Сколиоз (работа 3)
1
Содержание
стр.
Введение 2
Глава 1 Сколиоз – патология опорно–двигательного аппарата 4
Глава 1.1 Общее определение 4
Глава 1.2 Формы болезни 5
Глава 1.3 Сколиоз и сопутствующие болезни, и синдромы (некоторые из встречаемых) 5
Глава 2 Этиологические различия сколиоза 10
Глава 2.1 Признаки сколиоза 11
Рентгенологический признак завершенности прогрессирования сколиоза. 13
Рентгенологический признак прогрессирования сколиоза. 13
Глава 2.2 Четырехстепенная классификация сколиоза 14
Глава 3 Лечение сколиоза 15
Глава 3.1 Основные методы лечения 15
Глава 3.2 Примерные комплексы упражнений для больного сколиозом 24
Глава 3.2.1 Упражнения, которые не рекомендованные для больных сколиозом (исключающиеся при лечении) 27
Заключение 28
Приложения I
Введение
В нашей жизни часто приходится вести неподвижный образ жизни, много нервничать, переживать, также часто нарушать режим питания - в итоге мы получаем то состояние, в котором пребывает 90% населения. Начинается этот процесс, как правило, незаметно, с отдельных суставов или сегментов позвоночника. Очень часто он сопровождается возникновением различных деформаций, смещением либо нарушением функций внутренних органов.
Боль, особенно в двигательной системе - проклятье, которое всегда висело над человечеством. Любая локализованная болевая стимуляция будет действовать в сегменте, которым иннервирована стимулированная структура. В этом сегменте обычно наблюдается повышенная болезненность кожного покрова, мышечный спазм, болезненные точки, ограничение подвижности позвоночного сегмента и какие-либо нарушения функций внутренних органов.
Данный реферат посвящен целиком и полностью одной из болезней спины встречающейся чаще всего во врачебной практике любого врача хирурга – ортопеда от детского возраста до пожилого – сколиоз. Так что, сколиоз– это одна из наиболее актуальных проблем современной ортопедии. Множество теорий его происхождения (и отсутствие единой теории), большое количество подходов и показаний, как к консервативному, так и к оперативному лечению при совершенно скромных, на мой взгляд, успехах и того и другого) - все это оставляет ощущение «недодуманности» и «недоделанности», неудовлетворенности даже при получении неплохого результата лечения человека с этим заболеванием. У меня (и, скорее всего, – не только у меня) складывается впечатление, что сколиоз течет и развивается сам по себе – «у семи нянек дитя без сглазу»... При положительных результатах благодаришь БОГА и врача за столь благоприятное течение болезни, а при отрицательных – ставишь в вину врачу за несвоевременность диагноза, непредсказанное прогрессирование, бессилие в выборе метода лечения...
Глава 1 Сколиоз – патология опорно–двигательного аппарата
Глава 1.1 Общее определение
Сколиоз – заболевание, в основе которого лежат врожденные нарушения соединительной ткани. Больные сколиотической болезнью страдают дисплазией тазобедренных суставов, плоскостопием, аномалиями пояснично-крестцового отдела позвоночника, желчевыводящих и мочевыводящих путей.
В постепенном развитии сколиотической деформации различают следующие основные этапы:
торсия;
боковое искривление;
наличие элементов кифоза;
деформация грудной клетки;
усиление поясничного лордоза в поясничном отделе позвоночника;
остеохондроз в старшем возрасте у подростков;
вторичные изменения таза;
односторонняя контрактура мышц;
смещение сердца и сосудов;
сдавление легкого на стороне западения грудной клетки;
изменение положения спинного мозга и корешков.
В конечном счете, возникает весьма сложная деформация позвоночника, тела, внутренних органов.
Сколиоз – это боковое искривление позвоночника во фронтальной плоскости. Реберный горб, который при этом наблюдается, образует деформацию с выпуклостью вбок и кзади - кифосколиоз.
Сколиоз встречается гораздо чаще, чем об этом думают. По данным Петербургского детского ортопедического института им. Г. И. Турнера, у 40% обследованных школьников старших классов выявлено нарушение статики, требующее лечения. Название сколиоз получает по уровню изгиба: шейный, грудной или поясничный и соответственно выпуклой стороны искривления. Таким образом, можно встретить, например правосторонний грудной сколиоз.
Глава 1.2 Формы болезни
Сколиоз может быть простым, или частичным, с одной боковой дугой искривления, и сложным – при наличии нескольких дуг искривления в разные стороны и, наконец, тотальным, если искривление захватывает весь позвоночник. Он может быть фиксированным и нефиксированным, исчезающим в горизонтальном положении, например при укорочении одной конечности. Одновременно со сколиозом обычно наблюдается и торсия его, т.е. поворот вокруг вертикальной оси, причем тела позвонков оказываются обращенными в выпуклую сторону, а осистые отростки в вогнутую. Торсия способствует деформации грудной клетки и ее асимметрии, внутренние органы при этом сжимаются и смещаются.
Глава 1.3 Сколиоз и сопутствующие болезни, и синдромы (некоторые из встречаемых)
Сколиотическая болезнь, или сколиоз, в отличие от функциональных искривлений позвоночника во фронтальной плоскости, характеризуется прогрессирующей в процессе роста клиновидной и торсионной деформацией позвонков, а также деформацией грудной клетки и таза. Структуральный сколиоз развивается при некоторых обменных заболеваниях, приводящих к функциональной неполноценности соединительно-тканных структур - синдроме Марфана, синдроме Элерса-Данлоса, гомоцистинурии, рахите. При этих заболеваниях сколиотическая деформация выступает в качестве одного из симптомов, причем не самого главного. Статическим сколиозом принято называть структуральный сколиоз, первичной причиной которого является наличие статического фактора - асимметричной нагрузки на позвоночник, обусловленной врожденной или приобретенной асимметрией тела (например, асимметрией длины нижних конечностей, патологией тазобедренного сустава или врожденной кривошеей). При статическом сколиозе темп прогрессирования и тяжесть деформации зависят от соотношений выраженности статического фактора и фактора функциональной несостоятельности структур, обеспечивающих удержание вертикального положения позвоночника. При хорошем функциональном состоянии мышечно-связочного аппарата и межпозвонковых дисков искривление позвоночника может длительно оставаться функциональным по характеру или вовсе не приводить к развитию прогрессирующего сколиоза. До тех пор, пока пульпозное ядро межпозвонкового диска межпозвонкового диска сохраняет центральное положение, передаваемое на диск давление веса тела распределяется равномерно по всей площади опорной площадки нижележащего позвонка, не вызывая прогрессирующей клиновидно-торсионной деформации. Если же при наличии незначительно выраженного статического фактора слабы компенсаторные механизмы или имеется функциональная неполноценность соединительно-тканных структур, сколиотический фактор формирует и обусловливает прогрессирование деформации. При функциональной несостоятельности мышц большая часть нагрузки по удержанию вертикальной позы переносится на связки. Достаточная степень натяжения связок достигается за счет значительного увеличения угла искривления позвоночника, приводящего к увеличению нагрузки на межпозвонковые диски, стойкому боковому смещению пульпозного ядра и формированию, таким образом, сколиотического фактора. Статическая компенсация грубой асимметрии тела может достигаться за счет значительного искривления позвоночника. При этом межпозвонковые диски подвергаются большой асимметричной нагрузке, которая приводит к формированию сколиотического фактора даже при отсутствии диспластических изменений, слабости мышц и конституциональной слабости соединительно-тканных структур. При сколиотической болезни, выделяемой в отдельную нозологическую форму, искривление позвоночника - главный симптом. Термином "сколиотическая болезнь" объединяют врожденный, диспластический и идиопатический сколиоз (т.е. сколиоз неясного генеза). Врожденный сколиоз обусловлен грубыми пороками развития скелета, такими, как добавочные боковые клинопозвонки позвонки. При врожденном сколиозе форма искривления находится в прямой зависимости от локализации и характера аномалий.
