Гипертоническая болезнь (работа 7)
Министерство здравоохранения и социального развития РФ
Департамент здравоохранения Брянской области
ГОУ СПО «Брянский базовый медицинский колледж»
Реферат
На тему: «Гипертоническая болезнь»
Выполнила: студентка гр.2фм4
Специальность «Фармация»
Маркелова Ульяна
Брянск 2010
Содержание
Вступление
Этиология и патогенез
Клиническая картина гипертонической болезни
Стадии гипертонической болезни
Клинико-морфологические формы гипертонической болезни
Гипертонические кризы
Диагностика гипертонической болезни
Лечение артериальной гипертензии
Заключение
Литература
ВСТУПЛЕНИЕ
Гипертоническая болезнь (ГБ) – заболевание сердечнососудистой системы, развивающееся вследствие первичной дисфункции (невроза) высших сосудорегулирующих центров и последующих нейрогормональных и почечных механизмов, и характеризуется артериальной гипертензией, функциональными, а при выраженных стадиях – органическими изменениями почек, сердца, ЦНС. Другими словами, гипертоническая болезнь – это невроз центров, регулирующих артериальное давление.
Вторичная, или симптоматическая, артериальная гипертензия является симптомом группы заболеваний – сердечнососудистых, почечных, эндокринных и др., и обусловлена поражением органов и развитием в них органического процесса.
Артериальные гипертензии – одни из самых распространенных заболеваний сердечнососудистой системы.
Согласно современным рекомендациям ВОЗ и Международного общества борьбы с артериальной гипертензией (ИАГ) за нормальные значения принимают АД ниже 140/90 мм рт. ст. (18,7/12 кПа). Артериальная гипертензия (АГ) – неоднократно фиксируемое повышение АД более 140/90 мм рт.ст. После первичного выявления повышенного давления больной должен в течение недели посещать доврачебный кабинет, в котором будут производиться замеры артериального давления. Определение представляется спорным, так как даже повышение диастолического АД до 85мм рт.ст. может привести к развитию сердечнососудистой патологии. Однако, все же чаще термин “артериальная гипертензия” используется в случаях достаточно длительного повышения АД от 140/90 мм рт.ст и больше, поскольку уже при таких “пограничных уровнях давления (140-160/90-95) увеличивается риск сердечнососудистых и цереброваскулярных осложнений. ГБ характеризуется высокой распространенностью, как у мужчин, так и у женщин. Приблизительно у каждого 4-5-го взрослого человека выявляется повышенное АД. В целом наличие ГБ констатируется у 15-20 % взрослого населения, и ее частота существенно нарастает с возрастом. Так, повышение АД наблюдается у 4 % лиц в возрасте 20-23 лет и достигает 50 % и более в возрасте 50-70 лет.
Классификация АД для взрослых (старше 18 лет)
|
Категория |
АДс (мм рт.ст.) |
АДд (мм рт.ст) |
|
Нормальное АД |
|
|
|
Оптимальное |
<120 |
<80 |
|
Нормальное |
<130 |
<85 |
|
Высокое нормальное |
130-139 |
85-89 |
|
Артериальная гипертензия |
||
|
АГ I степени («мягкая») |
140-159 |
90-99 |
|
Подгруппа: пограничная |
140-149 |
90-94 |
|
АГ II степени («умеренная») |
160-179 |
100-109 |
|
АГ III степени («тяжелая») |
>180 или =180 |
>110 или =110 |
|
Изолированная систолическая гипертензия |
>140 или =140 |
<90 |
|
Подгруппа: пограничная |
140-149 |
<90 |
|
Определение степени риска |
Прогноз больных АГ и решение о дальнейшей тактике ведения зависит не только от уровня АД. Наличие сопутствующих факторов риска, вовлечение в процесс «органов-мишеней», а так же наличие ассоциированных клинических состояний имеют не меньшее значение, чем степень АГ, в связи, с чем в современную квалификацию введена классификация больных в зависимости от степени риска. Для оценки суммарного влияния нескольких факторов риска на прогноз заболевания используется классификация риска по четырем категориям – низкий, средний, высокий и очень высокий риск, (см. табл.)
