Ультразвуковая диагностика воспалительных заболеваний придатков матки

УРАЛЬСКАЯ ГОСУДАРСТВЕННАЯ МЕДИЦИНСКАЯ

АКАДЕМИЯ ДОПОЛНИТЕЛЬНОГО ОБРАЗОВАНИЯ

РЕФЕРАТ

на тему:

«Ультразвуковая диагностика воспалительных заболеваний придатков матки».

Выполнил: Кравченко С.В.

г. Оренбург 2000г.

Ультразвуковая диагностика воспалительных заболеваний придатков матки.

В настоящее время ультразвуковое сканирование рассматривают как один из наиболее доступных и достоверных методов инструментальной диагностики воспалительных заболеваний внутренних половых органов. Этому главным образом способствовало появление приборов, работающих в режиме реального времени по принципу «серой шкалы» - системы многотонального изображения.

Однако, по мнению клиницистов, детальная интерпретация эхограмм, полученных при сканировании по методике «наполненного мочевого пузыря», нередко вызывает определённые трудности, обусловленные идентичностью акустических импедансов различных тканей. Прямые УЗ-признаки воспалительного процесса удаётся зарегистрировать в среднем у 30% - 40% больных[2]. Лишь при гидросальпингсах, являющихся следствием острого сальпингита или обострения хронического сальпингита, точность диагностики достигает 100%.

Данные литературы последних лет свидетельствуют о том, что наиболее характерные и диагностически значимые эхографические критерии различных клинических форм воспалительных заболеваний придатков матки удаётся выделить только с помощью трансвагинального ультразвукового сканирования.

Внедрение в клиническую практику трансвагинальной эхографии позволило одномоментно устранить недостатки, свойственные трансабдоминальному сканированию.

Во-первых, повысилась информативность ультразвукового исследования вследствие уменьшения расстояния между эхопреобразователем и изучаемым органом или новообразованием, а также преимущественного использования высокочастотных датчиков.

Во-вторых, отсутствие необходимости «наполнения» мочевого пузыря сделало возможным применение трансвагинальной эхографии в ургентной гинекологии.

В-третьих, при трансвагинальном сканировании наличие ожирения или обширного спаечного процесса не оказывает выраженного влияния на визуализацию матки и придатков.

В-четвёртых, трансвагинальная эхография не исключает возможности выполнения двуручной манипуляции при исследовании, что значительно облегчает топическую диагностику патологических процессов внутренних половых органов.

Однако считается, что при наличии объёмных образований, диаметр которых превышает 10 см, данные, полученные с помощью чрезвлагалищной эхографии, необходимо дополнить результатами сканирования через переднюю стенку. Последовательное применение обеих методик позволяет получить более обширное пространственное изображение органов малого таза.

В 50%-70% случаев острый воспалительный процесс маточных труб (острый сальпингит) сопровождается выраженной в той или иной степе­ни экссудацией жидкости, которая, накапливаясь в просвете трубы (труб), формирует собственно гидросальпингс. Объём жидкости, замкнутый в полости расширенной маточной трубы, зависит от интенсивности и дли­тельности воспалительного процесса; от анатомических особенностей - протяженности и конфигурации трубы, толщины и тонуса ее мышечной оболочки; от наличия или отсутствия рубцовых изменений в маточной трубе и степе­ни их выраженности. Основные УЗ-признаки гидросальпингса обусловлены накоп­лением жидкости (воспалительный экссудат) в просвете маточной тру­бы. В зависимости от выраженности патологического процесса и ана­томических особенностей труб возможны три варианта УЗ-картины: 1 - однокамерное жидкостное образование; 2 - многокамерное жидкостное образование; 3 - абс­цесс маточной трубы.

1

Рисунок 1. Однокамерный вариант гидро-сальпингса.