Причина развития диспластического сколиоза - дисплазия межпозвонкового диска, выражающаяся в эксцентричном расположении пульпозного ядра. При диспластическом сколиозе часто выявляются такие костные аномалии, как незаращение дужек позвонков, нарушение тропизма суставных отростков, люмбализация S - I, сакрализация L - V, свидетельствующие о наличии "диспластического синдрома".
При так называемом идиопатическом сколиозе современными средствами обследования не удается выявить непосредственной причины развития искривления позвоночника.
В юношеском возрасте иногда возникает другая, более опасная форма искривления позвоночника, точная причина которого неизвестна. Здесь идет речь о болезни Шейерманна-Мау. Заболевание возникает вследствие неровности площадок тел пораженных грудных, реже верхних поясничных позвонков. Пораженные позвонки отстают в росте в высоту, здесь формируется кифоз, позже - истончение межпозвонковых дисков. Деформация в этом случае бывает очень сильной, ощущаются боли и чувство "скованности" в области позвоночника, быстрая утомляемость. Для подростков, о которых идет речь, искривление влечет за собой также значительные психологические травмы. Механогенез развития деформации при болезни Шейерманна-Мау представляется следующим образом:
Первично возникшая патологическая кифотическая деформация в грудном отделе позвоночника приводит к смещению центра тяжести туловища кпереди. В ответ для компенсации этого патологического состояния происходит откидывание всего туловища кзади за счет разворота таза в тазобедренных суставах, поскольку этот механизм компенсации является наиболее эффективным.
Вновь возникшая биомеханическая ситуация приводит к изменению нагрузок в поясничном отделе позвоночника, который, будучи менее жестким, чем грудной отдел, под действием увеличившихся изгибающих нагрузок за счет увеличения плеча силы продолжает изгибаться, что приводит к постепенному усилению поясничного лордоза. Продолжающееся усиление лордоза неминуемо приводит к утрате вертикального положения туловища. Для предотвращения этой ситуации по мере усиления поясничного лордоза происходит постепенное возвращение таза в нормальное положение.
Создавшаяся новая патологическая биомеханическая ситуация равновесия системы не исключает дальнейшего прогрессирования как грудного кифоза, так и поясничного лордоза. Включившиеся в процесс компенсации мышцы туловища фиксируют положение таза и тем самым выключают первоначальный механизм компенсации. Теперь продолжающееся увеличение грудного кифоза может быть компенсировано только за счет сгибания в коленных и тазобедренных суставах, т.к. физиологические возможности переразгибания поясничных двигательных сегментов также исчерпаны. Сгибание в коленных и тазобедренных суставах наиболее отчетливо сказывается на изменении пространственного положения грудного отдела позвоночника, что проявляется в изменении положения хорды его дуги.
Формируется типичная поза больного, которая позволяет удержать туловище в вертикальном положении, но не предотвращает медленного прогрессирования грудного кифоза, который с возрастом и по мере завершения перестройки тел позвонков становится ригидным.
Возникающая инклинация в истинных суставах поясничного отдела позвоночника приводит к возникновению болевого синдрома, а нарастающая деформация - к появлению неврологических симптомов конфликта спинного мозга и позвоночного канала.
Глава 2 Этиологические различия сколиоза
Этиологически различают сколиозы врожденные (по В.Д.Чаклину ) и приобретенные (по Дж. Коббу).
В основе врожденных лежат различные деформации позвонков:
недоразвитие;
клиновидная их форма;
добавочные позвонки и.т.д.
К приобретенным сколиозам относятся:
ревматические, возникающие обычно внезапно и обуславливающиеся мышечной контрактурой на здоровой стороне при наличии явлений миозита или спондилоартрита;
рахитические, которые очень рано проявляются различными деформациями опорно-двигательного аппарата. Мягкость костей и слабость мышц, ношение ребенка на руках (преимущественно на левой), длительное сидение, особенно в школе, - все это благоприятствует проявлению и прогрессированию сколиоза;
паралитические, чаще возникающие после детского паралича, при одностороннем мышечном поражении, но могут наблюдаться и при других нервных заболеваниях;
привычные, на почве привычной плохой осанки (часто их называют “школьными”, так как в этом возрасте они получают наибольшее выражение). Непосредственной причиной их могут быть неправильно устроенные парты, рассаживание школьников без учета их роста и номеров парт, ношение портфелей с первых классов, держание ребенка во время прогулки за одну руку и.т.д.
Этим перечнем, конечно, охватываются не все виды сколиозов, а лишь основные.
Глава 2.1 Признаки сколиоза
Сколиоз относится к числу наиболее сложных проблем современной ортопедии.
Это заболевание характеризуется целым комплексом типичных морфологических, а следовательно, рентгенологических изменений позвоночника, грудной клетки, таза, внутренних органов. Сколиоз в современном представлении - это не симптомы какого-либо заболевания, а полиэтиологическая болезнь, характеризующаяся определенным комплексом симптомов. Сколиоз - нередкое заболевание детского и подросткового возраста.