Категории стратификации степеней риска
|
Факторы риска |
Поражение органов-мишеней (ГБ IIстадии, ВОЗ 1993) |
Ассоциированные (сопутствующие) клинические состояния ( ГБ III стадии, ВОЗ 1993) |
|
Основные Мужчины > 55лет Женщины > 65лет Курение Холестерин > 6,5 ммоль/л Семейный анамнез ранних ССС (у женщин < 65 лет, у мужчин < 55 лет) Сахарный диабет Дополнительные факторы риска, негативно влияющие на прогноз больного с АГ: Снижение холестерина ЛПВН Повышение холестерина ЛПВН Микроальбуминурия При диабете Нарушение толерантности к глюкозе Ожирение Малоподвижный образ жизни Повышение фибриногена Социально-экономическая группа риска |
Гипертрофии левого желудочка (ЭКГ, ЭХОКГ или рентгенография) Протеинурия и/или креатининемия 1,2 – 2,0 мг/дл Ультразвуковые или рентгенологические признаки атеросклеротической бляшки Генерализованное или очаговое сужение артерий сетчатки |
Цереброваскулярные заболевания Ишемический инсульт Геморрагический инсульт Транзиторная ишемическая атака Заболевания сердца Инфаркт миокарда Стенокардия Коронарная реваскуляризация Застойная сердечная недостаточность Заболевания почек Диабетическая нефропатия Почечная недостаточность (креатининемия > 2,0мг/дл) Сосудистые заболевания Расслаивающая аневризма аорты Симптоматическое поражение периферических артерий Гипертоническая ретинопатия Геморрагии или экссудаты Отек соска зрительного нерва |
Определение степени риска
Артериальное давление (мм рт. ст.)
|
Факторы риска и анамнез |
Степень I (мягкая АГ) АДс 140-159 или АДд 90-99 |
Степень II (умеренная АГ) АДс 160-179 или АДд 100-109 |
Степень III (тяжелая АГ) АДс >180= или АДд >110= |
|
I. Нет ФР, ПОМ, АКС |
Низкий риск |
Средний риск |
Высокий риск |
|
II. 1-2 фактора риска(кроме СД) |
Средний риск |
Средний риск |
Очень высокий риск |
|
III. 3 и более ФР и/или ПОМ, и/или СД |
Высокий риск |
Высокий риск |
Очень высокий риск |
|
IV.АКС |
Очень высокий риск |
Очень высокий риск |
Очень высокий риск |
ФР - факторы риска; ПОМ - поражение органов-мишеней; АКС – ассоциированы клинические состояния
Этиология и патогенез
В развитие стойкой артериальной гипертензии принимают участие разнообразные факторы, регулирующие давление крови в физиологических условиях.
Предрасполагающие факторы: наследственность, нервный фактор, эмоциональные перегрузки, стрессовые ситуации, эндокринные факторы, ожирение, употребление алкоголя, курение, гиподинамия, пожилой возраст, перенесенные заболевания почек и др.
Нервный фактор является одной из главный причин повышения давления. Это острые и хронические психо-эмоциональные стрессы, постоянное умственное перенапряжение, черепно-мозговая травма, гипоксия мозга. Определенное значение при этом придается появлению тахикардии, которая сопровождается увеличением сердечного выброса.
К патологическим факторам относятся нарушения функции гипоталамуса и продолговатого мозга. Гуморальные факторы, способствующие развитию АГ, вырабатываются в почках. При нарушении кровообращения в почках образуется в вещество – ренин, превращающее гипертензиноген в ангиотензин. Последний оказывает выраженное сосудосуживающее действие и способствует выработке надпочечниками альдостерона – минералкортикоида, который, действуя на дистальную часть нефрона, стимулирует реабсорбцию ионов натрия. Натрий удерживает жидкость в сосудистом русле (фактор, способствующий повышение АД).
Гиперфункция эндокринных желез (гипофиза, щитовидной железы, половых желез) связана с выработкой гормонов, повышающих АД.
В развитии гипертонической болезни имеют значение и пищевые факторы. У лиц, потребляющих избыточное количество поваренной соли, регистрируется более высокие цифры АД. Задержка натрия в организме способствует отеку сосудистой стенки и повышению АД.
Отмечена роль генетического фактора; при двусторонней наследственности наследуется однотипный обмен веществ, что приводит к аналогичным нарушениям в выработке веществ, регулирующих артериальное давление. Под воздействием этих факторов происходит окончательное формирование артериальной гипертензии.
Длительное сужение артериол надпочечников, поджелудочной железы приводит к склеротическим процессам в них. В аорте, коронарных, церебральных сосудах прогрессивно развивается атеросклероз, приводящий к стойкому нарушению кровообращения соответствующих органов.
Клиническая картина гипертонической болезни
В I стадию болезни имеются в основном функциональные расстройства. Отсутствует поражение органов-мишеней. Пациенты жалуются на головную боль, которая связана с повышением АД. Чаще всего она появляется утром в затылочной области и сочетается с чувством «несвежей головы». Пациентов беспокоит плохой сон, ослабление умственной деятельности, ухудшение памяти, усталость, утомляемость. Артериальное давление повышается непостоянно, а цифры не много превышают нормальные (190-200/ 105-110 мм рт.ст). Для уверенности в объективности показателей АД его надо измерять 2-3 раза с промежутком в пять минут и брать за основное средний результат.
Во II стадию по мере развития органических изменений в сердечнососудистой, нервной системе регистрируется наличие одного или нескольких изменений со стороны органов – мишеней. АД становится стойко повышенным (190-200/105-110 мм рт.ст.), а головная боль, головокружение и другие симптомы становятся постоянными.
Выявляется увеличение границ относительной тупости сердца влево за счет гипертрофии левого желудочка, акцент II тона над аортой, усилен I тон, пульс напряжен. При прогрессировании заболевания может появиться систолический шум мышечного характера на верхушке сердца и за счет относительной недостаточности митрального клапана.