. Однокамерный вариант. В пространстве между од­ним из яичников и маткой (вдоль боковой стенки матки), то есть в одной из параметральных областей, выявляется жидкостное образование правильной вытянутой формы со значительным преобладанием продольного размера над поперечным. При этом конфигурация патологического очага может быть овальной (рис.1), ве­ретенообразной или S-образной. Структура жидкого содержимого однородная. Матка, эндометрий и яичники не изменены. На стороне поражения почти всегда лоцируется неизмененный яичник. Оптимальные условия для визуализации патологического очага со­здаются при поперечном обзорном сканировании с использованием спо­соба дозированной компрессии передней брюшной стенки УЗ-датчиком (желательно секторным).

Как правило, этот вариант воспаления маточных труб встречается у молодых женщин и часто обнаруживается при первичном обращении к гинекологу.

Дифференциальная диагностика. Распознавание первого варианта гидросальпингса обычно затруднений не вызывает, но при незначительных размерах жидкостного образования возможны трудности и расхождения диагнозов. Для предотвращения таких упущений в процессе УЗ-сканирования, при наличии клинических данных за воспаление придатков, показан тщательный, целенаправленный поиск жидкости, ограниченной стенками маточной трубы.

Иногда бывает довольно трудно отличить крупный кровеносный сосуд, локализующийся в параметральной области, от резко вытяну­того гидросальпингса, что наблюдается в случае сильно выраженной мышечной оболочки трубы или при повышенном ее тонусе. Указан­ные (трубные) факторы способствуют преимущественному распреде­лению воспалительного экссудата в продольном направлении, симу­лируя просвет сосуда. УЗ-дифференциация между избыточно вы­тянутым незначительным гидросальпингсом и кровеносным сосудом осуществляется следующим образом: гидросальпингс характеризует­ся гладкими (ровными или волнистыми) стенками во всех отделах; ши­рина просвета неравномерная, с плавными сужениями и расширения­ми; кровеносный сосуд - при полипозиционной эхолокации всегда уда­ётся увидеть отходящие от основного ствола множественные, более мелкие ветви, определяющие общую ангиоархитектонику жидкостно­го образования; кроме того, если смещать УЗ-датчик точно по ходу изучаемого сосуда, всегда удается проследить место впадения его в более круп­ный сосуд или область слияния с другими элементами кровеносной си­стемы.

У большей части больных гидросальпингс лоцируется в нижних отделах малого таза, так как содержащий жидкость участок маточной трубы, под действием силы тяжести заполняющего его экссудата, обычно опус­кается вниз. Лишь в отдельных случаях гидросальпингс может быть виден в верхних отделах, что объясняется индивидуальными особенностями трубы (выраженная извилистость в сочетании с гипотонусом сте­нок). В связи с этим, поиск жидкостного образования должен осуществляться на всех уровнях эхолокации. У некоторых пациенток визуализировать в процессе УЗИ незна­чительный объем жидкости в маточной трубе вообще не представля­ется возможным. Это происходит, когда из-за давления наполненно­го мочевого пузыря содержащий воспалительный экссудат отрезок трубы оказы­вается распластанным между мочевым пузырём, маткой, стенками малого таза и прямой кишкой. В этих наблюдениях целесообразно сделать дополнительное иссле­дование с пустым мочевым пузырём (желательно - ТВ). После опорожнения мочевого пузыря ис­чезает давление на окружающие его анатомические структуры (де­компрессия малого таза), что способствует расправлению содержащей жид­кость маточной трубы, и гидросальпингс становится видимым на эхограммах. Указанный методический прием особенно полезен, когда нет ТВ-датчика. Если же имеется полный комплект сканирующих устройств, то ТВ-УЗИ позволяет без особого труда решить диагностическую задачу.

Не являются исключением случаи однокамерного варианта гидросальпингса, ошибочно расцениваемого, независимо от способа сканиро­вания, как киста яичника. Необходимость дифференциаль­ной диагностики с фолликулярной кистой возникает редко и только при наличии правильной овальной формы гидросальпингса. В 90%-95% случаев, при однокамерном варианте экссудативного сальпингита, конфигурация овального жидкостного образования - неправильная вследствие выраженного преобладания продольного размера патоло­гического очага.