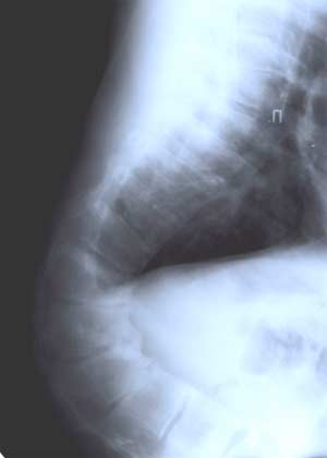
Существует объективный симптом (так называемый признак Риссера, по имени автора, описавшего его), по которому можно судить об окончании формирования скелета. На рентгенограмме таза видны ростковые зоны крыльев подвздошных костей (на них-то мы и опираемся). Эти точки окостенения закрываются у человека последними. На снимке они выглядят, как легкое облачко, парящее над гребнями подвздошных костей. Если это "облачко" исчезло - приросло к кости, - значит, рост окончен. Так происходит у мальчиков лет в 16-18, а у девочек немного раньше - до 16 лет.
В более позднем возрасте, после окончания формирования скелета, сколиоз может прогрессировать только за счет сопутствующей болезни (нейрофиброматоз, сирингомиелия и других). Как же измерить степень искривления?
До сих пор в ортопедии принято множество методик измерения угла искривления позвоночника, и, соответственно, множество различных классификаций с разными величинами углов в градусах. Измеряется искривление так: на рентгенограмме надо провести несколько прямых линий между позвонками, а затем измерить углы между ними. В нашей стране наиболее распространена классификация, предложенная В.Д. Чаклиным. В иностранных научных источниках чаще приводится метод Дж. Кобба. Суть его заключается в следующем: на рентгеновском снимке позвоночника врач измеряет S-образное двойное искривление. В верхнем участке искривления с помощью линейки проводят две горизонтальные линии: одна над верхним позвонком, от которого идет кривизна, другая - над нижним. Если провести еще две линии, идущие перпендикулярно первым, образуется угол. Его и измеряют в градусах
Как видно, принцип измерения как у русского, так и американского профессора практически одинаковый. Разница в том, что по Чаклину, чем больше градусов, тем легче степень болезни, а по Коббу - наоборот.
Классификация выраженности сколиоза по В.Д. Чаклину (слева), по Лж. Коббу (справа) Степени тяжести сколиоза (углы искривления позвоночника, в градусах) Графический расчет на рентгенограмме: а - I степень; б - II степень; в - III степень; г - IV степень.
|
По В.Д. Чаклину |
По Дж. Коббу |
|
I степень 180 - 175 |
меньше 15 |
|
II степень 175-155 |
20-40 |
|
III степень 155-100 |
40-60 |
|
IV степень меньше 100 |
больше 60 |
О неблагоприятном прогнозе свидетельствуют два обстоятельства:
первое – прогрессирование болезни. Это подтверждается изменением угла искривления позвоночника по сравнению с предыдущими снимками (вот здесь-то крайне важен "семейный альбом" ваших рентгенограмм);
второе – незаконченное формирование скелета (ростковые зоны костей еще не закрылись, о чем свидетельствует вышеупомянутый признак Риссера), а это может предполагать дальнейшее увеличение деформации.
Рентгенологический признак завершенности прогрессирования сколиоза.
Окончание оссификации апофизов гребней подвздошных костей в возрасте 16-18 лет. Задержка оссификации апофизов тел позвонков наблюдается как при идиопатическом (диспластическом) так и при паралитическом сколиозе на вогнутой стороне. На выпуклой стороне искривления характерно образование реберного горба (чем больше искривление тем больше острый угол реберного горба).
Рентгенологический признак прогрессирования сколиоза.
Начало периода оссификации кольцевых апофизов тел позвонков, т. е. с началом периода интенсивного роста скелета. Это, как правило, с 8 до 15-16 лет.
Приведенные выше признаки прогрессирования сколиоза имеют существенное значение в диагностике этого заболевания и в выявлении наиболее неблагоприятно претекающих его форм. Раннее выявление таких форм позволяет своевременно прибегнуть к оперативному вмешательству.
Глава 2.2 Четырехстепенная классификация сколиоза
Первая степень.
Клинически определяется небольшая ассиметрия частей корпуса (надплечий, лопаток), линия остистых отростков слегка искривлена. На выпуклой стороне искривления позвоночника может определяться небольшой мышечный валик. Появляются начальные признаки торсии позвонков. Рентгенологически угол искривления позвоночника до 10°.
Вторая степень.
Ассиметрия частей корпуса становится более выраженной, появляется небольшое отклонение корпуса в сторону. Мышечный валик четко определяется. Рентгенологически отмечается ясная торсия и небольшая клиновидная деформация позвонков. Угол искривления позвоночника
от 10° до 25°.
Третья степень.
Ассиметрия частей корпуса увеличивается. Грудная клетка резко деформирована: сзади на выпуклой стороне дуги искривления позвоночника - задний реберно-позвоночный горб, спереди на вогнутой стороне - менее выраженный передний реберный горб. В поясничном разделе часто усилен лордоз. На рентгенограмме - выраженная торсия и клиновидная деформация позвонков и дисков. Угол искривления позвоночника от 25° до 40°.
Четвертая степень.
Деформация позвоночника и грудной клетки становится грубой и фиксированной. Угол искривления позвоночника более 40°.
Глава 3 Лечение сколиоза
Глава 3.1 Основные методы лечения
Лечение сколиоза сводится к трем основным методам: мобилизация позвоночника, коррекция деформации и удержание коррекции. Все это достигается с помощью средств ЛФК или путем применения редрессирующих корсетов, гипсовых кроваток, специальных тяг либо комбинированными способами, включающими в себя все перечисленные выше средства. Основным методом лечения сколиоза в настоящее время принято считать комбинированный.
В комплексной; терапии сколиотической болезни используют в основном корригирующие, асимметричные и симметричные упражнения. Корригирующие упражнения предусматривают максимальную мобилизацию позвоночника, на фоне которой проводится коррекция дуги искривления с помощью специальных противоискривляющих (корригирующих) упражнений (рис. 1.1). Асимметричные упражнения также базируются на принципе коррекции позвоночника, однако отличаются оптимальным воздействием на его кривизну, умеренным растягиванием мышц и связок на вогнутой дуге искривления и дифференцированным укреплением ослабленных мышц на выпуклой стороне.
В основе симметричных упражнений лежит принцип минимального биомеханического воздействия специальных упражнений на кривизну позвоночника. Эти упражнения не требуют учета сложных биомеханических условий работы деформированной опорно-двигательной системы, что снижает до минимума риска их ошибочного применения. Симметричные упражнения оказывают неодинаковое воздействие на симметрично расположенные мышцы туловища, которые в результате деформации позвоночника находятся в физиологически несбалансированном состоянии. Слабым мышцам туловища (например, длинным мышцам) при каждом симметричном движении предъявляются повышенные функциональные требования, вследствие чего они тренируются интенсивней, чем более сильные мышцы. Это явление — суть коррекции нервно-мышечного аппарата и создания уравновешенного «мышечного» корсета.