Вследствие развития атеросклероза коронарных сосудов появляются приступы болей в сердце. Выявляются изменения при осмотре глазного дна: артерии сетчатки узкие, извитые, вены расширены.
В III стадию – наличие одного или нескольких ассоциированных (сопутствующих) состояний. Жалобы на постоянные головные боли, головокружения, перебои и боли в сердце, снижение остроты зрения, мелькание пятен, мушек перед глазами. При развитии недостаточности кровообращения появляется одышка, акроцианоз, пастозность голеней и стоп, при левожелудочковой недостаточности – удушье, кровохарканье. АД стойко повышенно: АДс > 200мм рт.ст., АДд > 110мм рт.ст. Пульс напряженный, иногда аритмичен. Левая граница сердца увеличена, при аускультации – ослабление первого тона, выраженный акцент второго тона над аортой. В эту стадию чаще всего развиваются осложнения гипертонической болезни: сердечная недостаточность, инфаркт миокарда, инсульты, почечная недостаточность. Стойкие изменения на глазном дне: кровоизлияния, тромбозы, что сопровождается потерей зрения.
Стадии гипертонической болезни
С морфологических позиций выделяют три стадии гипертонической болезни: 1) транзиторную стадию, 2) стадию распространенных изменений артерий, 3) стадию изменений органов, обусловленных изменениями артерий.
Транзиторная стадия клинически характеризуется периодическими подъемами артериального давления. Они обусловлены спазмом артериол, во время которого стенка самого сосуда испытывает кислородное голодание, вызывающее в ней дистрофические изменения. Спазм сменяется параличом артериол, кровь в которых застаивается, и гипоксия стенок сохраняется. В результате повышается проницаемость стенок артериол. Они пропитываются плазмой крови (плазморрагия), которая выходит и за пределы сосудов, обуславливая периваскулярный отек.
После нормализации артериального давления и восстановления микроциркуляции плазма крови из стенок артериол и периваскулярных пространств удаляется, а попавшие в стенки сосудов вместе с плазмой крови преципитируют. В связи с повторяющимся повышением нагрузки на сердце развивается компенсаторная гипертрофия его левого желудочка. Если в транзиторной стадии ликвидировать условия, вызывающие психо-эмоциональное напряжение, и провести соответствующее лечение больных, начинающуюся гипертоническую болезнь можно излечить, так как в этой стадии еще отсутствуют необратимые морфологические изменения.
Стадия распространенных изменений артерий клинически характеризуется стойким повышением артериального давления. Это объясняется глубокими нарушениями регуляции сосудистой системы и ее морфологическими изменениями. Переход транзиторного повышения артериального давления в устойчивое связан с действием нескольких нейроэндокринных механизмов, среди которых наибольшее значение имеют рефлекторный, почечный и эндокринный. Часто повторяющиеся подъемы артериального давления приводят к снижению чувствительности барорецепторов дуги аорты, которые в норме обеспечивают ослабление активности симпатико-адреналовой системы и понижение артериального давления. Усиление влияний этой системы регуляции и спазм артериол почек стимулируют выработку ими фермента ренина. Последний приводит к образованию в плазме крови ангиотензина, который стабилизирует артериальное давление на высоком уровне. Помимо того, ангиотензин усиливает образование и выход из коркового вещества надпочечников минералокортикоидов, которые еще более повышают артериальное давление и также способствуют его стабилизации на высоком уровне.
Повторяющиеся с нарастающей частотой спазмы артериол, усиливающаяся плазморрагия и возрастающее количество преципитированных белковых масс в их стенках приводят к гиалинозу или артериолосклерозу. Стенки артериол уплотняются, теряют эластичность, значительно увеличивается их толщина и соответственно уменьшается просвет сосудов (см.1)

Рис.1 Гиалиноз артериолы мозга при гипертонической болезни
Постоянное высокое артериальное давление значительно повышает нагрузку, падающую на сердце, в результате чего развивается его компенсаторная гипертрофия. При этом масса сердца достигает 600-800 г. Постоянное высокое артериальное давление увеличивает нагрузку и на крупные артерии эластического и мышечно-эластического типа, в результате чего атрофируются мышечные клетки, стенки сосудов теряют эластичность. В сочетании с изменениями биохимического состава крови, накоплением в ней холестерина и крупномолекулярных белков создаются предпосылки для развития атеросклеротического поражения крупных артерий. Причем выраженность этих изменений значительно больше, чем при атеросклерозе, не сопровождающемся повышением кровяного давления.
Стадия изменений органов, обусловленных изменениями артерий. Изменения в органах носят вторичный характер. Их выраженность, а так же клинические проявления зависят от степени повреждения артериол и осложнений, связанных с этими изменениями сосудов. В основе хронических изменений органов лежат нарушение их кровоснабжения, нарастающее кислородное голодание и обусловленный им склероз органа со снижением функции. Осложнения гипертонической болезни, проявляющиеся спазмом, тромбозом артериол и артерий или их разрывом, приводят к инфарктам или кровоизлияниям.