2

Рисунок 2. Много-камерный вариант гидросальпингса.

. Многокамерный вариант. Локализация такая же, как и при первом варианте, но с большим распространением в ла­теральном и медиальном направлениях за счёт более крупных раз­меров патологического очага и часто встречающегося двухсторон­него поражения. На эхограммах (условия сканирования прежние, с элементами продольной эхолокации) в одной из параметральных областей с распространением в позадиматочное пространство лоцируется многокамерное жидкостное образование неправильной вытянутой фор­мы, которая зависит от числа камер и степени распространенности процесса. Многокамерность образования обусловлена множественными пере­тяжками, возникающими либо вследствие перегибов маточной трубы, заполненной воспалительным экссудатом, либо за счет спаек, час­тично или полностью перекрывающих просвет трубы. Число камер (полостей) колеблется от 2 до 7. Стенки тонкие, конту­ры чёткие и неровные из-за выпячивания перерастянутых жидкос­тью стенок маточной трубы. Размеры варьируют в широких преде­лах, но во всех случаях длина гидросальпингса значительно больше его поперечника. В некоторых наблюдениях длина жидкостного образования достигает 150 мм. Структура содержимого однородная. Крайне редко в одной из полостей видны мелкие эхопозитивные включения ли­нейной формы, низкой эхоплотности (фибрин, детрит), хорошо ви­димые при ТВ-сканировании. В отличие от других патологических многополостных жидкостных образований встречающихся в малом тазу, для многокамер­ного гидросальпингса характерно своеобразное расположение со­ставляющих его камер - друг за другом, как звенья цепи. Этот симптом не может считаться патогномоничным, но безусловно яв­ляется постоянным эхо-признаком данного вида экссудативного сальпингита. Матка не изменена. Яичник на стороне поражения не лоцируется, так как параметральная область и позадиматочное пространство, как правило, полностью заняты патологическим жидкостным объектом. Другой яичник без особенностей.

Содержимое одной или нескольких полостей может быть неоднородным из-за множе­ственных эхопозитивных включений, обычно скапливающихся у ниж­ней стенки образования. Эти включения имеют линейный, точечный или ните­видный характер; морфологически - детрит и фибрин. Стенки такой полости (полостей) в 80% диффузно утолщены (до 6 мм) вследствие воспалительной инфильтрации и отёка. Указанная картина бывает при гнойном сальпингите, который, в случае много­камерного варианта гидросальпингса, является осложне­нием обычного экссудативного воспалительного процесса.

Дифференциальная диагностика. Многокамерный вариант экссудативного сальпингита следует дифференцировать с жид­костными образованиями невоспалительной природы, состоящими из нескольких по­лостей: многокамерная фолликулярная киста и "простая" псевдомуцинозная киста. Многокамерные фолликулярные кисты, по сравнению с однокамер­ной формой, встречаются редко. Они возникают в результате слияния друг с другом нескольких неовулировавших доминантных фолликулов в одном из яичников. Число камер обычно не превышает трёх. Боль­шее число камер наблюдается редко и бывает только у женщин с резко выраженными гормональными нарушениями. Эти кисты так же, как и сальпингит, локализу­ются в одной из параметральных областей, но распространение жидкостного объекта в позадиматочное пространство, что в 90% слу­чаев присутствует при многокамерном гидросальпингсе, встречает­ся редко. Форма фолликулярных кист правильная овальная. И глав­ное, жидкостные образования фолликулярного генеза как правило самоликви­дируются после месячных или исчезают под воздействием гормо­нального лечения.