При развитии деформации с последующей торсией существенно нарушаются дыхательная функция и сердечная деятельность, вплоть до развития легочного сердца.
Дыхательные упражнения при сколиозе повышают функциональные возможности дыхательной и сердечно-сосудистой систем, способствуют активной коррекции позвоночника и грудной клетки.
Нарушение параллельности плоскостей таза и плечевого пояса наступает тогда, когда поворот одного отдела позвоночника вокруг вертикальной оси не может быть компенсирован поворотом вокруг той же оси в другом отделе. Деторсионные упражнения, направленные на устранение таких деформаций, предусматривают вращение позвонков в сторону, противоположную торсии, в области сколиоза; коррекцию сколиоза с выравниванием таза; растягивание сокращенных и укрепление растянутых мышц в поясничном и грудном отделах (рис. 1.2).
Деторсионные упражнения выполняют из исходных положений лежа, стоя на четвереньках, на наклонной плоскости, в висе на гимнастической стенке, после предварительного расслабления мышц.
Разгрузка позвоночника при лечении, сколиоза является необходимым условием для специального и локального воздействия на него. Положение разгрузки не только позволяет более эффективно воздействовать на зону костной деформаций, но и улучшить крово- и лимфообращение в окружающих мышцах и связках. Часто разгрузку комбинируют с вытяжением на наклонной плоскости. К пассивному вытяжению относится длительное лежание на функциональной кровати с приподнятым головным концом (используют продольное и поперечное вытяжение) Продольная тяга осуществляется с помощью манжетки, надеваемой на Фазовый пояс с грузом 5—1.0 кг. Активное вытяжение достигается с помощью специальных упражнений (рис. 1.3).
При лечении сколиозов применяют коррекцию дуги искривления позвоночника и воздействие на отдельные измененные мышечные группы. Активная коррекция слагается из активных корригирующих движений с элементом волевого воздействия. Пассивная коррекция заключается в применении массажа, вытяжения, ортопедических корсетов, валиков и др.
Основные задачи ЛФК: оздоровление организма больного; создание уравновешенного «мышечного» корсета туловища; улучшение функционального состояния сердечно-сосудистой и дыхательной систем.
Частные задачи ЛФК определяются в соответствии со степенью, формой сколиоза, характером его течения.
Средства и формы ЛФК. В занятия Л Г включают общеразвивающие и специальные физические упражнения.
При сколиозе I степени могут быть использованы многие виды физической культуры, ведущие к более гармоничному развитию (лыжи, коньки, плавание, волейбол, баскетбол, теннис и др.). Большое внимание следует уделять закаливанию организма. Проводится симметричная тренировка всех групп мышц, используются динамические и статические упражнения, упражнения с сопротивлением и отягощением. Для тренировки дыхания показаны динамические и статические дыхательные упражнения. Все упражнения следует выполнять из исходных положений лежа на спине и на животе.
При сколиозе II степени на фоне общеукрепляющих упражнений применяют самокоррекцию, асимметричную коррекцию, деторсионные упражнения (по показаниям). Обязательны дыхательные упражнения.
И. И. Кон предлагает метод корригирующего воздействия на позвоночник. Лечение оказывается эффективным у больных со сколиозом I — II степени. Исходное положение — лежа на спине, нога на стороне вогнутости искривления, согнутая под углом 90° С, преодолевает сопротивление груза, который крепится у ножного конца кровати. При динамическом упражнении масса груза колеблется от 5 до 15 кг, а количество движений — от 10 до 50. При статической нагрузке масса варьирует от 10 до 40 кг, а время удержания его — от 10 до 30 с. Это упражнение рассчитано на сокращение главным образом подвздошно-поясничной мышцы, уменьшающее сколиотическую дугу, торсию и лордоз.
Рисунки

Рис. 1.1. Корригирующие упражнения.
а — активная коррекция — выравнивание позвоночника к треугольников
талии; б—корригирующие упражнения с гантелями

Рис. 1.1. Продолжение.
в — активно-пассивная коррекция позвоночника при правостороннем грудном и левостороннем поясничном сколиозе; г — пассивная коррекция на наклонной плоскости при правостороннем грудном и левостороннем поясничном сколиозе


Рис. 1.2. Деторсионные упражнения.
а — комбинированное упражнение при правостороннем грудном и левостороннем поясничном сколиозе; б — упражнения при левостороннем поясничном сколиозе (на наклонной плоскости).

Р
ис.
1.3. Упражнения, направленные на вытяжение
позвоночника а
— самовытяжение с опорой рук на крылья
подвздошных костей, б –– вытяжение
позвоночника с отталкиванием мяча
подбородком,

Рис. 1.3. Продолжение.
в—вис на гимнастической стенке; г — потягивание вверх, стоя на
гимнастической палке.
Глава 3.2 Примерные комплексы упражнений для больного сколиозом
Комплекс 1. Упражнения для формирования и закрепления навыка правильной осанки
Исходная позиция –– стоя.
1. Принятие правильной осанки за счет касания стены или гимнастической стенки ягодичной областью, икроножными мышцами и пятками. Отойти от стены на 1—2 шага, сохраняя правильную осанку.
Исходная позиция –– лежа на спине, руки вдоль туловища.
2. Голова, туловище, ноги составляют прямую линию. Приподнять
голову и плечи, вернуться в исходную позицию.
3. В правильном положении прижать поясничную область к полу. Встать, принять правильную осанку.
Комплекс 2. Упражнения для укрепления «мышечного корсета»
Для мышц спины:
Исходная позиция ––лежа на животе, подбородок на тыльной поверхности кистей, положенных одна на другую.
1. Перевести руки на пояс, приподнимая голову и плечи, лопатки соединить, живот не поднимать, удерживать принятое положение,
2. Приподнимая голову и плечи, медленно перевести руки вверх, в стороны, к плечам.
3. Поднять голову и плечи; руки, в стороны; сжимать и разжимать кисти рук.
4. Поочередное поднимание прямых ног, не отрывая таза от пола.
Темп медленный.
5. Приподнимание обеих прямых ног с удержанием 10—15 с.
Для мышц брюшного пресса:
Исходная позиция ––лежа на спине, поясничная область прижата к опоре.
1. Сгибать и разгибать ноги в коленных и тазобедренных суставах поочередно.
2. Согнуть обе ноги, разогнуть вперед, медленно опустить.
3. Поочередное сгибание и разгибание ног на весу — «велосипед».
4. Руки за головой. Поочередное поднимание прямых ног вперед.
То же упражнение в сочетании с различными движениями рук.
Симметричные корригирующие упражнения:
Исходная позиция — лежа на животе, подбородок на тыльной поверхности кистей, положенных одна на другую, локти разведены в стороны, положениетуловища и ног –– прямое.