Клинико-морфологические формы гипертонической болезни
В зависимости от преобладания поражения тех или иных органов выделяют сердечную, мозговую и почечную клинико-морфологические формы гипертонической болезни.
Сердечная форма, как и сердечная форма атеросклероза, составляет сущность ишемической болезни сердца и рассматривается отдельно как самостоятельное заболевание.
Мозговая форма – одна из наиболее частых форм гипертонической болезни. Обычно она связана с разрывом гиалинизированного сосуда и развитием массивного кровоизлияния в мозг (геморрагический инсульт) по типу гематомы (см.рис 2).

Рис.2 Кровоизлияние в левом полушарии

Рис. 3 Первично-сморщенная почка головного мозга
Прорыв крови в желудочки мозга всегда заканчивается смертью больного. Если больной пережил геморрагический инсульт, то на месте кровоизлияния образуется киста. Ишемические инфаркты мозга тоже могут возникнуть при гипертонической болезни, хотя значительно реже, чем при атеросклерозе. Их развитие связано с тромбозом или спазмом атеросклеротически измененных средних мозговых артерий или артерий основания мозга.
Почечная форма может развиваться остро или хронически и характеризуется развитием почечной недостаточности. Острое поражение почек связано с инфарктом при тромбозе или тромбоэмболии почечной артерии.
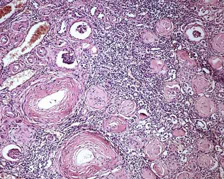
При хроническом течении гипертонической болезни развивается атеросклеротический нефросклероз, связанный с гиалинозом приносящих артериол. Уменьшение притока крови приводит к атрофии и гиалинозу соответствующих клубочков. Их функцию выполняют сохранившиеся клубочки, и они гипертрофируются. Поэтому поверхность почек приобретает зернистый вид: гиалинизированные клубочки и атрофированные, склерозированные, нефроны западают, а гипертрофированные клубочки выступают на поверхность почек. Постепенно склеротические процессы начинают преобладать и развиваются первично-сморщенные почки (см.рис 3). При этом нарастает хроническая почечная недостаточность, которая завершается уремией.
Гипертонические кризы
Гипертонический криз – внезапное повышение АД у пациентов с артериальной гипертензией, сопровождается нарушениями вегетативной нервной системы и усилением расстройств мозгового, коронарного и почечного кровообращения. Не всякое повышение артериального давления клинически соответствует гипертоническому кризу. Лишь внезапное повышение артериального давления до индивидуально высоких цифр, сопровождающееся определенной симптоматикой и приводящее к нарушению кровообращения в жизненно важных органах (мозг, сердце, почки), можно отнести к гипертоническому кризу.
Кризы первого типа. Развиваются обычно в I стадии гипертонической болезни. Протекают с выраженной вегетативной симптоматикой (головные боли, тошнота, сердцебиение, пульсация и дрожь во всем теле, тремор рук, появление пятен на коже лица, шеи, возбуждение и т.д)
Кризы второго типа. Протекают значительно тяжелее, более продолжительны, чем кризы первого типа. Они связаны с выбросом в кровь норадреналина. Развиваются обычно в поздние стадии гипертонической болезни. Симптомы: резчайшая головная боль, головокружение, переходящее нарушение зрения, слуха, сжимающие боли в области сердца, тошнота, рвота, парестезии, спутанность сознания.
Отличительные признаки гипертонических кризов
|
Признаки |
I тип |
II тип |
|
Развитие |
Быстрое |
Постепенное |
|
Продолжительность |
От нескольких минут до 3-4 часов |
От 3-4 часов до 4-5 дней |
|
Преобладающая симптоматика |
Вегетативная головная боль, возбуждение, сердцебиение, пульсация и дрожь во всем теле, тремор рук, появление пятен на коже лица, шеи, сухость во рту. |
Резчайшая головная боль, головокружение, переходящее нарушение зрения, слуха, сжимающие боли в области сердца, тошнота, рвота, парестезии, спутанность сознания. |
|
Объективные данные |
Повышение САД больше, чем ДАД, увеличение пульса АД, тоны сердца громкие. |
Повышение ДАД больше, либо, так же как и САД, урежение пульса, резкое уменьшение пульсового давления АД. |
|
ЭКГ |
Может отмечаться снижение ST, сглаженный T. |
Снижение ST, отрицательный T, уширение QRS |
|
Лабораторные данные |
Увеличение концентрации глюкозы и адреналина, повышение свертываемости крови в течение 2-3 дней, лейкоцитоз |
Протеинурия, измененные эритроциты и гиалиновые цилиндры в моче |
Диагностика гипертонической болезни
Сбор анамнеза:
У пациенты с впервые выявленной АГ необходимо выяснить:
1.длительность существования артериальной гипертензии и уровни повышения АД в анамнезе, а также результаты применявшегося ранее лечения антигипертензивными средствами, наличие в анамнезе гипертонических кризов.
