной плоскости.
Исследование необременительно для пациента, при исследовании челюстно-лицевой области не требует специальной подготовки.
КТ используется при диагностике заболеваний лицевого черепа и зубочелюстной системы: переломов, опухолей, кист, системных заболеваний, патологии слюнных желез и ВНЧС. Особенно показано КТ-исследование при процессах труднодоступных локализаций (решетчатый лабиринт, основная кость, крылонебная ямка и др.). В спиральных компьютерных томографах предусмотрена новая «дентальная» программа для изучения зубных рядов.
Однако использование данного метода сопряжено со значительной лучевой нагрузкой на пациента. Так, при КТ лицевого черепа поверхностная доза в 2-10, а доза на хрусталик глаза в 100 раз превышает таковую при рентгенографии и линейной томографии.
МАГНИТНО-РЕЗОНАНСНАЯ ТОМОГРАФИЯ (МРТ) - метод лучевой диагностики, основанный на регистрации энергии, испускаемой протонами ядер водорода внутренних сред человеческого тела при возвращении их из возбужденного состояния в исходное (т.н. релаксация). Резонансное возбуждение ядер и эффект сп’ина возникают под воздействием радиочастотных импульсов, генерируемых при взаимодействии магнита, создающего статическое магнитное поле, и дополнительной высокочастотной катушки. Последняя одновременно служит и для регистрации сигнала релаксации. Мощный компьютер анализирует получаемую информацию.
МРТ позволяет получить изображение слоев тела человека в любой плоскости - фронтальной, сагиттальной, аксиальной и др., которые затем можно реконструировать в объемные образы. Для усиления контрастности изучаемых тканей применяют химические вещества, содержащие ядра с нечетным числом протонов и нейтронов (соединения фтора, парамагнетики), которые изменяют время релаксации воды. Данный метод имеет преимущества в визуализации мягких тканей, таких как мышечная, жировая, хрящевая и т.п., что делает его применение особенно необходимым при исследовании ВНЧС, слизистых оболочек придаточных пазух носа и полости рта, слюнных желез и других мягкотканных структур головы и шеи. Метод необременителен для больного, не несет вредного воздействия на его организм. Противопоказанием для МРТ-исследования является наличие у пациента металлических инородных тел (в т.ч. некоторых типов коронок).
Методики искусственного контрастирования
Искусственное контрастирование широко используется в практической работе при исследовании: протоков слюнных желез (сиалография), свищевых ходов (фистулография), верхнечелюстных пазух (гайморография) и пр.
СИАЛОГРАФИЯ. На обзорных рентгенограммах слюнные железы обычно не видны, обнаружить можно лишь тени рентгеноконтрастных слюнных камней. Для исследования протоков слюнных желез в устье протока с помощью иглы с тупым концом или через тонкий катетер вводят 1,5-3 мл контрастного вещества до появления чувства напряжения в области железы. В качестве контрастных веществ применяют водорастворимые контрастные вещества повышенной вязкости или резко разжиженные и эмульгированные масляные препараты (дианозил, ультражидкий липойодол, этийодол, майодил и др.). Снимки выполняются в прямой и боковой проекциях. Для получения контрастного изображения одновременно всех больших слюнных желез показана также ортопантомография. Сиалография применяется для диагностики слюннокаменной болезни, воспалительных и опухолевых процессов.
ДВОЙНОЕ КОНТРАСТИРОВАНИЕ – методика заключается в одновременном введении в протоки слюнных желез липойодола, а в окружающие железу ткани – кислорода. Данная методика наиболее информативна в диагностике опухолевых процессов слюнных желез.
ФИСТУЛОГРАФИЯ – заполнение контрастным веществом свищевых ходов с целью изучения на снимке их протяженности, направления, связи с патологическим процессом. В качестве контрастного вещества используется подогретый йодолипол. Сразу же после введения контрастного вещества выполняют снимки в двух взаимно перпендикулярных проекциях.