1 Поднять руки вверх, тянуться в направлении рук головой, не поднимая подбородка, плеч и туловища; и вернуться в исходную позицию.
2. Сохраняя срединное положение позвоночника, отвести назад прямые руки; ноги, разогнутые в коленных суставах, приподнять — «рыбка».
3. Приподнять голову и грудь, поднять вверх прямые руки, при поднятии –– прямые ноги, сохраняя правильное положение тела, несколько раз качнуться — «лодочка».
В качестве симметричных могут быть использована, другие упражнения для укрепления мышц брюшного пресса и спины из и. п. лежа при условии сохранения симметричного положения частей тела относительно оси позвоночника.
Асимметричные корригирующие упражнения:
1 Исходная позиция, стоя перед зеркалом, сохраняя правильную осанку, поднять плечо с поворотом его внутрь на стороне вогнутости грудного сколиоза.
2 Исходная позиция, лёжа на животе, руки вверх, держась за рейку гимнастической стенки. Приподнять напряженные ноги и отвести их в сторону выпуклости поясничного сколиоза.
3. Ходьба на гимнастической скамейке с мешочком на голове и отведением ноги в сторону выпуклости поясничного сколиоза.
Упражнения для укрепления мышц спины:
1) Исходная позиция –– стоя, руки за головой. С силой отведите руки в стороныи, подняв руки вверх, прогнитесь. Замрите на 2-4 секунды и вернитесь в и.п. Повторите 6-10 раз. Дыхание произвольное.
2) Исходная позиция –– стоя и держа за спиной гимнастическую палку (верхний конец прижат к голове, нижний - к тазу). Присядьте, вернитесь в исходную позицию. Наклонитесь вперед, вернитесь в исходную позицию. И, наконец, наклонитесь вправо, затем влево. Каждое движение выполнить 8-12 раз.
3) Исходная позиция –– лежа на животе. Опираясь на руки и, не отрывая бедер от пола, прогнитесь. Замрите в этом положении на 3-5 секунд, затем вернитесь в исходную позицию.
4) Исходная позиция –– стоя на шаг от стены. Коснувшись руками стены, прогнитесь назад, подняв руки вверх, и вернитесь в исходную позицию. Повторить 5-8 раз. Стоя у стены прижмитесь к ней затылком, лопатками, ягодицами и пятками. Затем отойдите от стены и старайтесь как можно дольше удерживать это положение тела. Если вы работаете сидя периодически «вжимайтесь» спиной и поясницей в спинку стула, а если есть высокий подголовник с усилием упирайтесь в него головой.
При консервативном лечении недостаточно ограничиваться занятиями Л Г. Следует шире использовать элементы спорта (под наблюдением врача) и физическую культуру (ходьба на лыжах, катание на коньках, плавание и др.). Если консервативные методы лечения недостаточно эффективны и сколиоз прогрессирует, показана костнопластическая фиксация позвоночника. Ранняя операция может предупредить развитие III степени сколиоза, поздняя — снять боли.
Рекомендуется массаж мышц спины, живота и тазового пояса: при сколиозе I степени — общеукрепляющий, а при сколиозе II—III степени — дифференцированный. Курс массажа предусматривает 15—20 процедур.
В связи с тем, что пациенты, страдающие сколиотической болезнью, предъявляют жалобы на боли в ногах, повышенную утомляемость при физической нагрузке в мышцах ног, в занятия Л Г необходимо включать специальные упражнения, направленные на укрепление связочно-мышечного аппарата стоп, восстановление опороспособности конечностей.
Глава 3.2.1 Упражнения, которые не рекомендованные для больных сколиозом (исключающиеся при лечении)
Для больных сколиозом во всех формах и стадиях заболевания не рекомендуются упражнения которые увеличивают гибкость позвоночника и приводящие к его перерастяжению.
Это главное правило врачей ортопедов согласно принципу главной врачебной клятвы – Гиппократа: «не навреди».
Заключение
В своём реферате я раскрыл с разных точек зрения, причины заболевания, признаки болезни и основные методы лечения.
Данная тема остаётся актуальной, так как развитие болезней спины и одновременно разнообразие методов выявления этих болезней и лечения вместе с устранением побочных явлений лечения современной медициной открыты не полностью. Как было сказано выше эти проблемы волновали человечество, во всём времени его развития начиная с самих истоков.
Итак подводя итог своей работе хотелось бы ещё раз отметить, что сколиоз –– болезнь сложная, но излечимая.
Лечение зависит от возраста больного, типа сколиоза и степени деформации позвоночника. Но главное –– от самого желания больного излечиться и исправить свой образ жизни с отрицательного на здоровый.
Самое главное в лечении и профилактике: утренняя гимнастика, оздоровительная тренировка, активный отдых –– необходимый каждому человеку двигательный минимум и складывается он из ходьбы, бега, гимнастики и плавания. А это и есть нормальный и типичный (здоровый) образ жизни.
Список используемой литературы1:
«Большая медицинская энциклопедия», Москва, 1985г.
Журнал «Здоровье» статьи2 начиная с 1980года.
Журнал «Сила и красота»
«Домашний Доктор» серия из 4-х книг («Советы американских врачей») –– «Ридерз Дайджест», Москва 2000-2004 г.
Соколов Д. «Секреты вашего здоровья»
Кривцов А. Г. «Старинные народные и современные методы лечения спины»,1990г., Ростов -на-Дону
«Точечный массаж и ваше самочувствие», (рекомендации в помощь медработникам), 1989г., Ростов-на-Дону
Напалков П.Н. Смирнов А.В. Шрайбер М.Г., Хирургические болезни, Медицина 1969 г.
www.Scolioz.ru
www.dental.am
www.manualpro.webs.com.ua
www.chinesems.ru
Приложения
|
К, сожалению сколиотическая болезнь,
со всеми ее проявлениями на сегодня
занимает одно из первых мест в ортопедии.
Число больных с данной патологией
неуклонно из года в год растет. Если еще
в 60-е годы мы могли ожидать, что на 1000
родов к ортопедам обратиться только
2-3 ребенка, то в настоящее время по данным
разных авторов диспластический сколиоз
среди заболеваний опорно-двигательного
аппарата у детей занимает уже от 8 до
17%. С наличием деформации позвоночника
и грудной клетки можно жить и можно
найти свое место в жизни, но развивающиеся
патологические изменения со стороны
внутренних органов приводят к значительному
ее сокращению. По данным ВОЗ средний
возраст жизни при тяжелых формах
деформации составляет 34-36 лет. И погибают
такие больные, как правило, от
сердечно-легочной недостаточности.
|
В
10 - 15 лет, в период бурного прогрессирования
деформации, на первый план выступает,
нарастающий косметический дефект,
который и побуждает родителей обратиться
к врачам. В этот период еще нет необратимых
патологических отклонений со стороны
внутренних органов. К сожалению,
консервативные методы лечения
сколиотической болезни только в 65-70%
случаев позволяют остановить
прогрессирование деформации позвоночника.