2. данные о наличии симптомов ишемической болезни (ИБС), сердечной недостаточности, заболеваний центральной нервной системы (ЦНС), поражений периферических сосудов, сахарного диабета, подагры, нарушения липидного обмена, бронхообструктивных заболеваний, заболеваний почек, сексуальных расстройств и другой патологии, а так же сведения о лекарственных препаратах, используемых для лечения этих заболеваний, особенно тех, которые могут способствовать повышению АД.
3. выявление специфических симптомов, которые давали бы основание предполагать вторичный характер АН (молодой возраст, тремор, потливость, тяжелая, резистентная к лечению АГ, тяжелая ретинопатия).
4. у женщин – гинекологический анамнез: связь повышения АД с беременностью, менопаузой, приемом гормональных контрацептивов, гормонально-заместительной терапией.
5. тщательная оценка образа жизни, включая потребление жирной пищи, поваренной соли, алкогольных напитков, количественную оценку курения и физической активности, а так же данные о изменении массы тела в течение жизни.
6. личностные и психологические особенности, а так же факторы окружающей среды, которые могли повлиять на течение и исход лечения гипертонической болезни, включая семейное положение, ситуацию на работе и в семье, уровень образования.
7. семейный анамнез АГ, сахарного диабета, нарушения липидного обмена ишемической болезни сердца, инсульта или заболеваний почек.
2.Оценка объективных данных:
1. Измерения роста и массы тела с вычислением индекса массы тела.
2. Оценка состояния сердечнососудистой системы, в особенности, размеров сердца, наличия патологических шумов, проявлений сердечной недостаточности, выявление пульса на периферических артериях и симптомов коарктации аорты.
3. Выявление патологических шумов в проекции почечных артерий, пальпации почек, выявление других объемных образований.
3. Минимальный стандарт обследования пациентов с артериальной гипертензией:
1.Проба по Зимницкому
2.Анализ мочи по Нечипоренко
3.ЭКГ
4.Сахар крови
5.Узи сердца
6.Осмотр глазного дна
7. Рентгенография грудной клетки
Лечение артериальной гипертензии
Цели терапии:
Основной задачей лечения пациента с ГБ является достижение максимальной степени снижения общего риска сердечнососудистой заболеваемости и смертности. Это предполагает воздействие на все выявленные обратимые факторы риска, такие, как курение, высокий уровень холестерина.
Целевым уровнем АД является уровень Ад менее 140 и 90 мм рт.ст. У больных сахарным диабетом необходимо снижать Ад ниже 130/85 мм рт.мт., при ХПН с протеинурией более 1г/сут. – менее 125/75 мм рт.ст. Достижение целевого АД должно быть постепенным и хорошо переносимым пациентом.
Немедикаментозные методы лечения (должны применяться на любой стадии болезни):
При низкой степени риска АГ пациенты в течение 1 года находятся под наблюдением врача, проводя только немедикаментозные методы лечения.
1.Наиболее патогенетически обоснованной при ГБ является гипонатриевая диета.
2.Постоянные динамические физические нагрузки.
3.Психорелаксация, рациональная психотерапия.
4.Иглорефлексация.
5.Точечный массаж.
6.Физиотерапевтическое лечение.
7.Гипоксические тренировки.
10.Физиотерапия
Гипотензивными свойствами обладают: магнолия белая, пустырник, сушеница болотная, валериана, рябина черноплодная, листья березы, брусника, боярышник, калина, мелисса, почечный чай.
Медикаментозная гипотензивная терапия:
Начало медикаментозной терапии зависит от уровня АГ и уровня степени риска. В настоящее время для лечения больных с артериальной гипертензией используют следующие основные группы лекарственных средств:
1. Диуретики
2. Антагонисты кальция
3. Блокаторы бета-адренорецепторов
4. Ингибиторы АПФ
5. Блокаторы клеточных рецепторов
6. Вазодилататоры
Препараты раувольфии (адельфан, раунатин), обладающих центральным действием имеют вспомогательное значение и применяются в настоящее время лишь по узким показаниям.
В мировой практике принята ступенеобразная фармакотерапия больных с АГ. У большинства больных мягкой и умеренной гипертонией используется монотерапия бета-адреноболокаторами, антагонистами Ca, ингибитором АПФ, или диуретиками. Постепенно увеличивая дозу препарата можно добиться хорошего гипотензивного эффекта: снижения диастолического артериального давления до 90 мм.рт.ст. и ниже или на 10% от исходного. Таким образом первая ступень лечения артериальной гипертензии предполагает использование одного гипотензивного препарата. На второй ступени, вслед за монотерапией одним препаратом, используют комбинацию из 2 – 3 лекарственных средств с различным механизмом действия.
ДИУРЕТИКИ - Лекарственные препараты, увеличивающие мочеобразование, за счет снижения обратного всасывания натрия и воды.