Псевдомуцинозные кисты ("простые", то есть без внутрикистозных папиллярных разрастаний), для которых характерна многокамерность полости, имеют существенные отличия от многокамерного экссудативного сальпингита:

    заболевание обычно наблюдается у пожилых женщин; отсутствуют клинические и лабораторные призна­ки воспаления;

    патологический объект локализуется выше, чем гидросальпингс и лоцируется в области одного из углов матки;

    форма неправильная округлая и более крупные размеры;

    число камер не ограничено;

    патогномоничным для этих кист является то, что мелкие полости, имеющие вид самостоятельных кист, располага­ются внутри более крупных камер, а те в свою очередь - внутри ос­новного патологического жидкостного образования.

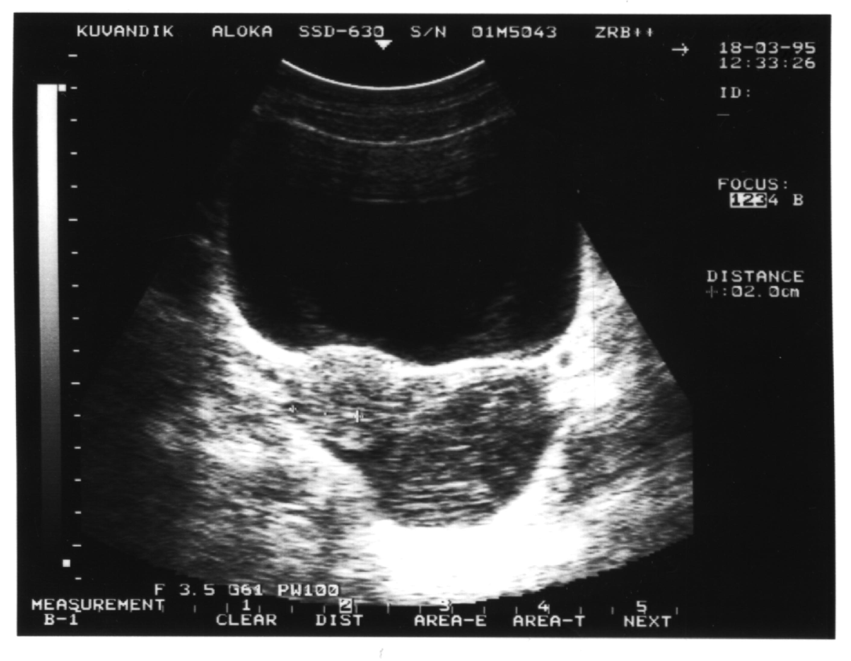
3. Абсцесс. В одной из параметральных областей лоцируется однокамерное жидкостное образование правильной округлой, реже овальной формы. Стенки плотные, толщина может достигать 8мм - результат воспалительной инфильтрации стенки трубы; контуры ров­ные, местами нечёткие и тяжистые за счет спаек. Размеры - не более 70 мм в диаметре. Структура содержимого неоднородная из-за мно­жественных мелких включений (фибрин, детрит), расположение ко­торых меняется в зависимости от положения пациентки: при гори­зонтальном положении эти включения равномерно распределяются в полости образования, при вертикальном положении - смещаются в нижнюю часть полости. Аналогичный эффект - п

Рисунок 3. Левосторонний пиосальпингс.

одвижность внутриполостных включений, достигается компрессией полости датчиком (особен­но ТВ). Этот симптом наблюдается при размерах патологического оча­га более 40 мм в диаметре. Форма включений либо вытянутая (длиной от 2 до 7 мм), либо они лоцируются как эхопозитивные точки. Плотность их низкая или средняя. Матка имеет обычный вид. У ряда больных на сторо­не поражения виден неизмененный яичник, оттеснённый в ту или иную сто­рону за счёт давления образования. Параметральные вены с двух сторон почти всегда расширены. Представленная УЗ-картина может быть расце­нена как ограниченный гидросальпингс с нагноением или, более точ­но, абсцесс маточной трубы (тубарный абсцесс).

Тубарный абсцесс, по-сравнению с другими формами воспали­тельных изменений, встречается редко и, в рассмотренном здесь виде, отражает процесс частичной резорбции гноя на фоне продол­жающейся экссудации с образованием так называемой "воспалитель­ной кисты". Морфологический субстрат её - гнойный экссудат, огра­ниченный воспалительно изменёнными, местами истонченными стен­ками маточной трубы. При деструкции стенки возможен прорыв гной­ника в брюшную полость с развитием пельвиоперитонита.