Оперативные же методы лечения
сколиотической деформации, еще в недавнем
прошлом, проводились лишь после окончания
роста ребенка. Это, как правило в 20 - 30
лет. Но в этом возрасте при тяжелой
сколиотической деформации позвоночника
уже имеется патология со стороны
внутренних органов, что зачастую
становилось противопоказанием для
оперативного вмешательства. Все это
обусловило актуальность поиска новых
методов лечения данной патологии,
которые позволили бы проводить оперативное
лечение на раннем этапе заболевания,
когда возможности роста опорно-двигательного
аппарата еще не исчерпаны.
История создания устройства для
оперативного лечения сколиотической
деформации началась в 70-е годы. А.А.
Гайдуков и Л.Л. Роднянский предложили
динамическую конструкцию эндокорректора.
Она представляла собой пластины уложенные
вдоль позвоночника на вершине деформации
и фиксированные проволокой к дужкам
или остистым отросткам позвонков на
нескольких уровнях. Но данная конструкция
не оправдала надежд авторов и была
оставлена.
|
В дальнейшем
А.А. Гайдуков разработал и создал
эндокорректор с деротационными скобами
с фиксацией в блоках креплений на
нескольких уровнях. Данный эндокорректор
позволил эффективно на 60-100% корригировать
деформацию при сколиозе III-IV степени.
Но тяжелая многочасовая операция,
травматичность вмешательства, проволочная
фиксация и нередкие неврологические
осложнения ограничивали применение
данной методики.
|
Л.Л.
Роднянский предложил для коррекции
сколиотической деформации одно-пластинчатый
эндокорректор. Методику характеризовала
малая травматичность и безопасность
оперативного вмешательства. Однако,
недостаточная жесткость конструкции,
малое число блоков крепления корректора
не позволяли оперировать тяжелые формы
деформации. В случаях вмешательства у
пациентов с начальной стадией заболевания,
с деформацией I-II степени не удавалось
избежать прогрессирования искривления.
В послеоперационном периоде происходила
достаточно быстрая потеря коррекции и
в общем она составляла приблизительно
40%. Кроме этого достоверно нарастала
ротационная деформация позвоночника
на вершине искривления.
|
Начиная с
80-х годов, благодаря тесному многолетнему
сотрудничеству инженеров отдела
медицинской техники ГП КРАСМАШ завода,
научно-производственного центра МЕДИЛАР,
Института Восстановительной медицины
и кафедры травматологии и ортопедии
Красноярской Государственной медицинской
Академии была внедрена новая конструкция,
которая принципиально отличается от
всех предыдущих, но, в тоже время,
сохранила их главное рациональное
зерно.
|
Работы
велись и продолжают вестись по двум
направлениям: первое - это совершенствование
корректора и методики операции, наиболее
простой и безопасной, позволяющей
оперировать детей на ранних сроках
развития деформации. Второй - разработка
конструкции и методики операции тяжелых
степеней сколиоза. С накоплением опыта
изменился наш взгляд на постоянный
динамический эффект корректора,
создаваемый конструкциями. В настоящее
время он рассматривается как отрицательный
при малом числе блоков крепления пластин
корректора Если же используется принцип
фиксации пластин, который использовал
А.А. Гайдуков, то в ближайший и отдаленный
послеоперационный периоды мы наблюдаем
нарастание коррекции. Сама же коррекция
сколиотической деформации сегодня
выполняться интраоперационно, а
конструкция выполняет роль фиксатора
достигнутой коррекции. Главным
достоинством конструкции и метода
является то, что в послеоперационном
периоде не происходит ограничения роста
ребенка.
Само оперативное вмешательство требует
строжайшего соблюдения технологической
дисциплины, использование специального
инструментария и, естественно, специально
изготовленных пластин и деталей
крепления. Импровизации при операциях
на позвоночнике недопустимы. Все
оперативное вмешательство занимает от
2 до 3 часов.
Нами проведен анализ 209 случаев
оперативного лечения сколиотической
деформации II - IV степени с использованием
двухпластинчатого эндокорректора с
многоуровневой фиксацией. Срок наблюдения
составил от 1 до 4-5 лет с наличием
корректора и от 1 до 3 лет после его
удаления. Средний возраст 13,8 года.
Врожденный сколиоз был только в 3,83%
случаев. Деформация с наименьшим углом
по Коббу составила 21°, с наибольшим
124°. Основное число прооперированных
больных было с углом искривления в
диапазоне 31°-70°. Среди них у 43% угол
искривления составил 51°- 60°.
У больных со II степенью деформации
коррекция составила 96,56 - 100%
|
При
сколиозе III степени - 88,19 - 91,26%.
|
При
сколиозе IV степени с углом деформации
в диапазоне от 51° до 70° коррекция
составила от 79,2 до 84,8%. С углом от 71° дог
80° - 73,3 - 86,5%. С искривлением от 81° до 122°
удалось достигнуть одномоментно
коррекции в пределах 72,7 - 73,8%.
|
Коррекция
ротационной деформации при II степени
сколиоза была 61,83%.
При III степени удалось добиться В среднем
коррекции на 59,2%, а при IV степени только
на 34,04%. Более низкий процент коррекции
сколиотической деформации, как боковой,
так и ротационной, объясняется тем, что
как правило оперативному лечению с IV
степенью подвергаются пациенты с
запущенными стадиями заболевания, как
правило с законченным ростом, более
взрослые, с достаточно уже жестким
фиксированным позвоночником. И не менее
важно то, что угол деформации большой,
часто более 80° - 90°, а это при одномоментной
коррекции чревато неврологическими
осложнениями различной степени тяжести.
|
Для
достижения более полного эффекта
коррекции в момент операции при тяжелых
степенях сколиоза с выраженной реберной
деформацией мы дополнительно прибегаем
к торакопластике на вершине искривления.
При этом производится остеотомия ребер
с частичной их резекцией. Т.е. совмещаем
две операции: коррекция сколиотической
деформации и торакопластика реберного
горба. Кроме этого эффективность
коррекции при тяжелых степенях повышает
и увеличение жесткости пластин, что
достигается использованием не двух
пластинчатых корректоров, а трех- и
четырех пластинчатых. Причем, комбинация
установки пластин может меняться в
зависимости от необходимости у конкретного
ребенка. Планирование оперативного
вмешательства и подбор корректора
проводится строго индивидуально для
каждого больного.