Тиазидовые диуретики: Воздействуют на дистальный отдел нефрона. Они хорошо всасываются в ЖКТ, поэтому назначаются во время или после еды, однократно утром или 2-ух кратно в первой половине дня. Продолжительность гипотензивного эффекта 18 – 24 часа. При лечении рекомендуется диета богатая калием и с пониженным содержанием поваренной соли.
- Гипотиазид выпускается в таблетках по 25 и 100 мг. Арифон в дополнение к мочегонному эффекту обладает также эффектом периферической вазодилатации при применении у больных с АГ и отеками наблюдается дозозависимый эффект. В таблетке содержится 2,5 мг препарата. Тиазидовые диуретики обладают кальций сберегающим действием, их можно назначать при остеопорозе, а при подагре и сахарном диабете они противопоказаны.
- Калий сберегающие мочегонные препараты. Калий сберегающие мочегонные препараты уменьшают АД за счет снижения объема жидкости, находящейся в организме больного, а это сопровождается снижением общего периферического сопротивления.
- Амилорид от 25 до 100 мг./сутки в 2-4 приема в течении 5 суток. Триамтерен назначается аналогично
- Верошпирон в настоящее время для лечения АГ используется редко. При длительном приеме возможно нарушение пищеварения, развитие гинекомастии, особенно у стариков.
Петлевые диуретики: Являются сильными мочегонными препаратами, вызывают быстрый, непродолжительный эффект. Их гипотензивный эффект выражен значительно меньше чем у тиазидовых препаратов, увеличение дозы сопровождается обезвоживанием. К ним быстро наступает толерантность, поэтому их применяют при ургентных состояниях: отек легких, гипертонический криз.
- Фуросемид по 40 мг. Применяется внутрь. Для парентерального введения применяется лазикс в той же дозировке.
АНТАГОНИСТЫ КАЛЬЦИЯ: Блокируют поступление ионов кальция в мышечную клетку периферических артерий. Это ведет к системному расширению артериальных сосудов, снижению периферического сопротивления и систолического АД. Различают антагонисты кальция первого и второго поколения.
Препараты первого поколения применяются в виде быстрорастворимых таблеток только для купирования гипертонического криза. Это связано с тем, что длительный прием приводит к кумуляции основного действующего вещества. В клинике это проявляется гиперемией кожных покровов, лица, шеи, головной болью, запорами. То есть препараты ухудшают качество жизни и больной отказывается их принимать. Более того антагонисты кальция первого поколения увеличивают риск инфаркта миокарда и внезапной смерти в 4 раза. Поэтому по экстренным показаниям применяют только нифедипин под язык. Препараты коринфара применяться не должны.
Антагонисты кальция второго поколения отличаются более длительным действием (12-24 часа) после однократного приема и специфичным воздействием на отдельные органы и сосуды. Наиболее перспективным представителем этой группы является Норваск – таблетки по 10 мг 1 раз в сутки. У всех представителей антагонистов кальция второго поколения к основному названию добавлена приставка ретард. Это капсулы с двухфазным выделением действующего вещества. Перед приемом нужно проверить целостность капсулы. Если она нарушена, то препарат выделяется в кишечник быстрее, чем нужно. Капсула может быть повреждена при движении по желудочно-кишечному тракту или вообще застрять при стриктуре пищевода. Эти препараты противопоказаны при заболеваниях желудочно-кишечного тракта, сопровождающихся нарушением всасывания (болезнь Крона).
Преимуществом этих лекарств является также то, что:
a) прием пищи не влияет на всасываемость.
b) у пожилых не требуется снижения дозы.
c) не противопоказаны при почечной и печеночной недостаточности.
d) не вызывают привыкания, то есть не требуют корректировки назначенной дозы.
e) при пропуске очередной дозы 70 % эффекта предыдущей сохраняется.
f) вызывают уменьшение гипертрофии миокарда.
g) увеличивают почечный кровоток и клубочковую фильтрацию.
Необходимо помнить, что препараты накапливаются в течение 7-10 дней после начала приема и гипотензивный эффект наступает через 14 дней.
a) Антагонисты кальция регулярно принимает 1 из 7 больных, которым они рекомендованы.
b) Антагонисты кальция противопоказаны при:
c) беременности, так как повреждают эмбрион в первом триместре (тератогенный эффект).
d) тяжелом запоре.
e) хронической сердечной недостаточности.
f) синусовой тахикардии, экстрасистолии.
g) брадиаритмии.
БЛОКАТОРЫ БЕТА-АДРЕНОРЕЦЕПТОРОВ: Основными показаниями к назначению этой группы препаратов являются стенокардия, артериальная гипертония и нарушения ритма сердца.
Различают бета-адреноблокаторы кардионеселективного действия, блокирующие бета-1- и бета-2 адренорецепторы и кардиоселективные, имеющие бета-1-ингибирующую активность.