УЗ-диагностика пельвиоперитонита очень трудна и состоит в регистрации того или иного количества свободной жидкости в полос­ти малого таза. Более надежным признаком развития пельвиоперитонита (как правило, ограниченного) служит внезапное исчезновение УЗ-изображения жидкостного образования и появление небольшого объема жидкости в по-задиматочном пространстве. Причем визуализация её затруднена из-за спаек и часто сопутствующего гнойному воспалению пареза кишеч­ника. Необходимо иметь в виду, что ограниченный пельвиоперитонит, возникающий при дренировании абсцесса, нужно рассматривать не как осложнение заболевания, а как закономерный этап его течения под воздействием терапии. Абсцесс маточной трубы в 60%-75% случаев встречается у женщин, ранее пе­ренесших те или иные воспалительные заболевания матки и её придат­ков.

Дифференциальная диагностика. Эхографическую картину абсцесса маточной трубы необходимо дифференцировать со всеми жид­костными образованиями, локализующимися в параметральных областях и содер­жащими внутриполостные включения. Речь идёт об эндометриоидных и тератодермоидных кистах.

Эндометриоидные кисты часто содержат эхопозитивные вклю­чения, которые могут напоминать картину абсцесса. Отличительные симптомы: эхопозитивные внутрикистозные включения формируют специфическую мелкоячеистую структуру ("пчелиные соты"); содержимое кисты неподвижно при перемене по­ложения больной и при компрессии патологической полости датчи­ком; жидкостное образование несколько увеличивается в размерах перед месяч­ными.

Дермоидные кисты с зернистым содержимым, стенки и струк­тура которых являются производными кожи, в общих чертах похожи на крупный абсцесс. Во-первых, множественные мелкие зерна в про­свете кисты могут быть приняты за фибринозно-гнойные включения внутри абсцесса. Во-вторых, зерна в кисте легко изменяют свою локализацию при компрессии или перемене положения больной. Кистозные тератомы этого типа часто достигают больших размеров (более 70 мм в диаметре), так как длительное время существуют бессимптомно и обычно выявляются при профосмотрах и случайных УЗИ. Внутриполостные зерна более оформлены и массивны, а эхоплотность их выше, чем аналогичные элементы структуры абсцесса. При компрессии УЗ-датчиком истинные дермоиды, содержащие жид­кость, легко деформируются - стенки их тонкие, мягкие и безболез­ненные. Это сопровождается интенсивным движением зерен внут­ри полости. Компрессия же абсцессов резко болезненна из-за воспалительной инфильтрации стенок и перифокальных измене­ний. Кроме того, абсцессам малого таза обычно сопутствует гиперемия па­раметральных вен, чего никогда не наблюдается при кистах. То же самое касается факта обнаружения рядом с патологическим объектом интактного яичника, визуализация которого неоспоримо сви­детельствует в пользу воспалительной природы жидкостного объекта. К сожалению, этот симптом при крупных абсцессах на­блюдается редко, так как жидкостное образование больших размеров обыч­но экранирует изображение яичника.

Группа симптомов, которые, в сочетании с клиникой воспалительного процесса в малом тазу, по­зволяют установить диагноз тубарного абсцесса:

    локализация в од­ной из параметральных областей (рядом с боковой стенкой матки, ближе к позадиматочному пространству);

    стенки тонкие, иногда с вере­тенообразными утолщениями на ограниченном протяжении;

    неоднородность жидкого содержимого из-за мелких (линейных и точечных) эхопозитивных включений низкой и средней плотности;

    часть внутренних структур находится во взвешенном состоянии и при перемене положения больной смещается в нижний полюс полости;

    на стороне поражения может быть обнаружен интактный яичник;

    резкая болезненность при даже незначительной компрессии УЗ-датчиком через переднюю брюшную стенку или контактном соприкосновении во время ТВ-сканирования;

    реактивные изменения в виде расши­рения параметральных вен;

    положительная динамика под воздей­ствием противовоспалительной терапии.