По нашим данным и по данным других
авторов, коррекция сколиотической
деформации на протяжении длительного
периода времени (5 и более лет) без
производства спондилодеза создает
условия для нормализации морфологических
параметров позвоночника, исправлению
формы грудной клетки, улучшение
функциональных параметров, в частности
кардио-респираторной системы.
Предлагаемая методика оперативного
лечения сколиотической, кифотической
и кифосколиотической деформаций
позвоночника у пациентов в возрасте от
7 до 20 лет апробирована в ряде клиник
страны.
|
Была
неоднократно представлена на Российских
и Международных форумах ортопедов, на
различных выставках и отмечена, как
одна из наиболее эффективных. Предлагаемая
методика оперативного лечения
сколиотической, кифотической и
кифосколиотической деформаций
позвоночника у пациентов в возрасте от
7 до 20 лет апробирована в ряде клиник
страны. Была неоднократно представлена
на Российских и Международных форумах
ортопедов, на различных выставках и
отмечена, как одна из наиболее эффективных.
|
Тест на сколиоз
Внимательно осмотрите ребенка - нет ли у него видимых на глаз деформаций скелета.
Понаблюдайте - нет ли у малыша таких признаков: когда он лежит, спина ровная, а если встает кривая, или одно плечо выше другого.
Посмотрите, когда ребенок стоит, - нет ли у него деформации "окошек" (пространства между опущенными вдоль боков руками и самими боками).
Прощупайте у основания его шеи выпирающий остистый отросток VII шейного позвонка. Возьмите любой грузик на ниточке (отвес) и, приложив к этому выступающему месту, посмотрите: если отвес проходит ровно вдоль позвоночника, и далее между ягодичными складками - все в порядке.
При деформации отвес, как правило, проходит мимо ягодичной складки. Это признак неуравновешенного сколиоза, он может прогрессировать, формируется так называемая вторичная дуги для равновесия - искривление позвоночника. При этом образуется S-образный сколиоз.
П
опросите
ребенка нагнуться и посмотрите сзади
- не выпирает ли одна из лопаток и не
формируется ли реберный горб. Если вы
сомневаетесь (особенно при незначительной
деформации), проверьте себя испытанным
приемом - при помощи зеркала. В том же
положении, что и в предыдущем пункте,
рассматривайте ребенка в зеркале -
деформация сразу станет заметной.
А
теперь - о родимых пятнах. Они, зачастую,
не простое украшение, а конкретный
диагностический признак. Большое
количество родинок на теле, особенно
выступающих или напоминающих грибы (на
ножке) говорит о заболевании соединительной
ткани - нейрофиброматозе. Эти "родинки"
могут разрастаться и на нервных стволах,
и на слизистых оболочках в форме полипов.
Если вы обнаружите на спине в области позвоночника ограниченные участки слегка усиленной пигментации кожи (ток называемые "кофейные пятна") - это тоже должно насторожить: в 99% случаев такое пятно указывает на какую-то патологию позвоночника, причем как раз в месте расположения пигментации.
Сколиоз часто даст различные осложнения, особенно со стороны опорно-двигательного аппарата и внутренних органов. Идиопатический сколиоз редко протекает как изолированное заболевание. Чаще всего он сочетается с плоскостопием и слабостью связочного аппарата.
Тест на плоскостопие
Возьмите чистый лист бумаги, положите его на пол. Намажьте ступни ребенка каким-нибудь жирным кремом и попросите его встать на бумагу. Туловище при этом должно быть прямым, ноги вместе, так, чтобы тяжесть тела могла распределяться равномерно. На бумаге останется четкий отпечаток стопы малыша.
Теперь возьмите карандаш и проведите линию, соединив края подошвенного углубления. Затем перпендикулярно этой линии проведите прямую, пересекающую углубление стопы в самом глубоком месте.
Если отпечаток узкой части стопы занимает не более одной трети этой линии - стопа нормальная. В том случае, когда отпечаток, достигает середины линии - у ребенка плоскостопие.
Если ваш малыш часто подворачивает ногу, иногда бывают вывихи суставов, уплощены своды стопы, можно предположить, что наряду с плоскостопием у ребенка, в той или иной степени присутствует и сколиоз.
Вустер: трехмерные скелеты помогут врачам
|
|
|
Занятия
спортом неизбежно связаны с различного
рода травмами - ушибами, растяжениями,
а то и сложными переломами. Новая
разработка компании Marlbrook Motion Analysis
позволяет врачам-физиотерапевтам
более точно определять характер травмы
и назначать соответствующее лечение.
|
Советы Американских Врачей:
«Долой пружинные матрацы, брезентовые раскладушки, гамаки, кресла-кровати с выползающими из-под вас подушками. В глубоких фазах сна мышцы расслабляются практически полностью, они уже не удерживают позвонки, и, если фиксирующие свойства диска ослабли, во сне может произойти смещение.
Постель должна представлять собой деревянный щит достаточной ширины, покрытый тонким матрацем, лучше волосяным: он дольше сохраняет упругие свойства, не сбивается в комья и достаточно мягок. Неплох и шерстяной. Ватный хорош лишь пока новый, спустя 1 - 2 года вата сбивается или уплотняется почти до каменной плотности. Недавно у нас появились специальные ортопедические матрацы, изготовленные с учетом физиологии позвоночника. Они, если позволяют средства, наиболее оптимальный вариант для Вашей кровати.
К такому матрацу хорошо добавить специальную ортопедическую подушку. Рекомендуется использовать модификации ортопедических подушек со специальным валиком под голову, что предполагает действенный косметический эффект - не появится двойной подбородок. Желательны подушки из специального материала, который под воздействием тепла тела становится как бы слепком головы и шеи, что способствует полному расслаблению шейных позвонков. Эти подушки трудно купить в магазине, практикующие специалисты-ортопеды заказывают их наряду с другой продукцией (корсетами, воротниками, корректорами осанки) у фирм-производителей. Во всяком случае, мы для своих больных их всегда заказываем.
Не станем утверждать, что эти подушки - панацея от шейного остеохондроза, но, многие пациенты, применявшие это изделие на себе, констатируют: шея больше не болит, не устает, не затекает; как побочный эффект - часть пациентов крепче спит и больше не храпит по ночам.
Важный вопрос: как на этом "правильном" ложе располагаться?
Лежать тоже надо уметь. Полусидячее положение в постели, к тому же в мягкой, может причинить больному позвоночнику немало неприятностей, потому что вся тяжесть тела при этом падает как раз на поясницу, как и при сидении. Если лежать, то горизонтально, на спине, на боку (лучше на больном: при этом межпозвонковые щели расширяются и не так сильно сдавливается корешок). Можно и на животе - кстати, это единственная поза, допустимая на мягкой койке (для тех, кто еще не внял советам о жестком ложе).»