В результате блокады бета-рецепторов сердца падает сократительная способность миокарда, снижается число сердечных сокращений, уменьшается уровень ренина, что уменьшает уровень систолического, а затем и диастолического давления. Кроме того, низкое периферическое сосудистое сопротивление, обусловленное приемом бета-блокаторов, поддерживает гипотензивный эффект в течение длительного времени (до 10 лет) при приеме достаточных доз. Привыкания к бета-блокаторам не наступает. Стабильный гипотензивный эффект наступает через 2-3 недели.
Побочные действия бета-блокаторов проявляются брадикардией, атриовентрикулярной блокадой, артериальной гипотензией. Нарушением половой функции у мужчин, могут возникнуть сонливость, головокружение, слабость.
Бета-блокаторы противопоказаны при брадикардии менее 50 уд/мин, тяжелой обструктивной дыхательной недостаточности, язвенной болезни, сахарном диабете, беременности.
Представителем неселективных бета-блокаторов служит анаприлин. Действует непродолжительно, поэтому нужно принимать 4-5 раз в сутки. При подборе оптимальной дозы следует регулярно измерять АД и ЧСС. Отменять следует постепенно, так как резкое прекращение его приема может вызвать синдром отмены: резкий подъем АД, развитие инфаркта миокарда.
Кардиоселективный-спесикор
Исходя из возможных побочных эффектов бета-блокаторов лечение следует проводить под контролем ЧСС, которое измеряется через 2 часа после приема очередной дозы и не должно быть меньше 50-55 уд/мин. Снижение АД контролируется появлением субъективных симптомов: головокружение, общая слабость, головная боль и непосредственным измерением АД. Необходимо следить, не появилась ли одышка.
ИНГИБИТОРЫ АПФ: Ингибиторы ангиотензинпревращающего фермента блокируют превращение неактивного ангиотензина I в активный ангиотензин II, который обладает сосудосуживающим эффектом. К ним относятся каптоприл, энап, козаар, диован и др. Первую дозу препарата рекомендуется давать на ночь для предупреждения ортостатического эффекта.
Ингибиторы АПФ противопоказаны при:
a) беременности – во II и III триместре приводят к гипокинезии плода, гипоплазии костей черепа, анурии и смерти.
b) аутоиммунных заболеваниях (СКВ)
c) почечной недостаточности.
Для купирования гипертонического криза применяют клофелин, нифедипин под язык. АД измеряют каждые 15 минут в течение первого часа, каждые 30 минут – второй час и далее каждый час.
1.Арифон
Лекарственные формы. Арифон синтетический препарат, выпускаемый и виде таблеток, содержащих по 2,5 мг индапамида гемигидрата. Лечебные свойства. Препарат оказывает сосудорасширяющее, гипотензивное и некоторое мочегонное действие. Показания к применению. Арифон используют главным образом для лечения гипертонической болезни II и III стадии. Правила применения. При лечении гипертонической болезни, независимо от ее тяжести, арифон назначают по 1 таблетке 1 раз в день. Прием более высоких доз препарата не приводит к усилению гипотензивного эффекта.
Побочные эффекты и осложнения
В целом препарат характеризует высокая степень безопасности, однако в некоторых случаях возможны общая слабость, резкое снижение артериального давления и аллергические реакции. Противопоказания. Арифон нельзя использовать при недавних нарушениях мозгового кровообращения и тяжелой форме печеночной недостаточности. Не рекомендуется также использовать препарат во время беременности и в период кормления грудью. Кроме того, не следует применять Арифон совместное некоторыми мочегонными средствами (гипотназид, циклометитазид, бринальдикс, буримамид). Хранение. В обычных условиях при комнатной температуре.
2.Престариум
Лекарственные формы. Престариум — синтетический препарат, выпускаемый в виде таблеток, содержащих по 4 мг тертбутиламиновой соли периндоприла, в упаковке по 30 таблеток.
Лечебные свойства
Престариум снижает артериальное давление и улучшает работу сердца. Показания к применению. Препарат используют главным образом для лечения легкой и умеренной степени гипертонической болезни. Правила применения. Престариум обычно назначают по 1 таблетке (4 мг) однократно (лучше утром). Действие препарата в организме сохраняется в течение суток. Максимальный лечебный эффект наступает через 1 месяц после его регулярного приема и сохраняется в течение длительного времени: При необходимости дозу увеличивают до двух таблеток на один прием. Для больных пожилого и старческого возраста лечение рекомендуется начинать с 1/2 таблетки в сутки. Аналогичным образом поступают и при наличии почечной недостаточности.
Побочные эффекты и осложнения
В отдельных случаях при использовании препарата возможны головокружение, судороги, кожные высыпания, иногда сухой кашель.
Противопоказания. Престариум нельзя применять женщинам во время беременности и при кормлении грудью, в детском возрасте. Хранение. В обычных условиях при температуре не выше 30°С.