Несмотря на многочисленные исследования, выделить специфические акустические признаки острого гнойного сальпингита не удалось. В большинстве наблюдений на эхограммах определялись расширенные, утолщённые, вытянутые маточные трубы, характеризующиеся повышенным уровнем звукопроводимости. У каждой второй больной в прямокишечно-маточном углублении отмечалось скопление «свободной» жидкости. Следует заметить, что указанные эхографические признаки, хотя и позволяют предложить наличие острого сальпингита, однако истинную диагностическую ценность приобретают только при сопоставлении с данными полученными при клиническом обследовании, поскольку идентичная картина нередко наблюдается и при нарушенной внематочной беременности. При неясных клинических симптомах и спорных эхографических признаках важную дополнительную информацию можно получить с помощью пункции прямокишечно-маточного углубления, выполненной через задний свод влагалища под контролем трансвагинальной эхографии.

По данным А. Н. Стрижакова и А. И. Давыдова (1994), при небольших размерах пиосальпинкса на эхограммах опре­деляется расширенная маточная труба веретенообразной или тубусовидной конфигурации с чёткими ровными контурами, резко утолщенными стенками и неоднородным внутренним содержимым. С помощью трансвагинального сканирования практически всегда удается чётко отграничить пиосальпинкс и интактный яичник. В подобных наблюдениях интерпретация клинической картины и установление нозоло­гического диагноза не вызывают серьёзных затруднений.

Вместе с тем при наличии пиосальпинкса больших разме­ров на эхограммах определяется образование округлой фор­мы с плотной капсулой и мелкоточечной внутренней струк­турой. Описанная акустическая картина на первый взгляд напоминает таковую при абсцессе яичника, пиоваре, нагноившейся эндометриоидной кисте яичника. В этой кли­нической ситуации при проведении топической и нозологи­ческой диагностики необходимо ориентироваться на иденти­фикацию яичника в виде отдельного анатомического образо­вания, причем наилучшим образом это удается сделать при транспельвическом сканировании [Стрижаков А. Н].

Установлено, что у каждой второй больной с гной­ным поражением маточных труб в патологический процесс вовлекаются яичники, при этом наблюдаются изменения, ха­рактерные для оофорита (51,2%), абсцесса яичника (9,9%), пиовара (1,1%) [Подзолкова Н. М.].

При остром оофорите на эхограммах определяется увели­ченный яичник с многочисленными мелкими фолликуляр­ными кистами, которые разделены тонкими гиперэхогенными перегородками.

Ультразвуковая диагностика пиовара основывается на ви­зуализации патологического образования округлой формы, внутренняя структура которого представлена хаотично распо­ложенной среднедисперсной эхопозитивной взвесью на фоне повышенного уровня звукопроводимости. Капсула пиовара неравномерно утолщена (6—10 мм), характеризуется высо­кой акустической плотностью.

В отличие от пиовара при абсцессе яичника по периферии гнойного образования удается визуализировать неизменен­ную овариальную ткань. Этот эхографический критерий ле­жит в основе дифференциальной диагностики пиовара и абс­цесса яичника.

Гнойные воспалительные заболевания придатков матки, как правило, сопровождаются выраженным спаечным про­цессом, диагностика которого может быть осуществлена по­средством транспельвического сканирования. Основным эхографическим признаком спаечного про­цесса является «несмещаемость» яичников и маточных труб по отношению к матке, петлям кишечника и мочевому пузы­рю, что можно выявить с помощью тракционных движений трансвагинального датчика.