«Не перегружайте позвоночник! Это в самом широком смысле слова. Вы помните, насколько совершенна и надежна конструкция позвоночника? Не повредите его! Старайтесь обезопасить себя от ударов, падений. Действуйте по пословице: "Знал бы, где упасть, соломки подстелил" (и стелите заранее, если знаете, где стелить).
Самые большие нагрузки на позвоночник человека приходятся в положении сидя. Но этого умения недостаточно. Старайтесь во время работы, если сидячее положение для вас доминирующее, не реже одного раза в 2 - 3 часа делать перерывы. Встаньте, походите, сделайте несколько легких упражнений. Если же Вы работаете стоя, старайтесь, чтобы спина не была постоянно напряжена нерациональной позой. Например, если Ваш верстак, станок или конторка слишком низкие и приходится работать согнувшись, попробуйте что-нибудь подложить под них. Можно, правда, поступить и наоборот. Один рабочий, трудившийся у низкого для его роста станка, даже разобрал под собой пол и выдолбил яму, чтобы не утомлять спину. Вы, конечно, понимаете, что этот совет не для тех, кто работает выше первого этажа -:).
Ну а если работа связана с постоянной физической перегрузкой, вибрацией, переохлаждением, как у дорожников или строителей? Здесь нужны особые меры профилактики. Необходимо предохранить спину хорошо развитым мышечным корсетом, это достигается правильной гимнастикой. Но не только.
Для каждой профессии существуют свои тонкости профилактики. Водитель, особенно за рулем "трясучего" автомобиля, должен не реже чем один раз в 2 часа отдыхать: останавливаться, выходить из машины, делать несколько описанных ниже упражнений. Хорошо бы еще и повисеть на придорожном дереве на руках. Либо, если машина грузовая, - на кузове.»
«Не переохлаждайтесь! Как часто, когда врач мануальной терапии спрашивает о причине прострела, больной отвечает: "продуло". И он прав. Хотя, казалось бы, какое влияние холод оказывает на позвоночник? Ведь кости и хрящи расположены глубоко, под толщей мышц.
Вот в мышцах-то все и дело! Как уже говорилось в предыдущих статьях, именно мышцы регулируют положение позвонков относительно друг друга. Если ослабела фиксирующая функция межпозвонкового диска, что происходит с возрастом, мышцы должны заботиться еще и о стабилизации позвонков в правильном положении. Простои житейский пример: некто вышел наколоть дров, разгорячился, скинул рубашку, взмахнул колуном... да так и осел, охнув. Мышца иногда реагирует на охлаждение рефлекторным сокращением, независимым от Вашего сознания, - сократилась, сместила позвонок, это вызвало боль, а расслабиться уже невозможно, так как боль усиливает спазм.»
«Занимайтесь спортом! Занятия спортом при болезнях позвоночника часто вполне допустимы. Конечно, болезнь может вынудить человека оставить любимый вид спорта. Отказываясь подчиниться обстоятельствам и продолжая занятия, необходимо знать, что болезнь может принять острую форму. Некоторые виды спорта, такие как тяжелая атлетика, прыжки в высоту, борьба и бросание копья, связаны с очень большими нагрузками на позвоночник. Это касается также тенниса, бадминтона и гольфа, т. е. тех видов спорта, где во время игры приходится резко поворачивать туловище. Несмотря на риск, многие, страдающие заболеваниями позвоночника, продолжают играть в теннис или гольф и не считают, что их состояние существенно изменилось. Таким образом, стоит попытаться найти подходящий вид спорта, занятия которым не ухудшали бы состояние позвоночника. Вышеупомянутые теннис, бадминтон и др. развивают гибкость позвоночника и крепость мышц спины и поэтому могут быть рекомендованы в периоды спокойного течения болезни.
Хоккей и футбол также представляют опасность для позвоночника из-за толчков, ударов, которым подвергается игрок, и падений. Для предупреждения травматизма было бы гораздо лучше снизить эмоциональный накал соревнования, чтобы придать ему характер Игры в истинном значении этого слова. Однако участники нередко увлекаются, что приводит к крайнему напряжению физических сил и воли и повышает риск получения травм.
У некоторых спортсменов болезни позвоночника связаны с ухудшением их возможностей, а тем самым и снижением результатов на соревнованиях.
Для лиц с заболеваниями позвоночника рекомендуются бег и бег трусцой на мягком основании, прогулки в лесу, поездки на велосипеде, плавание или катание на лыжах, прежде всего, лыжные прогулки. При катании с гор повышается опасность падения с неприятными последствиями для позвоночника.
Во время лыжных или пешеходных прогулок удобнее всего для хранения провианта и снаряжения рюкзак. Он идеален, когда требуется долго нести что-либо на большие расстояния. Нагрузка на спину в этом случае бывает минимальной, поскольку ноша расположена сзади и позвонки и мышцы спины сильно не напрягаются.
Командные виды спорта, такие, как футбол и хоккей, небезопасны в отношении травм позвоночника в связи с часто высоким темпом игры и нередкими столкновениями. Это означает, что лица с болезнями позвоночника, безусловно, подвергаются значительной опасности, в частности, поскольку характер обоих видов спорта и концентрация внимания на игре приводят к тому, что спортсмен забывает о необходимости оберегать спину.
В целом можно сказать, что человек с заболеванием позвоночника должен оставить подобные виды спорта. Игрокам в гольф и теннис приходится делать резкие и сильные повороты туловищем, что, без сомнения, может спровоцировать обострение болезни. В то же время многие получают большое удовлетворение от такого спорта и утверждают, что могут заниматься им без вредных последствий для позвоночника.
Плавание - идеальный вид спорта для больных. В воде нагрузка на позвоночник не особенно большая, движения, как правило, мягкие, травмы случаются не часто, поскольку столкновения и удары в спину в воде очень редки.
Бег и прогулки - две очень подходящие формы оздоровительных занятий для лиц с заболеваниями позвоночника. Бегать лучше всего по дорожке, покрытой опилками, или на любом другом мягком и ровном основании, в спортивной обуви с мягкой и гибкой подошвой. Жесткая подошва увеличивает риск повреждения ног, стоп и позвоночника.
Лыжные прогулки, учитывая их мощное оздоровительное воздействие, еще один рекомендуемый вид спорта. Они усиливают циркуляцию крови, хорошо стимулируют деятельность сердца, легких и мышц. Благоприятное воздействие оказывается и на кости скелета. Следует избегать катания с гор. С одной стороны, оно не оказывает сверхсильного оздоровляющего воздействия, с другой - существует значительный риск травмирования верхних и нижних конечностей и позвоночника.»
–– Так советуют АМЕРИКАНСКИЕ ВРАЧИ
1 А также ресурсов из сети Интернет.
2 Посвященные данной теме.





