3.Теодибаверин
Лекарственные формы. Теодибаверин — комплексный препарат, в который входят: теобромин — 0,15 г, дибазол — 0,02 г, папаверина гидрохлорид — 0,02 г. Выпускается в виде таблеток в упаковке по 10 штук. Лечебные свойства. Лечебный эффект теодибаверина полностью определяется составляющими его компонентами, которые обладают спазмолитическими и сосудорасширяющими свойствами, взаимоусиливающимися при совместном применении. Показания к применению. Теодибаверин используют главным образом в комплексном лечении гипертонической болезни, при ишемической болезни сердца, для профилактики приступов стенокардии. Правила применения. При указанных заболеваниях препарат обычно назначают по 1 таблетке 2 — 3 раза в день до еды. Побочные эффекты и осложнения. Теодибаверин хорошо переносится большинством больных. Однако при значительном увеличении суточной дозы препарата могут наблюдаться головные боли, чувство жара, потливость. Требуется осторожность в применении лицам пожилого возраста в связи с ослаблением работы сердца. Противопоказания. Теодибаверин нельзя применять при нарушениях внутрисердечной проводимости (блокаде). Хранение. В обычных условиях. Срок годности 4 года.
4.Новокаин
Лекарственные формы. Новокаин — синтетический препарат, выпускается в следующих лекарственных формах: 1. Порошок. 2. Свечи ректальные по 0,1 г в упаковке по 10 штук. 3. Ампулы по 1 мл 2%-ного раствора, по 2 мл 0,5, 1 и 2%-ного раствора, по 5 мл 0,5%-ного и 2%-ного раствора, по 10 мл 0,5, 1 и 2%-ного раствора в упаковке по 10 штук. 4. Флаконы по 400 мл 0,25%-ного и 0,5%-ного раствора. Высшие дозы взрослым для приема внутрь составляют: ВРД — 0,25 г, ВСД — 0,75 г. Лечебные свойства. Новокаин является местноанестезирующим средством и оказывает обезболивающее действие. Кроме того, он уменьшает спазмы гладкомышечных органов, понижает возбудимость мышцы сердца. Показания к применению. Новокаин применяется в виде инъекций для обезболивания при операциях (местная анестезия), для обезболивания при наличии источника боли в органах (новокаиновая блокада), для снятия фантомных болей, для лечения больных старческого возраста и при гипертонической болезни. Внутрь новокаин применяется для снятия болей при язвенной болезни желудка и двенадцатиперстной кишки. Свечи с новокаином используются при геморрое, трещинах заднего прохода, неспецифическом язвенном колите. Наружно в виде мазей и болтушек новокаин применяется при кожных заболеваниях: нейродермите, экземе, зудящих дерматозах. Правила применения. Растворы для инъекций вводятся внутримышечно и внутривенно в дозах и концентрациях, необходимых для конкретного вида обезболивания. Свечи вводятся в прямую кишку на глубину 3—4 см по 1 свече до 4 раз в сутки. Курс лечения продолжается 1 месяц. Из порошка в аптеке готовят 0,25%-ные и 0,5%-ные растворы для приема внутрь. Обычно принимают по 1 столовой ложке за 20—30 минут до еды 3—4 раза в день в течение 2—3 недель. Растворы новокаина могут применяться также для электрофореза. При заболеваниях кожи новокаин используется в виде 5%-ной и 10%-ной мази, входит в состав сложных мазей и болтушек. Препарат наносится на пораженную поверхность 1—2 раза в сутки. Побочные эффекты и осложнения. Применение новокаина обычно не вызывает осложнений, но у лиц с повышенной чувствительностью развиваются головокружение, слабость, понижение артериального давления, кожные аллергические реакции, а в тяжелых случаях — резкое падение артериального давления и угнетение жизненных функций (коллапс и шок). Поэтому применение новокаина всегда должно быть осторожным. Противопоказания. Нельзя применять новокаин больным с повышенной индивидуальной чувствительностью к нему. Его нельзя использовать при миастении, гипотонии, он не действует при введении в воспаленную ткань. Недопустимо одновременное лечение новокаином и сульфаниламидами из-за взаимного ослабления лечебного действия. Хранение. Препарат хранят в прохладном темном месте. Срок годности ампул 3 года, свечей — 2 года.
Заключение
Хочется отметить, что нормальный уровень АД (начиная с молодого возраста) должен поддерживаться контролем веса, физическими упражнениями, ограничением насыщенных жиров, натрия, алкоголя, увеличением потребления калия, овощей и фруктов. Когда у пациента развивается гипертония, он вынужден всю оставшуюся жизнь принимать лекарственные препараты.
Литература
1.Пауков В.С., Хитров Н.К. Патология: Учебник. – М.:1989
2.Смолева Э.В., Аподиакос Е.Л. Терапия с курсом первичной медико-санитарной помощи: Учебник. – Феникс.2005
3. Справочник по клинической фармакологии сердечно-сосудистых лекарственных средств./Под ред. В.И. Метелица, МИА , 2005
4.Фрид М., Грайнс С. Кардиология в таблицах и схемах. – Практика. М.: 1996
5. Справочник Видаль. Лекарственные препараты в России. - АстраФармСервис, 2006 г.
1