Наибольшим акустическим полиморфизмом отличаются эхограммы больных с тубоовариальными абсцессами. При од­носторонней локализации абсцесса удается выделить услов­ные границы между воспалительно измененными маточной трубой и яичником, исходя из различия их формы, эхо плот­ности и внутренней структуры. Так, пиосальпинкс характе­ризуется овоидной конфигурацией, гомогенным расположе­нием точечных эхосигналов и низким уровнем звукопроводи­мости. Следует отметить, что пиосальпинкс и абсцесс яични­ка (пиовар) при данной клинической форме гнойного пора­жения придатков матки имеют общую капсулу.

При двусторонней локализации тубоовариального абсцес­са границы между маточными трубами и яичниками не опре­деляются. На эхограммах визуализируется единый конгломе­рат с плотной капсулой, множественными внутренними пе­регородками различной толщины и неоднородным внутрен­ним содержимым, что свидетельствует о скоплении гнойного экссудата.

Двусторонний тубоовариальный абсцесс дифференцируют от абсцессов пузырно-маточного и прямокишечно-маточного углублений. Для выявления абсцесса пузырно-маточного уг­лубления транспельвическое сканирование следует проводить при наполненном мочевом пузыре. Выполнение этого условия позволяет четко выделить границы абсцесса пузырно-маточного углубления: спереди — мочевой пузырь, сзади — мат­ка, справа и слева — петли кишечника. В то же время задней «стенкой» абсцесса прямокишечно-маточного углубления яв­ляется прямая кишка. Для более точной дифференциальной диагностики данной клинической формы гнойных воспали­тельных заболеваний придатков матки оптимальной является комбинированная трансвагинальная и трансректальная мето­дика сканирования.

В заключение следует отметить, что трансвагинальная эхография является оптимальным скрининговым методом диаг­ностики воспалительных заболеваний придатков матки. Про­веденные исследования показали, что информатив­ность транспельвического сканирования при гнойном пора­жении маточных труб и яичников составляет 88,1% [Стрижаков А. Н.]. Использование данного метода позволяет не только верифицировать патологический процесс и оценить степень анатомических изменений в очаге воспаления, но и осуществлять динамиче­ский визуальный контроль эффективности комплексной противовоспалительной терапии.

За время работы, врачом ультразвуковой диагностики, в гинекологическом отделении Кувандыкской ЦРБ, с 1994г. по 2000г., мною было осмотрено 417 больных с воспалительными заболеваниями придатков матки. В 21 (5%) случае было диагностировано гнойное тубоовариальное образование, что было подтверждено в дальнейшем при оперативном лечении. В одном случае (из 21) не был диагностирован пиосальпингс и с другой стороны, что привело к незапланированному расширению оперативного вмешательства. Причина диагностической ошибки была в выраженности спаечного процесса в малом тазу и в сложности выведения маточной трубы.

У 94 (22,6%) пациенток не было диагностировано каких либо органических изменений в придатках матки. Что наблюдалось и при повторном обследовании после окончания курса лечения. У этой группы больных повторной госпитализации в течение года, после лечения, не наблюдалось.

У 302 (72,4%) пациенток были диагностированы УЗ-признаки воспалительного процесса в маточных трубах (различные формы гидросальпингса).

Используемая литература:

    Стрижаков А.Н., Подзолкова Н.М. «Гнойные воспалительные заболевания заболевания придатков матки». М.Медицина.1996г.

    Хачкурузов С.Г. «УЗИ в гинекологии».С-П. 1999г.

    Демидов В.Н., Зыкин Б.И. «Ультразвуковая диагностика в гинекологии». М.Медицина. 1990г.

    Стрижаков А.Н., Давыдов А.И. «Клиническая трансвагинальная эхография. М.Медицина. 1994г.

NB! Иллюстрации взяты из книги: Хачкурузов С.Г. «УЗИ в гинекологии».С-П. 1999г. и собственное наблюдение (рис.3). Вы сможете самостоятельно отредактировать рисунок в любом графическом редакторе, чтобы изменить к примеру, дату исследования либо название стационара, ФИО больного. Либо можете полностью удалить графику.

С уважением Кравченко СВ. e-mail: krav@rambler.ru.