АРТРОГРАФИЯ применяется для изучения состояния ВНЧС и в первую очередь для уточнения состояния внутрисуставного мениска. В полость сустава под контролем телевизионного экрана вводят 0,8-1,5 мл вязкого водорастворимого контрастного вещества и выполняют томограммы или зонограммы сустава с открытым и закрытым ртом.
АНГИОГРАФИЯ – методика исследования сосудов челюстно-лицевой области с использованием водорастворимых и неионных контрастных веществ (кардиотраст, верографин, гипак, омнипак, ультравист и др). Методика выполняется в условиях рентгенооперационной.
Ангиография применяется для диагностики заболеваний и аномалий сосудистой системы (гемангиомы, юношеские ангиофибромы основания черепа). В практике челюстно-лицевой хирургии данная методика применяется достаточно редко.
ГАЙМОРОГРАФИЯ – рентгенологическое исследование верхнечелюстных синусов после введения в них контрастного вещества путем прокола ее стенки, через лунку удаленного зуба (при наличии сообщения с синусом) или через свищевой ход. После аспирации содержимого пазухи вводят 3-7 мл слегка подогретого контраста (йодолипол, йодипин, липийодол и др.). Снимки выполняют в носо-подбородочной и боковой проекциях. Методика показана для диагностики кист, полипов пазух, продуктивных форм гайморита, опухолевых заболеваний.
УЛЬТРАЗВУКОВОЕ ИССЛЕДОВАНИЕ. Метод основан на эффекте регистрации отраженного ультразвукового излучения в пределах 1,0-2,0 Мгц и формирования линейного (статического) или многомерного (динамического) изображения. Метод отличается безвредностьью и информативностью при изучении мягких тканей. Достаточно широко используется при диагностике заболеваний слюнных желез, патологии мягких тканей шеи, лимфоузлов.
Список литературы
1. Аржанцев А.П. Диагностические возможности панорамной зонографии челюстно-лицевой области: Автореф. дис. … д-ра мед. наук: 14.00.21, 14.0019 / ЦНИИС МЗ РФ. - М., 1998. – 29 с.
2. Компьютерная томография в диагностике заболеваний головы и шеи / А.Г. Приходько, Ю.П. Ефимцев, В.В. Баженов и др.// Вестн. рентгенологии и радиологии. – 1991. - № 4. - С.38-43.
3. Линденбратен Л.Д. Медицинская радиология и рентгенология./ Линденбратен Л.Д., Королюк И.П – М. Медицина, 1993. – С. 438-504.
4. Ортопантомография в стоматологии: Метод. рекомендации / МЗ СССР; Разраб. ЦНИИ стоматологии; Сост.: Н.А. Рабухина, Э.И. Жибицкая, А.П. Аржанцев, Э.Г. Чикирдин. – М., 1989. - 17 с.
5. Рабухина Н.А. Зонография челюстно-лицевой области на панорамном томографе “Зонарк” / Н.А. Рабухина, Э.И. Жибицкая // Вестн. рентгенологии и радиологии. – 1986. - № 3. – С. 27-31.
6. Рабухина Н.А. Рентгенодиагностика в стоматологии / Н.А. Рабухина, А.П. Аржанцев. – М.: ООО “Мед. информ. агентство”, 1999. – 452 с.
7. Радиационная безопасность в челюстно-лицевой рентгенологии / Н.А. Рабухина, Р.В. Ставицкий, Э.В. Сахарова и др. // Вестн. рентгенологии и радиологии. — 1993. — № 3. — С. 55-57.
8. Рабухина Н.А. Современное состояние челюстно-лицевой рентгенологии // Новое в стоматологии. — 1993. — № 1. — С. 2-18.
9. Bergstedt H. Zonarc: a new unit for X-raytomography of the skull and cervical spine / H. Bergstedt, M. Heverling // Electromedica. - 1985. – Vol. 53, № 4. - P. 168-173.
10. Radiation doses during panoramic zonography, linear tomography and plain film radiography of maxillo-facial skeleton / P. Paukku, J. Gothlin, S. Totterman e.a. // Eur. J. Radiol. – 1983. - Vol. 3, № 3. – P. 239-241.